Seoul Jeseng Dental Korea - English
전준희 대표원장 소개 & 서울재생치과의 진료철학
안녕하세요! 신촌역 서울재생치과 전준희 대표원장입니다. 학력 및 경력 명덕외국어고등학교 졸업 (프랑스어과) 연세대학교 학사졸업 (이학학사) 프랑스 그랑제꼴 INSA de Lyon 생화학과 (유학) 서울대학교 치의학과 졸업 서울대학교 치과병원 인턴 서울대학교 치과병원 치과보존과 레지던트 수련 보건복지부...
아카이브 요약
이 페이지의 역할
Seoul Jeseng Dental Korea - English, French Speaking Dentist | 서울재생치과 - 임플란트 투명교정 신경치료의 네이버 블로그 원문을 보존한 아카이브 페이지입니다. 서울재생치과소식 카테고리의 전준희 대표원장 소개 & 서울재생치과의 진료철학 글을 통해 병원의 한국어 정보 제공 방식과 진료 관련 안내 톤을 확인할 수 있습니다.
안녕하세요!
신촌역 서울재생치과 전준희 대표원장입니다.

학력 및 경력
명덕외국어고등학교 졸업 (프랑스어과)
연세대학교 학사졸업 (이학학사)
프랑스 그랑제꼴 INSA de Lyon 생화학과 (유학)
서울대학교 치의학과 졸업
서울대학교 치과병원 인턴
서울대학교 치과병원 치과보존과 레지던트 수련
보건복지부 인증 치과보존과 전문의
서울대학교 치과병원 치과보존학 박사 졸업
(현) 서울대학교 치과병원 겸임교수
(현) 서울재생치과 대표원장
대학로에서 보낸 8년이란 긴 시간.
레지던트 졸업과 더불어 치과보존과 전문의 자격증을 손에 쥐던 날,
'고생 많았다. 이제 대학로는 안녕!'
이라 생각한 것도 잠시,
졸업 후엔 박사학위 취득을 위해 들락날락,
박사학위 취득 후에는 후배들의 임상 지도를 위해
지금도 n년째 꾸준히 대학로를 드나들고 있는
전준희 원장입니다.
연구활동
석사학위논문
<치과 임플란트 치료 시 생활성 물질의 영향에 대한 연구>
당시 유통되는 임플란트와 연구단계에 있는 임플란트들의 표면처리법을 분석한 논문입니다.
박사학위논문
<재생근관치료 시 MTA plug 하연의 위치가 치근 발달에 미치는 영향에 대한 후향적 연구>
유럽근관치료학회(ESE) Original Scientific Research
<Location of Mineral Trioxide Aggregates (MTA)
plug and radiographic root change in
regenerative endodontic procedure (REP):
A preliminary study>
대한치과보존학회 연구 발표
<Depth of MTA plug and radiographic outcomes in regenerative endodontics procedure: A preliminary study>
수년에 걸쳐 여러 학술대회에서
미성숙치아의 신경재생술(=재생근관치료)의 임상연구 결과를 공유했습니다.
대한현미경치과학회 임상 증례 발표
<Periapical Surgery with Mandibular Canal Involvement>
미세현미경을 이용한 치근단절제술 시 주의해야할 해부학적 구조를 다룬 케이스 리포트입니다.
대한치과보존학회 증례 발표
<Direct occlusal rehabilitation with pre-heated resin and clear index>
크라운이나 인레이가 아닌, 레진을 이용한 교합면 수복에 대한 케이스 리포트입니다.
당시엔 파격적이었지만, 요즘은 가끔 이 방식으로 수복을 시도하시는 원장님들이 보여 반갑네요^^
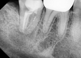
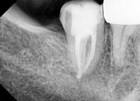
저의 첫번째 관심사는 신경치료입니다.


타원에서 받은 신경치료에 염증이 재발해서 재신경치료를 시행한 사례입니다.
일반 신경치료 뿐 아니라
염증이 재발한 신경치료를 다시 하는 것도 좋아합니다.
어려운 케이스는 미세현미경의 도움으로 섬세하게 접근하거나,
치근단수술/치아재식술/치아정출술 등의
고난이도 치과보존학 진료를 통해
발치의 기로에 놓인 치아들을 구출해 내는 데에 직업적 보람을 느낍니다.
또한, 신경재생술(=재생근관치료)를 시행할 수 있는
국내 몇 안되는 치과의사 중 한 명이기도 합니다.
가능하면 신경치료를 피할 순 없을까?
신경치료,
반드시 필요한 경우에 한하여
시행되어야 합니다.
서울재생치과 대표원장 전준희
치아에 한 번 신경치료가 이루어지고 나면,
해당치아에 다시 문제가 생겼을 때 선택할 수 있는 옵션이 상당히 제한됩니다.
-
재신경치료
-
치근단절제술
-
발치
1,2도 시도해보지 못하고 3으로 가는 경우도 허다하죠.
따라서,
치아신경의 변성이나 괴사 등으로 인해
신경조직을 제거하는 것이 반드시 필요할 때에
한하여 신중히 시행되어야 합니다.
피치못할 사정으로
반드시 신경치료가 필요한 상황이라면,
그땐 서울대 치과보존과 전문의가 있는
서울재생치과를 찾아주세요.
자연치아의 수명을 늘리기 위한 노력,
서울재생치과가 해드릴게요.
- 꾸준한 플라그 &치석 제거를 통해 잇몸질환과 충치를 예방합니다.
-
튼튼한 충치치료 (레진,인레이치료)
-
통증을 덜어주는 편안한 신경치료
(재신경치료 등 고난이도 술식 포함)
-
치아의 영원한 동반자, 턱관절 케어
-
그동안 고마웠다 나의 치아, 튼튼하고 편안한 임플란트
-
레진이나 라미네이트를 이용한 심미치료 및 화사한 미소를 위한 미백치료
현재 서울재생치과는 신촌로터리에서
여러분을 만날 날을 위해 열심히 단장중입니다.
3월 11일 신촌에서 만나실 수 있습니다.
#신촌치과
#신촌치과보존과
#서울재생치과
#신촌신경치료
더 보기
이 병원의 공개 콘텐츠를 계속 살펴보세요
출처 아카이브로 돌아가 더 많은 글을 보거나, 병원 프로필로 이동해 다른 공개 채널도 함께 비교해보세요.