Seoul Jeseng Dental Korea - English
[치아외상] 부러진 앞니, 발치가 답인가요? (사고로 부러진 치아, 외과적정출술로 살리기)
안녕하세요, 서울재생치과 준원장입니다. 날씨가 따뜻해지고 개학시즌이 맞물리면서 학생들과 사회초년생들의 치아 외상 빈도가 증가하고 있습니다. 특히나, 공유 전기자전거, 킥보드 등이 대중화되면서 그로 인한 사고가 끊이지 않습니다. (음주 후 두 바퀴 달린 것은 절대 타지 마세요...) ...
아카이브 요약
이 페이지의 역할
Seoul Jeseng Dental Korea - English, French Speaking Dentist | 서울재생치과 - 임플란트 투명교정 신경치료의 네이버 블로그 원문을 보존한 아카이브 페이지입니다. 준원장의 치과이야기 카테고리의 [치아외상] 부러진 앞니, 발치가 답인가요? (사고로 부러진 치아, 외과적정출술로 살리기) 글을 통해 병원의 한국어 정보 제공 방식과 진료 관련 안내 톤을 확인할 수 있습니다.
![[치아외상] 부러진 앞니, 발치가 답인가요? (사고로 부러진 치아, 외과적정출술로 살리기) 관련 이미지 1](https://pub-9f2bb3498faf4d1d8714b41df24753e3.r2.dev/content/clinics/archive/nqmm0udu86/naver_blog/honeybeevuvu/assets/by_hash/866ffd461362eda33dbacf6c7dcfb8a662f0c266bbdcf3064cd4316abf13b698.png)
안녕하세요, 서울재생치과 준원장입니다.
날씨가 따뜻해지고 개학시즌이 맞물리면서 학생들과 사회초년생들의 치아 외상 빈도가 증가하고 있습니다.
특히나,
공유 전기자전거, 킥보드 등이 대중화되면서
그로 인한 사고가 끊이지 않습니다.
(음주 후 두 바퀴 달린 것은 절대 타지 마세요...)
치과보존과 전문의인 저는 레지던트 시절부터 크고 작은 외상 환자들을 치료해왔습니다.
월요일 아침이면 주말 사고의 여파로 외상환자분들이 진료실을 꽉 채우기도 했습니다.
그때부터 저는 킥보드, 오토바이 같이 바퀴 2개 달린 것은 절대 타지 말자는 이상한 다짐을 하게 되었답니다^^;
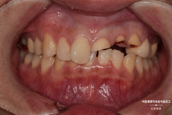
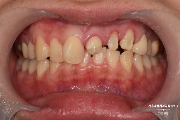
넘어져서 이가 부러졌어요!
![[치아외상] 부러진 앞니, 발치가 답인가요? (사고로 부러진 치아, 외과적정출술로 살리기) 관련 이미지 2](https://pub-9f2bb3498faf4d1d8714b41df24753e3.r2.dev/content/clinics/archive/nqmm0udu86/naver_blog/honeybeevuvu/assets/by_hash/a53f4aefe075e9f736d9db4d14fe8433fe5dae9757e333f7196bdf1e4f9177d1.jpg)
여기,
20대의 남자환자분이 오셨습니다.
사고로 왼쪽 앞니 3개가 모두 부러졌습니다.
![[치아외상] 부러진 앞니, 발치가 답인가요? (사고로 부러진 치아, 외과적정출술로 살리기) 관련 이미지 3](https://pub-9f2bb3498faf4d1d8714b41df24753e3.r2.dev/content/clinics/archive/nqmm0udu86/naver_blog/honeybeevuvu/assets/by_hash/0058b2b66a26a0ef1a631ecf2bede87771b2857f9a956a035e8d7cbbc9dd2e0d.jpg)
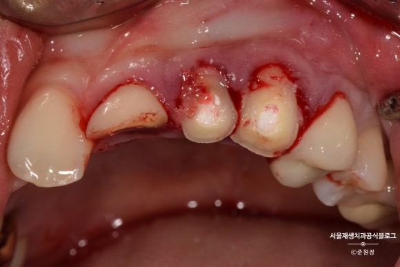
신경이 노출될 정도로 모든 치아가 심하게 부러졌기 때문에, 우선 응급 신경치료를 진행했습니다.
신경치료를 하면서도 '이 치아들을 내가 살릴 수 있을까' 깊은 고민에 빠졌었지요.
외과적정출술로 자연치아에게 두번째 기회를!
