Seoul Jeseng Dental Korea - English
스케일링, 1년에 한 번만 보험이 되나요? 보험스케일링 수시로 받는 법 (건강보험적용 치과치료)
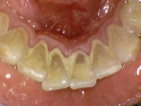
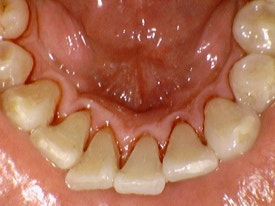
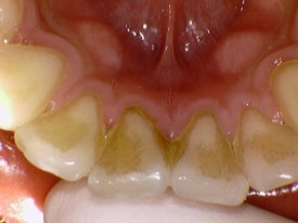
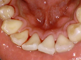
보기만 해도 시원한 스케일링! 더 자주 받는 방법은 없을까? 안녕하세요, 서울재생치과 준원장입니다. 위 사진은 본원에서 진행한 스케일링 전 후 사진입니다. 보기만 해도 너무너무 시원하죠! 치석은 세균들이 쌓아올린 성벽입니다. 치석이 입 안에 오래 머무를수록, 세균들이 마을을 이루...
아카이브 요약
이 페이지의 역할
Seoul Jeseng Dental Korea - English, French Speaking Dentist | 서울재생치과 - 임플란트 투명교정 신경치료의 네이버 블로그 원문을 보존한 아카이브 페이지입니다. 준원장의 치과이야기 카테고리의 스케일링, 1년에 한 번만 보험이 되나요? 보험스케일링 수시로 받는 법 (건강보험적용 치과치료) 글을 통해 병원의 한국어 정보 제공 방식과 진료 관련 안내 톤을 확인할 수 있습니다.

보기만 해도 시원한 스케일링!
더 자주 받는 방법은 없을까?




안녕하세요, 서울재생치과 준원장입니다.
위 사진은 본원에서 진행한 스케일링 전 후 사진입니다.
보기만 해도 너무너무 시원하죠!
치석은 세균들이 쌓아올린 성벽입니다.
치석이 입 안에 오래 머무를수록,
세균들이 마을을 이루고 자손을 번식(?)하면서 그들의 나라를 공고히 구축하죠.
따라서,
치석은 가능한 자주 제거하는 것이 좋습니다!
서울재생치과 준원장
그런데, 한 가지 궁금한 것이 생깁니다.
스케일링은 일 년에 한 번만
보험적용되지 않나요?
비보험으로 스케일링 받으면
비싸다던데....
맞습니다.
비보험 스케일링은 대개 5만원 전후로,
보험 적용되는 스케일링 (2만원 이내)보다 비싸죠.
서울재생치과의 잇몸재생프로젝트를 만나보세요!
잇몸재생프로젝트 [1]
양호한 잇몸 건강을 가지신 분 OR
구강 건강을 꾸준히 유지하길 원하시는 분
Step1) 연1회 스케일링 (보험적용)
을 통해 입안 구석구석의 치석과 치태를 제거합니다.
많은 분들이 아시는 통상적인 '보험스케일링'입니다.
Step2) 6개월 후 부분치석제거 (보험적용)
6개월이 지나면 입안 곳곳에 새로운 치석들이
생겨나기 시작합니다.
새로이 치석이 생긴 부위만 부분적으로 치석제거(=스케일링)을 하는 것도 보험이 됩니다!
스케일링을 받기 위해 내년을 기다리실 필요가 없는거죠^^
잇몸재생프로젝트 [2]
잇몸질환 (출혈,통증,붓기)를 경험하신 분
당뇨,흡연,유전적 소인이 있어
꾸준한 관리가 필요하신 분
Step1) 전악 치석제거 (보험적용)
가장 먼저 전악 스케일링을 통해 구강 내의 큰 치석들을 우선적으로 제거해줍니다.
여기까지만 해주어도 잇몸의 불편감과 증상은 크게 좋아집니다.
즉, 전악 치석제거은 연1회 스케일링과 똑같은 행위의 보험진료입니다. 이름만 다르지요.
Step2) (1주 간격) 잇몸치료 (보험적용)
하지만,
보다 체계적이고 근본적인 치료를 원한다면 잇몸치료를 권해드립니다.
연1회 스케일링과 전악 스케일링이
잇몸 위의, 눈에 보이는 큰 치석들을 제거하는 것이 주 목적이라면,
잇몸치료는
잇몸 아래의, 눈에 안보이는 심부 치석을 제거하는 것이 목적입니다.
잇몸 질환을 이미 경험하셨거나, 당뇨, 흡연, 유전적 소인이 있는 분은 잇몸 아래에도 오래 묵은 치석이 있기 때문입니다.
건강한 잇몸을 위한 서울재생치과의 노력!
잇몸 건강을 지키는 가장 저렴하고
가장 확실한 방법!
꾸준한 스케일링과 잇몸치료입니다.
서울재생치과 준원장
이처럼 서울재생치과의 잇몸재생프로젝트를 따라오시면,
가장 저렴하고 가장 확실하게 잇몸건강을 지키실 수 있습니다.
서울재생치과는 국가에서 지원하는 건강보험진료의 혜택을 많은 분들이 누릴 수 있도록 적극 노력하고 있습니다^^
서울재생치과 네이버 예약 하기
전준희 대표원장 소개 & 진료철학

#서울재생치과
#신촌치과
#신촌스케일링
#신촌잇몸치료
#현미경신경치료
#임플란트재수술
#신촌임플란트
#홍대치아미백
#홍대라미네이트
더 보기
이 병원의 공개 콘텐츠를 계속 살펴보세요
출처 아카이브로 돌아가 더 많은 글을 보거나, 병원 프로필로 이동해 다른 공개 채널도 함께 비교해보세요.