강남 치과 퍼펙트치과
나비치아, 부분교정vs라미네이트 치과의사가 추천하는 방법은?
안녕하세요. 오늘은 중요하고 재밌는 내용을 준비해보았는데요. 나비치아인 경우 부분교정과 라미네이트 중 어떤 치료를 선택해야 하는지 그리고 치료 후 결과는 어떻게 다른지에 대해 비교하면서 설명을 드려볼까 합니다. 먼저 부분교정과 라미네이트에 대해 말씀을 드리자면 부분교정이란 앞니에만...
아카이브 요약
이 페이지의 역할
강남 치과 퍼펙트치과 | gangnam dentist clinic Perfect Dentistry | 江南 歯科 パーフェクト歯科의 네이버 블로그 원문을 보존한 아카이브 페이지입니다. 치아교정 카테고리의 나비치아, 부분교정vs라미네이트 치과의사가 추천하는 방법은? 글을 통해 병원의 한국어 정보 제공 방식과 진료 관련 안내 톤을 확인할 수 있습니다.

안녕하세요. 오늘은 중요하고 재밌는 내용을 준비해보았는데요. 나비치아인 경우 부분교정과 라미네이트 중 어떤 치료를 선택해야 하는지 그리고 치료 후 결과는 어떻게 다른지에 대해 비교하면서 설명을 드려볼까 합니다.

먼저 부분교정과 라미네이트에 대해 말씀을 드리자면 부분교정이란 앞니에만 브라켓 장치를 붙여 치아의 틀어진 배열을 가지런하게 만들어주는 방법이고, 라미네이트는 치아의 배열이 아닌 세라믹 보철을 덧붙여 치아의 모양과 색상을 바꾸는 치료로써 결과적으로 두 가지는 완전히 다른 방향의 치료라는 것을 알 수 있습니다.
환자분이 원하는 목표, 비용, 기간 등을 고려해서 내가 원하는 치료를 선택해야 한다는 것입니다.
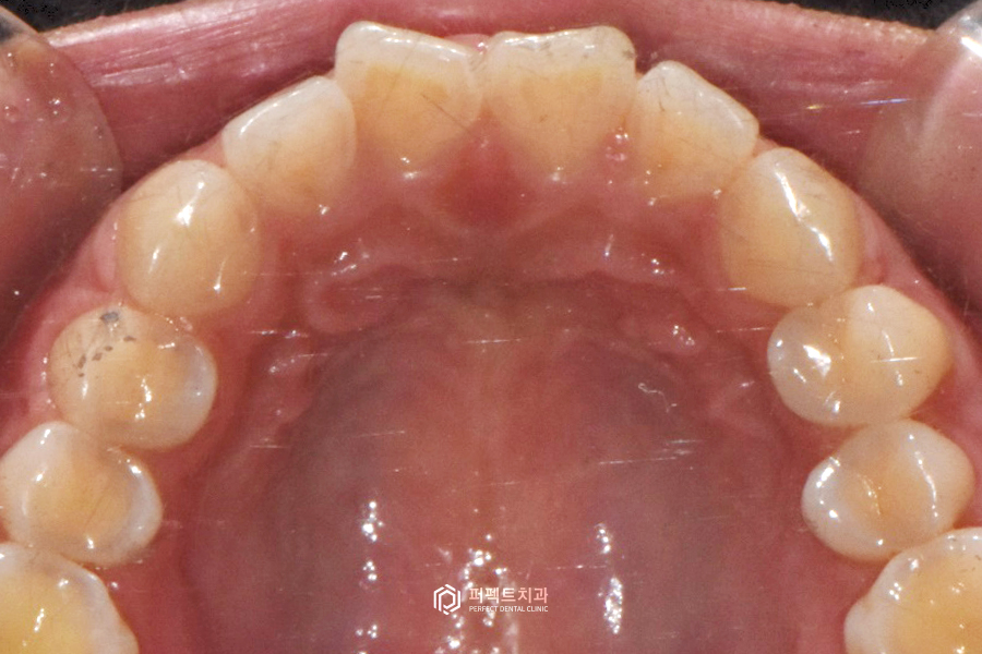
나비치아 부분교정 case


먼저 앞니의 배열을 바꾸는 부분교정 케이스를 확인해보겠습니다. 앞니가 V자로 꺾여있는 나비치아인 것을 한 눈에 알 수 있는데요. 환자분께서는 이 꺾여있는 나비치아를 둥그렇게, 정상적인 치아배열을 원하시는 상황이었습니다.
위 환자분은 MTA(미니튜브)교정을 진행하셨고, 비용도 다른 교정장치에 비해 저렴한 편이기 때문에 경제적인 부담이 적고, 장치의 크기도 작아 눈에 띄는 교정장치가 부담스러운 분들에게도 적합한 장치라고 할 수 있습니다.

