Seoul Jeseng Dental Korea - English
넘어져서 이가 여러군데 깨졌어요ㅠ (치아외상토탈케어, 서울재생치과, 치아 부러짐, 치아 파절)
안녕하세요, 서울재생치과 준원장입니다. 성별과 연령에 관계 없이 정말 정말 조심해야 할 생활 속 사고가 있죠. 바로 낙상사고입니다. 머리, 목, 얼굴에 손상을 입을 수 있는 것은 물론이고, 여러 치아를 동시에 잃는 상황에 놓이게 되실 수 있기 때문입니다. (특히나 시내 곳곳에서 공유 자전거...
아카이브 요약
이 페이지의 역할
Seoul Jeseng Dental Korea - English, French Speaking Dentist | 서울재생치과 - 임플란트 투명교정 신경치료의 네이버 블로그 원문을 보존한 아카이브 페이지입니다. 준원장의 치과이야기 카테고리의 넘어져서 이가 여러군데 깨졌어요ㅠ (치아외상토탈케어, 서울재생치과, 치아 부러짐, 치아 파절) 글을 통해 병원의 한국어 정보 제공 방식과 진료 관련 안내 톤을 확인할 수 있습니다.

안녕하세요, 서울재생치과 준원장입니다.
성별과 연령에 관계 없이 정말 정말 조심해야 할 생활 속 사고가 있죠.
바로 낙상사고입니다.
머리, 목, 얼굴에 손상을 입을 수 있는 것은 물론이고,
여러 치아를 동시에 잃는 상황에 놓이게 되실 수 있기 때문입니다.
(특히나 시내 곳곳에서 공유 자전거와 킥보드가 대중화되면서, 이와 연관된 사고가 많습니다. 모두 안전한 운행하시길 바랍니다.)
얼마 전 서울재생치과에서 치료 받으신 젊은 남성분의 케이스를 함께 살펴보겠습니다.
전 날 저녁에 일어난 사고 때문에 여러 치아가 파절되어서 내원해주셨습니다.
우려스러운 상황이었지만,
다행히 치아의 상실 없이 복잡하지 않은 치료로 치아의 기능과 심미성을 회복하셨습니다.
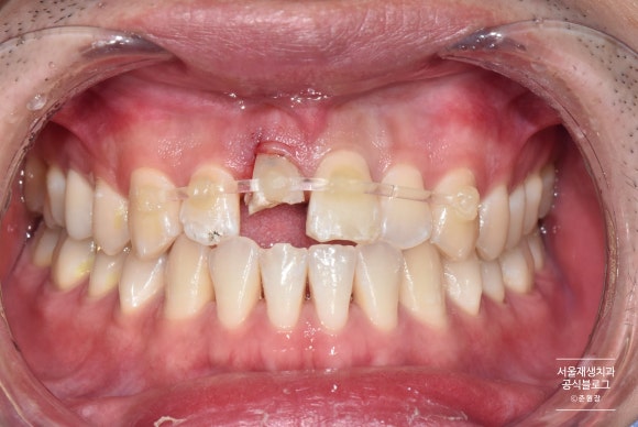
치료 전
어젯밤에 넘어졌어요. 지금은 아프지 않아요.

사고 다음 날 내원해주셨습니다.
사고 당시에는 병원에 방문하지 않으셨다고 하셨습니다.
다행이라고 해야할까요, 치아의 위치가 달라지는 일 없이 파절로만 끝났습니다.
치아 파절은 치아 외상의 종류 중에서 그나마 예후가 양호한 케이스로 분류됩니다.
(만일 치아가 빠지거나 이동한 경우, 가장 중요한 것은 "시간"입니다. 시간이 경과할수록 재위치로 돌려놓기가 어려울 수 있습니다. 야간에 발생한 사고인 경우, 반드시 인근 치과대학병원 응급실에 방문해주세요)
사진을 같이 살펴볼까요?
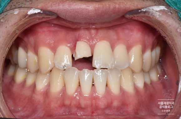
앞니의 심한 파절과, 인접 치아들의 작은 파절들이 관찰됩니다.
심하게 파절된 치아는 파절선이 잇몸 깊게 내려가 있었습니다.
자칫 발치로 이어질 수 있는 케이스였지만,
나이가 젊으신 환자분이어서 가능한 자연치아를 유지하게 해드리고 싶었습니다.
따라서, 신경치료 후 포스트 식립 및 크라운 치료를 계획하였습니다.
나머지 파절 치아들은, 치아의 건강에 문제가 없다는 것을 확인한 후, 준원장이 선호하는 레진을 이용한 심미수복으로 치료를 마무리하였습니다.
레진 심미수복이란?
치아의 색조와 유사한 치과용 레진을 이용하여, 치아를 크게 삭제하지 않고 그대로 접착시켜서 외형을 회복하는 것을 의미합니다.
↑ 레진을 이용한 심미수복의 예시입니다.
수년이 지났지만 여전히 볼수록 즐거운 케이스입니다.
치아 고정 및 신경치료 진행

크던 작던 외부의 충격을 받은 치아는 일시적으로 흔들릴 수 있습니다.
치아의 흔들림을 최소화하여 다시금 안정적으로 자리잡게 해주기 위하여 치아 고정을 시행합니다.
사례에 따라 다르지만, 대개 2주 정도 고정장치를 부착합니다.
앞니의 신경치료를 끝내기엔 충분한 기간이지요.
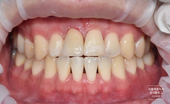
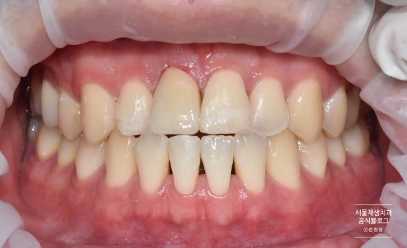
크라운 부착과 심미레진수복

짠! 자연치아보다 더 매끈하고 반짝거리는 크라운이 도착했습니다.
어떤 것이 자연치아였는지 제가 봐도 헷갈리네요^^
파절되어 있던 양 옆 치아와 아래치아도 레진을 이용하여 당일에 심미수복을 진행하였습니다.
여러 치아를 한 번에 치료받으시느라 힘드셨을텐데, 처음부터 끝까지 긍정적인 자세로 협조해주신 환자분께 감사드립니다.
치료 전 후 비교


치료 전 후 사진입니다.
꼬박 3주가 걸린 과정이었습니다.
매번 예약시간도 준수해주시고, 의료진과 스텝들을 늘 배려해주셔서 감사드립니다.
외상받은 치아는 현재 불편함이 없더라도, 수개월, 수년이 지나 비로소 증상이 발생하는 경우가 많이 있습니다.
앞으로도 꾸준한 검사와 관리로 자연치아를 오래 유지할 수 있도록 도움드리겠습니다.
전준희 원장 이력

서울대학교 치의학과 졸업
서울대학교 치과병원 인턴 및 치과보존과 레지던트
서울대학교 치의학석사 및 박사 졸업
(현) 서울대학교 치과대학 외래교수
신촌의 일등 치과, 서울재생치과 진료 예약하기

#신촌치과
#서울재생치과
#신촌치아외상
#신촌치아파절
#안면외상
#낙상사고
더 보기
이 병원의 공개 콘텐츠를 계속 살펴보세요
출처 아카이브로 돌아가 더 많은 글을 보거나, 병원 프로필로 이동해 다른 공개 채널도 함께 비교해보세요.