강남 치과 퍼펙트치과
벌어진 앞니, 레진으로 치료 가능?
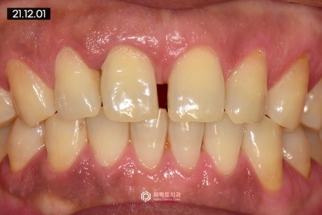
여러가지 심미적인 이유로 앞니 치료를 계획 중이신 분들이라면 레진, 라미네이트 치료에 대해서 한 번쯤은 들어보셨을 것 같습니다. 오늘은 그 중에서도 앞니 사이에 공간이 있는, 즉 앞니가 벌어진 경우 어떻게 치료를 할 수 있는지 알아보려고 하는데요. 라미네이트를 통해 벌어짐을 개선하시는 분들도 많지만,...
아카이브 요약
이 페이지의 역할
강남 치과 퍼펙트치과 | gangnam dentist clinic Perfect Dentistry | 江南 歯科 パーフェクト歯科의 네이버 블로그 원문을 보존한 아카이브 페이지입니다. 폴리네이트 카테고리의 벌어진 앞니, 레진으로 치료 가능? 글을 통해 병원의 한국어 정보 제공 방식과 진료 관련 안내 톤을 확인할 수 있습니다.

여러가지 심미적인 이유로 앞니 치료를 계획 중이신 분들이라면 레진, 라미네이트 치료에 대해서 한 번쯤은 들어보셨을 것 같습니다.
오늘은 그 중에서도 앞니 사이에 공간이 있는, 즉 앞니가 벌어진 경우 어떻게 치료를 할 수 있는지 알아보려고 하는데요. 라미네이트를 통해 벌어짐을 개선하시는 분들도 많지만, 당일 치료가 가능하고 경제적인 레진치료를 이용하시는 경우도 있습니다.
오늘은 레진을 이용해 벌어짐을 개선한 케이스에 대해 알아보도록 하겠습니다.

라미네이트는 경우에 따라 무삭제가 가능하기도 하지만 돌출, 틀어짐 등이 있는 경우 치아 삭제가 필요해 치아에 손상이 생길 수 있습니다.
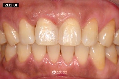
하지만 벌어진 앞니 레진치료는 치아에 손을 대지 않아 치아 손상 없이 벌어진 부분에만 레진을 수복하여 빈 공간을 채우는 술식으로, 치아를 손상시키지 않고 문제점을 해결할 수 있다는 장점이 있습니다. 이 외에도 짧은 기간에 치료를 마무리 할 수 있다는 것, 기타 보철 치료에 비해 비용이 저렴하다는 것도 장점이 될 수 있습니다.

레진치료를 적절한 케이스에 적용하는 경우 레진의 장점을 살려 좋은 치료를 받을 수 있지만, 치료 후 얼마나 오래 가느냐 하는 문제인 '지속성'이 낮은 치료입니다. 그 이유는 치아와 레진의 경계가 생기기 때문에 경계 부위가 변색 되는 경우도 많고, 탈락 될 확률도 높은 편입니다.
또한 치료 범위가 큰 경우라면 레진치료를 적용하기 힘들 수 있어 앞서 말한 것과 같은 문제로 후에 보철치료로 교체를 하시는 분들도 있습니다.


레진을 이용해 라미네이트처럼 밝고 하얗고 가지런한 치아를 만들 수는 없지만, 빈 공간을 채움으로써 치아의 비율을 개선하여 심미적인 치아를 만들 수 있고 작은 부위에 적용하는 경우 라미네이트만큼 심미적이고 개선된 치아를 만들 수 있습니다 :)
레진치료, 라미네이트를 고민 중이신 분들이라면 가까운 치과를 내원하시어 나에게 맞는 치료 방법을 확인해보시길 바랍니다!
포스트에서 작성된 글
더 보기
이 병원의 공개 콘텐츠를 계속 살펴보세요
출처 아카이브로 돌아가 더 많은 글을 보거나, 병원 프로필로 이동해 다른 공개 채널도 함께 비교해보세요.