Seoul Jeseng Dental Korea - English
[치아외상] 넘어졌는데 이가 쏘옥 빠졌어요....! (안면부 외상, 치아 탈구, 치아 재식,서울재생치과)
넘어졌습니다. 자전거나 오토바이, 혹은 자동차에서 교통사고를 당했습니다. 이가 박살(?) 났겠구나..... 생각했는데 왠걸? 입 안에 뭐가 굴러다닙니다!! 치아가 쏘옥 빠져버린 황당한 경험....! 치아 외상을 얘기할 때 빠지지 않는 에피소드지요. 여기서 잠깐!!...
아카이브 요약
이 페이지의 역할
Seoul Jeseng Dental Korea - English, French Speaking Dentist | 서울재생치과 - 임플란트 투명교정 신경치료의 네이버 블로그 원문을 보존한 아카이브 페이지입니다. 준원장의 치과이야기 카테고리의 [치아외상] 넘어졌는데 이가 쏘옥 빠졌어요....! (안면부 외상, 치아 탈구, 치아 재식,서울재생치과) 글을 통해 병원의 한국어 정보 제공 방식과 진료 관련 안내 톤을 확인할 수 있습니다.
![[치아외상] 넘어졌는데 이가 쏘옥 빠졌어요....! (안면부 외상, 치아 탈구, 치아 재식,서울재생치과) 관련 이미지 1](https://pub-9f2bb3498faf4d1d8714b41df24753e3.r2.dev/content/clinics/archive/nqmm0udu86/naver_blog/honeybeevuvu/assets/by_hash/8ddaf5a8fc8a5491c5275aed45d9841f8160cffadf4d2cb8184f0738b3394744.jpg)
넘어졌습니다.
자전거나 오토바이, 혹은 자동차에서 교통사고를 당했습니다.
이가 박살(?) 났겠구나.....
생각했는데 왠걸?
입 안에 뭐가 굴러다닙니다!!
치아가 쏘옥 빠져버린 황당한 경험....!
치아 외상을 얘기할 때 빠지지 않는 에피소드지요.
여기서 잠깐!!
빠진 치아는 어떻게 가져오면 되나요?
우유 OK
생리식염수 OK
입 안 OK
지퍼백.....O..K....
생수........O...K.....
휴지..... XXXXXXX 절대 안됩니다.
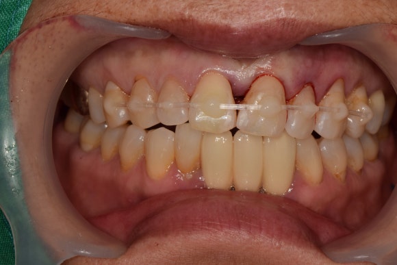
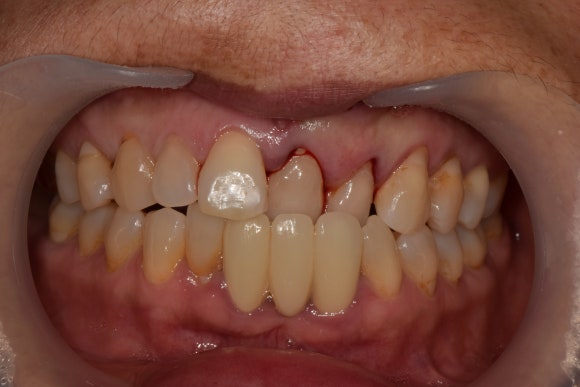
첫번째 케이스
![[치아외상] 넘어졌는데 이가 쏘옥 빠졌어요....! (안면부 외상, 치아 탈구, 치아 재식,서울재생치과) 관련 이미지 2](https://pub-9f2bb3498faf4d1d8714b41df24753e3.r2.dev/content/clinics/archive/nqmm0udu86/naver_blog/honeybeevuvu/assets/by_hash/f89dec200598b00b8e1756974096020c261cbc9aba8a335af97f8dfaee67e917.jpg)
![[치아외상] 넘어졌는데 이가 쏘옥 빠졌어요....! (안면부 외상, 치아 탈구, 치아 재식,서울재생치과) 관련 이미지 3](https://pub-9f2bb3498faf4d1d8714b41df24753e3.r2.dev/content/clinics/archive/nqmm0udu86/naver_blog/honeybeevuvu/assets/by_hash/869a421a9dde8ce8648fcd5d61529624b898805f60373b9fdfb4b164f1cb3635.jpg)
가운데 앞 니 두 개가 사이좋게(?) 쏙 빠졌습니다.
