![[재생근관치료] 이가 난지 얼마 안 됐는데 신경이 죽었대요...(소아 치아 외상, 치수 괴사, 미성숙 영구치, 신경재생술, REP, 치료기간, MTA 신경치료, 내원횟수) 관련 이미지 1](https://pub-9f2bb3498faf4d1d8714b41df24753e3.r2.dev/content/clinics/archive/nqmm0udu86/naver_blog/honeybeevuvu/assets/by_hash/918981d1c6c79321520447db4414f3be891d3fbe36ef9f76a5aa776853ef116a.jpg)
유치가 빠진 자리에 빼꼼,
하얗고 튼실한 영구치가 머리를 내밀기 시작합니다.
![[재생근관치료] 이가 난지 얼마 안 됐는데 신경이 죽었대요...(소아 치아 외상, 치수 괴사, 미성숙 영구치, 신경재생술, REP, 치료기간, MTA 신경치료, 내원횟수) 관련 이미지 2](https://pub-9f2bb3498faf4d1d8714b41df24753e3.r2.dev/content/clinics/archive/nqmm0udu86/naver_blog/honeybeevuvu/assets/by_hash/03225e37edb96e17f12eec160edfac81773ecba712d941e592ad992cace0d6cd.png)
머리는 이미 완성된 상태지만,
뿌리는 머리가 다 나온 이후에도
뼈 안에서 계속 성장한다는 것,
알고 계셨나요?
얼굴뼈와 턱뼈의 성장과 맞물려
치아의 위치가 이리저리 미세하게 움직이는 동안,
뿌리도 성장을 거듭하며
길고 튼튼하게 뼈 속에 자리 잡습니다.
이렇듯 성장과정에 있는 영구치를
미성숙영구치라고 합니다.
![[재생근관치료] 이가 난지 얼마 안 됐는데 신경이 죽었대요...(소아 치아 외상, 치수 괴사, 미성숙 영구치, 신경재생술, REP, 치료기간, MTA 신경치료, 내원횟수) 관련 이미지 3](https://pub-9f2bb3498faf4d1d8714b41df24753e3.r2.dev/content/clinics/archive/nqmm0udu86/naver_blog/honeybeevuvu/assets/by_hash/f92544af2b06076b24b41287e8921b630e479bfa77f927535ce3cfb871d98962.png)
Wei, X., Yang, M., Yue, L. et al. Expert consensus on regenerative endodontic procedures. Int J Oral Sci 14, 55 (2022)
영구치가 맹출한 이후로도
-
뿌리가 점점 길어지고
-
뿌리가 점점 두꺼워지고
-
신경공간이 점점 좁아지는 것
이 정상적인 치근 성숙의 과정입니다^^
미성숙영구치는 성인의 성숙영구치에 비해
뿌리가 얇고 가늘기 때문에 더욱 소중히 보살펴주어야 합니다.
하지만 이런 미성숙영구치도
넘어짐, 부딪힘 사고, 심한 충치로 인해
신경이 죽을 수 있는데요...
치아의 신경이 죽으면 그와 동시에
치아의 성장이 멈추어 버리기 때문에,
얇고 가는 뿌리의 상태 그대로
평생을 조심조심하며 지내야합니다.
향후 충격을 받았을 때 파절 가능성이 높은건 덤이구요.
![[재생근관치료] 이가 난지 얼마 안 됐는데 신경이 죽었대요...(소아 치아 외상, 치수 괴사, 미성숙 영구치, 신경재생술, REP, 치료기간, MTA 신경치료, 내원횟수) 관련 이미지 4](https://pub-9f2bb3498faf4d1d8714b41df24753e3.r2.dev/content/clinics/archive/nqmm0udu86/naver_blog/honeybeevuvu/assets/by_hash/9a84e1475e40e1bc6388849579f7bef8b85a73ea034a43322db0c8bc31215914.jpg)
뿌리의 발달 단계에 따라 치료법이 달라집니다!
미성숙 영구치에 이런 불의의 사고가 닥쳤을 때,
예전에는 어떻게 치료했을까요?
어느 정도 뿌리가 형성된 치아에 한해
근단형성술을 시행했습니다.
