강남 치과 퍼펙트치과
치료해도 자꾸 벌어지는 치아..😨 원인은?
안녕하세요. 오늘은 지난 포스팅에 이어서 못생긴 앞니를 어떻게 라미네이트로 개선했는지 알아보는 시간을 갖도록 하겠습니다. 오늘 알아볼 케이스는 과거에 보철치료를 받았지만, 보철을 제거하고 다시 보철치료를 진행한 재보철 케이스인데요. 예전에 앞니 보철 4개를 하셨던 경우인데 오늘...
아카이브 요약
이 페이지의 역할
강남 치과 퍼펙트치과 | gangnam dentist clinic Perfect Dentistry | 江南 歯科 パーフェクト歯科의 네이버 블로그 원문을 보존한 아카이브 페이지입니다. 치아성형 카테고리의 치료해도 자꾸 벌어지는 치아..😨 원인은? 글을 통해 병원의 한국어 정보 제공 방식과 진료 관련 안내 톤을 확인할 수 있습니다.

안녕하세요. 오늘은 지난 포스팅에 이어서 못생긴 앞니를 어떻게 라미네이트로 개선했는지 알아보는 시간을 갖도록 하겠습니다. 오늘 알아볼 케이스는 과거에 보철치료를 받았지만, 보철을 제거하고 다시 보철치료를 진행한 재보철 케이스인데요.

예전에 앞니 보철 4개를 하셨던 경우인데 오늘 이 케이스를 소개해 드리는 가장 큰 이유는 앞니의 벌어짐입니다. 그리고 자세히 보시면 치아 사이의 벌어짐과 치아가 깨져있는 것을 확인할 수 있습니다.
또한 잇몸 라인을 확인해보시면 사진상 체크된 부분의 잇몸 라인이 다른 치아에 비해 낮습니다. 잇몸 라인의 밸런스가 맞아야 예쁜데 밸런스가 맞지 않는 경우이기 때문에 이런 전체적인 부분을 보완하여 위, 아래 치아를 함께 진행하였습니다.

아래 치아도 예전에 보철치료를 하셨었는데요. 자세히 보시면 아랫니도 벌어짐이 있고 치아가 벌어져있는 틈을 막기 위해 보철을 크게 만들어서 씌웠지만, 시간이 지나면서 다시 벌어지게 되었습니다.
즉 겉으로 보기에 치아가 심미적이지 않아 보이는 이유는 크게
-
치아 사이의 벌어짐
-
치아 깨짐
-
낮은 잇몸라인
세가지로 나누어 볼 수 있습니다.

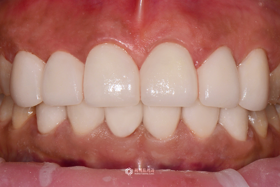
치료 후 사진을 보시면 벌어져있던 공간도 잘 닫혔고, 낮게 위치해 있던 잇몸 라인도 올려서 밸런스를 맞추고 위, 아래 연정하여 6개씩, 총 12개를 진행하였습니다. 위, 아래를 같이 한 경우이기 때문에 밝고 깨끗한 느낌을 원하셔서 환자분의 의견을 반영하여 보철을 제작하였습니다.


고정식유지장치/투명유지장치
위 환자분의 경우 과거 치아 벌어짐 때문에 보철치료를 하셨지만, 시간이 지나면서 다시 벌어진 케이스이기 때문에 치료 후 또 치아가 떨어질 수 있는 가능성이 있어 유지장치 사용을 권장해드렸습니다.
유지장치의 경우 위, 아래 치아 뒷면에 붙이는 철사로도 할 수 있지만 환자분의 경우 꼈다, 뺐다 할 수 있는 투명장치를 원하셔서 이 장치를 사용하시고 있으며 현재까지도 벌어짐 없이 잘 사용하시고 있습니다 ^^
치아가 벌어지는 이유는?
그렇다면 위 환자분처럼 치료 후에도 치아가 벌어지는 이유는 무엇일까요? 이는 크게 두가지 원인으로 생각해볼 수 있습니다.

교합의 문제
위 치아와 아래 치아가 깊게 물리는 과개교합(Deep bite)인 경우 아랫니와 윗니가 부딪치기 때문에 윗니가 자극을 받으면서 치아가 앞으로 뻗치는 힘을 받게 됩니다. 그래서 이런 교합의 문제로 치아가 벌어지게 될 수 있습니다.

치조골&잇몸의 문제
전체적으로 '잇몸이 안좋다'고 표현을 하는데 치조골과 잇몸이 좋지 않은 경우에는 치아를 잡고 있는 힘이 약하기 때문에 치아가 앞으로 뻗치게 되고, 치아가 벌어지게 됩니다.
이렇듯 교합적인 문제, 치주질환 문제 등으로 치아가 벌어질 수 있으며 벌어진 치아를 가지고 있는 분들의 경우 언제든 더 벌어질 수 있습니다. 오늘 보신 환자분의 케이스처럼 재보철을 했는데도 다시 벌어지는 경우가 많기 때문에 주의해주셔야 합니다.
치아 벌어짐을 예방하는 방법은?

스플린트 형태의 보철 제작
앞니가 벌어진 경우 치아가 벌어지지 않도록 이어져있는 스플린트 형태의 보철을 제작하면 치아 벌어짐을 예방할 수 있습니다. 보철이 이어져있는 앞니는 벌어지지 않을 수 있지만, 옆에 있는 치아들이 벌어지는 일이 생길 수 있습니다.

유지장치 사용하기
치아가 움직이지 않도록 보조적인 유지장치를 활용하면 치아벌어짐을 방지할 수 있습니다.
이처럼 오늘은 치아 벌어짐에 대한 설명을 드렸는데요. 다음에는 또 다른 케이스를 통해 포스팅해보도록 하겠습니다 :)
더 보기
이 병원의 공개 콘텐츠를 계속 살펴보세요
출처 아카이브로 돌아가 더 많은 글을 보거나, 병원 프로필로 이동해 다른 공개 채널도 함께 비교해보세요.