천만다행으로, 치아 뿌리가 파절되진 않았습니다.
![[치아외상] 넘어졌는데 이가 쏘옥 빠졌어요....! (안면부 외상, 치아 탈구, 치아 재식,서울재생치과) 관련 이미지 4](https://pub-9f2bb3498faf4d1d8714b41df24753e3.r2.dev/content/clinics/archive/nqmm0udu86/naver_blog/honeybeevuvu/assets/by_hash/4088029efc6193739d7cc1be526242e31273022ad98d28b829aa1bff96a01c98.jpg)
![[치아외상] 넘어졌는데 이가 쏘옥 빠졌어요....! (안면부 외상, 치아 탈구, 치아 재식,서울재생치과) 관련 이미지 5](https://pub-9f2bb3498faf4d1d8714b41df24753e3.r2.dev/content/clinics/archive/nqmm0udu86/naver_blog/honeybeevuvu/assets/by_hash/e800b097777031398abb955be18a1e089f2a554af00ae8f2b959e221f8c1214d.jpg)
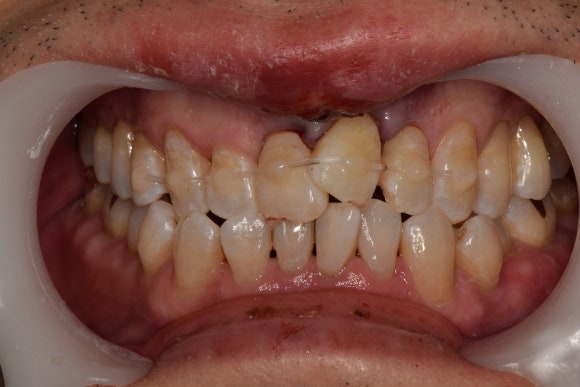
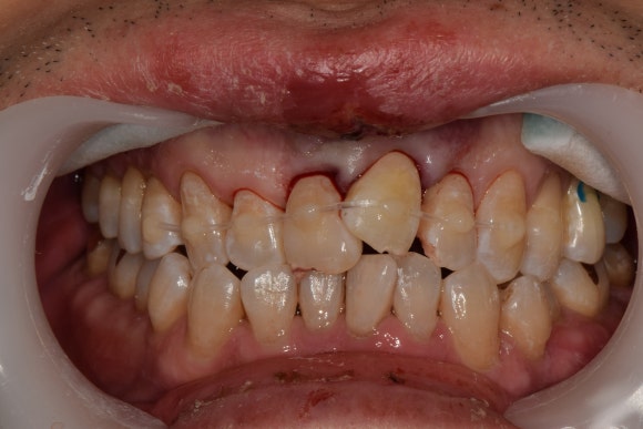
환자분과 함께 거울을 보면서 원래의 위치를 찾아줍니다.
신경치료를 동시에 시작합니다.
얇은 와이어로 치아를 고정시켜주면 끝!
신경치료 종료 및 와이어 제거는 2주 후에 이루어집니다.