치료 기간은 3개월 정도 소요가 되었는데요. 3개월 교정을 진행한 후의 사진을 보시면 치아가 가지런하게 완성이 된 것을 볼 수 있습니다. 치아 끝을 조금 다듬어드려서 환자분이 더욱 만족하실 수 있는 결과가 나오게 되었습니다.
환자분의 목표는 치아 배열만 가지런하게 하고싶다는 것이었기 때문에 이렇게 교정 후 마무리가 되었습니다.
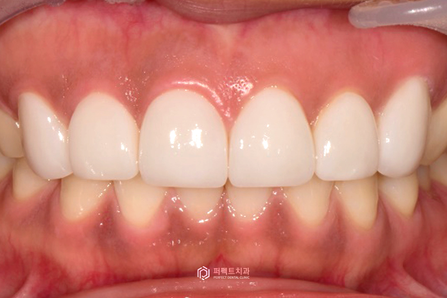
나비치아 폴리네이트 case


교정을 하지 않고 폴리네이트로 완성을 한 케이스를 확인해보도록 하겠습니다. 치료 전 사진을 보시면 위 환자분도 부분교정 케이스와 마찬가지로 앞니 바깥쪽 부분이 튀어나와 있는 전형적인 나비치아 케이스인 것을 확인할 수 있습니다.
치아 배열만 바꾸기를 원한다면 앞니부분교정을 통해 해결할 수 있지만 위 환자분은 하얗고 가지런한 치아를 원하셨고, 치아 모양도 현재 치아보다 크게 개선되길 바라는 목표가 있었기 때문에 부분교정과는 맞지 않는 상황이었습니다.
부분교정을 먼저 하고 폴리네이트를 하게 되면 치아삭제량을 조금 더 줄일 수 있지만 치아교정을 원하지 않으셨고, 교정 없이 한 번에 라미네이트로 치료를 하길 원하셨습니다.

치아를 다듬은 후의 사진입니다.
치아삭제를 최소한으로 줄여 다듬는 위주로 진행을 했고, 앞니를 제외한 나머지 4개 치아는 약 0.1mm이내로 다듬기, 튀어나와 있던 앞니 바깥쪽 부분은 0.2~0.3mm이내로 삭제를 조금 더 진행하였습니다.

이렇게 완성된 모습입니다. 환자분께서 요구하신 하얀 색상+가지런한 느낌+조금 더 큰 치아의 요구사항을 반영하여 제작하였기 때문에 결과에 만족하셨습니다 :)
앞니의 튀어나와 있는 부분들은 치아삭제를 할 때 신경치료를 해야하는 가능성이 생기기도 하는데 다행이도 환자분은 신경치료와 전혀 관계없이 마무리까지 완벽하게 진행이 되었고 원하는 부분들을 모두 반영하여 치료를 진행하였습니다.

사진을 보시면 끝난 결과의 느낌이 다른 것을 볼 수 있습니다. 부분교정을 진행한 환자분은 치아의 배열만 가지런해졌는데요. 물론 치아가 조금 반듯해보이는 것은 치아쉐이핑을 통해 끝을 다듬어드렸기 때문입니다. 부분교정을 진행하신 환자분의 경우 라미네이트를 원하지 않으셨기 때문에 교정만 해서 완성을 하였습니다.
폴리네이트를 진행하신 환자분의 경우 치아 모양, 색상이 조금 더 깨끗하고 가지런해진 느낌이 드는 것을 볼 수 있습니다. 폴리네이트는 치아성형, 치아교정은 치아의 배열만 바꾸는 치료라고 생각하시면 될 것 같습니다.
나비치아를 교정으로 배열만 바꾸기도 하고 폴리네이트로 모양과 색상을 바꾸기도 했는데 이처럼 나비치아로 고민하시는 분들의 경우 잘 고민하셔서 본인의 상황에 맞게 선택하시면 좋을 것 같습니다.
치아배열만 반듯해도 심미적이라고 생각하실 수 있기 때문에 무조건 라미네이트를 한다고 더 예쁜 치아라고 말씀드리기는 어렵습니다. 그렇기 때문에 한 번 잘 고민하고 생각해보시면 큰 도움이 되실 수 있을 것 같습니다. 오늘은 치아교정과 폴리네이트에 대해서 설명을 드렸습니다. 도움이 되셨을 거라 생각이 듭니다. 감사합니다 :)
🚨
본 콘텐츠의 디자인, 구성 등 모든 사항은 퍼펙트 치과에서 자체 제작되었으며 무단 도용 시 법적 처벌을 받을 수 있습니다.
ⓒ Perfect Dental Clinic Corp
더 보기
이 병원의 공개 콘텐츠를 계속 살펴보세요
출처 아카이브로 돌아가 더 많은 글을 보거나, 병원 프로필로 이동해 다른 공개 채널도 함께 비교해보세요.