강남 치과 퍼펙트치과
라미네이트 디자인👄|치과의사가 고른 것vs환자가 고른 것, 어떤 걸로?
안녕하세요. 오늘 알아볼 케이스는 폴리네이트 케이스 중 한 가지인데요. 어떤 경우냐면, 환자분에게 권해드린 치아 모양과 환자분이 원했던 치아 모양이 너무 달라서 환자분이 원하시는대로 해드렸던 경우입니다. 환자분의 본래 치아는 일반적으로 평범하고 가지런한 치아입니다. 환자분이 싫어하셨...
아카이브 요약
이 페이지의 역할
강남 치과 퍼펙트치과 | gangnam dentist clinic Perfect Dentistry | 江南 歯科 パーフェクト歯科의 네이버 블로그 원문을 보존한 아카이브 페이지입니다. 치아성형 카테고리의 라미네이트 디자인👄|치과의사가 고른 것vs환자가 고른 것, 어떤 걸로? 글을 통해 병원의 한국어 정보 제공 방식과 진료 관련 안내 톤을 확인할 수 있습니다.

안녕하세요. 오늘 알아볼 케이스는 폴리네이트 케이스 중 한 가지인데요. 어떤 경우냐면, 환자분에게 권해드린 치아 모양과 환자분이 원했던 치아 모양이 너무 달라서 환자분이 원하시는대로 해드렸던 경우입니다.

환자분의 본래 치아는 일반적으로 평범하고 가지런한 치아입니다. 환자분이 싫어하셨던 건 치아 끝과 끝이 나누어지는 공간이었습니다. 환자분은 이런 부분을 매우 싫어하시고, 이 공간 때문에 스트레스를 많이 받으시는 상황이었습니다.
그리고 치아 색깔도 노랗다고 하셔서, 현재 치아보다 많이 밝은 색상으로 원하셨고 치아 끝이 나누어지는 공간을 전부 없애달라고 하셨습니다.

아래 치아는 공간이 크지 않습니다. 그리고 위에 치아에 맞춰서 윗니와 마찬가지로 반듯하고 하얗게 바꾸기를 원하셨습니다.

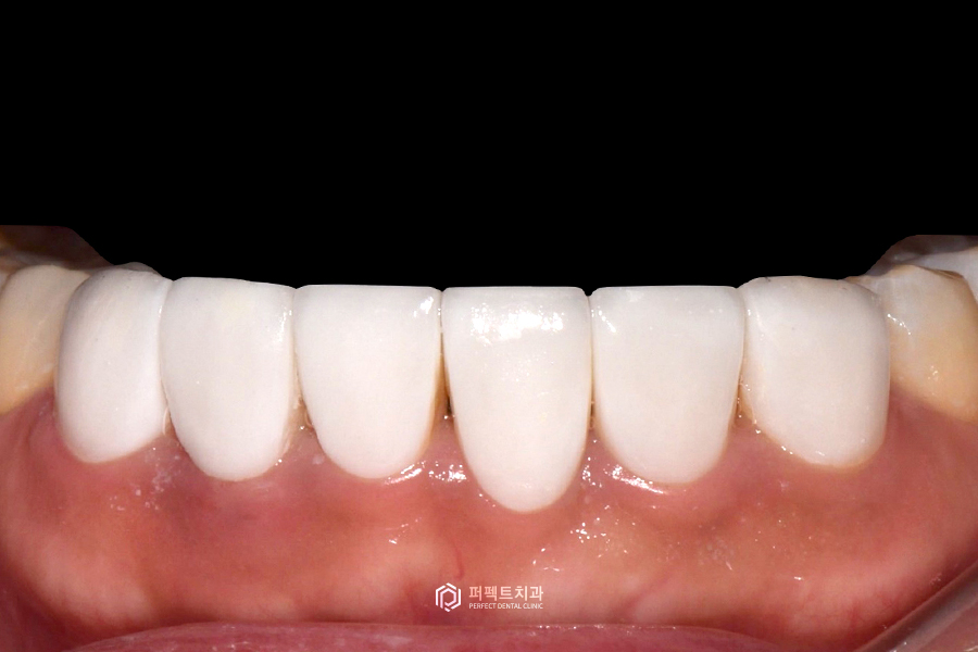
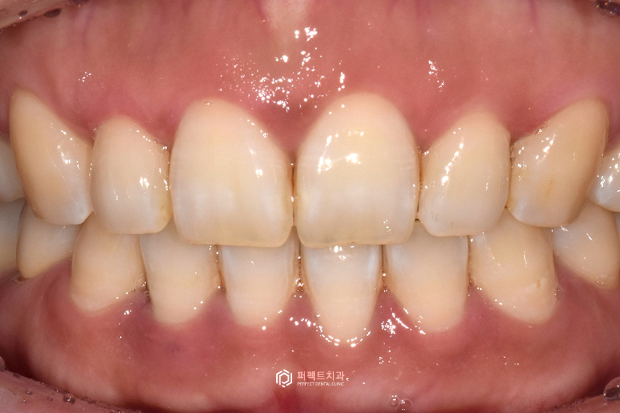
위 아래 치아가 맞물린 사진을 보시면 치아 배열이나 치아 상태로 봤을 때는 무난한, 나쁘지 않은 경우인데 아까 말씀드린 대로 환자분이 원하시는 부분은 치아 끝 부분이 벌어지는 부위를 꽉차게, 노란 치아를 완전히 하얗게 만들어달라고 하시는 거였는데요.


