강남 치과 퍼펙트치과
앞니 임플란트 후 잇몸이 까매진다?
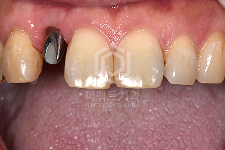
임플란트는 픽스쳐(인공치근)-어버트먼트(지대주)-보철(크라운)으로 이루어져 있습니다. 이 중 어버트먼트인 지대주는 기본적으로 티타늄 재질로 이루어져 있어 어두운 색을 띄고 있습니다. 이렇게 어두운 색을 띄다 보니 잇몸에서 비쳐 보여 잇몸이 어둡게 보일 수 있습니다. 또한 시간이 지나면서 자연스레 노화 현...
아카이브 요약
이 페이지의 역할
강남 치과 퍼펙트치과 | gangnam dentist clinic Perfect Dentistry | 江南 歯科 パーフェクト歯科의 네이버 블로그 원문을 보존한 아카이브 페이지입니다. 임플란트 카테고리의 앞니 임플란트 후 잇몸이 까매진다? 글을 통해 병원의 한국어 정보 제공 방식과 진료 관련 안내 톤을 확인할 수 있습니다.

임플란트는 픽스쳐(인공치근)-어버트먼트(지대주)-보철(크라운)으로 이루어져 있습니다. 이 중 어버트먼트인 지대주는 기본적으로 티타늄 재질로 이루어져 있어 어두운 색을 띄고 있습니다. 이렇게 어두운 색을 띄다 보니 잇몸에서 비쳐 보여 잇몸이 어둡게 보일 수 있습니다.
또한 시간이 지나면서 자연스레 노화 현상에 의해 잇몸이 올라가게 되는데, 이렇게 잇몸이 올라가면 경계부분이 더 노출되고, 결국 픽스쳐가 눈에 더 잘 보이게 됩니다. 이런 부분도 앞니 임플란트에서 굉장히 고민을 많이 해야 하는 부분입니다.
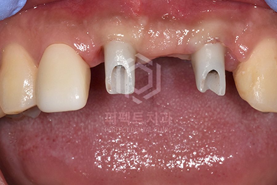
이러한 문제는 지대주의 색상을 변경해서 해결할 수 있습니다. 지대주는 세라믹이나, 지르코니아 재질로 변경할 수 있는데 이런 재질은 하얀색이기 때문에 비쳐 보이는 느낌이 덜 할 수 있습니다. 잇몸이 올라가서 경계 부분의 지대주가 보일 때도 하얀색이기 때문에 티타늄 재질보다 눈에 덜 띄고, 조금 더 심미적이라는 장점이 있습니다.

앞니 임플란트 후 보철을 만들기 위해서 기둥을 연결한 사진입니다. 기본적인 티타늄 지대주인데, 앞서 말씀드린 것처럼 메탈색상 입니다. 그러다보니 보철을 만들어서 끼웠을 때 비쳐 나오는 느낌이 있고, 나중에 잇몸이 더 올라가게 되면 티타늄이 노출되어 보이는 효과가 나타나게 됩니다.

지르코니아 지대주를 이용한 앞니 임플란트 사진입니다. 하얀색이기 때문에 위에서 보았던 메탈 지대주에 비해 잇몸에 어둡게 비치는 것도 없고, 나중에 잇몸이 올라간다 하더라도 지대주가 하얀색이기 때문에 보기 흉한 느낌이 덜하게 됩니다. 이처럼 앞니의 경우 흰색 기둥을 사용할 수 있다는 점을 알아두시면 좋을 것 같습니다.
잇몸이 올라가는 것은 예방할 수 있는 부분이 아니라, 사람에 따라 정도가 다르기 때문에 잇몸이 약하거나 얇은 경우 시간이 지나면서 잇몸이 올라가는 부분이 걱정이라면 임플란트 지대주를 흰색으로 변경 하시는 것도 좋은 방법이 될 수 있습니다.
포스트에서 작성된 글
더 보기
이 병원의 공개 콘텐츠를 계속 살펴보세요
출처 아카이브로 돌아가 더 많은 글을 보거나, 병원 프로필로 이동해 다른 공개 채널도 함께 비교해보세요.