Seoul Jeseng Dental Korea - English
[턱관절] 임플란트 맞은 편 치아가 아파요! (외상성교합, 강한 교합력, 보톡스 치료,턱관절물리치료, 치과 보험진료)
개원 3일차 어느 오후, 준원장에게 멋쟁이 60대 여성 환자분이 찾아오셨습니다. 왼쪽 아래 치아가 시리고 흔들려요! 파노라마 사진에서 원인 치아를 찾아보아요. 치아들의 단체사진입니다. 준원장은 파노라마 엑스레이를 보는 순간 원인치아를 찾아낼 수 있었답니다. 원인은 왼쪽 아래(사진상 우측하단입니다),...
아카이브 요약
이 페이지의 역할
Seoul Jeseng Dental Korea - English, French Speaking Dentist | 서울재생치과 - 임플란트 투명교정 신경치료의 네이버 블로그 원문을 보존한 아카이브 페이지입니다. 준원장의 치과이야기 카테고리의 [턱관절] 임플란트 맞은 편 치아가 아파요! (외상성교합, 강한 교합력, 보톡스 치료,턱관절물리치료, 치과 보험진료) 글을 통해 병원의 한국어 정보 제공 방식과 진료 관련 안내 톤을 확인할 수 있습니다.
![[턱관절] 임플란트 맞은 편 치아가 아파요! (외상성교합, 강한 교합력, 보톡스 치료,턱관절물리치료, 치과 보험진료) 관련 이미지 1](https://pub-9f2bb3498faf4d1d8714b41df24753e3.r2.dev/content/clinics/archive/nqmm0udu86/naver_blog/honeybeevuvu/assets/by_hash/e50a99a370df3e18fecf31c064e9c5cb517dcbbeba494b25d2c502573483c601.jpg)
개원 3일차 어느 오후,
준원장에게 멋쟁이 60대 여성 환자분이 찾아오셨습니다.
왼쪽 아래 치아가 시리고 흔들려요!
파노라마 사진에서 원인 치아를 찾아보아요.
![[턱관절] 임플란트 맞은 편 치아가 아파요! (외상성교합, 강한 교합력, 보톡스 치료,턱관절물리치료, 치과 보험진료) 관련 이미지 2](https://pub-9f2bb3498faf4d1d8714b41df24753e3.r2.dev/content/clinics/archive/nqmm0udu86/naver_blog/honeybeevuvu/assets/by_hash/a444c31ccbb5cf1d869cc46525d76e7984aa8192e699f7a199a70302411e1f54.jpg)
치아들의 단체사진입니다.
준원장은 파노라마 엑스레이를 보는 순간 원인치아를 찾아낼 수 있었답니다.
원인은 왼쪽 아래(사진상 우측하단입니다), 임플란트 앞에 있는 자연치였습니다.
![[턱관절] 임플란트 맞은 편 치아가 아파요! (외상성교합, 강한 교합력, 보톡스 치료,턱관절물리치료, 치과 보험진료) 관련 이미지 3](https://pub-9f2bb3498faf4d1d8714b41df24753e3.r2.dev/content/clinics/archive/nqmm0udu86/naver_blog/honeybeevuvu/assets/by_hash/698decdba5728871be75364877d56e32fdbbee90f5f8a5b59c86e9a81b5e6708.png)
노란 네모 안에 있는 치아가 오늘의 주인공!
임플란트는 신경이 없는 티티늄 금속 덩어리이기 때문에 시린 느낌이 없습니다.
게다가, 골융합 과정을 통해 뼈에 단단히 고정되어 있기 때문에 여간해서는 흔들리는 일도 없지요.
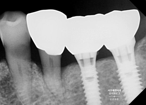
치근단 사진을 통해 정확한 치아 상태를 살펴봐요.
![[턱관절] 임플란트 맞은 편 치아가 아파요! (외상성교합, 강한 교합력, 보톡스 치료,턱관절물리치료, 치과 보험진료) 관련 이미지 4](https://pub-9f2bb3498faf4d1d8714b41df24753e3.r2.dev/content/clinics/archive/nqmm0udu86/naver_blog/honeybeevuvu/assets/by_hash/0f0f2fbd03a354f9946b336d57687a6d4af33974dbd615fb7ad2e3430d0d51b3.jpg)
치근단 사진을 찍어보았습니다.
