강남 치과 퍼펙트치과
클리피씨를 이용한 부분교정, 얼마나 걸릴까?
안녕하세요. 오늘은 다른 부분교정과는 다르게 클리피씨 장치를 이용한 부분교정 케이스에 대해서 알아보도록 하겠습니다. 보통 이렇게 앞니가 많이 삐뚤거리는 경우에는 부분교정으로 치료를 간단하게 할 수 있습니다. 보통 부분교정을 하는 경우 간단한 장치를 이용해서 교정을 하시는데 위 환자분...
아카이브 요약
이 페이지의 역할
강남 치과 퍼펙트치과 | gangnam dentist clinic Perfect Dentistry | 江南 歯科 パーフェクト歯科의 네이버 블로그 원문을 보존한 아카이브 페이지입니다. 치아교정 카테고리의 클리피씨를 이용한 부분교정, 얼마나 걸릴까? 글을 통해 병원의 한국어 정보 제공 방식과 진료 관련 안내 톤을 확인할 수 있습니다.

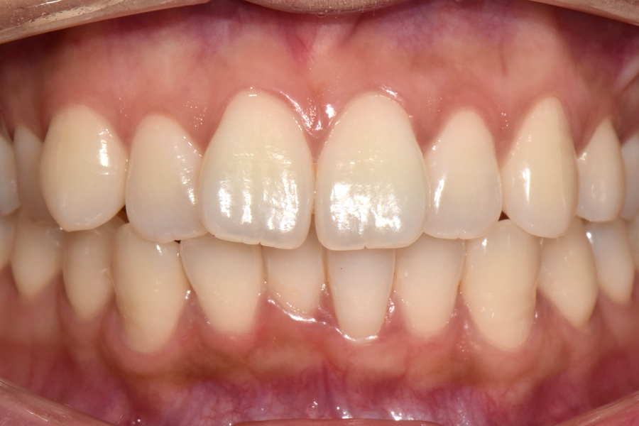
안녕하세요. 오늘은 다른 부분교정과는 다르게 클리피씨 장치를 이용한 부분교정 케이스에 대해서 알아보도록 하겠습니다. 보통 이렇게 앞니가 많이 삐뚤거리는 경우에는 부분교정으로 치료를 간단하게 할 수 있습니다.

보통 부분교정을 하는 경우 간단한 장치를 이용해서 교정을 하시는데 위 환자분과 같은 케이스는 치아 모양과 어금니가 물리는 것도 양호하신 편이여서 조금 더 정밀한 교합을 위해 클리피씨 교정을 진행하였습니다.


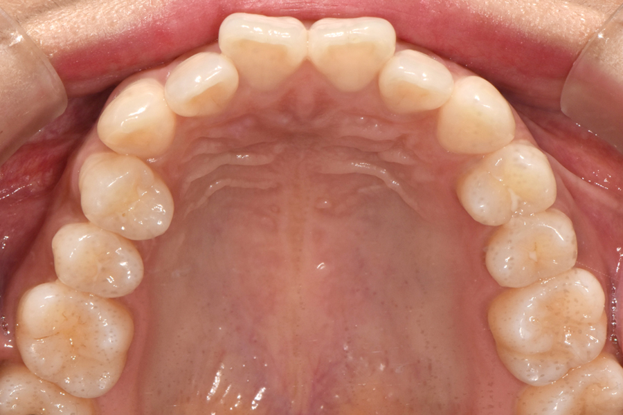
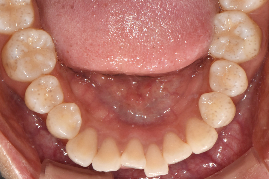
윗니를 보시면 치아 위치가 많이 틀어진 것을 볼 수 있는데요. 아래쪽 같은 경우 비교적 윗니보다 낫지만 그래도 한 쪽 치아가 좀 많이 튀어나와 있고 전체적인 악궁 형태가 조금 찌그러져 있는 것을 볼 수 있습니다.

