강남 치과 퍼펙트치과
ETN연예채널 "Feeling Up방송출현"
공지사항퍼펙트치과의원 공식 블로그
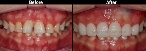
매주 금요일 오후6시에 방송되는 ETN연예채널에 저희 보스톤서울치과가 방송되었습니다^^ 주제는 "라미네이트&올세라믹" 방송체질이신 우리 원장님 ㅎㅎ 모델분의 전후케이스보시면 정말 드라마틱한 변화가 보이실꺼에요 ㅎㅎ 못난치아때문에 항상 웃고, 사람들과 얘기하는게 콤플렉스였던 환자분 시술 후 굉장히 환하게 웃으시며 만족하시고...
아카이브 요약
이 페이지의 역할
강남 치과 퍼펙트치과 | gangnam dentist clinic Perfect Dentistry | 江南 歯科 パーフェクト歯科의 네이버 블로그 원문을 보존한 아카이브 페이지입니다. 공지사항 카테고리의 ETN연예채널 "Feeling Up방송출현" 글을 통해 병원의 한국어 정보 제공 방식과 진료 관련 안내 톤을 확인할 수 있습니다.

매주 금요일 오후6시에 방송되는 ETN연예채널에 저희 보스톤서울치과가 방송되었습니다^^ 주제는 "라미네이트&올세라믹" 방송체질이신 우리 원장님 ㅎㅎ
모델분의 전후케이스보시면 정말 드라마틱한 변화가 보이실꺼에요 ㅎㅎ
못난치아때문에 항상 웃고, 사람들과 얘기하는게 콤플렉스였던 환자분 시술 후 굉장히 환하게 웃으시며 만족하시고 가셨습니다^^

방송의뢰인분의 시술 전후사진입니다. 한눈에 보기에도 많은 변화가 보이죠? 이번계기로 예쁜얼굴 더 환한미소로 밝아지시기 바랍니다^^ 뿌듯뿌듯
더 보기
이 병원의 공개 콘텐츠를 계속 살펴보세요
출처 아카이브로 돌아가 더 많은 글을 보거나, 병원 프로필로 이동해 다른 공개 채널도 함께 비교해보세요.