Seoul Jeseng Dental Korea - English
윗 어금니 신경치료 후에 코피가 나요 (신경치료 후 주의사항, 상악동, 신촌 서울재생치과, 신촌 신경치료 맛집, 현미경 신경치료)
안녕하세요, 서울재생치과 준원장입니다. 치과보존과 전문의인 저에게 신경치료는 마치 들숨날숨처럼 너무나 자연스럽고 몸에 밴 시술 중에 하나입니다. 신경치료의 A부터 Z까지, 환자분들께 알려드리고 싶은게 너무 많지만 늘 시간에 쫓겨 중요한 부분만 랩처럼 읊어드리곤 하죠^^; 제가 꼼꼼하게 작성한 신경치료...
아카이브 요약
이 페이지의 역할
Seoul Jeseng Dental Korea - English, French Speaking Dentist | 서울재생치과 - 임플란트 투명교정 신경치료의 네이버 블로그 원문을 보존한 아카이브 페이지입니다. 준원장의 치과이야기 카테고리의 윗 어금니 신경치료 후에 코피가 나요 (신경치료 후 주의사항, 상악동, 신촌 서울재생치과, 신촌 신경치료 맛집, 현미경 신경치료) 글을 통해 병원의 한국어 정보 제공 방식과 진료 관련 안내 톤을 확인할 수 있습니다.

안녕하세요, 서울재생치과 준원장입니다.
치과보존과 전문의인 저에게 신경치료는 마치 들숨날숨처럼 너무나 자연스럽고 몸에 밴 시술 중에 하나입니다.
신경치료의 A부터 Z까지, 환자분들께 알려드리고 싶은게 너무 많지만 늘 시간에 쫓겨 중요한 부분만 랩처럼 읊어드리곤 하죠^^;
제가 꼼꼼하게 작성한 신경치료 후 주의사항을 치료 전 후에 스텝 선생님들이 일러주시지만, 중요한 몇 가지는 제가 직접 환자분께 설명드리는 편입니다.

(서울재생치과 준원장이 꼼꼼하게 작성한 신경치료 후 주의사항 안내문입니다. 진료 전 스텝 선생님과 함께 읽어보시면, 신경치료에 대한 막연한 불안감을 떨치는데 도움이 됩니다^^)
제가 바쁜 중에도 늘 환자분들께 주지시키는,
반드시 지켜야 할 신경치료 후 주의사항은 아래와 같습니다.
1.마취가 풀린 다음에 반대쪽으로
식사할 것.
- (필요 시) 처방된 진통제를 복용할 것.
(경증인 경우 진통제가 처방되지 않기도 합니다.)
- 치료 중인 치아로 식사하지 않도록
주의할 것.
하지만,
윗 어금니를 치료할 때는 주의사항이 한 가지 더 추가됩니다.
코에서 코피 같은 묽은 액체가 나오더라도 놀라지 말고, 가볍게 닦아내시기.
신경치료 후 코피?
그게 정말 가능한 일인가요?
앞 뒤가 안맞는 얘기 같지만,
종종 윗 어금니 신경치료 후에 코피와 비슷한 증상을 경험하시는 환자분들이 계십니다.

윗 사진처럼 새빨갛게 줄줄 흐르는 것이 아니라,
맑은 물이 새어나오는 정도인데요.
색상은 맑은 노란색에서 갈색, 혹은 붉은색까지 다양합니다.
신경치료 후에 왜 코에서 물이 나오나요?
여기서 잠깐!
짧은 해부학 상식 하나를 알려드리겠습니다.
윗어금니의 바로 위에는 상악동이라는 빈 구조물이 존재합니다.
광대뼈 아래에 있고, 계란 하나 크기만큼의 비어있는 뼈 구조물입니다.
그리고 상악동은 작은 구멍을 통해 비강(=코)와 연결되어 있지요.