근단형성술은 치근 끝이 강화되긴 하지만,
치근의 길이나 두께는 증대시킬 수 없다는 한계가 있었습니다.
다행스럽게도 의학이 발전하며 미성숙영구치의 성장 그 자체를 촉진시킬 수 있는 치료법이 개발되었습니다.
일명 재생근관치료, 혹은 신경재생술이라고도 불리는 이 치료는,
대학병원이 아니면 받기 힘든 고난이도의 치료법이기도 하면서,
치과보존과 전문의의 정확한 진단과 접근방식이 필요한 술식입니다.
재생근관치료(=신경재생술식)은
치과보존과 전문의인 전준희원장의 전문분야입니다.저의 박사학위 세부전공이 바로
재생근관치료이기 때문이죠^^
임상에서 다수의 환아들을 치료한 경험을 바탕으로, 박사논문을 썼습니다.
낮에는 진료를 하고, 밤에는 논문을 썼던 주경야독 시절이 생각나네요^^;
대표 케이스를 만나보겠습니다.
![[재생근관치료] 이가 난지 얼마 안 됐는데 신경이 죽었대요...(소아 치아 외상, 치수 괴사, 미성숙 영구치, 신경재생술, REP, 치료기간, MTA 신경치료, 내원횟수) 관련 이미지 5](https://pub-9f2bb3498faf4d1d8714b41df24753e3.r2.dev/content/clinics/archive/nqmm0udu86/naver_blog/honeybeevuvu/assets/by_hash/0ded9da79264d94564a806cc02ee60370a808bf58b7ae501d83ee106dfb50fab.jpg)
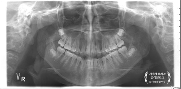
13살 여자어린이인데요,
왼쪽 앞니에 문제가 생겨서 내원했습니다.
인접한 다른 앞니들은 모두 치근 성숙이 완료된 소견인데요,
한 치아만 어째서인지 미성숙 상태 그대로입니다.
경추(=목뼈)와 겹쳐서 파노라마 상에서는 잘 보이지 않는군요.
증명 사진을 한 장 찍어보겠습니다.
![[재생근관치료] 이가 난지 얼마 안 됐는데 신경이 죽었대요...(소아 치아 외상, 치수 괴사, 미성숙 영구치, 신경재생술, REP, 치료기간, MTA 신경치료, 내원횟수) 관련 이미지 6](https://pub-9f2bb3498faf4d1d8714b41df24753e3.r2.dev/content/clinics/archive/nqmm0udu86/naver_blog/honeybeevuvu/assets/by_hash/1c878185da7d496abfe7f1f68a1c376fb233346a7073bcaeaf5822d4aaaad2bf.jpg)
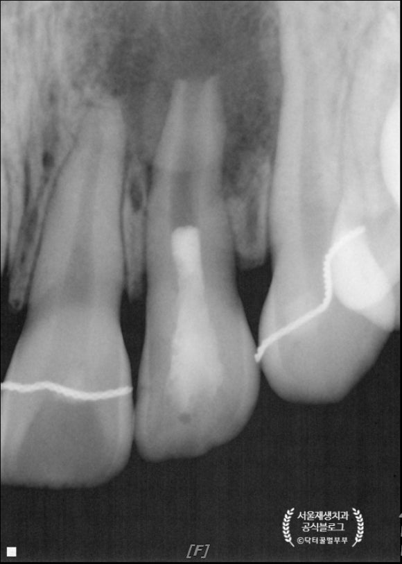
앗, 저런저런......
길다란 바늘이 위치한 치아가 보이시나요?
치아 뿌리를 중심으로 까맣게 뼈가 녹아내린 소견입니다.
성장중이던 치아의 생활력이 상실되어
(=신경이 죽어서)
죽은 조직으로 인해 염증이 유발되고,
치근의 성장 또한 멈춘 전형적인 문제 사례입니다.
원인은 외상이라고 합니다.
