아카이브 요약
이 페이지의 역할
퍼펙트치과의원 강남역점의 네이버 블로그 원문을 보존한 아카이브 페이지입니다. 충치치료 카테고리의 앞니 레진 변색 비용 얼마? 글을 통해 병원의 한국어 정보 제공 방식과 진료 관련 안내 톤을 확인할 수 있습니다.
원문 검증
필요하면 원문 블로그와 병원 프로필로 바로 이동해 문맥을 다시 확인할 수 있습니다.
출처 아카이브 열기아카이브된 블로그 글
퍼펙트치과의원 강남역점 · Naver Blog
오늘은 레진 치료 비용에 대해 알아보도록 하겠습니다. 그 전에 퍼펙트치과가 강남역으로 이전한 사실! 다들 알고 계시죠~? 자 그럼 이제 레진 치료가 어디에 사용이 되는지 알아보고, 앞니 레진 치료는 어떻게 진행되는지도 간단하게 알아보겠습니다. 충치치료 초기 충치에 사용되는 레진은 다른 치료들보다 저렴합니다. 레진은...
게시일
2021년 4월 21일
원문 기준으로 확인된 발행일입니다.
카테고리
충치치료
원문 블로그 카테고리를 정리해 함께 표시합니다.
이미지 수
6
현재 아카이브에 연결된 이미지 수입니다.
아카이브 요약
퍼펙트치과의원 강남역점의 네이버 블로그 원문을 보존한 아카이브 페이지입니다. 충치치료 카테고리의 앞니 레진 변색 비용 얼마? 글을 통해 병원의 한국어 정보 제공 방식과 진료 관련 안내 톤을 확인할 수 있습니다.
원문 검증
필요하면 원문 블로그와 병원 프로필로 바로 이동해 문맥을 다시 확인할 수 있습니다.
출처 아카이브 열기
오늘은 레진 치료 비용에 대해 알아보도록 하겠습니다.
그 전에 퍼펙트치과가 강남역으로 이전한 사실!
다들 알고 계시죠~?
자 그럼 이제 레진 치료가 어디에 사용이 되는지
알아보고, 앞니 레진 치료는 어떻게 진행되는지도
간단하게 알아보겠습니다.
충치치료

초기 충치에 사용되는 레진은 다른 치료들보다 저렴합니다.
레진은 당일치료가 가능하다는 장점도 있습니다.
하지만 재료 특성상 충치가 깊거나
넓은 경우 레진 치료는 불가능 합니다.
심미치료

치아 색을 띄는 레진은 벌어진 치아의 틈을 메우거나
깨진 치아를 회복하는 등 자연스러운 치료가 가능해
넓은 범위는 아니지만 심미치료에도 사용되고 있습니다.
치경부마모증 (이시림)

치아와 잇몸 사이 경계 부위가 마모된
치경부마모증은 레진을 사용할 경우
티 나지 않는 자연스러운 치료가 가능합니다.
치아 시림 증상을 줄일 수 있다는 장점도 있습니다.
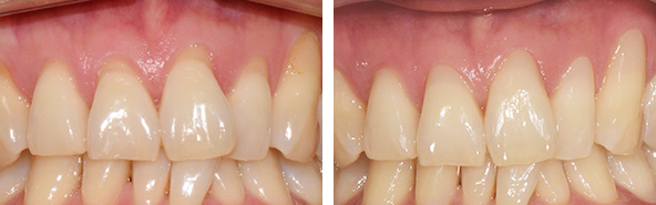
앞니 레진 변색 결과는?
위 영상은 실제 퍼펙트치과에서
치료를 받은 환자분의 케이스 영상입니다.
심한 레진 변색과 치아 사이 공간때문에
스트레스를 받으셨는데요~
변색된 앞니 레진치료를 받고
환자분께서는 매우 만족하셨습니다
그 결과 영상에서 확인해보세요!

▲ 클릭 ▲
강남역 1번 출구
도보 2분거리에 위치해 있습니다.
강남구 테헤란로 4길 5, 4층
퍼펙트치과의원
예약 및 상담
☎ 02.544.7728

포스트에서 작성된 글