![[치아외상] 부러진 앞니, 발치가 답인가요? (사고로 부러진 치아, 외과적정출술로 살리기) 관련 이미지 4](https://pub-9f2bb3498faf4d1d8714b41df24753e3.r2.dev/content/clinics/archive/nqmm0udu86/naver_blog/honeybeevuvu/assets/by_hash/c67160cfad82189f0b1164ccf807f2a288faf976e4907c1a4571b62f81c705b7.jpg)
신경치료가 끝났습니다.
이제 어떻게 할까요?!?
크라운을 씌울 수 없을 정도로 처참하게 부러진 상태입니다.
이 때 필요한 것은?
.
.
.
바로 외과적정출술입니다.
일부러 치아를 발치해서, 원하는 높이만큼 치아를 새롭게 고정해주는 술식입니다.
말로만 해서는 이해가 잘 가시죠.
아래 사진을 함께 봐주세요.
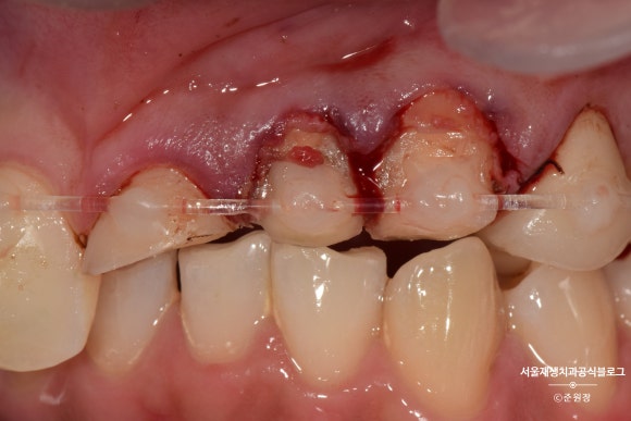
Step1. 이를 뽑는다
![[치아외상] 부러진 앞니, 발치가 답인가요? (사고로 부러진 치아, 외과적정출술로 살리기) 관련 이미지 5](https://pub-9f2bb3498faf4d1d8714b41df24753e3.r2.dev/content/clinics/archive/nqmm0udu86/naver_blog/honeybeevuvu/assets/by_hash/ea3b5bfeb69411f2861492f05bc06a68094517228b2921139c7aae4b27271875.jpg)
![[치아외상] 부러진 앞니, 발치가 답인가요? (사고로 부러진 치아, 외과적정출술로 살리기) 관련 이미지 6](https://pub-9f2bb3498faf4d1d8714b41df24753e3.r2.dev/content/clinics/archive/nqmm0udu86/naver_blog/honeybeevuvu/assets/by_hash/569be7603b632abbde136229ffaacaf72b908538ab636a92b6baeae49aa2642f.jpg)
![[치아외상] 부러진 앞니, 발치가 답인가요? (사고로 부러진 치아, 외과적정출술로 살리기) 관련 이미지 7](https://pub-9f2bb3498faf4d1d8714b41df24753e3.r2.dev/content/clinics/archive/nqmm0udu86/naver_blog/honeybeevuvu/assets/by_hash/cd56514acbd640f7f8ddd47202dcec1d6903194c9edfbfa1a4f7bc8172a23de9.jpg)
뽑았습니다~
![[치아외상] 부러진 앞니, 발치가 답인가요? (사고로 부러진 치아, 외과적정출술로 살리기) 관련 이미지 8](https://pub-9f2bb3498faf4d1d8714b41df24753e3.r2.dev/content/clinics/archive/nqmm0udu86/naver_blog/honeybeevuvu/assets/by_hash/8795cf7dc509d773e67c8ec581e6b0d79fcf47809ac4852fad533a722b7ebe32.jpg)
![[치아외상] 부러진 앞니, 발치가 답인가요? (사고로 부러진 치아, 외과적정출술로 살리기) 관련 이미지 9](https://pub-9f2bb3498faf4d1d8714b41df24753e3.r2.dev/content/clinics/archive/nqmm0udu86/naver_blog/honeybeevuvu/assets/by_hash/943fca81268bf723d975b4bc918cf9439b3854774a9ad5d115cb5df8a1b22301.jpg)
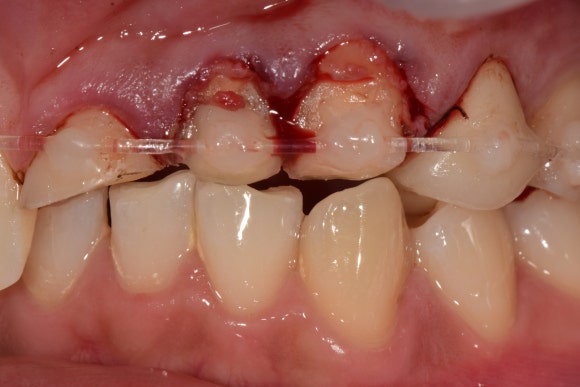
준원장 : 너의 새로운 위치는 여기야.