예전에 넘어진 적이 있었지만, 당시엔 증상이 없어서 그냥 지나갔다구요.....ㅠ
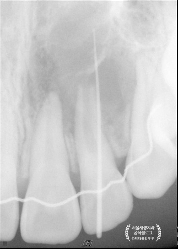
![[재생근관치료] 이가 난지 얼마 안 됐는데 신경이 죽었대요...(소아 치아 외상, 치수 괴사, 미성숙 영구치, 신경재생술, REP, 치료기간, MTA 신경치료, 내원횟수) 관련 이미지 7](https://pub-9f2bb3498faf4d1d8714b41df24753e3.r2.dev/content/clinics/archive/nqmm0udu86/naver_blog/honeybeevuvu/assets/by_hash/4281ab98337cfb863d50caae2c7e3756cdd102e35e6f5bfaaa9f91a6a35fae82.jpg)
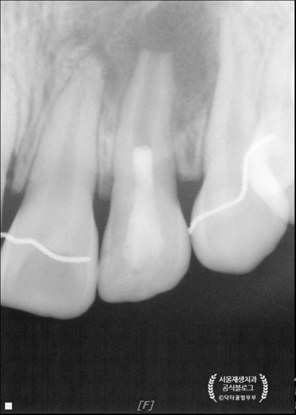
근관 치료용 파일로 뿌리의 길이를 가늠해봅니다.
뿌리 안팎으로 살아있는 줄기세포들이 있을 수 있기에 조심스럽게 살살 소독을 해줍니다.
첫 날은 소독제를 도포한 후 귀가!
![[재생근관치료] 이가 난지 얼마 안 됐는데 신경이 죽었대요...(소아 치아 외상, 치수 괴사, 미성숙 영구치, 신경재생술, REP, 치료기간, MTA 신경치료, 내원횟수) 관련 이미지 8](https://pub-9f2bb3498faf4d1d8714b41df24753e3.r2.dev/content/clinics/archive/nqmm0udu86/naver_blog/honeybeevuvu/assets/by_hash/ed91e3e478c47ab67872c157c0387df947e9be9edbe967f73931187588bc3425.jpg)
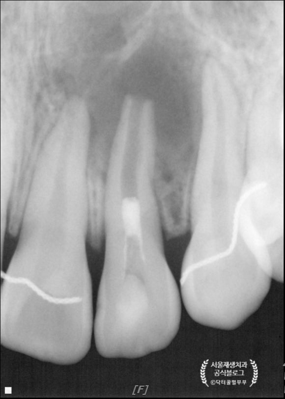
둘째 날입니다.
통상 첫 번째 방문과1주일 간격을 두고 재내원합니다.
재생근관치료는 두 번의 내원으로 진료가 끝납니다.
3회 이상 내원하면서
뿌리 끝이 닫히는지 확인해야 하는 근단형성술에 비하면 엄청난 발전이지요^^
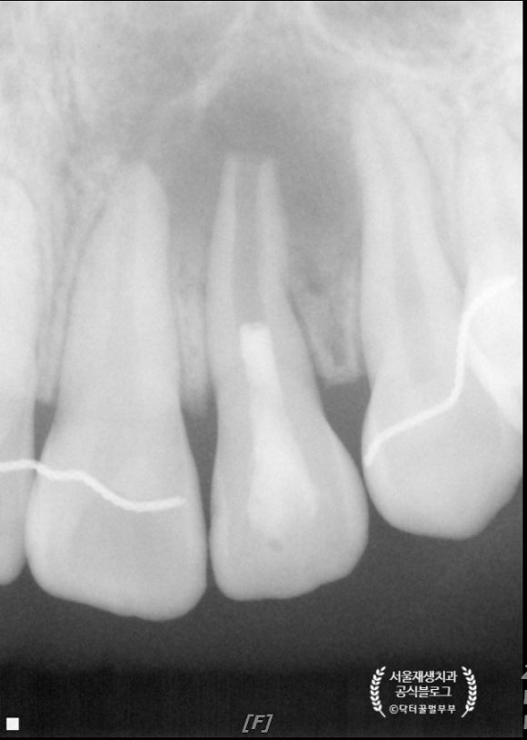
이 날은 상방에 근관 내에 MTA를 도포합니다.
MTA는 치과치료용 시멘트라고 이해하시면 편합니다.
근데 이제
세포분화와 재생, 성장을 촉진하는....^^
재생근관치료(=신경재생술)과 찰떡궁합이지요.
