강남 치과 퍼펙트치과
윗니 전체 신경치료 했다고?😱 교합평면이 뭐길래
안녕하세요. 오늘도 케이스 한 가지를 리뷰해볼까 합니다. 오늘은 전악 임플란트와 전체 치아를 씌운 전악 크라운 케이스가 합쳐진 경우라고 보시면 될 것 같습니다. 큰 케이스인데 정성을 들여서 한 케이스로 도움이 되길 바라는 마음에 리뷰를 하기로 하였습니다. 처음 병원에 내원 하셨을...
아카이브 요약
이 페이지의 역할
강남 치과 퍼펙트치과 | gangnam dentist clinic Perfect Dentistry | 江南 歯科 パーフェクト歯科의 네이버 블로그 원문을 보존한 아카이브 페이지입니다. 일반진료 카테고리의 윗니 전체 신경치료 했다고?😱 교합평면이 뭐길래 글을 통해 병원의 한국어 정보 제공 방식과 진료 관련 안내 톤을 확인할 수 있습니다.

안녕하세요. 오늘도 케이스 한 가지를 리뷰해볼까 합니다. 오늘은 전악 임플란트와 전체 치아를 씌운 전악 크라운 케이스가 합쳐진 경우라고 보시면 될 것 같습니다. 큰 케이스인데 정성을 들여서 한 케이스로 도움이 되길 바라는 마음에 리뷰를 하기로 하였습니다.

처음 병원에 내원 하셨을 당시 파노라마 엑스레이 사진입니다. 아랫니는 앞니 쪽에만 치아가 있고, 윗니는 왼쪽 어금니 하나를 제외한 전체 치아가 남아있는 상태였습니다.
어금니가 없는 아랫니는 부분틀니를 사용하시고 있는 상황이었는데요. 환자분께서는 아랫니의 경우 부분틀니도 불편하고, 남아있는 아랫니 앞니 부분도 다 흔들린다고 말씀을 하셨고, 윗니 또한 전체적으로 치아가 흔들리고 아프다고 하셨습니다.

한 번 보시면 '교합평면'이 무너져 있는 상황입니다. 치아가 반듯하게 균형이 맞아야 하는데, 아래 어금니가 없어 위 어금니가 아래로 쏟아져 내려와 교합이 무너지게 된 것인데요. 이러한 상태에서 틀니를 제작해서 사용하다보니 균형도 안맞고, 잘못된 힘을 계속 받게 된 것 입니다.
걸어서 사용하던 남아있는 앞니도 흔들리고 있었기 때문에 뺄 수밖에 없는 상황이었는데요. 때문에 아랫니는 전체를 발치하기로 결정을 하고, 전악 임플란트를 진행하기로 하였습니다.
윗니의 경우 꼭 발치를 해야하는 치아만 발치를 하고, 교합평면 높이를 잡기 위해 전체 신경치료를 하고 크라운을 씌워서 치료를 하기로 결정하였습니다.
그럼 어떻게 치료를 했나 단계적으로 확인해보도록 하겠습니다.


먼저 오른쪽 어금니 부분에 임플란트를 심고, 오른쪽 임플란트 식립, 그리고 앞니까지 다 심게 되었는데요.
교합 높이를 유지하는 것이 중요하기 때문에 어금니 부분에 즉시 임플란트를 식립하였습니다. 즉시 임플란트는 원데이 임플란트라고 말하기도 하는데요. 당일에 임플란트를 식립하고 임시치아까지 올리는 것을 말합니다. 이 환자분의 경우 교합 높이를 유지하기 위해 당일 임플란트를 식립하고 지대주 기둥을 제작, 임시치아를 제작하여 사용하도록 하였습니다.

아랫니 임플란트를 식립하는데에는 두 달 정도의 시간이 걸렸습니다.
윗니는 아까 말씀드린 대로 상태가 좋지는 않지만 꼭 발치해야 하는 치아만 발치를 하고, 살릴 수 있는 치아는 신경치료를 해서 시간이 걸리더라도 최대한 오래 사용할 수 있도록 계획하였습니다.