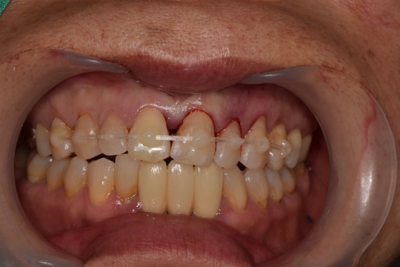
두번째 케이스
![[치아외상] 넘어졌는데 이가 쏘옥 빠졌어요....! (안면부 외상, 치아 탈구, 치아 재식,서울재생치과) 관련 이미지 6](https://pub-9f2bb3498faf4d1d8714b41df24753e3.r2.dev/content/clinics/archive/nqmm0udu86/naver_blog/honeybeevuvu/assets/by_hash/7d4df547d51fa44bd19465ffd984d80714fb9b152511b4be0fdc4c172904d998.jpg)
넘어져서 앞 니가 쏘옥~ 들어간 케이스입니다.
아예 위아래가 반대로 물릴 정도로 심각한 외상을 받으셨습니다.
![[치아외상] 넘어졌는데 이가 쏘옥 빠졌어요....! (안면부 외상, 치아 탈구, 치아 재식,서울재생치과) 관련 이미지 7](https://pub-9f2bb3498faf4d1d8714b41df24753e3.r2.dev/content/clinics/archive/nqmm0udu86/naver_blog/honeybeevuvu/assets/by_hash/b34ca9fcc6011e2af3a17851de489f42fdbfa2abb099350e6963a2c4d360ad4a.jpg)
![[치아외상] 넘어졌는데 이가 쏘옥 빠졌어요....! (안면부 외상, 치아 탈구, 치아 재식,서울재생치과) 관련 이미지 8](https://pub-9f2bb3498faf4d1d8714b41df24753e3.r2.dev/content/clinics/archive/nqmm0udu86/naver_blog/honeybeevuvu/assets/by_hash/88e12a6fe7a7b56f232d6e020653179236d5c222f6b88152e175d681e4950ec0.jpg)
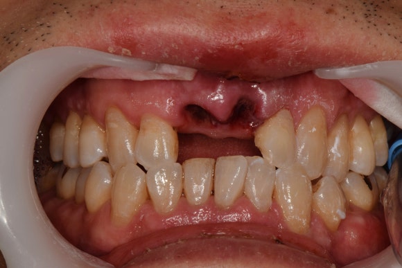
그래도 괜찮습니다.
환자분과 거울을 보며 다시 영차영차 제위치를 시키고 와이어로 고정해줍니다.
이 경우 신경이 회복될 가능성이 미약하게나마 있기에, 2주 후에 와이어를 제거하면서 신경치료 여부를 결정하면 됩니다.
★★치아재식술의 골든아워는 1시간입니다!★★
시간이 너무 지체되면
치아 표면에 붙어있는 투명한 인대막이 파괴되어,
제 위치에 고정을 시켜준다 하더라도
뼈에 단단하게 붙지 못하고 다시 빠질 수 있습니다.
치아를 뼈에 붙어있게 하는 것은
다름아닌 치아 뿌리를 감싸고 있는 치주인대이기 때문입니다.
건강한 치주인대가 가급적 많이 확보되어야 하기 때문에, 1시간이라는 골든아워를 꼭 준수해야합니다.
치아 및 안면부 외상을 받으신 경우,
그 즉시 서울재생치과를 찾아주세요.
치아 외상 치료 경험이 풍부한 치과보존과 전문의 전준희 원장이 밀착케어해드립니다.
#서울재생치과
#외상치료
#치아외상
#신촌치과
#응급치료
![[치아외상] 넘어졌는데 이가 쏘옥 빠졌어요....! (안면부 외상, 치아 탈구, 치아 재식,서울재생치과) 관련 이미지 9](https://pub-9f2bb3498faf4d1d8714b41df24753e3.r2.dev/content/clinics/archive/nqmm0udu86/naver_blog/honeybeevuvu/assets/by_hash/337b0baf31a3f3179904595f2ccf780a381e68d332e9c99e168beb6501f3a6d1.jpg)
더 보기
이 병원의 공개 콘텐츠를 계속 살펴보세요
출처 아카이브로 돌아가 더 많은 글을 보거나, 병원 프로필로 이동해 다른 공개 채널도 함께 비교해보세요.