MTA를 빼놓고는 재생근관치료가 성립되지 않는답니다.
![[재생근관치료] 이가 난지 얼마 안 됐는데 신경이 죽었대요...(소아 치아 외상, 치수 괴사, 미성숙 영구치, 신경재생술, REP, 치료기간, MTA 신경치료, 내원횟수) 관련 이미지 9](https://pub-9f2bb3498faf4d1d8714b41df24753e3.r2.dev/content/clinics/archive/nqmm0udu86/naver_blog/honeybeevuvu/assets/by_hash/1fab630970d94a791fb72baa8952a70adc9d44f8d3d04f4d60b0bc2129307564.jpg)
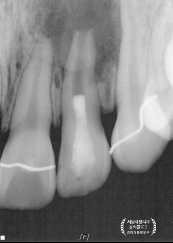
MTA 상방으로 레진을 축성하여
재감염을 방지하고 치아 머리를 보강해줍니다.
크디 큰 충치가 있지 않는 한 크라운을 씌울 필요는 없습니다^^
![[재생근관치료] 이가 난지 얼마 안 됐는데 신경이 죽었대요...(소아 치아 외상, 치수 괴사, 미성숙 영구치, 신경재생술, REP, 치료기간, MTA 신경치료, 내원횟수) 관련 이미지 10](https://pub-9f2bb3498faf4d1d8714b41df24753e3.r2.dev/content/clinics/archive/nqmm0udu86/naver_blog/honeybeevuvu/assets/by_hash/c76f7aa2114f6b1b690b72e3d32719cfe81810f00574b07fd5d8753099e2f490.jpg)
두 달 후에 왔습니다.
아직까진 그닥 달라진게 없어보이죠?
하지만 까만 동그라미(=치근단병소)의 가장자리를 보면
안개처럼 뿌옇게 신생골이 자라오는 것을 보실 수 있습니다.
보통 성인은 3개월 정도는 지나야 뼈의 재생이 관찰되는데,
역시 어린이는 회복이 빠릅니다^^
![[재생근관치료] 이가 난지 얼마 안 됐는데 신경이 죽었대요...(소아 치아 외상, 치수 괴사, 미성숙 영구치, 신경재생술, REP, 치료기간, MTA 신경치료, 내원횟수) 관련 이미지 11](https://pub-9f2bb3498faf4d1d8714b41df24753e3.r2.dev/content/clinics/archive/nqmm0udu86/naver_blog/honeybeevuvu/assets/by_hash/076af4462c91ed419497ec78a97a3348d426e491b810de5cb3056333a0268abe.jpg)
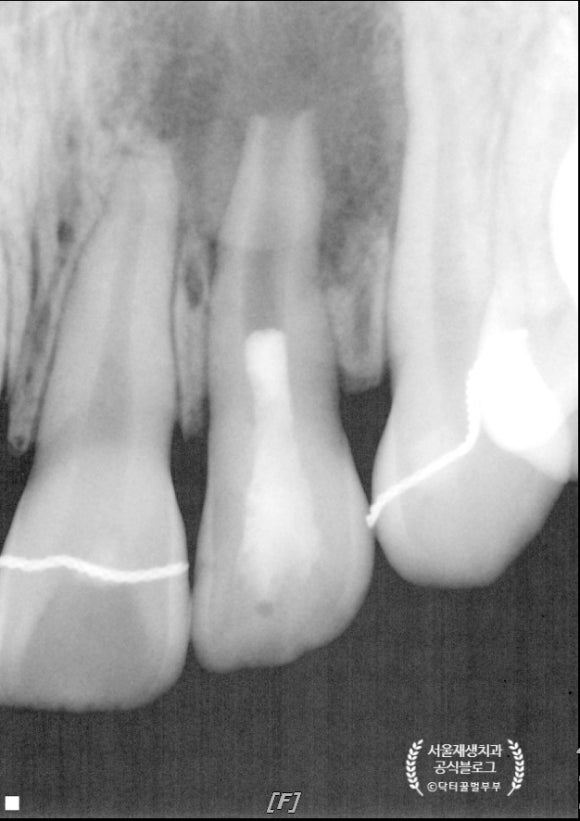
세 달 후에 왔습니다.
