아카이브 요약
이 페이지의 역할
퍼펙트치과의원 강남역점의 네이버 블로그 원문을 보존한 아카이브 페이지입니다. 치아교정 카테고리의 삐뚤거리는 아랫니를 6개월만에 반듯하게?! 글을 통해 병원의 한국어 정보 제공 방식과 진료 관련 안내 톤을 확인할 수 있습니다.
원문 검증
필요하면 원문 블로그와 병원 프로필로 바로 이동해 문맥을 다시 확인할 수 있습니다.
출처 아카이브 열기아카이브된 블로그 글
퍼펙트치과의원 강남역점 · Naver Blog
안녕하세요. 오늘은 요새 유행하고 있는 부분교정 중 하나인 미니튜브 장치를 이용한 짧게, 단기간에 하는 교정치료에 대해 알아보도록 하겠습니다. 아래쪽 앞니가 삐뚤거린다는 것을 주소로 내원하신 환자분이신데요. 윗니는 어느정도 균일하게 가지런하신데 밑에 치아를 반듯하게 펴고 싶어하셔...
게시일
2022년 7월 11일
원문 기준으로 확인된 발행일입니다.
카테고리
치아교정
원문 블로그 카테고리를 정리해 함께 표시합니다.
이미지 수
10
현재 아카이브에 연결된 이미지 수입니다.
아카이브 요약
퍼펙트치과의원 강남역점의 네이버 블로그 원문을 보존한 아카이브 페이지입니다. 치아교정 카테고리의 삐뚤거리는 아랫니를 6개월만에 반듯하게?! 글을 통해 병원의 한국어 정보 제공 방식과 진료 관련 안내 톤을 확인할 수 있습니다.
원문 검증
필요하면 원문 블로그와 병원 프로필로 바로 이동해 문맥을 다시 확인할 수 있습니다.
출처 아카이브 열기
안녕하세요. 오늘은 요새 유행하고 있는 부분교정 중 하나인 미니튜브 장치를 이용한 짧게, 단기간에 하는 교정치료에 대해 알아보도록 하겠습니다.


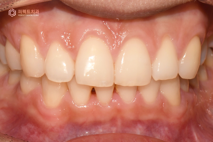
아래쪽 앞니가 삐뚤거린다는 것을 주소로 내원하신 환자분이신데요. 윗니는 어느정도 균일하게 가지런하신데 밑에 치아를 반듯하게 펴고 싶어하셔서 내원을 하셨습니다.
씹는 면을 보시면 각자 다른 면을 보고 있어 씹는 면 자체가 많이 틀어진 것을 보실 수 있습니다.

보통 일반적인 교정장치는 덩어리가 큰 교정장치를 이용하게 되는데, 환자분께서는 최대한 교정장치가 보이지 않기를 원하셨고 단기간에 교정치료가 가능한 케이스이기 때문에 작은 MTA라고 부르는 미니튜브 장치를 이용해 6개월이라는 짧은 기간 안에 교정치료를 완료한 케이스입니다.


보시다시피 미니튜브는 아래 처럼 일반 교정장치와 다른 작은 장치를 이용하게 되고 어느정도 시간이 지나면 자연스럽게 치아가 펴지게 되는데, 사진을 보시면 처음과 다르게 치아가 점차 펴지고 있는 모습을 볼 수 있습니다.
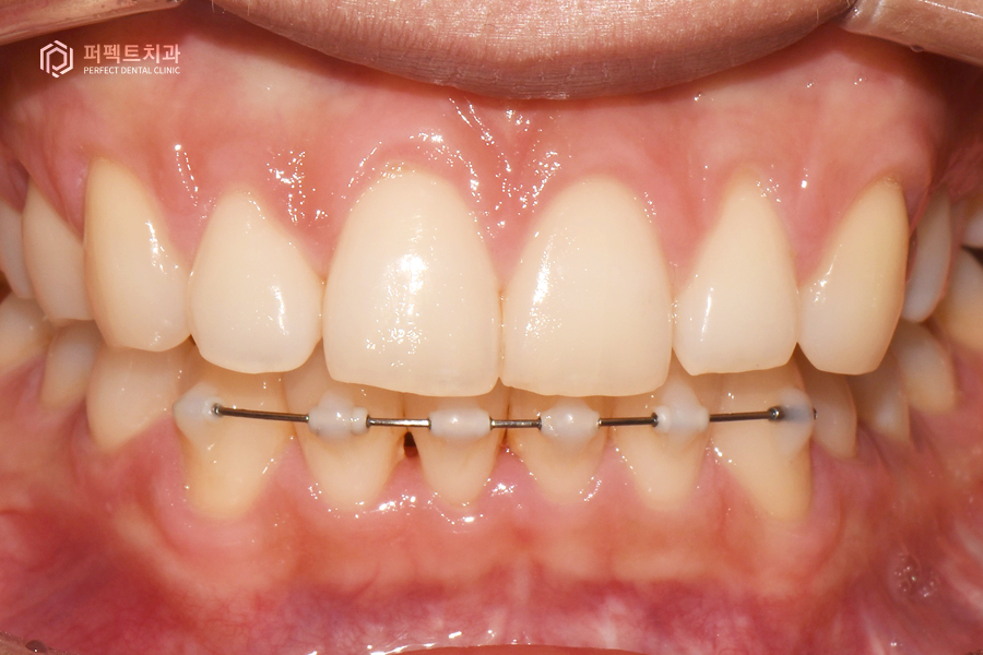
시간이 더 지나서 교정치료가 끝났을 때 모습을 확인해보도록 하겠습니다.


