아카이브 요약
이 페이지의 역할
퍼펙트치과의원 강남역점의 네이버 블로그 원문을 보존한 아카이브 페이지입니다. 치아교정 카테고리의 치아교정기간 단축방법 꿀★팁 글을 통해 병원의 한국어 정보 제공 방식과 진료 관련 안내 톤을 확인할 수 있습니다.
원문 검증
필요하면 원문 블로그와 병원 프로필로 바로 이동해 문맥을 다시 확인할 수 있습니다.
출처 아카이브 열기아카이브된 블로그 글
퍼펙트치과의원 강남역점 · Naver Blog
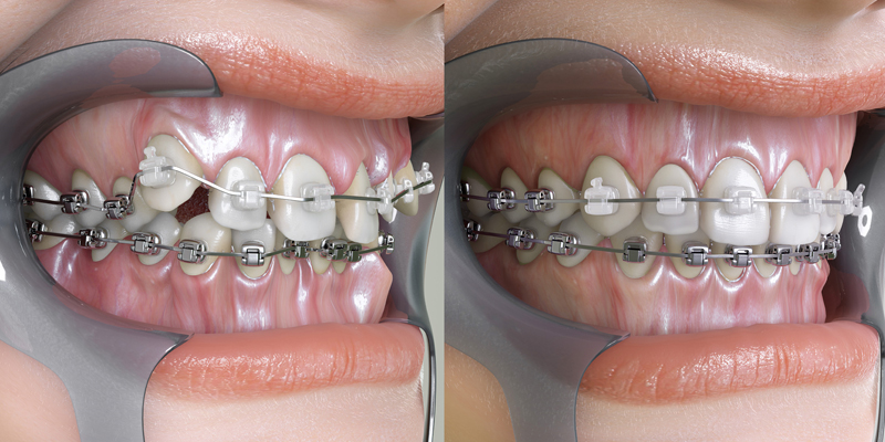
교정을 하고 있는 분들이면 교정치료를 빨리 끝내고 싶어하실 거에요. 오늘은 치아교정기간을 단축 시킬 수 있는 꿀팁에 대해 간단하게 알려 드릴려고 합니다. 여기서 잠깐! 환자분들이 교정기간을 단축 시키고 싶어 많이 말하는 말이 있습니다. / "장치를 좀더 쎄게 조여 주시면 안되나요?" / 이렇게 힘을 너무 쎄게주...
게시일
2020년 11월 11일
원문 기준으로 확인된 발행일입니다.
카테고리
치아교정
원문 블로그 카테고리를 정리해 함께 표시합니다.
이미지 수
4
현재 아카이브에 연결된 이미지 수입니다.
아카이브 요약
퍼펙트치과의원 강남역점의 네이버 블로그 원문을 보존한 아카이브 페이지입니다. 치아교정 카테고리의 치아교정기간 단축방법 꿀★팁 글을 통해 병원의 한국어 정보 제공 방식과 진료 관련 안내 톤을 확인할 수 있습니다.
원문 검증
필요하면 원문 블로그와 병원 프로필로 바로 이동해 문맥을 다시 확인할 수 있습니다.
출처 아카이브 열기
교정을 하고 있는 분들이면
교정치료를 빨리 끝내고 싶어하실 거에요.
오늘은 치아교정기간을 단축 시킬 수 있는
꿀팁에 대해 간단하게 알려 드릴려고 합니다.
여기서 잠깐!
환자분들이 교정기간을 단축 시키고 싶어
많이 말하는 말이 있습니다.
/
"장치를 좀더 쎄게 조여 주시면 안되나요?"
/
이렇게
힘을 너무 쎄게주다 보면?
원치 않는 방향으로 치아가 이동하게 되고
쎄게 준 힘때문에 치아뿌리에 손상이 가게 됩니다.

치아교정 단축 Tip
치아사이 공간을 혀로 밀지 않기
치아가 외상 입지 않게 조심하기
어금니 꽉 물고 있지 않기
교정장치 떨어지지 않게 주의하기
내원기간 꼭 지키기
양치 잘하기 (충치문제)
위 내용은 환자분이 지켜주셔야 할 내용들입니다.
그렇다면 의료진이 할 수 있는 노력에는 어떤것들이 있을까요??
[ 의료진이 할 수 있는 노력 ]
치료 방향이 처음부터 끝까지 한 방향으로 가도로 계획
치아에 손상이 가거나 치료방향이 틀어지지 않게 주의
치아교정 빨리 끝내는 꿀 Tip!!
퍼펙트치과 교정과 대표원장님이
직접 설명해주시는 치아교정 빨리 끝내는 방법!!
개인의 구강상태와 환자분의 노력에 따라
교정기간이 달라진다는 점!!
▼ 클릭 ▼
https://www.youtube.com/watch?v=p9aVdAzZANs
이와 라미네이트, 임플란트 후 주의사항, 브이로그
실제환자분들의 인터뷰, 치료 케이스등
다양한 주제들로한 영상들이 많이 업로드 되어 있으니
관심 부탁드립니다 :)
궁금한 점들은 댓글로 적어주세요~
교정을 끝낸 환자분들이
가장 많이 물어보는 BEST 질문으로
' 교정 후 유지장치를 안하면 교정 전의 상태로 돌아가는지..'
최소 2~3년 정도는 해주셔야 된다고 합니다.
유지장치는 두가지로 생각할 수 있습니다.
첫번째, 치아 안쪽에 붙여주는 가철식 유지장치
두번째, 뺐다꼈다 하는 착탈식 유지장치!

▲ 치아교정 비용이 궁금하다면 Click! ▲
부담되는 치아교정 비용 때문에
아직 교정치료를 안받은 분들은
위 프로모션을 이용해보세요 :)
합리적인 비용으로 교정치료를 진행하고
환자분이 만족할 수 있는
교정 결과 까지 얻으실 수 있습니다.
퍼펙트치과의원
예약 및 상담은
☎ 02.544.7728 로 부탁드립니다.

포스트에서 작성된 글