아카이브 요약
이 페이지의 역할
퍼펙트치과의원 강남역점의 네이버 블로그 원문을 보존한 아카이브 페이지입니다. 치아성형 카테고리의 개방교합(open bite)을 라미네이트로 해결할 수 있을까? 글을 통해 병원의 한국어 정보 제공 방식과 진료 관련 안내 톤을 확인할 수 있습니다.
원문 검증
필요하면 원문 블로그와 병원 프로필로 바로 이동해 문맥을 다시 확인할 수 있습니다.
출처 아카이브 열기아카이브된 블로그 글
퍼펙트치과의원 강남역점 · Naver Blog
오늘은 무삭제, 최소삭제 라미네이트인 폴리네이트에 대해서 한 가지 케이스를 알아보도록 하겠습니다. 그 중에서도 개방교합이라고 하는 open bite 케이스에 대해 알아보려고 하는데요. 개방교합이란, 치아의 끝과 끝이 맞닿지 않는 부정교합, 열려있는 교합에 대해서 문제점을 가지고 있는 경우인데 이런 경...
게시일
2022년 11월 21일
원문 기준으로 확인된 발행일입니다.
카테고리
치아성형
원문 블로그 카테고리를 정리해 함께 표시합니다.
이미지 수
8
현재 아카이브에 연결된 이미지 수입니다.
아카이브 요약
퍼펙트치과의원 강남역점의 네이버 블로그 원문을 보존한 아카이브 페이지입니다. 치아성형 카테고리의 개방교합(open bite)을 라미네이트로 해결할 수 있을까? 글을 통해 병원의 한국어 정보 제공 방식과 진료 관련 안내 톤을 확인할 수 있습니다.
원문 검증
필요하면 원문 블로그와 병원 프로필로 바로 이동해 문맥을 다시 확인할 수 있습니다.
출처 아카이브 열기
오늘은 무삭제, 최소삭제 라미네이트인 폴리네이트에 대해서 한 가지 케이스를 알아보도록 하겠습니다. 그 중에서도 개방교합이라고 하는 open bite 케이스에 대해 알아보려고 하는데요. 개방교합이란, 치아의 끝과 끝이 맞닿지 않는 부정교합, 열려있는 교합에 대해서 문제점을 가지고 있는 경우인데 이런 경우 어떻게 극복을 했는지 사진을 보면서 알아보도록 하겠습니다.


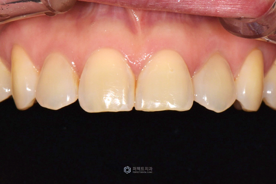
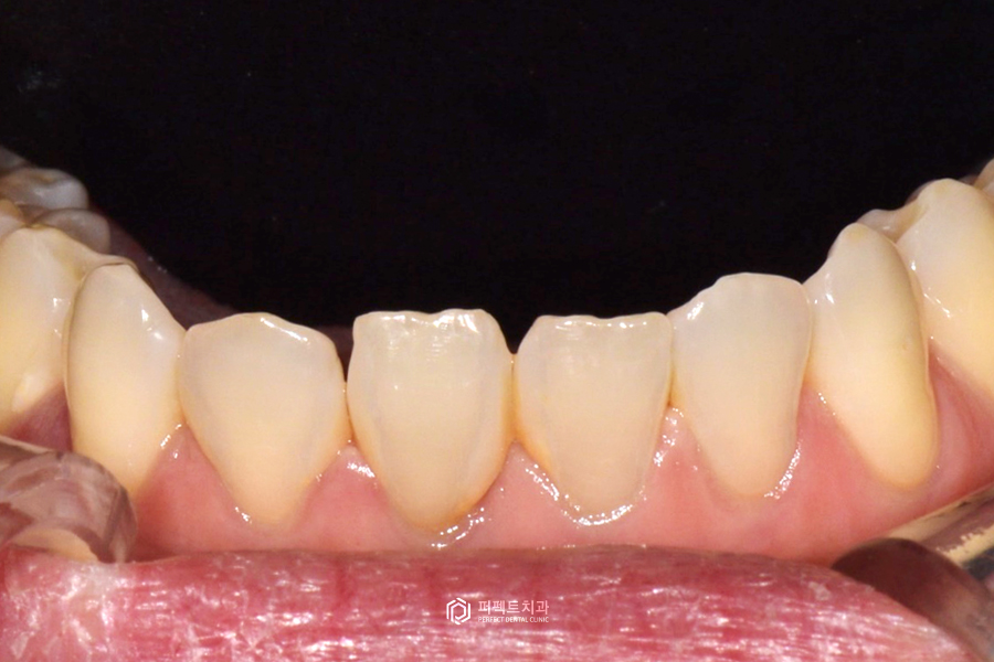
위 치아 사진을 보시면 치아 색상이 조금 노랗고 치아 끝 모양이 삐뚤빼뚤, 뾰족한 것을 볼 수 있고, 아래 치아도 보시면 치아 끝이 불규칙하고 치아 사이가 벌어져 있는 것을 알 수 있습니다.
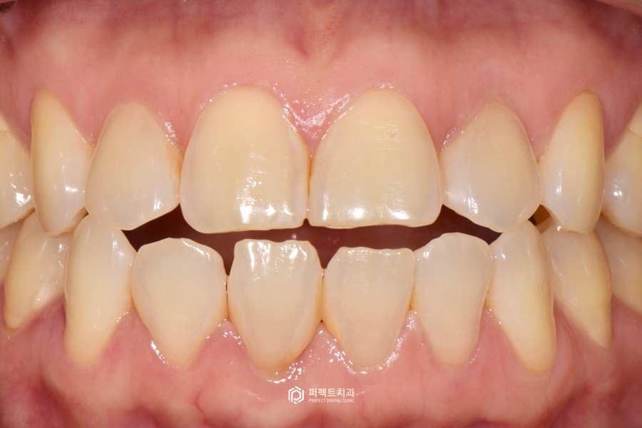
이렇게 각각 위, 아래 사진만 보았을 때에는 어떤 교합적인 문제가 보이지 않는데요. 이번에는 치아가 맞물려있는 정면 사진을 보도록 하겠습니다.

