아카이브 요약
이 페이지의 역할
서울재생치과의원 신촌본원의 네이버 블로그 원문을 보존한 아카이브 페이지입니다. 준원장의 치과이야기 카테고리의 충치나 파절로 짧아진 치아도 다시 보자! (의도적 재식술/치아정출술 후 브릿지치료) 글을 통해 병원의 한국어 정보 제공 방식과 진료 관련 안내 톤을 확인할 수 있습니다.
원문 검증
필요하면 원문 블로그와 병원 프로필로 바로 이동해 문맥을 다시 확인할 수 있습니다.
출처 아카이브 열기아카이브된 블로그 글
서울재생치과의원 신촌본원 · 신촌 치아지킴희 전준희
https://dentalclinicgandhinagar.com/tooth-decay-stages-and-how-to-treat-each/ 안녕하세요, 서울재생치과 준원장입니다. 충치는 보통 어떻게 치료할까요? 크기와 위치에 따라서 다르겠죠. 간단하게 때우는 치료로 끝날 수도 있겠구요. 조금 더 진행되면...
게시일
2024년 3월 20일
원문 기준으로 확인된 발행일입니다.
카테고리
준원장의 치과이야기
원문 블로그 카테고리를 정리해 함께 표시합니다.
이미지 수
17
현재 아카이브에 연결된 이미지 수입니다.
아카이브 요약
서울재생치과의원 신촌본원의 네이버 블로그 원문을 보존한 아카이브 페이지입니다. 준원장의 치과이야기 카테고리의 충치나 파절로 짧아진 치아도 다시 보자! (의도적 재식술/치아정출술 후 브릿지치료) 글을 통해 병원의 한국어 정보 제공 방식과 진료 관련 안내 톤을 확인할 수 있습니다.
원문 검증
필요하면 원문 블로그와 병원 프로필로 바로 이동해 문맥을 다시 확인할 수 있습니다.
출처 아카이브 열기

https://dentalclinicgandhinagar.com/tooth-decay-stages-and-how-to-treat-each/
안녕하세요, 서울재생치과 준원장입니다.
충치는 보통 어떻게 치료할까요?
크기와 위치에 따라서 다르겠죠.
간단하게 때우는 치료로 끝날 수도 있겠구요.
조금 더 진행되면 신경치료가 필요한 경우도 있구요.
정말 심한 경우엔 발치까지 고려하게 됩니다.
위 세가지는 진료실에서 가장 많이 선택하게 되는 옵션입니다.
하지만 치과보존과 전문의의 눈에는 이 외에도 수 많은 치료 옵션이 보인답니다.
그 중 하나를 오늘 소개해드릴게요.
충치를 진단하고,
그에 맞는 최적의 치료 계획을 세우는 일,
치과보존과 전문의의 역할입니다.
서울재생치과 전준희원장
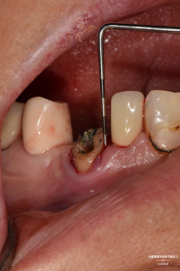
치료 첫 날
크라운 벗겨보니 충치가 너무 컸어요.
이를 빼야 하나요?
50대 여성 환자분
깊은 충치로 머리가 간신히 남은 치아입니다.
머리도 얼마 안남았는데...
크라운을 씌우기 불안할 만큼 잔존치질이 부족합니다.
이 경우 가장 흔하게 선택하는 정답지는,
발치 후 임플란트겠지요.

냅다 발치한 사진을 먼저 보여드리게 됐네요^^
핀셋에 간신히 잡혀 있는 부분이 머리입니다.
혈액이 묻어있는 부분은 모두 뿌리입니다.
이제 이해가 되실겁니다.
뿌리만 남은 치아라는 걸요...^^;;

이미 신경치료가 잘 되어 있던 치아라서,
혹시 모를 재감염을 방지하기 위해
뿌리 끝을 약간 잘라냈습니다.


충분한 높이가 확보되었는지 확인하기 위한 치주탐침검사입니다. 눈금이 있어서 '자'처럼 쓸 수 있는 유용한 도구입니다^^
크라운을 씌우기 위해서는 최소 2~3mm의 높이가 필요합니다.
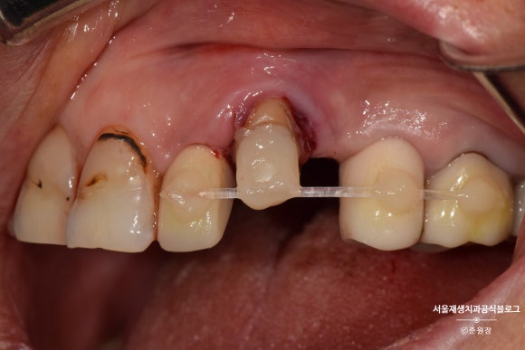
잇몸에 콕 박혀있던 요 녀석을
위 사진처럼 약~간 들어올린 상태로 고정시켰습니다.
치아가 살~짝 빠져있는 상태겠죠?
흔들리지 않겠냐고요?


