강남 치과 퍼펙트치과
살릴 수 있는 치아가 없다면?❌|전체임플란트 수복
안녕하세요. 오늘은 임플란트 케이스를 가지고 왔고요. 임플란트 케이스 중에서도 전악 임플란트 라고 하는 전체 임플란트, 즉 치아가 하나도 없는 경우 전체 치아를 임플란트로 수복하는 케이스에 대해서 간단하게 알아보겠습니다. 초진 엑스레이 처음 오셨을 때 엑스레이 사진을 보시면...
아카이브 요약
이 페이지의 역할
강남 치과 퍼펙트치과 | gangnam dentist clinic Perfect Dentistry | 江南 歯科 パーフェクト歯科의 네이버 블로그 원문을 보존한 아카이브 페이지입니다. 임플란트 카테고리의 살릴 수 있는 치아가 없다면?❌|전체임플란트 수복 글을 통해 병원의 한국어 정보 제공 방식과 진료 관련 안내 톤을 확인할 수 있습니다.

안녕하세요. 오늘은 임플란트 케이스를 가지고 왔고요. 임플란트 케이스 중에서도 전악 임플란트 라고 하는 전체 임플란트, 즉 치아가 하나도 없는 경우 전체 치아를 임플란트로 수복하는 케이스에 대해서 간단하게 알아보겠습니다.

초진 엑스레이
처음 오셨을 때 엑스레이 사진을 보시면 엑스레이 사진만 보아도 남아있는 치아가 닳고 깨져있어 멀쩡한 치아가 없어 보입니다.

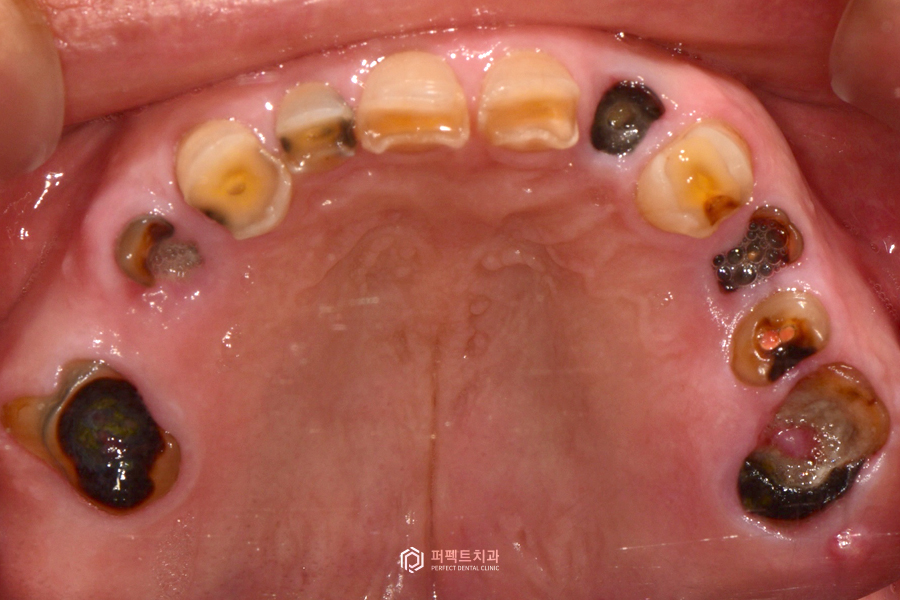
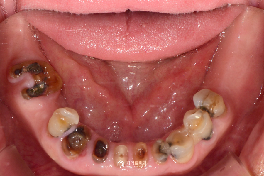
초진 구강사진
실제 구강 내 사진을 보시면 없는 치아들이 많고, 남아있는 치아도 모두 썩어있는 것을 보실 수 있습니다. 그리고 중요한 점은 치아가 계속 없이 지내게 되면 치아가 닳고 썩어서 교합이 무너진 상태입니다.
무너졌다는 것은 원래 씹는 높이가 정상이었는데 닳고 부러지면서 교합이 낮아져 있는 경우입니다. 이렇게 낮아진 교합 높이를 올리는 수복까지 다같이 이루어져야 해서 난이도가 높은 케이스에 해당하는 경우입니다. 이런 경우는 어떻게 해야 되냐면 임시치아 혹은 임시틀니를 이용해서 그 높이를 맞춘 다음에 거기에 맞는 최종보철을 만든 그런 경우라고 보시면 될 것 같습니다.
그럼 우선 임플란트 식립 후의 모습을 확인해 보겠습니다.

