Seoul Jeseng Dental Korea - English
크라운 다음은 임플란트인가요...? (크라운 밑으로 생긴 충치, 크라운 다음엔 어떤 치료를...?, 자연치아 살리는 치과, 서울재생치과)
안녕하세요, 서울재생치과 준원장입니다. 가끔 환자분들이 두려움에 떨며 질문하시는 것이 있어요. 크라운을 했는데 다시 이가 썩으면.... 이를 빼고 임플란트를 해야 하나요? 꼭 그렇지만은 않은데요.... 뚜껑(?)을 열어봐야 알 수 있답니다. 이렇듯 제가 애매모호한 답변을 드리...
아카이브 요약
이 페이지의 역할
Seoul Jeseng Dental Korea - English, French Speaking Dentist | 서울재생치과 - 임플란트 투명교정 신경치료의 네이버 블로그 원문을 보존한 아카이브 페이지입니다. 준원장의 치과이야기 카테고리의 크라운 다음은 임플란트인가요...? (크라운 밑으로 생긴 충치, 크라운 다음엔 어떤 치료를...?, 자연치아 살리는 치과, 서울재생치과) 글을 통해 병원의 한국어 정보 제공 방식과 진료 관련 안내 톤을 확인할 수 있습니다.

안녕하세요, 서울재생치과 준원장입니다.
가끔 환자분들이 두려움에 떨며 질문하시는 것이 있어요.
크라운을 했는데 다시 이가 썩으면....
이를 빼고 임플란트를 해야 하나요?
꼭 그렇지만은 않은데요....
뚜껑(?)을 열어봐야 알 수 있답니다.
이렇듯 제가 애매모호한 답변을 드리는 것은,
실제로도 오래된 크라운을 잘라서 열어봐야 전체 충치의 크기를 평가할 수 있기 때문입니다.
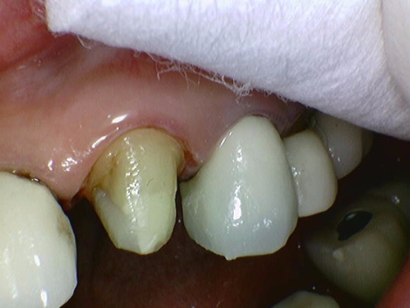
아래 사진은 기나긴 치과 여정 끝에 저를 만나셔서
오른쪽 위 임플란트를 진행 중이신 환자분이십니다.
하얗게 보이는 치아들이 크라운으로 씌운 치아인데요,
엑스레이만 봐서는 크라운 하방에 충치가 있는지 없는지 알 수가 없습니다.

다 멀쩡해보이는데요??

화살표가 가르키는 치아를 봐주세요.
크라운과 치아 사이의 경계가 깨~끗합니다.
그!러!나!

잇몸치료를 위해 마취를 하고 치석을 박박 긁어내던 순간......!!
크라운 하방에 기구가 걸리는 것이 느껴집니다.
구강카메라로 즉시 확인해보니,
아뿔싸,
치태와 치석 아래 숨어있던 충치가
이제야 모습을 드러내네요.
주기적인 스케일링과 잇몸치료(40대 이상)은
이처럼 중요합니다.
엑스레이로도 찾지 못하는 충치를 조기에 발견하게 해주거든요.
서울재생치과 전준희 원장
크라운을 벗겨낸 후의 시나리오
환자분의 동의를 구하고 크라운을 벗겨보았습니다.
크라운을 제거한 후에 가능한 치료 옵션은 다음과 같이 세가지가 있습니다.
- 충치를 제거한다 -> 충치 구멍을 레진으로 보강한다 -> 크라운을 새로 만든다
가장 다행스러운 결과입니다.
레진으로 구멍을 매꾸고 다시 크라운을 제작하면 끝!
- 충치를 제거한다 -> 충치가 깊어 신경치료를 한다 -> 크라운을 새로 만든다
신경치료가 추가되긴 하였지만, 치아를 살려서 다시 쓸 수 있는 기회가 생겼습니다.
- 충치가 너무 너무 너무 깊어서 뿌리까지 진행이 되었다 -> 발치를 한다
최악의 시나리오인데요....
발치까지 이어지는 케이스는
크라운을 뜯어보지 않아도 엑스레이나 육안으로 충분히 그 결과를 짐작할 수 있는 경우가 많습니다.
뜯어보길 정말 잘했군요.

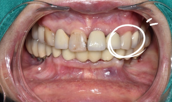
위 환자분은 엑스레이상이나 육안으로는 양호한 편이었기 때문에 1번 혹은 2번의 옵션을 염두에 두고 설명을 드렸습니다.

와...뜯어보길 너무 잘했는걸요.
원래 크라운 밖에서 보였던 충치는 아래 화살표 방향이었는데,
크라운을 제거해보니 왼쪽 화살표가 가리키는
더욱 큰 충치가 발견되었습니다.

다행히 충치가 신경까지 이어지지 않아,
충치가 제거된 빈 공간을 단단한 레진으로 매꾸고
새로운 옷(=크라운)을 입혀줄 준비를 합니다.

임시치아까지 예쁘고 튼튼하게 만들어주면
오늘 할 일 끝!
이제 일주일 후에 오셔서 새 옷을 입어보시면 됩니다.
며칠 뒤, 새로운 크라운 장착!


며칠 뒤, 자연치아보다 더 자연스럽고 예쁜 크라운이 완성되어 왔습니다.
빠르게 조치한 덕에 자연치아를 한 번 더 살려서 쓸 수 있게 된 케이스였습니다.
크라운의 끝이 늘 임플란트가 아니라는 것,
이제 모두 아시겠지요? ^^
서울재생치과 전준희 원장
신촌의 일등 치과, 서울재생치과 진료 예약하기

#서울재생치과
#신촌치과추천
#자연치아살리기
#서울대치과보존과전문의
#서울대치과대학외래교수
#전준희원장
#서울재생치과준원장
더 보기
이 병원의 공개 콘텐츠를 계속 살펴보세요
출처 아카이브로 돌아가 더 많은 글을 보거나, 병원 프로필로 이동해 다른 공개 채널도 함께 비교해보세요.