강남 치과 퍼펙트치과
앞니 돌출 있는데 폴리네이트로 극복 가능..?🤔
안녕하세요. 오늘은 폴리네이트 케이스를 알아보도록 할건데, 몇 가지 문제가 있는 경우입니다. 첫번째로 치아 변색, 두번째는 앞니 사이 벌어짐, 세번째는 앞니 두개가 돌출이 되어 있는 세가지 문제점이 있는 치아를 폴리네이트 케이스로 한 경우인데요. 항상 말씀드렸듯이 폴리네이트가 가능하기 위해...
아카이브 요약
이 페이지의 역할
강남 치과 퍼펙트치과 | gangnam dentist clinic Perfect Dentistry | 江南 歯科 パーフェクト歯科의 네이버 블로그 원문을 보존한 아카이브 페이지입니다. 치아성형 카테고리의 앞니 돌출 있는데 폴리네이트로 극복 가능..?🤔 글을 통해 병원의 한국어 정보 제공 방식과 진료 관련 안내 톤을 확인할 수 있습니다.

안녕하세요. 오늘은 폴리네이트 케이스를 알아보도록 할건데, 몇 가지 문제가 있는 경우입니다.
첫번째로 치아 변색, 두번째는 앞니 사이 벌어짐, 세번째는 앞니 두개가 돌출이 되어 있는 세가지 문제점이 있는 치아를 폴리네이트 케이스로 한 경우인데요.
항상 말씀드렸듯이 폴리네이트가 가능하기 위해서는 치아가 가지런하게 배열이 되어있고 치아가 튀어나와 있지 않아야 하는데 오늘은 앞니에 돌출이 있는 경우이기 때문에 케이스를 소개시켜드리고자 합니다.
오늘 환자분은 앞니 두개에 돌출이 있어 교정으로 치아를 가지런하게 한 후 폴리네이트를 진행하는 것을 권장했지만 교정을 원하지 않으셨습니다. 즉 오늘은 돌출이라는 문제가 있지만 이러한 문제점을 극복해보는 케이스라고 생각해주시면 좋을 것 같습니다.

미리 말씀드렸듯이 위 환자분은 돌출, 벌어짐, 변색 세가지 문제점이 있었습니다. 이 중 환자분께서는 변색 문제를 가장 해결하고싶어 하셨고 최소삭제를 원하셨지만 돌출된 치아는 최소삭제, 무삭제 라미네이트에 적합하지 않았습니다.
돌출된 치아가 최소삭제, 무삭제에 적합하지 않은 이유는 치아를 최소한으로 삭제하거나 삭제하지 않은 경우 돌출된 치아에 라미네이트를 부착하면 튀어나와 보이는 부피감이 생기게 됩니다.
환자분께도 이러한 내용을 설명해드렸지만 환자분은 이런 부분을 전혀 신경쓰지 않는다고 하셨습니다. 그래서 교정을 권유했음에도 불구하고 교정을 원치 않으신다 하셔서 교정 없이 진행하기로 하였습니다.


아래에서 위를 찍은 사진을 보시면 앞니가 튀어나온 것을 더 확실하게 알 수 있습니다.
이렇게 튀어나온 상태로 최소삭제 라미네이트를 진행한다면 앞니가 돌출된 상태에서 라미네이트를 부착하기 때문에 더 튀어나와 보이게 되고, 나머지 치아들도 앞니 라인에 맞추기 위해 라미네이트를 두껍게 만들 수밖에 없습니다.
그렇게 되면 나머지 치아들이 튀어나와 보일 수 있는데 이런 부분을 충분히 설명 드렸지만 환자분께서 교정치료를 원하지 않으셨습니다.


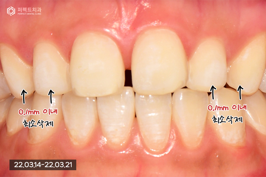
치아를 삭제한 후의 사진인데요. 두번째, 세번째 치아들은 뒤로 들어가있고 앞니가 튀어나온 상태이기 때문에 삭제할 필요가 없었습니다.
환자분은 아까 말씀드린 것처럼 앞니가 튀어나와 보여도 괜찮으니 최소삭제를 원하셨기 때문에 앞니는 0.2mm정도 최소삭제, 나머지 치아들은 0.1mm이내로 다듬기만 하였습니다.

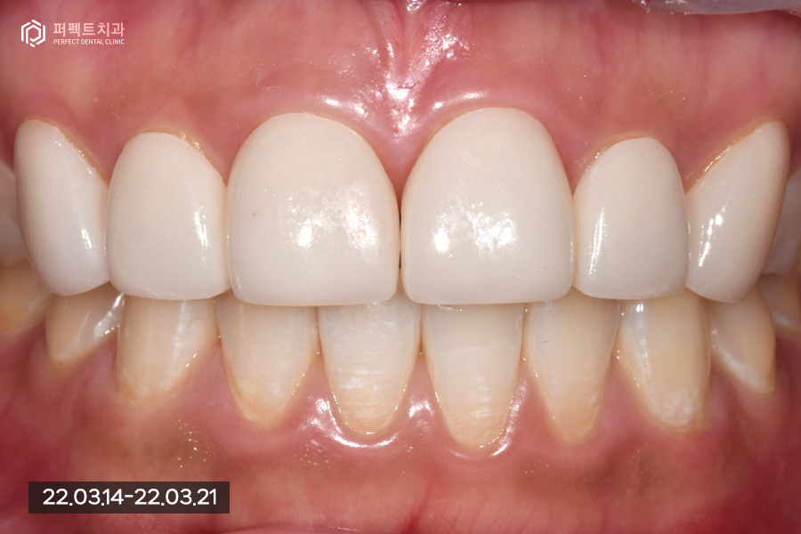
치료 후 사진을 보시면 앞니 사이 공간, 변색된 부분을 해결하였기에 환자분께서는 결과에 만족하셨지만 라미네이트 후에도 교정이 가능한지 물어보셨습니다.
라미네이트 후에도 충분히 교정치료가 가능하지만 라미네이트에 손상 없이 교정을 하기 위해 뒤로 하는 설측교정을 권해드렸고 교정을 고민해보신다고 하셨습니다 :)


오늘은 세가지 문제가 있는 폴리네이트 케이스를 확인해봤는데요. 환자분께서는 결과에 만족을 하셨고 후에도 돌출에 대한 문제 해결 대안이 있었기 때문에 이에 대해 고민을 해보신다고 하셨습니다.
이처럼 치아에 문제가 있더라도 문제점을 해결하는 방법은 다양하기 때문에 본인의 상황에 맞는 방법을 선택하여 치료를 받아보시면 좋을 것 같습니다 :)
라미네이트 후 치아교정을 한다면? check!
🚨
본 콘텐츠의 디자인, 구성 등 모든 사항은 퍼펙트 치과에서 자체 제작되었으며 무단 도용 시 법적 처벌을 받을 수 있습니다.
ⓒ Perfect Dental Clinic Corp
더 보기
이 병원의 공개 콘텐츠를 계속 살펴보세요
출처 아카이브로 돌아가 더 많은 글을 보거나, 병원 프로필로 이동해 다른 공개 채널도 함께 비교해보세요.