강남 치과 퍼펙트치과
라미네이트를 하면 안되는 경우도 있다?
오늘은 라미네이트를 하면 안되는 경우가 있는지 확인해보도록 하겠습니다. 결론을 먼저 말씀을 드리자면 라미네이트를 못하는 경우는 없습니다. 어떻게든 할 수는 있지만 어떤 경우에, 어떤 상황에 권장하지 않는지 알아보겠습니다. 돌출 치아 입이 나와있는 경우에 입이 나와 있는 상태에서 라미...
아카이브 요약
이 페이지의 역할
강남 치과 퍼펙트치과 | gangnam dentist clinic Perfect Dentistry | 江南 歯科 パーフェクト歯科의 네이버 블로그 원문을 보존한 아카이브 페이지입니다. 폴리네이트 카테고리의 라미네이트를 하면 안되는 경우도 있다? 글을 통해 병원의 한국어 정보 제공 방식과 진료 관련 안내 톤을 확인할 수 있습니다.

오늘은 라미네이트를 하면 안되는 경우가 있는지 확인해보도록 하겠습니다.
결론을 먼저 말씀을 드리자면 라미네이트를 못하는 경우는 없습니다. 어떻게든 할 수는 있지만 어떤 경우에, 어떤 상황에 권장하지 않는지 알아보겠습니다.

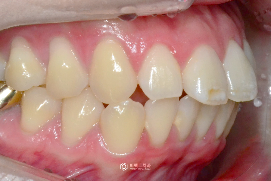
- 돌출 치아
입이 나와있는 경우에 입이 나와 있는 상태에서 라미네이트로 덮었기 때문에 치아가 튀어나와 보일 수 있습니다.
또 하나는 라미네이트를 하면 일반적으로 밝은 색을 원하시기 때문에 하얀 치아로 인한 팽창 효과로 인해서 오히려 더 튀어나오고 커보이는 효과가 있습니다.
그렇기 때문에 치아가 돌출되어 있는 경우에는 치아가 나와있는 상태에서 라미네이트 두께만큼 치아가 더 튀어나와 보일 수 있다는 것을 기억해두시는 것이 좋습니다.

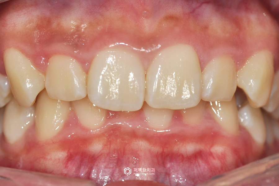
- 삐뚤어진 치아
이런 부분도 치아가 튀어나와 있는 것과 약간 겹치는 부분이 있는데요. 삐뚤한 부분 중에서 튀어나온 부분은 삭제를 많이 하는 것을 원하지 않으신다면 그 상태에서 덧붙여야 하기 때문에 그 부분이 튀어나올 수밖에 없습니다.
또 치아가 삐뚤한 경우 치아가 가지고 있는 공간 배열이 좋지 않기 때문에 치아 모양을 예쁘게 만들기가 어려워 치아가 삐뚤한 경우도 라미네이트 시 고려해야 할 부분이 많은 경우라고 할 수 있습니다.

- 딥바이트(과개교합)
세번째 경우는 교합 관계에 관한 설명인데 치아가 물릴 때 정상보다 깊게 물리는 경우가 있습니다.
이렇게 깊게 물리는 것을 치과에서는 딥바이트라고 표현을 하는데요. 보통 위 치아가 아래 치아를 2mm 정도 덮고 있을 때 가장 이상적인 교합이라고 보는데 치아가 깊게 물리는 딥바이트인 경우 치아 접촉이 세지기 때문에 치아가 위 아래로 움직일 때 라미네이트가 깨질 확률이 높아집니다.
그래서 이렇게 깊게 물리는 경우도 라미네이트 시 여러가지 고민하셔야 된다고 생각하시면 될 것 같습니다.

그럼 이런 세가지 케이스에 해당하는 경우 라미네이트를 못하는 것일까요? 그렇지 않습니다.
할 수는 있지만, 어떤 방법을 취하는 것이 좋냐면 항상 말씀드리는 것처럼 치아의 배열, 높이, 맞물림을 치아교정을 통해 해결한 후 라미네이트를 한다면 치아를 거의 손대지 않고 손상을 최소화 한 라미네이트가 가능합니다.
그렇기 때문에 앞서 보신 케이스처럼 라미네이트를 하기 어려운 경우에는 치아교정을 선행 해서 라미네이트를 완성하면 무삭제라미네이트까지 가능하다고 생각을 하시면 될 것 같습니다.
포스트에서 작성된 글
더 보기
이 병원의 공개 콘텐츠를 계속 살펴보세요
출처 아카이브로 돌아가 더 많은 글을 보거나, 병원 프로필로 이동해 다른 공개 채널도 함께 비교해보세요.