치아 : ??? 뭐야....내 자리 돌려줘요
![[치아외상] 부러진 앞니, 발치가 답인가요? (사고로 부러진 치아, 외과적정출술로 살리기) 관련 이미지 10](https://pub-9f2bb3498faf4d1d8714b41df24753e3.r2.dev/content/clinics/archive/nqmm0udu86/naver_blog/honeybeevuvu/assets/by_hash/28366262a9c7e84d627dca7db9aa7305c2643d549efa42d612dd8b2c25c74cb4.jpg)
![[치아외상] 부러진 앞니, 발치가 답인가요? (사고로 부러진 치아, 외과적정출술로 살리기) 관련 이미지 11](https://pub-9f2bb3498faf4d1d8714b41df24753e3.r2.dev/content/clinics/archive/nqmm0udu86/naver_blog/honeybeevuvu/assets/by_hash/3f32e2b78c90dca651ab17ef755566a443b5ce0dd6c827ad499800ae176f3179.jpg)
준원장 : 너도 뺄거야.
치아 : ???녜?
![[치아외상] 부러진 앞니, 발치가 답인가요? (사고로 부러진 치아, 외과적정출술로 살리기) 관련 이미지 12](https://pub-9f2bb3498faf4d1d8714b41df24753e3.r2.dev/content/clinics/archive/nqmm0udu86/naver_blog/honeybeevuvu/assets/by_hash/645f29d0520e0ec6baa1ed3846df1f7e980993c3dec4b139aba0da8541c53ccd.jpg)
![[치아외상] 부러진 앞니, 발치가 답인가요? (사고로 부러진 치아, 외과적정출술로 살리기) 관련 이미지 13](https://pub-9f2bb3498faf4d1d8714b41df24753e3.r2.dev/content/clinics/archive/nqmm0udu86/naver_blog/honeybeevuvu/assets/by_hash/a8763fd869e591a7622c570344ffbed0a2e0e019b6abfe3800b63deca4897120.jpg)
준원장 : 근데 돌려 꽂을거야
치아 : ???녜?
![[치아외상] 부러진 앞니, 발치가 답인가요? (사고로 부러진 치아, 외과적정출술로 살리기) 관련 이미지 14](https://pub-9f2bb3498faf4d1d8714b41df24753e3.r2.dev/content/clinics/archive/nqmm0udu86/naver_blog/honeybeevuvu/assets/by_hash/7ba07f9dab9f12ca6d1eb07862fa9f15eea11f3985e2426ca5c57d63288c7033.jpg)
![[치아외상] 부러진 앞니, 발치가 답인가요? (사고로 부러진 치아, 외과적정출술로 살리기) 관련 이미지 15](https://pub-9f2bb3498faf4d1d8714b41df24753e3.r2.dev/content/clinics/archive/nqmm0udu86/naver_blog/honeybeevuvu/assets/by_hash/bc287e08289eaed6a10ac4779a86b9c3783ecc5ce4645f20d273b8e9acc74169.jpg)
![[치아외상] 부러진 앞니, 발치가 답인가요? (사고로 부러진 치아, 외과적정출술로 살리기) 관련 이미지 16](https://pub-9f2bb3498faf4d1d8714b41df24753e3.r2.dev/content/clinics/archive/nqmm0udu86/naver_blog/honeybeevuvu/assets/by_hash/59a00647b53db9195329a825d4de35d82c1dc44b60cf0885bc6a75b5350ffda2.jpg)
~ 끝 ~
이제 크라운을 씌울 수 있는 충분한 길이가 확보되었습니다.
만일 치아가 심하게 파절되어, 발치하는 과정에서 뿌리가 바스라진다면 그대로 발치로 이어져야 합니다.
이 점을 환자분과 충분히 논의한 후 시술에 들어가게 됩니다.