윗니와 아랫니가 서로 닿지 않고 벌어져 있는 개방교합이라는 것을 사진을 통해 확인할 수 있습니다.
"그렇다면 이런 경우 어떻게 치료를 해야할까요?"
기본적으로 치아교정을 통해 치아를 하는 것이 원칙적인 방법입니다. 하지만 환자분은 교정치료를 원하지 않는 상황이었는데요. 이 때 무조건적으로 보철치료를 권하는 것이 아니라, 치아상태에 따라 치료방향을 충분히 설명해드리고 환자분의 의사를 여쭤보는 것이 선행되어야 합니다.
만약 환자분이 교정치료를 할 수 없는 상황이거나, 교정치료를 원하지 않는 상황이시라면 다른 대안을 제시해드려야 합니다. 위 환자분의 경우 최소삭제 폴리네이트를 통해 극복하는 방안에 대해 설명을 드렸고, 환자분도 폴리네이트를 원하셔서 오신 경우이기 때문에 폴리네이트를 통해 치료를 하였습니다.

보철 색상의 경우 환자분께서 직접 고르신 색상인데요. 요즘에는 대부분 연세가 있으셔도 하얀 색상을 고르는 추세입니다. 위 환자분도 50대 여성분이지만, 밝은 색상을 원하셔서 원하시는 색상으로 진행을 해드렸습니다. 항상 말씀드렸듯이 화면으로 봤을 때는 어색해보일 수 있지만, 실제 얼굴과 함께 보면 자연스럽고 밝은 느낌이 듭니다.
그리고 개방교합으로 인해 열려보였던 부분도 닫혀보이도록 만들어드렸습니다.



환자분이 원하셨던 목표인 <①하얗고 ②가지런한 치아 ③열린 공간 닫기> 세 가지 부분을 해소한 것을 알 수 있습니다.
오늘은 앞니가 닿지 않는 개방교합인 케이스를 교정치료 없이 폴리네이트로 진행한 경우에 대해서 알아보았는데요. 어떻게 보면 생각보다 굉장히 드라마틱하게 변했다고 볼 수 있습니다.
원하는 치아 형태, 모양은 만들어드릴 수 있지만 치료 전의 치아 상태는 개인마다 다 다른데요. 오늘 보신 케이스처럼 치아가 많이 열려있는 개방교합인 경우, 치아가 깊게 물린 과개교합인 경우, 치아가 벌어진 경우, 치아가 삐뚤빼뚤한 경우 등 다양한 케이스들이 있는데 이는 꼭 교정이 아니라도 치아를 예쁘게 만들 수 있는 다양한 방법들이 있기 때문에 상담을 통해서 좋은 방향을 선택해 치료를 하신다면 보다 만족스러운 결과를 얻을 수 있을 것이라 생각이 듭니다.
🚨
본 콘텐츠의 디자인, 구성 등 모든 사항은 퍼펙트 치과에서 자체 제작되었으며 무단 도용 시 법적 처벌을 받을 수 있습니다.
ⓒ Perfect Dental Clinic Corp