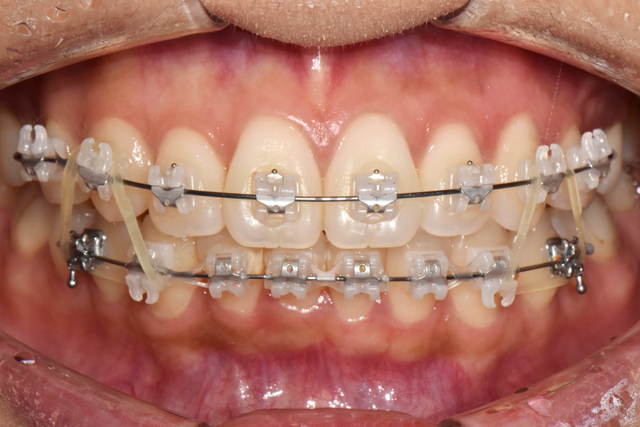
초창기에 교정장치를 부착하고 1차 배열을 한 뒤, 대략 2개월이 지난 후의 모습입니다. 생각보다 환자분의 치아가 잘 움직여주셔서 처음보다 치아 배열이 많이 펴져 있는 것을 볼 수 있습니다.
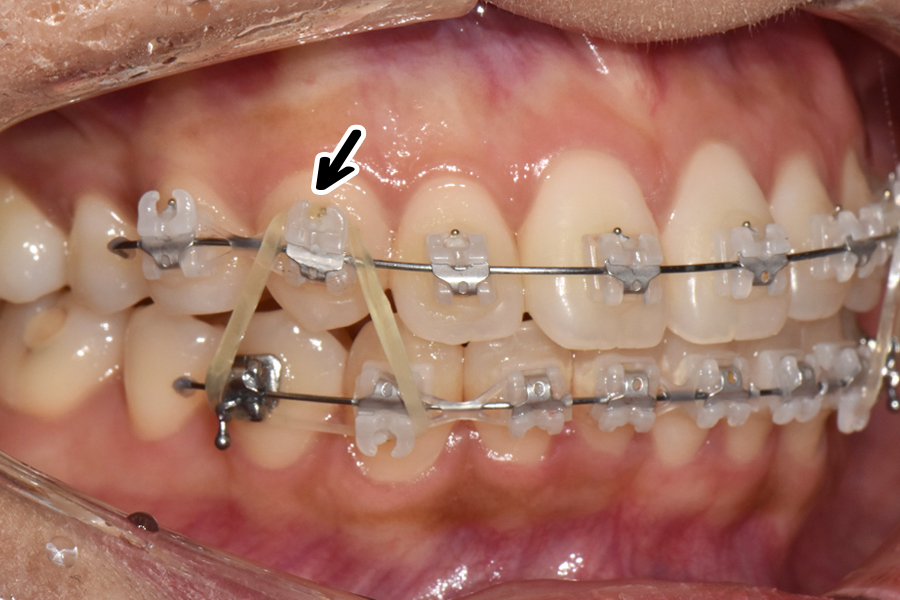
일반적인 미니튜브 교정 같은 경우에는 치아를 2차원적으로 밖에 움직일 수 없는데 클리피씨 교정 같은 경우에는 조금 더 치아를 정밀하게 움직이고 3차원적으로 치아를 조절할 수 있는 면이 있기 때문에 고무줄로 더 정밀한 교합을 만들고 있는 것을 보실 수 있습니다.

옆에서 보면 표시된 부분이 좀 많이 떠있기 때문에 고무줄을 이용해 붙잡고 있는 것을 보실 수 있고, 아래에서는 작은 고무줄을 이용해 치아를 회전시키는 것을 볼 수 있습니다.