파노라마 사진 = 단체사진
치근단 사진 = 증명사진
이라고 환자분들께 설명드리곤 합니다.
단체 사진을 아무리 확대해도 얼굴에 있는 점이나 주근깨, 미세한 주름까지는 보이지 않지요?
정확한 진단이 필요한, 혹은 치료를 앞둔 치아는 치근단 엑스레이를 촬영하여 현상태를 보다 면밀히 파악하는 것이 필수입니다.
(모두 건강보험진료이기 때문에 비용은 몇 천원에 불과합니다.)
![[턱관절] 임플란트 맞은 편 치아가 아파요! (외상성교합, 강한 교합력, 보톡스 치료,턱관절물리치료, 치과 보험진료) 관련 이미지 5](https://pub-9f2bb3498faf4d1d8714b41df24753e3.r2.dev/content/clinics/archive/nqmm0udu86/naver_blog/honeybeevuvu/assets/by_hash/36399fc9489e3792b6d8223d4308600ea707a5bf9d59525f8d67467e4cc28238.jpg)
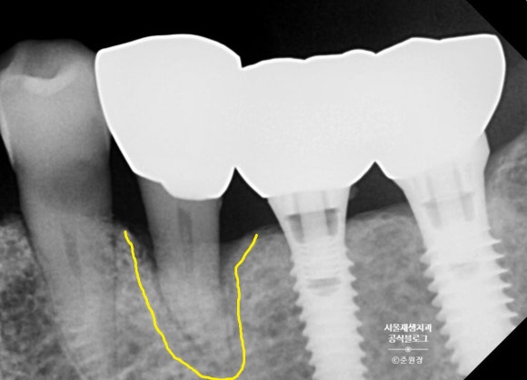
증명사진을 살펴보겠습니다.
치아 뿌리의 외형을 따라 잇몸뼈들이 녹아있는 소견입니다.
당연하게도 치아는 몹시도 흔들리고 있었구요.
치주탐침 검사로 골소실 정도를 파악해보니, 이미 뿌리 끝까지 뼈가 녹아내려 더 이상 손 쓸 수가 없는 상황이었습니다.
조금만 더 일찍 오셨더라면...!
환자분들과 상담할때,
"임플란트는 입 안에 있는 작은 망치"
라는 비유를 자주 들곤 합니다.
각 자연 치아에는 고유의 신경이 있어서 정상 범주를 벗어나는 큰 자극을 받으면 그것을 즉시 피하고자 하는 반사작용을 하게 됩니다.
몹시 뜨겁거나 차가운 음식을 씹었을 때, 젓가락이나 포크를 씹었을 때, 밥 사이 섞여 있는 작은 돌멩이를 씹었을 때, 나도 모르게 입이 딱 벌어지는 경험을 모두 해보셨을 겁니다.
하지만 임플란트는 티타늄 금속으로 이루어진 인공구조물이기 때문에 무엇이든 강력한 힘으로 씹을 수 있지요.
이때 작용하는 어마무시한 저작력은 고스란히 임플란트 옆에 위치한 인접치, 임플란트와 맞닿는 대합치의 손상으로 연결됩니다.
이를 외상성교합이라고 합니다.
다수의 임플란트를 가지신 환자분들에게 자주 발견되는 증상입니다.
임플란트로 인한 외상성교합은
어떻게 대처해야 할까요??
- 덜 닿게 해주기 (교합조정)
가장 간단하며 직관적인 방법입니다.
임플란트나 자연치의 높이를 미세하게 조절하여, 살짝만 닿거나 아님, 아예 닿지 않도록 만들어주는 방법입니다.
임플란트 혹은 자연치를 삭제해야 한다는 부담이 있고, 덜 닿는 느낌 때문에 적응기간 동안 답답해하시는 분들이 계십니다. 뭐든 시원하게 씹어먹어야 하는데 말입니다^^;
대신 비용이 가장 저렴하고 간단한 시술입니다.
- 닿는 힘을 약하게 해주기 (보톡스와 물리치료)
닿는 건 속시원히 닿더라도, 세게 닿지 않도록 해주면 되지 않겠습니까?
