아카이브 요약
이 페이지의 역할
퍼펙트치과의원 강남역점의 네이버 블로그 원문을 보존한 아카이브 페이지입니다. 치아교정 카테고리의 반대교합 비수술 교정 결과는? 글을 통해 병원의 한국어 정보 제공 방식과 진료 관련 안내 톤을 확인할 수 있습니다.
원문 검증
필요하면 원문 블로그와 병원 프로필로 바로 이동해 문맥을 다시 확인할 수 있습니다.
출처 아카이브 열기아카이브된 블로그 글
퍼펙트치과의원 강남역점 · Naver Blog
치아교정을 필요로 하는 분들의 치아 상태는 다양합니다. ✔ 앞니와 윗니가 맞물리지 않는 경우 ✔ 윗니가 아랫니를 덮지 못하는 경우 ✔ 치아 사이의 간격이 넓은 경우 ✔ 아래턱이 위턱보다 전방으로 돌출되어 있는 경우 ✔ 윗니가 전바으로 돌출되어 아랫니가 전혀 보이지 않는 경우 오늘은 윗니가 아랫니를 덮지 못하는...
게시일
2020년 12월 23일
원문 기준으로 확인된 발행일입니다.
카테고리
치아교정
원문 블로그 카테고리를 정리해 함께 표시합니다.
이미지 수
6
현재 아카이브에 연결된 이미지 수입니다.
아카이브 요약
퍼펙트치과의원 강남역점의 네이버 블로그 원문을 보존한 아카이브 페이지입니다. 치아교정 카테고리의 반대교합 비수술 교정 결과는? 글을 통해 병원의 한국어 정보 제공 방식과 진료 관련 안내 톤을 확인할 수 있습니다.
원문 검증
필요하면 원문 블로그와 병원 프로필로 바로 이동해 문맥을 다시 확인할 수 있습니다.
출처 아카이브 열기
치아교정을 필요로 하는 분들의
치아 상태는 다양합니다.
✔ 앞니와 윗니가 맞물리지 않는 경우
✔ 윗니가 아랫니를 덮지 못하는 경우
✔ 치아 사이의 간격이 넓은 경우
✔ 아래턱이 위턱보다 전방으로 돌출되어 있는 경우
✔ 윗니가 전바으로 돌출되어 아랫니가 전혀 보이지 않는 경우
오늘은 윗니가 아랫니를 덮지 못하는 경우
치료 과정과 전/후를 확인해보겠습니다.

윗니가 아랫니를 덮고 있어야 되는데
반대로 아랫니가 윗니를 덮고 있는 경우를 말합니다.
반대교합은 유전적인 원인이 크기도 하지만
어릴때 안좋은 습관으로 인해
후천적으로 발생하기도 합니다.

정상적인 치아 개수보다 많은 경우 (과잉치)
치아 2개가 붙어 있는 경우 (유합치)
치아들이 비정상적인 위치로 뻐드러져 있는 경우
주걱턱, 무턱, 돌출입의 경향을 보이는 경우
치아의 뿌리가 잇몸뼈에 붙어 잇몸에 묻히는 것처럼 보이는 경우

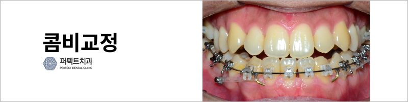
콤비교정은 교정장치가 눈에 띄지 않았으면 하는
직장인분들이 찾는 장치이기도 합니다.
잘보이는 윗니는 치아 안쪽에 붙이는
설측교정 방법으로 안보이게!
아랫니는 일반 교정방법으로
장치를 부착하는 교정이라고 생각하면 됩니다.
교정 전/후 결과는?
▼ 유튜브에서 영상 시청하기! ▼
위 영상은 실제 퍼펙트치과에서 교정치료를 받은
영상으로 주걱턱 교정을 어떻게 진행했는지
과정과 치료 전/후 결과를 확인해 볼 수 있습니다.

▲ 치아교정 비용 확인하기! ▲
부담되는 교정 비용때문에
아직 치아교정을 시작하지 않는 분들이 있습니다.
퍼펙트치과의 합리적인 치아교정 비용으로 시작해보세요 :)
치아교정 외 임플란트, 충치치료등
필요한 치과치료들의 비용이 투명하게 공개되어 있습니다.
퍼펙트치과의원
예약 및 상담
02.544.7728

포스트에서 작성된 글