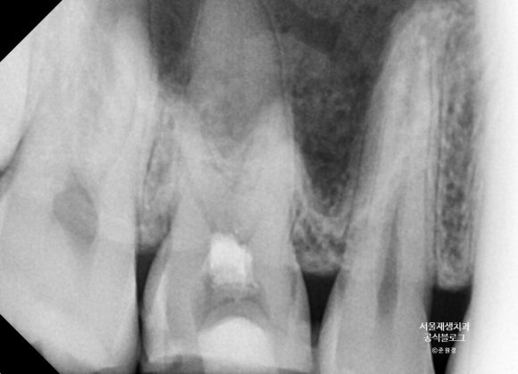
간혹, 윗어금니의 뿌리가 너~~무 길어서 상악동까지 뻗어나가고 있는 경우가 있습니다.


뿌리가 정말 길어서 사진 한 장에 담기지가 않는군요.
머리 부위와 뿌리 부위를 나누어서 촬영했습니다.
보다 이해하시기 편하도록 각 구조물들을 구분하여 표시하였습니다. 아래 사진을 참고해주세요~

대개 신경치료 후에는 치료 후에 생긴 부산물이나 소독약제 등이 뿌리를 감싸고 있는 뼈로 스며듭니다.
하지만 위 사진을 보시면, 긴 뿌리가 잇몸뼈를 넘어서서 상악동까지 올라가고 있지요.
따라서, 뼈로 흡수되지 못한 다양한 치료 부산물을이 상악동에 고이게 됩니다.
물론 통증은 없습니다.
상악동에는 미세한 섬모들이 있어서 (움직이는 작은 털들이라고 보시면 됩니다.)
상악동에 이물질이 생기면 비강을 향해 이물질들을 밀어내는 방향으로 운동합니다.
쉬운 예로 축농증 (=상악동 염증)이 생기면 코가 막히는 상황을 생각하시면 되겠습니다.
따라서,
- 뼈로 흡수되거나 분해되지 못한
치료 부산물들이 상악동에 고여 있다가,
-
섬모의 움직임에 의해 (영
차, 영차) 코로 이동하게 되는 것입니다. -
어느 순간 주르륵!
맑은 물이 코를 통해 나오게 되는 것이고,
이를 코피라고 오인하게 되는 것이죠^^
이는 신경치료가 뿌리 끝까지 잘 진행되었고,
조직에서 정상적으로 치유가 일어나고 있다는 사인이기 때문에 전혀 걱정하실 필요가 없습니다!^^
신경치료 후 코로 액체가 흘러나오면 어떻게 해야 하나요?
일부러 코를 세게 풀거나 압력을 가하실 필요는 없습니다.
이미 섬모들이 충분히 열일(!)을 하고 있기 때문에,
코를 통해 배출된 이물질들을 가볍게 닦아내시면 됩니다.
오히려 코에 압력을 가하는 행위를 반복하면 (ex.코 세게 풀기) 상악동 내로 치료 부산물들이 여기저기 흩뿌려지게 하는 결과를 야기하고,
이는 일상생활의 불편감을 증가시킵니다.
길면 하루이틀, 빠르면 수시간 내에 분비물은 스스로 멈추게 되니, 절대 코를 풀지 말고 닦아내기만 하시면 됩니다!

이상입니다^^
독일 Zeiss사의 현미경을 보유한,
그리고 현 서울대학교 치과대학 외래교수로 활동하고 있는 치과보존과 전문의 준원장과 함께
안전하고 편안한 신경치료 여정이 되시길 기원합니다.
서울재생치과 전준희 원장 이력

서울대학교 치의학과 졸업
서울대학교 치과병원 인턴 및 치과보존과 레지던트
서울대학교 치의학대학원 석사 및 박사 졸업
(현) 서울대학교 치과대학 외래교수
신촌의 일등 치과, 서울재생치과 진료 예약하기

#신촌신경치료맛집
#신촌현미경신경치료
#서울대학교보존과
#서울재생치과
#신경치료후주의사항
#신경치료후코피
#안아픈신경치료
#편안한신경치료
더 보기
이 병원의 공개 콘텐츠를 계속 살펴보세요
출처 아카이브로 돌아가 더 많은 글을 보거나, 병원 프로필로 이동해 다른 공개 채널도 함께 비교해보세요.