약간의 생리적인 움직임만을 허용할 수 있는
레진-와이어 스플린팅을 시행합니다.
투명하고 낭창낭창한 플라스틱 와이어나 얇은 스텐와이어면 충분합니다.
인접치에 튼튼하게 고정되었습니다.
이 상태로 2주 기다려봅니다.
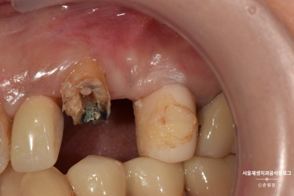
2주 후


연세가 조금 있으셨음에도 불구하고,
2주 후에 다행히 치아가 뼈에 단단히 결합된 상태로 재내원하셨습니다.
와이어를 제거했습니다.


최소한의 길이가 확보되긴 했지만 아직 크라운을 씌울 정도의 충분한 부피는 아닙니다.
나머지는 포스트와 레진의 도움을 받아 쌓아올립니다.
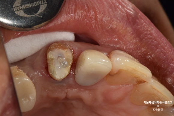
또 다시 1주일 뒤, 최종보철물 결합


처음부터 치아 사이 사이 공간이 넓은 분이셔서,
기왕 하는 김에 치아 사이 공간도 매꿀 수 있겠냐고 물어보셨습니다.
인접 치아에 연결된 미니 브릿지를 만들어서
보다 심미적인 결과를 도출해낼 수 있었습니다.
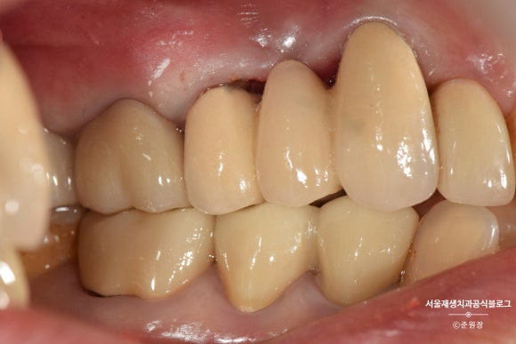
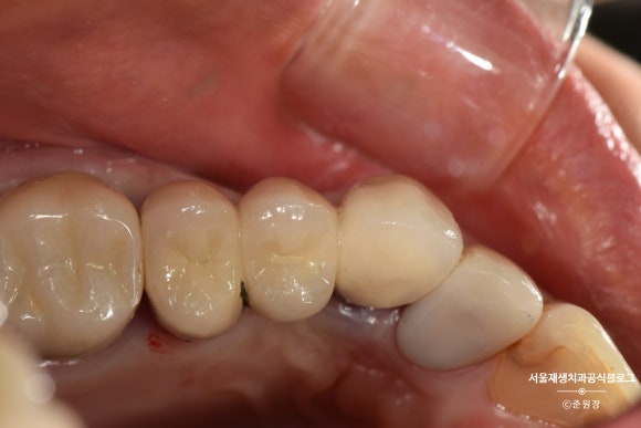
치아 재식 직후>

치료 후>

의도적재식술/치아정출술의 조건
이가 많이 썩어서
빼야 한다고 들었는데...
나도 저 치료를 받을 수 있을까?
이쯤 되면 나도 저 치료를 받을 수 있을지 궁금하실 수 있습니다.
본 케이스의 환자분은
충치가 뿌리까지 진행되지 않았고.
치아를 약간 끄집어 올려도 뼈 안에서 치아를 지지해줄 뿌리가 충분히 길었습니다.
따라서, 환자분 각자의 상황을 정확하게 판단하여
섬세하게 치료계획을 수립하는 것이 무엇보다 중요합니다.
충치를 진단하고,
그에 맞는 최적의 치료 계획을 세우는 일,
치과보존과 전문의의 역할입니다.
서울재생치과 전준희원장
서울재생치과는 자연치를 보다 오래 사용할 수 있는 치료법을 연구하고, 실천합니다.
궁금하신 점은 댓글 남겨주시거나, 치과로 문의바랍니다.
서울재생치과 02-325-2828
#서울재생치과
#신촌치과
#의도적재식술
#치아정출술
#충치치료잘하는집
