강남 치과 퍼펙트치과
라미네이트 후 교정 유지장치는?
교정 후 치아 모양, 색상에 문제가 있거나 라미네이트 시 치아삭제를 최소화 하기 위해 치아교정 후 라미네이트를 하시는 분들이 계십니다. 치아교정이 끝난 후에는 유지장치를 사용하게 되는데, 교정 후 라미네이트를 한 경우 유지장치는 어떻게 해야할까요? 이 질문에 대한 답변은 여러가지로 나눠서 생각을...
아카이브 요약
이 페이지의 역할
강남 치과 퍼펙트치과 | gangnam dentist clinic Perfect Dentistry | 江南 歯科 パーフェクト歯科의 네이버 블로그 원문을 보존한 아카이브 페이지입니다. 폴리네이트 카테고리의 라미네이트 후 교정 유지장치는? 글을 통해 병원의 한국어 정보 제공 방식과 진료 관련 안내 톤을 확인할 수 있습니다.

교정 후 치아 모양, 색상에 문제가 있거나 라미네이트 시 치아삭제를 최소화 하기 위해 치아교정 후 라미네이트를 하시는 분들이 계십니다.
치아교정이 끝난 후에는 유지장치를 사용하게 되는데, 교정 후 라미네이트를 한 경우 유지장치는 어떻게 해야할까요? 이 질문에 대한 답변은 여러가지로 나눠서 생각을 해봐야 할 것 같습니다.
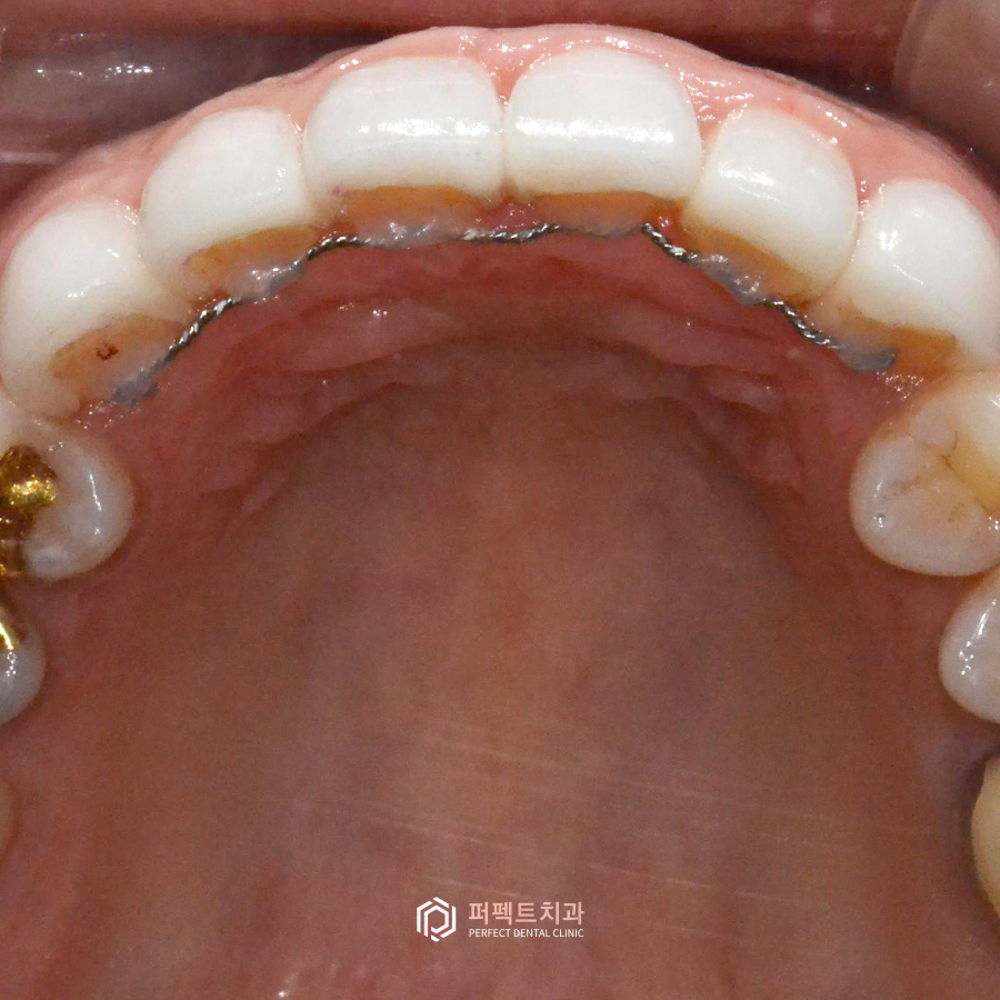
먼저 유지장치에 대해 알아보면 치아교정을 하신 분들은 대부분 유지장치를 하고 계시는데, 이 유지장치란 교정 후 치아가 다시 틀어지거나 돌아가지 않도록 고정 시켜주는 장치입니다.
이 유지장치도 여러 종류가 있습니다. 첫 번째로 고정성 유지장치란 치아 배열이 유지될 수 있도록 치아 뒷면에 철사로 고정 시키는 장치이며, 두 번째로 가철성 유지장치는 자유롭게 꼈다, 뺐다 할 수 있는 장치입니다.

