Seoul Jeseng Dental Korea - English
치아가 변색되면 무조건 크라운을 해야 하나요? (치아 미백, 실활치 미백, 신경치료 후 미백, 신촌치과추천,서울재생치과)
안녕하세요, 서울재생치과 준원장입니다. 어느 날, 양치질 후 거울을 보는데 한 치아가 심상치 않습니다. 색깔이 조금 달라진 것 같은데요? 흠..... 기분 탓인가...싶었지만, 시간이 지날수록 점점 더 진해집니다. 심지어 까맣게 변하는 것 같습니다. 도대체 어떻게 된 일 일까요?...
아카이브 요약
이 페이지의 역할
Seoul Jeseng Dental Korea - English, French Speaking Dentist | 서울재생치과 - 임플란트 투명교정 신경치료의 네이버 블로그 원문을 보존한 아카이브 페이지입니다. 준원장의 치과이야기 카테고리의 치아가 변색되면 무조건 크라운을 해야 하나요? (치아 미백, 실활치 미백, 신경치료 후 미백, 신촌치과추천,서울재생치과) 글을 통해 병원의 한국어 정보 제공 방식과 진료 관련 안내 톤을 확인할 수 있습니다.

안녕하세요, 서울재생치과 준원장입니다.
어느 날, 양치질 후 거울을 보는데
한 치아가 심상치 않습니다.
색깔이 조금 달라진 것 같은데요?
흠.....
기분 탓인가...싶었지만,
시간이 지날수록 점점 더 진해집니다.
심지어 까맣게 변하는 것 같습니다.
도대체 어떻게 된 일 일까요?
왜 까매지는 걸까?
우리는 이런 현상을
치수괴사로 인한 치관변색
이라고 부릅니다.

치아의 내부에는 신경조직이 있습니다.
쉽게 말해 신경조직이라고 하지만,
실제로는 신경+혈관+기타 연조직으로 구성되어 있습니다.
단단한 치아 내부에 작은 공동(=빈 공간)이 있어,
그 안에 신경과 혈관 같은 주요 장기(?)가 들어있는 것이지요.
참 신기하지 않나요?
만일 여러가지 이유로 건강한 혈류가 차단되게 되면,
영양분을 공급받지 못해 치아 내부의 조직들은
천천히 고립되어 괴사되게 됩니다.
괴사된 조직이 변색되어 치아를 통해 비쳐보이기 때문에,
치아 색상의 변화를 보고 치수괴사 여부를 알아차릴 수 있는 것이지요.
그,,,그렇구나!
치수의 괴사를 유발하는 원인은 여러 가지가 있습니다.
-
기억하지 못하는 어릴적의 외상
-
습관적인 부딪힘 (젓가락, 숟가락, 컵 등)
-
최근에 겪은 심각한 외상
-
적절하지 못한 교정치료
등등 여러가지 이유가 있지요.
또한, 까만색 뿐 아니라 회색, 진한 갈색, 오렌지색 등 괴사로 인해 발생하는 변색도 다양하답니다.

치수 괴사 시 나타나는 다양한 변색
치수괴사로 인한 변색, 어떻게 치료하나요?
치수의 괴사가 원인이기 때문에,
변색의 원인도 치아의 내부에 있습니다.
먼저 신경치료를 통해 괴사된 치수조직들을 모두 제거합니다.
제거된 후 비어있는 공간은 신경치료 약제로 꼼꼼하게 밀봉합니다.
그 위로 미백제를 넣고 임시충전재로 가봉을 하지요.
미백제를 1주일 간격으로 2~3번 정도 교체하고나면 대개 하얀 치아로 돌아오게 됩니다.
(선천적인 치아 색상의 불균형이나 무늬는 사라지지 않으니, 치료 전 치과보존과 전문의인 서울재생치과 준원장과의 상담을 권합니다.)

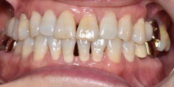
첫번째 케이스
서울재생치과에서 진행한 케이스를 소개드리겠습니다.
오른쪽 앞니를 주의해서 관찰해주세요.
오랜기간 치수괴사를 겪으면서 짙은 오렌지색으로 변색이 일어난 경우에 해당됩니다.
신경치료 후 미백제를 넣고 3회 차에 미백치료를 종료하셨습니다.
(색상 회복이 굉장히 빠르셔서, 몇 번 더 진행하면 옆의 자연치보다 더 하얘질 것 같았습니다^^;)



치료 전 후



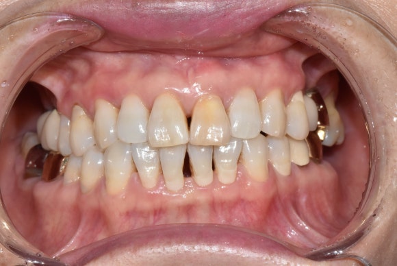
두번째 케이스
왼쪽에 보이는 작은 앞니에 주목해주세요.
이 경우도 마찬가지로 오랜기간 괴사를 겪으면서 짙은 오렌지색으로 변색된 케이스입니다.
마찬가지로 신경치료 후에 미백치료를 시작하였고, 3회차에 치료를 종료하셨습니다.



치료 전 후



치아가 변색되었다고 해서
반드시 라미네이트나 크라운 같은 보철치료를 선택해야 하는 것은 아닙니다.
서울재생치과 준원장은 원인해결과 과학적인 근거에 기반을 둔 합리적인 치료를 지향합니다.
거울 속에서 늘 눈에 거슬렸던 치아가 있다면,
신촌역 서울재생치과를 방문해주세요.
서울재생치과 준원장 약력

서울대학교 치의학과 졸업
서울대학교 치과병원 인턴 및 치과보존과 레진던트
서울대학교 치의학대학원 석사 및 박사 학위
(현) 서울대학교 치과병원 외래교수
신촌의 일등 치과, 서울재생치과 진료 예약하기

#신촌치과
#서울재생치과
#실활치미백
#치아미백
#미백치료
#신경치료후미백
#치과심미치료
#신촌미백
#신촌신경치료
더 보기
이 병원의 공개 콘텐츠를 계속 살펴보세요
출처 아카이브로 돌아가 더 많은 글을 보거나, 병원 프로필로 이동해 다른 공개 채널도 함께 비교해보세요.