여기에는 두 가지 길이 있습니다.
속성코스, 그리고 마라톤입니다.
속성코스는 치과보톡스치료입니다.
![[턱관절] 임플란트 맞은 편 치아가 아파요! (외상성교합, 강한 교합력, 보톡스 치료,턱관절물리치료, 치과 보험진료) 관련 이미지 6](https://pub-9f2bb3498faf4d1d8714b41df24753e3.r2.dev/content/clinics/archive/nqmm0udu86/naver_blog/honeybeevuvu/assets/by_hash/f1c5bbe7225365ecbc1c043fc3b471798b410f1491e2d9a1eaf0105773c7c4db.png)
좌측 사진은
흔히들 말하는 사각턱보톡스의 타겟인 교근,
우측 사진은
씹을 때 옆통수(?)가 올록볼록해지는 원인인 측두근입니다.
씹는 힘의 대부분이 이 두 근육에서 발생합니다.
교근 보톡스(=사각턱보톡스)는 씹는 힘을 줄여주면서 얼굴을 갸름하게 만드는 부작용(?)이,
측두근 보톡스는 씹는 힘을 줄이면서 근긴장성 두통을 완화시키는 부작용(?)이 각 각 있습니다.
준원장의 검사 후 상담 및 시술이 진행됩니다.
(아프지 않게 1분 이내로 진행되니 걱정마세요^^)
닿는 힘을 약하게 만들어주는 두 번째 방법은,
느리지만 꾸준히, 턱관절물리치료입니다.
![[턱관절] 임플란트 맞은 편 치아가 아파요! (외상성교합, 강한 교합력, 보톡스 치료,턱관절물리치료, 치과 보험진료) 관련 이미지 7](https://pub-9f2bb3498faf4d1d8714b41df24753e3.r2.dev/content/clinics/archive/nqmm0udu86/naver_blog/honeybeevuvu/assets/by_hash/e1005a710cbbaa6e56e05e65b0a1a0c35e8997c7dd40f6ad066f83ae21913447.jpg)
소요시간은 15~30분 정도입니다.
그런데, 모두 알고 계시나요?
턱관절물리치료는 건강보험이 적용되는 치료라는 것을요!
매 내원시마다 8천원~9천원대의 저렴한 비용으로,
-
턱관절 주위의 혈류를 개선시키고
-
근육 경직도를 완화시켜
치아에 가해지는 부담을 줄일 수 있습니다.
서울재생치과는 조용한 분위기에서 근육을 이완시킬 수 있는 물리치료실이 따로 마련되어 있습니다.
![[턱관절] 임플란트 맞은 편 치아가 아파요! (외상성교합, 강한 교합력, 보톡스 치료,턱관절물리치료, 치과 보험진료) 관련 이미지 8](https://pub-9f2bb3498faf4d1d8714b41df24753e3.r2.dev/content/clinics/archive/nqmm0udu86/naver_blog/honeybeevuvu/assets/by_hash/46d7e93172d60a89a9db822ece3671a2901403cd89540f4e4cb6b76aba5d7482.png)
Hermitage Family & Costemic dentistry
임플란트 인구(?)가 늘어나는 만큼,
구강 내 임플란트와 자연치의 공생관계에 대한 연구도 필요하다고 생각합니다.
서울재생치과는 환자분들의 편안한 식사와 일상을 위해 늘 연구하고 노력합니다.
#신촌치과
#서울재생치과
![[턱관절] 임플란트 맞은 편 치아가 아파요! (외상성교합, 강한 교합력, 보톡스 치료,턱관절물리치료, 치과 보험진료) 관련 이미지 9](https://pub-9f2bb3498faf4d1d8714b41df24753e3.r2.dev/content/clinics/archive/nqmm0udu86/naver_blog/honeybeevuvu/assets/by_hash/337b0baf31a3f3179904595f2ccf780a381e68d332e9c99e168beb6501f3a6d1.jpg)
더 보기
이 병원의 공개 콘텐츠를 계속 살펴보세요
출처 아카이브로 돌아가 더 많은 글을 보거나, 병원 프로필로 이동해 다른 공개 채널도 함께 비교해보세요.