강남 치과 퍼펙트치과
라미네이트시 신경치료 안해도 잇몸이 까매지나요?
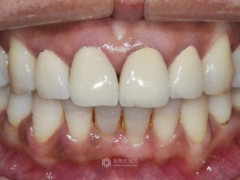
'라미네이트시 신경치료 안해도 잇몸이 까매지나요?' 신경치료를 하지 않은 치아는 잇몸 경계부위가 까맣게 보이지 않습니다. 그렇다면 신경치료를 한 치아의 잇몸 경계 부위가 까맣게 보이는 이유는 무엇일까요? 첫번째로 신경치료를 했을 경우 죽은 치아가 되기 때문에 치아의 몸이 까맣게 변하는 과정을 겪게...
아카이브 요약
이 페이지의 역할
강남 치과 퍼펙트치과 | gangnam dentist clinic Perfect Dentistry | 江南 歯科 パーフェクト歯科의 네이버 블로그 원문을 보존한 아카이브 페이지입니다. 폴리네이트 카테고리의 라미네이트시 신경치료 안해도 잇몸이 까매지나요? 글을 통해 병원의 한국어 정보 제공 방식과 진료 관련 안내 톤을 확인할 수 있습니다.

'라미네이트시 신경치료 안해도 잇몸이 까매지나요?'
신경치료를 하지 않은 치아는 잇몸 경계부위가 까맣게 보이지 않습니다.
그렇다면 신경치료를 한 치아의 잇몸 경계 부위가 까맣게 보이는 이유는 무엇일까요? 첫번째로 신경치료를 했을 경우 죽은 치아가 되기 때문에 치아의 몸이 까맣게 변하는 과정을 겪게 됩니다. 나이가 들고 시간이 지나면서 잇몸이 올라가게 되는데 치아의 까만 부위가 노출되어서 잇몸과 치아의 경계 부분이 까맣게 보일 수 있습니다.

신경조직이란 치아의 가장 안쪽에 있는 조직 중 하나로 치아에 영양분과 수분을 공급하는 곳입니다.
신경치료란 통증차단, 감염예방을 위해 감염된 신경 조직을 제거하고 신경관을 소독 및 정리 후 방사선 불투과성 물질로 채우는 치료로, 신경치료는 치아의 가운데 부분을 통해 치료를 진행하기 때문에 치료 후 치아의는 겉면만 남아 깨지기 쉽고, 영양분을 공급하는 치수조직이 없어 치아가 점차 검게 변하고 약해지게 됩니다.


신경치료를 하지 않아도 까맣게 보이는 이유는 다른 원인을 생각해볼 수 있는데요. 예전에는 PFM이라는 보철물을 많이 사용했었는데, 내부는 금속재질이고 외부는 사기, 도자기 재질인 보철물입니다.
이 보철물로 치료를 받았단 경험이 있다면 시간이 지나면서 안에 있는 메탈 부분이 밖으로 드러나 비치게 되고 이 메탈이 비쳐지면서 잇몸 경계 부위가 까맣게 보이는 것입니다.
정리해보자면,
-
신경치료 후 죽은 치아가 되어 까매진 치아 몸이 노출됨
-
PFM크라운 내부의 메탈이 시간이 지나면서 비쳐짐
대표적으로 이 두가지 원인으로 인해 잇몸이 까맣게 보이게 되는데 실제로 신경치료를 하지 않은 치아는 잇몸 경계 부위가 까맣게 보이는 일이 거의 없습니다.
그렇지만 아까 말씀드린 대로 신경치료를 한 치아는 시간이 지나면서 잇몸 경계 부위가 까맣게 변할 수 있어 이와 관련해 궁금하신 부분이 있다면 치료 전 담당의와 충분한 상담을 거친 후 치료를 시작하시는 것이 좋습니다.
포스트에서 작성된 글
더 보기
이 병원의 공개 콘텐츠를 계속 살펴보세요
출처 아카이브로 돌아가 더 많은 글을 보거나, 병원 프로필로 이동해 다른 공개 채널도 함께 비교해보세요.