아카이브 요약
이 페이지의 역할
퍼펙트치과의원 강남역점의 네이버 블로그 원문을 보존한 아카이브 페이지입니다. 치아성형 카테고리의 6년 전 라미네이트 교체&연장, 그 이유는?😯 글을 통해 병원의 한국어 정보 제공 방식과 진료 관련 안내 톤을 확인할 수 있습니다.
원문 검증
필요하면 원문 블로그와 병원 프로필로 바로 이동해 문맥을 다시 확인할 수 있습니다.
출처 아카이브 열기아카이브된 블로그 글
퍼펙트치과의원 강남역점 · Naver Blog
안녕하세요. 오늘은 폴리네이트 케이스이고, 재치료를 받은 케이스에 대해 리뷰하는 시간을 가져보도록 하겠습니다. 예전에 폴리네이트를 하셨다가 제거하고 다시 하신 경우이고, 왜소치가 포함되어 있습니다. 유행에 따라 환자분들이 선호하시는 치아 모양도 변하기 때문에 이 환자분께서도 요즘 스타일로 바꾸길 원하...
게시일
2022년 11월 7일
원문 기준으로 확인된 발행일입니다.
카테고리
치아성형
원문 블로그 카테고리를 정리해 함께 표시합니다.
이미지 수
8
현재 아카이브에 연결된 이미지 수입니다.
아카이브 요약
퍼펙트치과의원 강남역점의 네이버 블로그 원문을 보존한 아카이브 페이지입니다. 치아성형 카테고리의 6년 전 라미네이트 교체&연장, 그 이유는?😯 글을 통해 병원의 한국어 정보 제공 방식과 진료 관련 안내 톤을 확인할 수 있습니다.
원문 검증
필요하면 원문 블로그와 병원 프로필로 바로 이동해 문맥을 다시 확인할 수 있습니다.
출처 아카이브 열기
안녕하세요. 오늘은 폴리네이트 케이스이고, 재치료를 받은 케이스에 대해 리뷰하는 시간을 가져보도록 하겠습니다. 예전에 폴리네이트를 하셨다가 제거하고 다시 하신 경우이고, 왜소치가 포함되어 있습니다.
유행에 따라 환자분들이 선호하시는 치아 모양도 변하기 때문에 이 환자분께서도 요즘 스타일로 바꾸길 원하셔서 재치료를 하게 되었습니다.


초진 사진을 보시면 앞서 말씀드린 것처럼 앞니 옆 측절치가 다른 치아에 비해 크기가 작은 왜소치인 것을 알 수 있습니다. 양 쪽 모두 왜소치이고, 같은 치아이지만 왼쪽 치아가 더 작은 것을 알 수 있는데요.
치아 삭제가 적을수록 치아 손상이 적기 때문에 대부분의 환자분들이 최소한의 치아 삭제를 원하시지만 위 환자분의 경우 왜소치의 크기가 달라 왜소치를 대칭으로 만들기 위해서는 옆에 있는 앞니를 많이 삭제해서 옆 공간을 터주고, 왜소치를 확대할 수 있는 공간을 만들어주어야 하기 때문에 완벽하게 대칭으로 만들기는 어려운 상황이었습니다.
위 환자분은 6~7년 전에 처음으로 폴리네이트를 하셨는데, 그 때는 동글동글하고 자연스러운 치아디자인을 원하셨습니다.

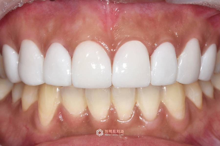
총 6전치 폴리네이트를 진행한 사진입니다. 왜소치 부분을 보시면 오른쪽보다 왼쪽 송곳니의 크기가 더 작고 완전히 대칭으로 만드는 것이 어려운 부분이 있었지만 다행히도 비슷하게 보이는 효과를 얻을 수 있었습니다.

참고용 사진
송곳니 뒤에 있는 작은 어금니 즉 소구치라고 표현을 하는데 요즘에는 대부분 웃을 때 소구치까지 보이기 때문에 라미네이트를 하시는 경우 소구치~소구치까지 8전치를 많이 하시고 있습니다.

또 하나는 치아 모양도 끝이 동그란 것보다 요즘 유행하는, 화면에 꽉 차보이는 할리우드 스타일로 바꾸기를 원하셨습니다.


처음에는 치아 끝 라인을 동그랗게, 자연치아의 모양을 살려서 진행을 했는데 재시술을 하실 때에는 조금 더 가지런한 느낌을 원하셔서 꽉 차보이는 일자 형대로 진행을 하였고, 가능한 왜소치도 크게 보일 수 있도록 했습니다.
치아색상의 경우 더 하얗게 하길 원하셨지만, 사진 상에 있는 색상으로 하기로 하시고 마무리 하였습니다.
이 환자분의 경우 위 아래 치아를 같이 하지 않은 이유는 말할 때 아래 치아가 잘 보이지 않기 때문입니다. 이 또한 치료를 할 때 중요한 고려점이 됩니다. 말 할 때 아래 치아가 잘 보이지만 이 때 위 치아만 라미네이트를 한다고 하시는 경우도 있는데 이는 맞지 않는 치료방법일 수 있습니다.
예쁘게 보이려고 하는 치료임에도 불구하고 안보이는 곳을 치료하면 의미가 없기 때문에 항상 상황에 맞게 진단과 치료계획을 잘 수립해서 진행을 하는 것이 중요합니다. 오늘 폴리네이트 케이스는 여기서 마무리 하겠습니다. 감사합니다 :)
🚨
본 콘텐츠의 디자인, 구성 등 모든 사항은 퍼펙트 치과에서 자체 제작되었으며 무단 도용 시 법적 처벌을 받을 수 있습니다.
ⓒ Perfect Dental Clinic Corp