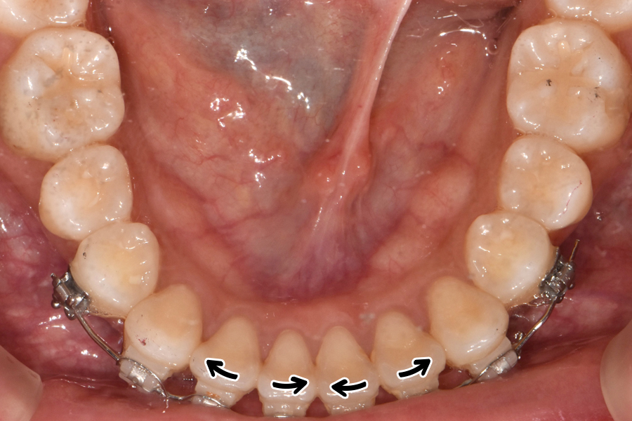
처음에는 삐뚤었던 치아 배열을 사진상 표시도니 것처럼 화살표 방향으로 돌리는 것을 볼 수 있는데, 클리피씨 교정 같은 경우에는 좀 더 장치가 크고 비용도 기타 장치에 비해 조금 더 비싸지만 그만큼 치아를 더 정밀하게 잡을 수 있다는 장점이 있습니다.

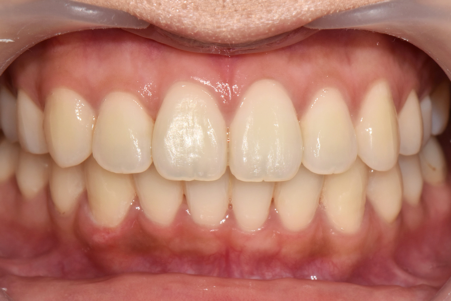
교정을 3월에 시작하셨는데 5개월이 지난 후의 모습입니다.
부분교정의 경우에는 중심선을 맞추기가 굉장히 어려운데 환자분 교합이 괜찮으시고 치아도 잘 움직여주셔서 가운데 선을 맞출 수 있게 되었고, 교합도 거의 전체교정을 한 것처럼 아주 예쁜 효과를 얻을 수 있었습니다.

때문에 환자분께서도 교정 결과에 굉장히 만족을 하셨고, 웃었을 때도 자연스럽게 치아 모양이 예쁘게 유지되는 것을 보실 수 있습니다.


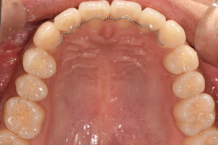
교정이 끝난 후 유지장치를 붙여드렸고 유지장치는 교정이 끝나도 최소 1~2년 정도 부착하는 것이 좋습니다.
오늘은 클리피씨를 이용한 부분교정 케이스를 함께 알아보았는데요. 환자분의 경우 치아도 너무 잘 움직였고 결과물도 저희가 보았을 때 만족스럽게 나와서 부분교정으로 얻을 수 잇는 최상의 결과를 얻은 것 같습니다.


보통 부분교정 같은 경우 전체교정과는 다르게 3~6개월 정도, 길어도 1년 이내에 교정이 완료된다는 장점이 있으며, 전체교정에 비해 환자분이 느끼는 불편감도 적다는 장점이 있습니다.
MTA교정을 해야할 수도 있고, 좀 더 복잡한 클리피씨 교정을 해여할 수도 있는데 이렇게 케이스 선택을 잘 하게 되면 조금 더 부피가 큰 장치를 선택했지만 그래도 더 완벽한 교합을 형성할 수 있었기 때문에 이런 경우 클리피씨 교정을 추천해드리고 있습니다.
다음에는 또 다른 케이스로 찾아뵙도록 하겠습니다. 감사합니다 :)
🚨
본 콘텐츠의 디자인, 구성 등 모든 사항은 퍼펙트 치과에서 자체 제작되었으며 무단 도용 시 법적 처벌을 받을 수 있습니다.
ⓒ Perfect Dental Clinic Corp
더 보기
이 병원의 공개 콘텐츠를 계속 살펴보세요
출처 아카이브로 돌아가 더 많은 글을 보거나, 병원 프로필로 이동해 다른 공개 채널도 함께 비교해보세요.