강남 치과 퍼펙트치과
레진으로 변색+마모된 치아, 개선 방법은?
안녕하세요. 오늘은 못생긴 앞니를 개선한 두번째 케이스에 대해서 알아보도록 하겠습니다. 치아가 시작되는 부분이 좁고, 내려오면서 커지는 삼각형 형태의 치아를 어떻게 개선했는지 함께 보면서 알아보도록 하겠습니다. 못생긴 치아 첫번째 시리즈☝🏻 초진사진 처음 내원하셨을 때 사진을 보시...
아카이브 요약
이 페이지의 역할
강남 치과 퍼펙트치과 | gangnam dentist clinic Perfect Dentistry | 江南 歯科 パーフェクト歯科의 네이버 블로그 원문을 보존한 아카이브 페이지입니다. 치아성형 카테고리의 레진으로 변색+마모된 치아, 개선 방법은? 글을 통해 병원의 한국어 정보 제공 방식과 진료 관련 안내 톤을 확인할 수 있습니다.

안녕하세요. 오늘은 못생긴 앞니를 개선한 두번째 케이스에 대해서 알아보도록 하겠습니다. 치아가 시작되는 부분이 좁고, 내려오면서 커지는 삼각형 형태의 치아를 어떻게 개선했는지 함께 보면서 알아보도록 하겠습니다.
못생긴 치아 첫번째 시리즈☝🏻

초진사진
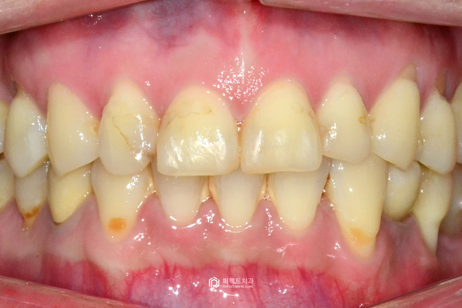
처음 내원하셨을 때 사진을 보시면 레진으로 때웠던 부분이 시간이 지나면서 변색이 되어 얼룩덜룩 해진 것을 볼 수 있습니다. 레진으로 넓은 부분을 때우게 되면 몇 개월만 지나도 변색이 생길 수 있어 사진으로 보시는 것처럼 깔끔하지 못하게 보일 수 있습니다.
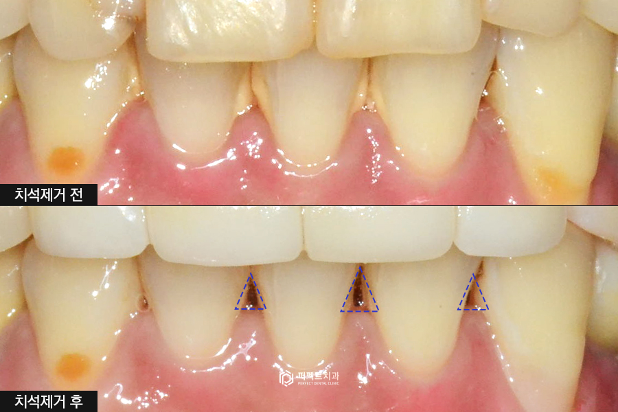
레진으로 인한 변색 뿐만아니라 치아 사이사이 마모되어 있는 부분들과 아랫니 사이 치석이 있는 것을 확인할 수 있습니다.

그리고 앞니 치아형태를 확인해보시면 앞서 말씀드린 것처럼 밑으로 내려오면서 퍼지는 삼각형 모양의 치아인 것을 확인할 수 있습니다. 이런 부분을 가지런하게 일자로 내려오는 형태로 바꾸길 원하셨습니다.

아래 치아의 경우 치석에 가려져서 빈 공간이 보이지 않지만 치석을 제거하게 되면 블랙트라이앵글이라고 하는 빈 공간이 많이 보이는 상황이었고, 아래 치아에도 마모되고 닳아진 치아가 있었기 때문에 위 아래를 함께 폴리네이트로 진행하게 되었습니다.
송곳니에서 송곳니까지 6개의 치아가 있는데 환자분의 경우 아래 치아 하나가 결손되어 5개밖에 없으셔서 윗니 6개, 아랫니 5개를 진행하였습니다.


22.03.24-22.03.31
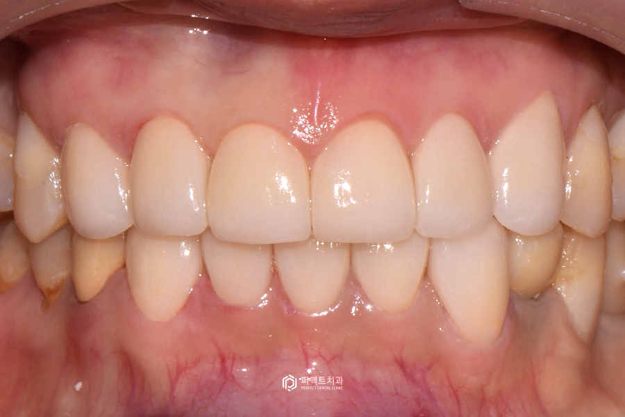
초진 사진에서 보신 것처럼 변색된 부분과 삼각형 형태의 치아모양을 개선해서 반듯하고 예쁘게 완성을 해드렸습니다. 아래 치아도 빈 공간(블랙트라이앵글) 없이 완성이 되었고, 치아색상의 경우 자연스러운 치아를 원하셔서 많이 밝게 해드리지 않고 직접 고르신 색상으로 진행을 하였습니다.
또한 치아 형태도 여성스러운 느낌을 원하신다는 의견을 반영하여 라인앵글이라고 하는 끝 부분을 살짝 둥글게 디자인 하였습니다.


얼룩덜룩하고 마모된 치아는 치아만 보았을 때 나이가 들어보이는 느낌이 드는데, 깔끔한 치아는 20대 치아 같은 느낌이 들 수 있습니다.
항상 말씀드리는 것처럼 환자분들에게 의견을 여쭤보고 환자분들이 원하시는 방향 쪽으로 가능한지, 불가능한지 구분하는 것이 가장 중요합니다. 안되는 걸 된다고 말씀드릴 수 없고, 되는 걸 안된다고 말씀드릴 수 없기 때문에 환자분의 의견을 최대한 반영하되 가능한 부분과 불가능한 부분을 잘 구분하여 치료 방법을 결정하게 됩니다.
다음 시리즈에서도 못생긴 치아를 어떻게 개선하였는지 알아보도록 하겠습니다 :)
🚨
본 콘텐츠의 디자인, 구성 등 모든 사항은 퍼펙트 치과에서 자체 제작되었으며 무단 도용 시 법적 처벌을 받을 수 있습니다.
ⓒ Perfect Dental Clinic Corp
더 보기
이 병원의 공개 콘텐츠를 계속 살펴보세요
출처 아카이브로 돌아가 더 많은 글을 보거나, 병원 프로필로 이동해 다른 공개 채널도 함께 비교해보세요.