전체 치아를 발치하여 본인의 치아가 하나도 남아있지 않은 상태에서 임플란트를 심어놓은 경우입니다. 윗니 6개, 아랫니 8개를 식립했는데, 전악 임플란트 즉 전체 임플란트를 할 때에는 최소 6개가 심어져 있는 것이 좋고 혹은 8~10개 정도 심어져 있으면 좋습니다.
나머지 치아들은 다 걸어서 만들어지기 때문에 당연히 치아를 걸 수 있는 뿌리가 더 많으면 지지하는 힘이 커지니까 더 좋을 수밖에 없습니다.
임플란트 수술은 두 번에 걸쳐서 간단하게 끝냈고, 또 하나는 위 환자 분의 경우 요즘 많이 진행하고 있는 네비게이션 임플란트를 진행하였습니다. 네비게이션 임플란트란 가이드를 만들어 위치를 잡고 정확한 자리에 임플란트를 심는 방법이라고 생각하시면 됩니다.
최종보철물, 즉 치아를 만드는 것 까지는 3개월 정도가 소요되었습니다. 처음부터 임플란트 수술이 잘 되었기 때문에 두 달 후에 임시틀니, 임시치아를 만드는 과정을 거쳤습니다. 이렇게 교합을 완전히 잡고난 후, 3개월 후에 완성을 해드렸습니다.

치료 후 엑스레이
심어놓은 임플란트에 치아가 다 걸려있습니다. 3piece로 제작을 했는데요. 세 덩어리로 나눠서, 총 6piece로 제작이 되었습니다.

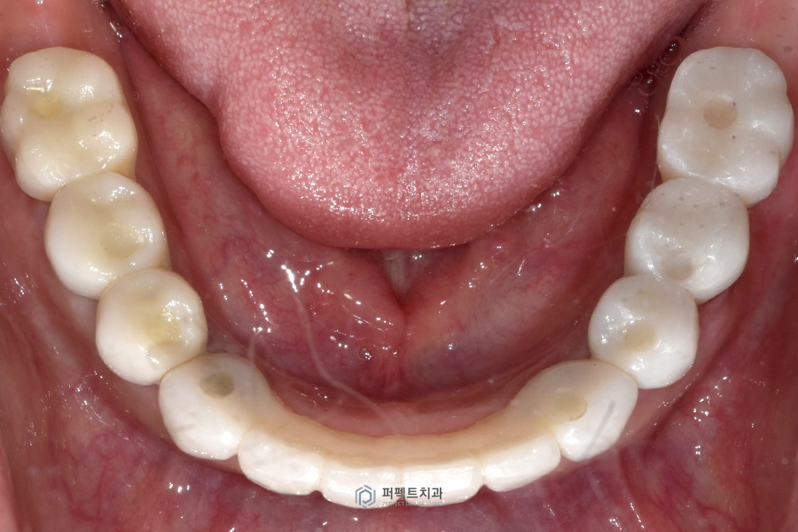
치료 후 구강사진
구강사진을 보시면 지르코니아 라는 재료를 이용해 전체를 수복했고, 교합도 깨끗하게 잘 물리도록 완성이 되었습니다.


치료 후(정면) 22.02.08~22.07.07


치료 후(상악) 22.02.08~22.07.07


치료 후(하악) 22.02.08~22.07.07
전 후 사진을 보시면 무너진 교합과 썩고 부러진 치아들을 수복한 케이스인 것을 보실 수 있습니다.
총 치료 기간은 5개월 정도 소요가 되었고, 수술은 2번에 걸쳐서 진행을 하였지만 내원은 여러번 하셔야 하는데요. 왜냐하면 임시틀니도 쓰셨고, 본도 떠야 하기 때문에 총 10번 정도는 내원을 하신 것 같습니다.
오늘은 전악 임플란트 케이스에 대해 알아보았는데요. 3개월에 걸쳐서 윗니 6개, 아랫니 8개를 심어서 전체 치아를 완성 해드리는 경우를 보여드렸고 보철물까지 지르코니아로 깨끗하게 마무리 된 전체 임플란트 케이스에 대해 같이 살펴보았습니다.
오늘 전체 임플란트 케이스는 여기까지 하겠습니다. 감사합니다 :)
또 다른 전악 임플란트 케이스 확인하기↑
🚨
본 콘텐츠의 디자인, 구성 등 모든 사항은 퍼펙트 치과에서 자체 제작되었으며 무단 도용 시 법적 처벌을 받을 수 있습니다.
ⓒ Perfect Dental Clinic Corp
더 보기
이 병원의 공개 콘텐츠를 계속 살펴보세요
출처 아카이브로 돌아가 더 많은 글을 보거나, 병원 프로필로 이동해 다른 공개 채널도 함께 비교해보세요.