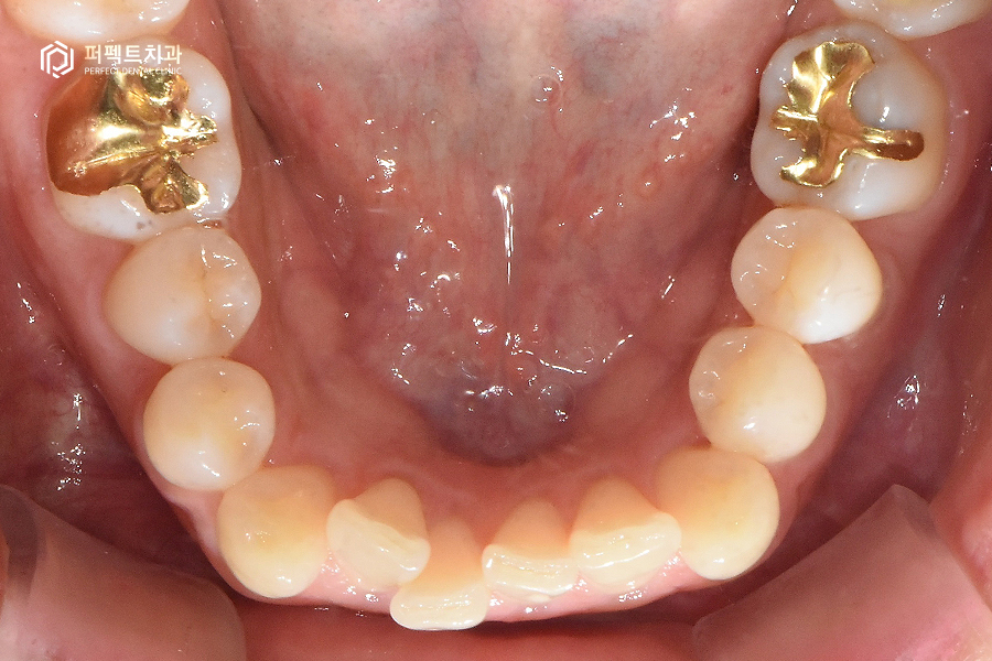
교정 치료 시작 시에는 씹는 면이 많이 삐뚤거리는 것을 볼 수 있는데 MTA교정을 하고나서 치아가 균일하게 반듯해진 것을 볼 수 있습니다.
교정 기간은 대략 3~4개월 정도 소요가 되었는데 환자분은 치과와 거리가 멀어서 자주 내원하지 못하시는 상황이었기에 치료 기간은 6개월 정도가 소요되었습니다.
일반적으로 이러한 케이스는 3~4개월 안에 치료가 가능하며 늦더라도 6개월 안에는 치료가 마무리 될 수 있는 아주 간단한 치료입니다.
오늘 알아보신 것처럼 앞니만 조금 교정하면 될 것 같다고 생각하시는 분들이라면 부담스럽게 큰 장치를 이용하지 않고 작은 미니튜브 장치를 이용해서 교정을 하실 수도 있습니다.

먼저 부분교정은 장치가 매우 작고 앞니에만 장치를 부착하기 때문에 환자분이 느끼시는 불편감이 적다는 장점이 있습니다.
또한 전체적인 교정 기간이 길게는 69개월, 짧게는 34개월 정도 걸리기 때문에 많은 시간을 투자하기 힘들고 앞니만 가지런하게 교정이 필요하신 분들에게 효율적인 치료 방법이라고 할 수 있습니다.

하지만 앞니만 부분적으로 교정을 하는 경우 뒤쪽 어금니 부분은 교정을 할 수 없다는 한계점이 있다는 주의점이 있습니다.
예를들어 내 치아가 삐뚤거리는 이유가 단지 앞니 때문에 아니고 어금니쪽이라던지 근본적인 교합 문제가 발생해서 생긴 경우라면 단순히 부분교정만으로는 모두 치료할 수 없습니다.
이런 경우 어쩔 수 없이 전체교정을 진행해야 하지만 그런 경우가 아니라면 이렇게 미니튜브나 아니면 부분교정을 이용해서 간단하게 치료하시는 것이 환자분에게 더 큰 이득을 줄 수도 있습니다.
경우에 따라서는 미니튜브 장치를 이용하지 못할수도 있는데, 어떤 경우가 될지는 병원에 내원하셔서 상태를 확인해보시고 가능하다면 이처럼 작은 장치로도 빠른 치료를 할 수 있으니 진단을 먼저 받아보시길 바랍니다 :)
▲ 퍼펙트치과 부분교정 후기 확인하기 ▲
🚨
본 콘텐츠의 디자인, 구성 등 모든 사항은 퍼펙트 치과에서 자체 제작되었으며 무단 도용 시 법적 처벌을 받을 수 있습니다.
ⓒ Perfect Dental Clinic Corp