치료 후 사진을 보시면 환자분이 싫어하셨던 치아 끝 빈 공간을 하나도 없이 완전 꽉 차보이게 만들어드렸습니다.
개인적으로 너무 꽉 차있는 치아는 예뻐보이지 않아서 권해드리지는 않지만 환자분이 치아가 나눠지는 공간을 거의 하나도 안 보일 정도로 반듯하게 하길 아주 강력하게 원하셨기 때문에 환자분의 의견을 반영하여 치료를 진행하여습니다.
이렇게 환자분이 원하시는 것처럼 빈 공간이 거의 없을 경우에는 마우스피스 낀 것처럼 너무 꽉 차보이면서 인위적이고 남성적인 느낌이 강할 거라고 미리 설명을 드렸지만, 환자분은 꽉 차보이는 것을 원하셔서 환자분의 의견을 그대로 반영하여 만들어드렸습니다.


아랫니도 마찬가지로 윗니처럼 일자로, 반듯하고 하얗게 디자인 하였습니다. 여기서 조금 아쉬운 점은 원래 잇몸 자체가 조금 내려가서 긴 치아가 있는데 이런 경우 잇몸성형으로 길이를 맞춰볼 수 있지만 환자분은 원하지 않으셔서 환자분의 요구사항대로 맞춰서 만들어드렸습니다.


이 환자분은 윗니 6개, 아랫니 6개 총 위아래 12개 치료를 받으셨는데 웃을 때 작은 어금니까지 보이기 때문에 추후에 연장을 하기로 하셨습니다.

마지막으로 정리해보면 개인적으로는 끝이 살짝 둥근 디자인이 예쁘다고 생각하지만, 끝이 완전히 반듯하고 꽉 차보이는 디자인을 원하시는 환자분이셨고 결국 환자분이 원하시는 것이 정답이기 때문에 그 부분에 맞추어 환자분의 만족도를 높여드렸다고 생각하시면 좋을 것 같습니다.
오늘 보여드린 케이스가 도움이 되셨으면 좋겠습니다. 감사합니다 :)
🚨
본 콘텐츠의 디자인, 구성 등 모든 사항은 퍼펙트 치과에서 자체 제작되었으며 무단 도용 시 법적 처벌을 받을 수 있습니다.
ⓒ Perfect Dental Clinic Corp
더 보기
이 병원의 공개 콘텐츠를 계속 살펴보세요
출처 아카이브로 돌아가 더 많은 글을 보거나, 병원 프로필로 이동해 다른 공개 채널도 함께 비교해보세요.