윗니까지 최종 치료를 마무리 한 사진입니다. 이렇게 하얗게 끝까지 잘 들어가 있는 것은 신경치료가 잘 됐다는 것을 의미합니다.
윗니 같은 경우에는 왼쪽 어금니 하나가 없는데 아래쪽에도 치아가 없어서, 즉 맞닿는 치아가 없어서 이렇게 마무리 하기로 하였습니다.


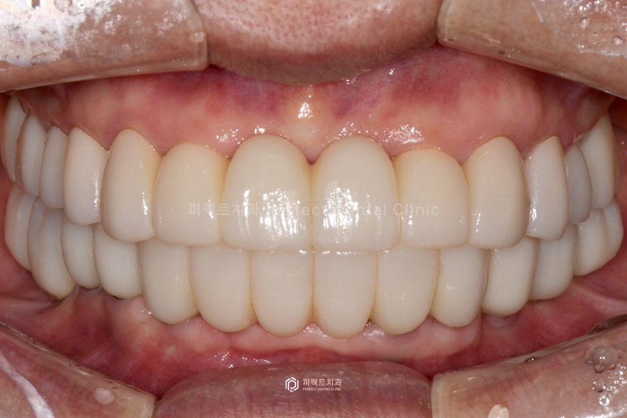
전후 사진을 보시면 교합평면 높이가 좋아지고, 전체적으로 치아가 반듯해진 것을 한 눈에 확인할 수 있습니다.

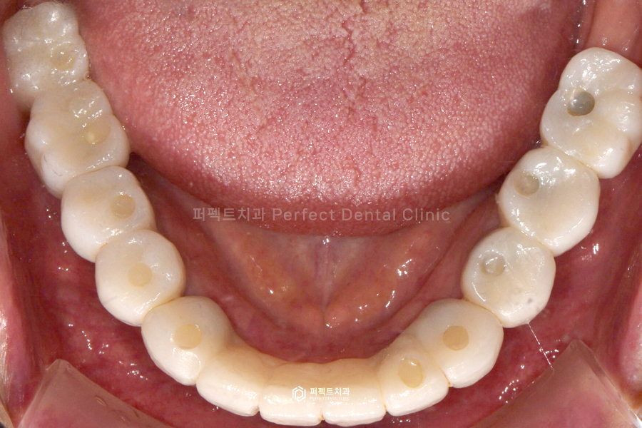
전체적으로 정리해서 말씀을 드리면 아랫니의 경우 흔들리는 앞니는 전부는 전부 발치하고, 임플란트를 10개 식립하였습니다. 윗니는 너무 흔들리는 앞니 두개만 발치를 했고, 나머지는 깨끗하게 신경치료를 한 후, 지르코니아 크라운으로 씌워서 사용하기로 하였는데요. 앞니는 걸어서 사용하는 브릿지로 완성하고 나머지는 싱글 크라운으로 하나씩 제작해서 사용할 수 있도록 해드렸습니다.



보철까지 모두 완성한 사진입니다. 굉장히 예쁘게 완성이 되었고, 환자분도 결과에 만족하셨습니다.
위 사진을 보시면 전체 신경치료 후 지르코니아 크라운을 씌웠고, 아래는 임플란트 10개를 식립 후 위에와 마찬가지로 지르코니아 크라운으로 완성을 했습니다.
오늘은 전체 임플란트와 전체 크라운에 대해서 알아보았습니다. 다음 시간에는 또 다른 케이스로 만나보겠습니다. 감사합니다 :)
🚨
본 콘텐츠의 디자인, 구성 등 모든 사항은 퍼펙트 치과에서 자체 제작되었으며 무단 도용 시 법적 처벌을 받을 수 있습니다.
ⓒ Perfect Dental Clinic Corp
더 보기
이 병원의 공개 콘텐츠를 계속 살펴보세요
출처 아카이브로 돌아가 더 많은 글을 보거나, 병원 프로필로 이동해 다른 공개 채널도 함께 비교해보세요.