Q. 라미네이트 후 유지장치 계속 해야하나요?
교정을 한 치아이기 때문에 라미네이트, 크라운을 했어도 치아는 계속 움직이려고 하는 경향이 있어 가능한 유지장치는 꼭 하는 것이 좋습니다.
그런데 여기서 생각해보아야 할 부분은 라미네이트는 치아의 앞면에만 보철을 부착하기 때문에 뒤에 고정성 유지장치가 잘 붙어있지만 올세라믹이나 지르코니아 크라운 같은 크라운치료를 했다면 세라믹or지르코니아 재질이기 때문에 철사가 잘 떨어지는 경향이 있어 이러한 부분에 주의를 해주어야 합니다.
또한 꼈다, 뺐다 할 수 있는 가철성 유지장치를 부가적으로 잘 활용하여 치아가 움직이지 않도록 방지해주시는 것이 좋습니다.


Q. 교정 후 가철식 유지장치는?
라미네이트, 올세라믹, 지르코니아 보철을 한 경우 가철식 유지장치를 그대로 사용할 수 있는지 물어보시는 분들이 계십니다.
원래 상태에서 치아 모양이 달라지기 때문에 가철식 유지장치가 안 맞을 수 있습니다. 우선은 가철식 유지장치를 재제작 해야 한다고 생각을 해주셔야 하며, 혹시나 잘 맞는 경우도 있는데 이런 경우 기존에 교정치료를 받았던 곳을 통해 유지장치를 조정한 후 사용하시면 됩니다.

Q. 교정을 안 했는데 라미네이트 후 유지장치를 해야 하는 경우는?
유지장치는 일반적으로 치아교정을 하신 분들이 사용하는 것이라 생각하시지만 치아 이동의 가능성이 있는 경우 사용하기도 합니다.
치아가 깊게 물려서 아래 치아가 튀는 경우에는 치아가 움직일 가능성이 큽니다. 이 외에도 치아 뿌리를 감싸고 있는 치조골과 잇몸이 약한 경우에도 마찬가지로 치아가 움직일 가능성이 있기 때문에 부가적으로 유지장치를 만들어 사용하면 치아 이동을 방지할 수 있습니다.
라미네이트 후 치아교정 가능해?!
포스트에서 작성된 글
더 보기
이 병원의 공개 콘텐츠를 계속 살펴보세요
출처 아카이브로 돌아가 더 많은 글을 보거나, 병원 프로필로 이동해 다른 공개 채널도 함께 비교해보세요.