아카이브 요약
이 페이지의 역할
퍼펙트치과의원 강남역점의 네이버 블로그 원문을 보존한 아카이브 페이지입니다. 임플란트 카테고리의 어금니가 없어 앞니로 음식을 드셨던..😰 어떻게 변했을까? 글을 통해 병원의 한국어 정보 제공 방식과 진료 관련 안내 톤을 확인할 수 있습니다.
원문 검증
필요하면 원문 블로그와 병원 프로필로 바로 이동해 문맥을 다시 확인할 수 있습니다.
출처 아카이브 열기아카이브된 블로그 글
퍼펙트치과의원 강남역점 · Naver Blog
안녕하세요. 오늘은 어떤 케이스를 가져왔는지 함께 보면서 설명을 드리도록 하겠습니다. 초진 파노라마 사진을 보시면 어금니가 많이 없는 것을 보실 수 있습니다. 그러다보니, 씹는 기능을 거의 앞니로만 하셨고 게다가 앞니 부분도 예전에 했던 보철물에 문제가 생겨서 앞니 보철을 교...
게시일
2022년 11월 15일
원문 기준으로 확인된 발행일입니다.
카테고리
임플란트
원문 블로그 카테고리를 정리해 함께 표시합니다.
이미지 수
14
현재 아카이브에 연결된 이미지 수입니다.
아카이브 요약
퍼펙트치과의원 강남역점의 네이버 블로그 원문을 보존한 아카이브 페이지입니다. 임플란트 카테고리의 어금니가 없어 앞니로 음식을 드셨던..😰 어떻게 변했을까? 글을 통해 병원의 한국어 정보 제공 방식과 진료 관련 안내 톤을 확인할 수 있습니다.
원문 검증
필요하면 원문 블로그와 병원 프로필로 바로 이동해 문맥을 다시 확인할 수 있습니다.
출처 아카이브 열기
안녕하세요. 오늘은 어떤 케이스를 가져왔는지 함께 보면서 설명을 드리도록 하겠습니다.

초진 파노라마 사진을 보시면 어금니가 많이 없는 것을 보실 수 있습니다. 그러다보니, 씹는 기능을 거의 앞니로만 하셨고 게다가 앞니 부분도 예전에 했던 보철물에 문제가 생겨서 앞니 보철을 교체하길 원하셨습니다.

윗니 사진을 보시면 어금니가 대부분 뿌리만 남아있거나 크라운이 벗겨져있어 제 기능을 못하는 상황이었습니다. 그리고 앞니 부분도 예전에 많이 사용했던 PFM크라운으로 치료가 되어있는데 이 부분도 깨져있고, 닳아있는 것을 볼 수 있습니다.

오 / 왼
치료 후 사진을 보시면 임플란트가 오른쪽 위에 2개, 왼쪽에 1개, 아래 2개 이렇게 치아가 없는 부위를 수복했습니다. 임플란트가 없는 왼쪽 어금니 부분은 기다렸다가 추후에 식립을 진행했습니다.

왼쪽 임플란트가 없었던 부분에 하나 더 식립을 했습니다. 왼쪽 어금니를 식립한 부분은 상악동이라고 하는 곳이 있는데 이 부분에 뼈가 없어서 기다렸다가 추후에 식립한 경우라고 보시면 될 것 같습니다.
이렇게 어금니는 총 7개의 임플란트를 식립했고, 앞니 보철과 아랫니 부분도 꼭 해야하는 부분은 다시 재치료를 했습니다.
사진 상 체크되어 있는 치아는 염증이 조금 남아있는 치아인데, 이 치아는 경과를 지켜보면서 치료가 필요한 경우 재신경치료나 발치 후 임플란트를 진행하기로 하였습니다.




없는 치아들은 임플란트를 통해 수복을 했고 위, 아래 사랑니도 발치를 하였습니다. 그리고 마찬가지로 앞니 부분 옛날 보철들을 지르코니아 크라운으로 교체를 했습니다.
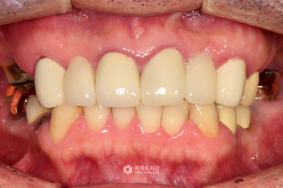
정면 사진을 보시면 기존에 했던 보철물보다 좀 더 자연스러운 색깔을 원하셔서 위 아래와 비슷한 색상을 진행을 했습니다.


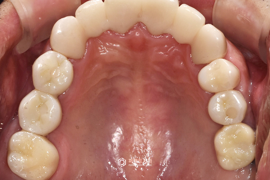
상악 사진을 보시면 뿌리만 남은 치아들과 치아가 없는 부분들을 임플란트로 수복하고, 앞니 보철까지 교체를 해서 윗니 전악 보철 케이스가 된 경우입니다.


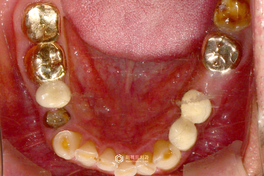
아랫니 같은 경우도 뿌리만 남은 부분들을 임플란트를 통해 수복을 했고, 자연치아는 쓸 수 있는 경우여서 치료를 하지 않고 그대로 사용하고 있는 경우입니다.
치아가 없는 부분은 임플란트로, 기존 보철물은 지르코니아 크라운으로 교체를 해서 윗니는 전체적으로 치아가 다시 완성된 케이스라고 생각을 하시면 될 것 같습니다.

치료를 할 때는 두가지 경우가 있습니다. 전체적인 치료 계획을 세워서 진행을 하느냐 아니면 원하는 치료만 선택해서 하느냐 이렇게 두 가지 방법이 있는데 이 중에 정답이 있는 것은 아닙니다.
우선순위를 잘 상담하셔서 내가 필요한 치료가 아니면 먼저 선행되어야 하는 치료를 잘 선별해서 치료하는 게 중요하다고 설명드리고 마무리 하겠습니다 :)
🚨
본 콘텐츠의 디자인, 구성 등 모든 사항은 퍼펙트 치과에서 자체 제작되었으며 무단 도용 시 법적 처벌을 받을 수 있습니다.
ⓒ Perfect Dental Clinic Corp