병소가 확연히 줄어든 것이 보입니다.
뿌리도 조금 더 두꺼워졌군요.
![[재생근관치료] 이가 난지 얼마 안 됐는데 신경이 죽었대요...(소아 치아 외상, 치수 괴사, 미성숙 영구치, 신경재생술, REP, 치료기간, MTA 신경치료, 내원횟수) 관련 이미지 12](https://pub-9f2bb3498faf4d1d8714b41df24753e3.r2.dev/content/clinics/archive/nqmm0udu86/naver_blog/honeybeevuvu/assets/by_hash/36e1280e4e04ab3048f5a0c850cf78e7efb81a3a6bc896bfba45441c81736143.jpg)
![[재생근관치료] 이가 난지 얼마 안 됐는데 신경이 죽었대요...(소아 치아 외상, 치수 괴사, 미성숙 영구치, 신경재생술, REP, 치료기간, MTA 신경치료, 내원횟수) 관련 이미지 13](https://pub-9f2bb3498faf4d1d8714b41df24753e3.r2.dev/content/clinics/archive/nqmm0udu86/naver_blog/honeybeevuvu/assets/by_hash/a3532b7a1821d29a26a1ac49d9503662e6cffd9a2f1b156a08c3297a4eddbf68.jpg)
![[재생근관치료] 이가 난지 얼마 안 됐는데 신경이 죽었대요...(소아 치아 외상, 치수 괴사, 미성숙 영구치, 신경재생술, REP, 치료기간, MTA 신경치료, 내원횟수) 관련 이미지 14](https://pub-9f2bb3498faf4d1d8714b41df24753e3.r2.dev/content/clinics/archive/nqmm0udu86/naver_blog/honeybeevuvu/assets/by_hash/3a69d0a7da9cb7032a6e11ecafb29431a34782597cae74ff041db79087b50564.jpg)
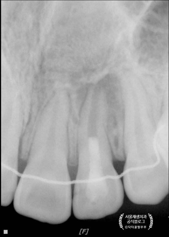
4개월 후에 왔습니다.
햇살 무늬처럼 가장자리에서부터 뼈가 재생되는 것, 이제는 보이시지요?^^
![[재생근관치료] 이가 난지 얼마 안 됐는데 신경이 죽었대요...(소아 치아 외상, 치수 괴사, 미성숙 영구치, 신경재생술, REP, 치료기간, MTA 신경치료, 내원횟수) 관련 이미지 15](https://pub-9f2bb3498faf4d1d8714b41df24753e3.r2.dev/content/clinics/archive/nqmm0udu86/naver_blog/honeybeevuvu/assets/by_hash/fd7554d2dbd812eb2994c4d181dcbb65598da7299a32367f2e3c8a9f48766efa.jpg)
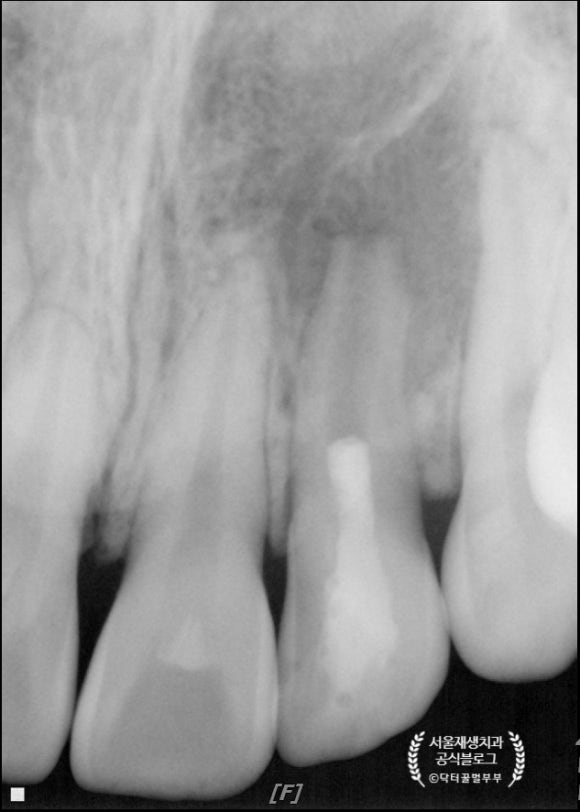
치료 후 7 개워이 지났습니다.
