강남 치과 퍼펙트치과
치아 모양 때문에 뻐드러져 보일 수 있다?
오늘은 지난 시리즈에 이어서 못생긴 앞니를 라미네이트로 어떻게 개선했는지 알아보도록 하겠습니다. 전에 소개해드렸던 내용과 비슷하게 위는 좁고 아래로 내려갈수록 넓어지는 삼각형 모양의 치아입니다. 오늘은 앞선 케이스보다 더 퍼져있는 삼각형 모양의 케이스입니다. 어떤 케이스이고, 어떻게 개선을 했...
아카이브 요약
이 페이지의 역할
강남 치과 퍼펙트치과 | gangnam dentist clinic Perfect Dentistry | 江南 歯科 パーフェクト歯科의 네이버 블로그 원문을 보존한 아카이브 페이지입니다. 치아성형 카테고리의 치아 모양 때문에 뻐드러져 보일 수 있다? 글을 통해 병원의 한국어 정보 제공 방식과 진료 관련 안내 톤을 확인할 수 있습니다.

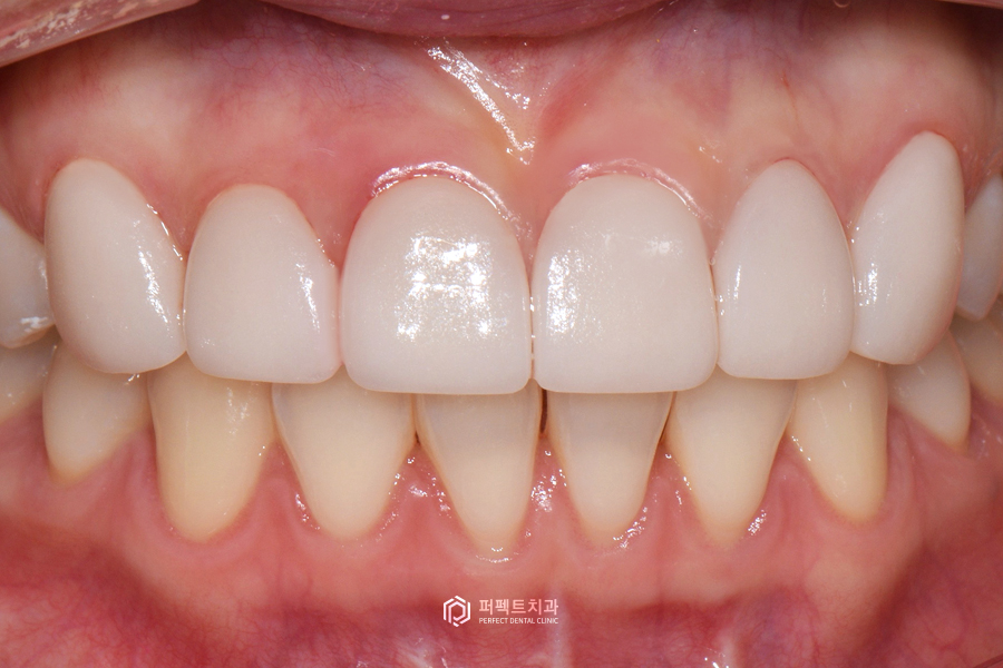
오늘은 지난 시리즈에 이어서 못생긴 앞니를 라미네이트로 어떻게 개선했는지 알아보도록 하겠습니다. 전에 소개해드렸던 내용과 비슷하게 위는 좁고 아래로 내려갈수록 넓어지는 삼각형 모양의 치아입니다.
오늘은 앞선 케이스보다 더 퍼져있는 삼각형 모양의 케이스입니다. 어떤 케이스이고, 어떻게 개선을 했는지 한 번 살펴보도록 하겠습니다.

아까 말씀드린 것처럼 위가 좁고, 바깥쪽으로 퍼지는 삼각형 모양의 치아입니다. 치열이 가지런하더라도 치아 모양으로 스트레스를 받는 환자분들도 많이 계시는데요.
치아가 삼각형 모양으로 넓어지면 많이 뻐드러져 보이는 시각적 효과가 있는데 일반적으로 뻐드러진 치아 모양보다 치아가 서보이고, 들어가보이는 형태를 원하시는 경우가 많습니다.
요즘 유행하거나 많이 하시는 치아 형태는 가지런하게 일자로 내려오는 형태인데요. 이 환자분도 마찬가지로 삼각형 모양의 치아를 일자로 가지런하게 내려오는 모양으로 개선을 한 케이스입니다.

치료 후 사진을 보시면 치아 모양이 일자로 가지런하게 내려오는 것을 볼 수 있습니다. 전체적으로 6개의 치아를 반듯하고 일자로 떨어지게 만들어드렸고, 환자분께서도 치아 모양에 만족하셨습니다.


전후 사진을 보시면 더 확실하게 알 수 있습니다. 치아가 가지런하고 일자형태로 떨어짐과 동시에 밝아지면서 세련된 느낌이 드는 것을 알 수 있습니다.
오늘은 새로운 못생긴 앞니 케이스에 대해서 알아보았습니다. 오늘 보신 케이스처럼 밑으로 퍼져보이는 삼각형 모양의 치아는 일자형태로 만들어주면 모양이 더 예뻐보이게 됩니다.
다음에 또다른 케이스로 찾아오겠습니다. 감사합니다 :)
🚨
본 콘텐츠의 디자인, 구성 등 모든 사항은 퍼펙트 치과에서 자체 제작되었으며 무단 도용 시 법적 처벌을 받을 수 있습니다.
ⓒ Perfect Dental Clinic Corp
더 보기
이 병원의 공개 콘텐츠를 계속 살펴보세요
출처 아카이브로 돌아가 더 많은 글을 보거나, 병원 프로필로 이동해 다른 공개 채널도 함께 비교해보세요.