Step2. 원하는 위치에 치아를 고정한다
![[치아외상] 부러진 앞니, 발치가 답인가요? (사고로 부러진 치아, 외과적정출술로 살리기) 관련 이미지 17](https://pub-9f2bb3498faf4d1d8714b41df24753e3.r2.dev/content/clinics/archive/nqmm0udu86/naver_blog/honeybeevuvu/assets/by_hash/7842941f409f95fc7153b92724388091b04b346f3723dcb24d5d24242770c2ae.jpg)
![[치아외상] 부러진 앞니, 발치가 답인가요? (사고로 부러진 치아, 외과적정출술로 살리기) 관련 이미지 18](https://pub-9f2bb3498faf4d1d8714b41df24753e3.r2.dev/content/clinics/archive/nqmm0udu86/naver_blog/honeybeevuvu/assets/by_hash/49474eaac894a459f62c5bee68decff14f258715ac3e23e76ada9ab1c315a750.jpg)
![[치아외상] 부러진 앞니, 발치가 답인가요? (사고로 부러진 치아, 외과적정출술로 살리기) 관련 이미지 19](https://pub-9f2bb3498faf4d1d8714b41df24753e3.r2.dev/content/clinics/archive/nqmm0udu86/naver_blog/honeybeevuvu/assets/by_hash/43f6bdeea761bc0f26c8192f18db81577dd08e2e120cda02b793f46b1065beb1.jpg)
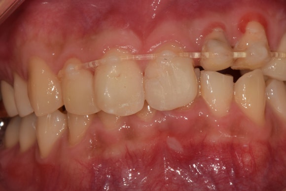
얇은 와이어로 치아들을 고정해줍니다.
골 파절이 동반되지 않은 경우, 대개 2주 정도면 충분합니다.
2주 후, 이제 치아가 움직이지 않아요!
![[치아외상] 부러진 앞니, 발치가 답인가요? (사고로 부러진 치아, 외과적정출술로 살리기) 관련 이미지 20](https://pub-9f2bb3498faf4d1d8714b41df24753e3.r2.dev/content/clinics/archive/nqmm0udu86/naver_blog/honeybeevuvu/assets/by_hash/834185907b6f0324195ea404fb4524d0bf6edd76d4dde8038e46316781781a6a.jpg)
고정 2주차, 치아들이 이제 제법 단단하게 제 자리를 잡았습니다.
잇몸들도 모두 건강하게 잘 아물었습니다.
![[치아외상] 부러진 앞니, 발치가 답인가요? (사고로 부러진 치아, 외과적정출술로 살리기) 관련 이미지 21](https://pub-9f2bb3498faf4d1d8714b41df24753e3.r2.dev/content/clinics/archive/nqmm0udu86/naver_blog/honeybeevuvu/assets/by_hash/a40185a1684c9c5e1affdad526a5d172b7a4dde24323abf2a17dcac3f526f0bc.jpg)
파절된 치아들을 보강하기 위해 포스트+코어 치료를 시행했습니다.
이제 크라운으로 치아를 최종 수복해주면 치료가 종료됩니다.
![[치아외상] 부러진 앞니, 발치가 답인가요? (사고로 부러진 치아, 외과적정출술로 살리기) 관련 이미지 22](https://pub-9f2bb3498faf4d1d8714b41df24753e3.r2.dev/content/clinics/archive/nqmm0udu86/naver_blog/honeybeevuvu/assets/by_hash/88009da94f3cb75b0a20a8e684df3be42d1faa1a6b11e316b27fd7b9ec191422.jpg)
![[치아외상] 부러진 앞니, 발치가 답인가요? (사고로 부러진 치아, 외과적정출술로 살리기) 관련 이미지 23](https://pub-9f2bb3498faf4d1d8714b41df24753e3.r2.dev/content/clinics/archive/nqmm0udu86/naver_blog/honeybeevuvu/assets/by_hash/62774cd604c14cefe3f1d9acdad5d68420fa4b7048a0914378ed593fd849d45d.jpg)
![[치아외상] 부러진 앞니, 발치가 답인가요? (사고로 부러진 치아, 외과적정출술로 살리기) 관련 이미지 24](https://pub-9f2bb3498faf4d1d8714b41df24753e3.r2.dev/content/clinics/archive/nqmm0udu86/naver_blog/honeybeevuvu/assets/by_hash/11fd2333deccfdf821f1ad022a24ac68218fa25678f66732e925fc04a94b5499.jpg)
![[치아외상] 부러진 앞니, 발치가 답인가요? (사고로 부러진 치아, 외과적정출술로 살리기) 관련 이미지 25](https://pub-9f2bb3498faf4d1d8714b41df24753e3.r2.dev/content/clinics/archive/nqmm0udu86/naver_blog/honeybeevuvu/assets/by_hash/92c369a5073e78640a679f4bfd70ccdf89d2468de30613335e178fbea3b9bf65.jpg)
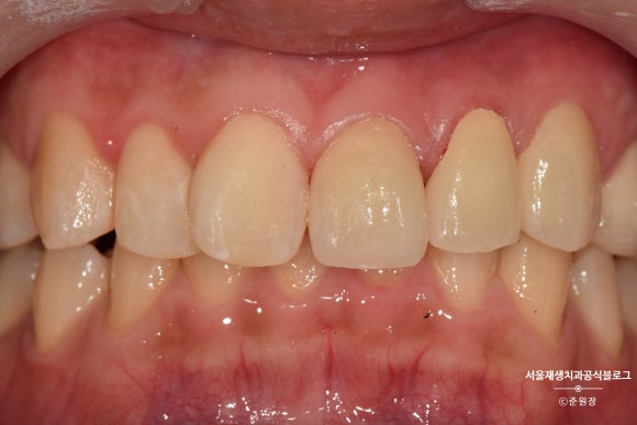
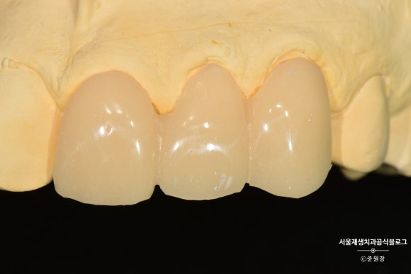
크라운이 예쁘게 완성되었군요!