치아 뿌리는 더욱 두꺼워졌고, 병소도 거의 다 사라졌습니다.
이제 시간이 더 지나면 뿌리는 더욱 성숙해질테고, 병소였던 부위도 보다 밀도가 높은 뼈로 재생될테지요^^
![[재생근관치료] 이가 난지 얼마 안 됐는데 신경이 죽었대요...(소아 치아 외상, 치수 괴사, 미성숙 영구치, 신경재생술, REP, 치료기간, MTA 신경치료, 내원횟수) 관련 이미지 16](https://pub-9f2bb3498faf4d1d8714b41df24753e3.r2.dev/content/clinics/archive/nqmm0udu86/naver_blog/honeybeevuvu/assets/by_hash/a83f642603e27f24bd379d63b120f8598f40877979d0d9f4404e32eaf46799a5.jpg)
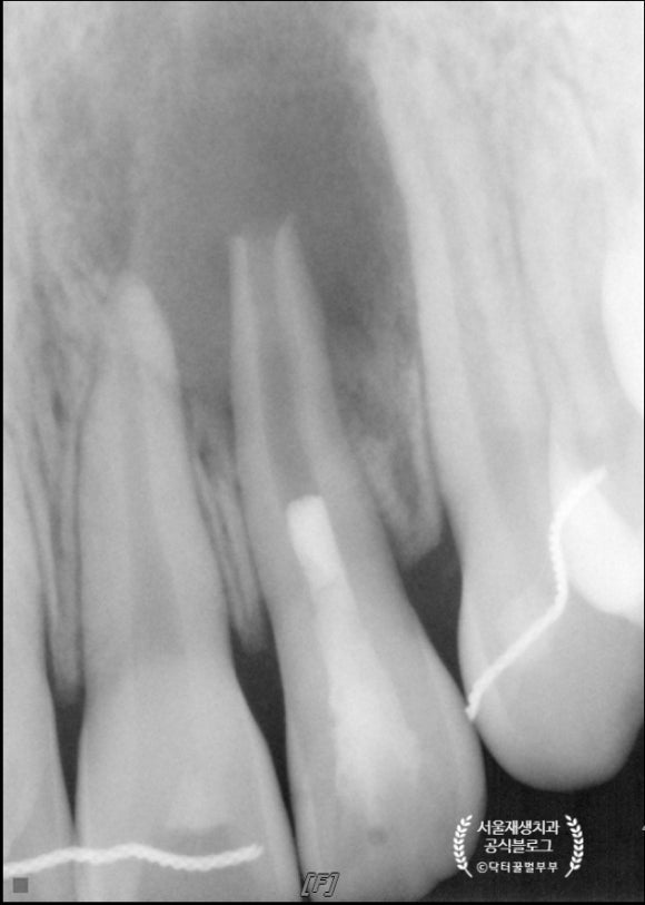
치료 후 1년입니다.
이젠 차이가 보이시죠?
인접 치아들의 성장 속도를 따라가려면 아직 멀었지만,
뒤늦게 건강을 회복하여 스스로 재생되고 있습니다.
기특합니다^^
13살 어린이에게 다시 한 번 건강한 치아를
선물해줄 수 있었던 아주 보람된 케이스였습니다^^
서울재생치과 대표원장 전준희
#신촌치과
#신촌보존과전문의
#서울재생치과
#신경재생술
#재생근관치료
#미성숙영구치
#소아신경치료
![[재생근관치료] 이가 난지 얼마 안 됐는데 신경이 죽었대요...(소아 치아 외상, 치수 괴사, 미성숙 영구치, 신경재생술, REP, 치료기간, MTA 신경치료, 내원횟수) 관련 이미지 17](https://pub-9f2bb3498faf4d1d8714b41df24753e3.r2.dev/content/clinics/archive/nqmm0udu86/naver_blog/honeybeevuvu/assets/by_hash/337b0baf31a3f3179904595f2ccf780a381e68d332e9c99e168beb6501f3a6d1.jpg)