![[치아외상] 부러진 앞니, 발치가 답인가요? (사고로 부러진 치아, 외과적정출술로 살리기) 관련 이미지 26](https://pub-9f2bb3498faf4d1d8714b41df24753e3.r2.dev/content/clinics/archive/nqmm0udu86/naver_blog/honeybeevuvu/assets/by_hash/722a567774b7c9668cca873ed28143fb4579dfe3406072dae5a7125cb938b005.jpg)
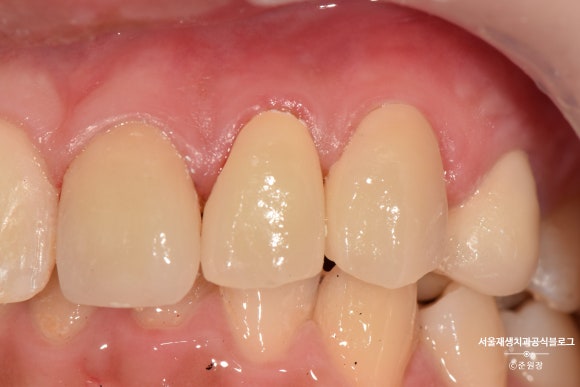
보다 건강해진 치아와 잇몸도 준비되었습니다!
보철물 장착 후 치료 종료
![[치아외상] 부러진 앞니, 발치가 답인가요? (사고로 부러진 치아, 외과적정출술로 살리기) 관련 이미지 27](https://pub-9f2bb3498faf4d1d8714b41df24753e3.r2.dev/content/clinics/archive/nqmm0udu86/naver_blog/honeybeevuvu/assets/by_hash/69c8dc09199df86dca08b201030e364ade2e6b108afae311533b79b09566b87e.jpg)
![[치아외상] 부러진 앞니, 발치가 답인가요? (사고로 부러진 치아, 외과적정출술로 살리기) 관련 이미지 28](https://pub-9f2bb3498faf4d1d8714b41df24753e3.r2.dev/content/clinics/archive/nqmm0udu86/naver_blog/honeybeevuvu/assets/by_hash/e20f36a2eca36d5e867563c1121bc41f1cb25afb043c268c880d93438c1179c0.jpg)
감쪽같이 치료가 마무리되었습니다.
중요한 면접일정과 맞물려서 더욱 심적으로 고생하셨을 환자분께 응원과 격려의 박수를 보내드립니다.
자연치아의 소중함을 이해하는 치과,
자연치아를 오래 사용하는 법을 연구하고 실천하는 치과,
서울재생치과입니다^^
#서울재생치과
#신촌치과
#신촌치과보존과
![[치아외상] 부러진 앞니, 발치가 답인가요? (사고로 부러진 치아, 외과적정출술로 살리기) 관련 이미지 29](https://pub-9f2bb3498faf4d1d8714b41df24753e3.r2.dev/content/clinics/archive/nqmm0udu86/naver_blog/honeybeevuvu/assets/by_hash/337b0baf31a3f3179904595f2ccf780a381e68d332e9c99e168beb6501f3a6d1.jpg)
더 보기
이 병원의 공개 콘텐츠를 계속 살펴보세요
출처 아카이브로 돌아가 더 많은 글을 보거나, 병원 프로필로 이동해 다른 공개 채널도 함께 비교해보세요.