Seoul Jeseng Dental Korea - English
임플란트가 아플 때, 임플란트 잇몸이 부었을 때 어떻게 하나요? (임플란트 재수술, 서울재생치과, 신촌치과)
높은 비용과 약간의 통증, 그리고 긴 기다림 끝에 새로운 치아를 얻게 된 당신. 씹고, 뜯고, 맛보는 즐거움도 잠시, 몇 년 지나지 않아 욱신욱신~쑤시는 통증, 그리고 퉁퉁 부은 잇몸으로 고생 중이신가요? 아무리 열심히 양치를 해도 여전히 아프고, 약을 먹어도 호전되지 않나요? 서울...
아카이브 요약
이 페이지의 역할
Seoul Jeseng Dental Korea - English, French Speaking Dentist | 서울재생치과 - 임플란트 투명교정 신경치료의 네이버 블로그 원문을 보존한 아카이브 페이지입니다. 준원장의 치과이야기 카테고리의 임플란트가 아플 때, 임플란트 잇몸이 부었을 때 어떻게 하나요? (임플란트 재수술, 서울재생치과, 신촌치과) 글을 통해 병원의 한국어 정보 제공 방식과 진료 관련 안내 톤을 확인할 수 있습니다.

높은 비용과 약간의 통증, 그리고 긴 기다림 끝에
새로운 치아를 얻게 된 당신.
씹고, 뜯고, 맛보는 즐거움도 잠시,
몇 년 지나지 않아
욱신욱신~쑤시는 통증,
그리고 퉁퉁 부은 잇몸으로 고생 중이신가요?
아무리 열심히 양치를 해도 여전히 아프고,
약을 먹어도 호전되지 않나요?

서울재생치과의 전준희 원장은
서울대학교 치의학대학원에서
석사 및 박사 학위를 취득한
치과전문의입니다.

준원장의 석사학위논문입니다.
특히, 석사 시절 임플란트 연구로 학위를 취득한만큼,
임플란트 관련 지식과 경험이 풍부합니다.
그 중에서도 임플란트 주위염증치료와 재수술에 관심이 많지요.
얼마 전 준원장에게 특별한 환자분이 찾아오셨습니다.
오래전에 임플란트를 했는데...
그 부위가 붓고 아파요.
처음부터 왠지 편하지 않았어요!
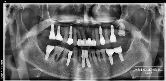
파노라마 엑스레이 촬영
파노라마 엑스레이는
치과에서 가장 기본이 되는 검사입니다.
단 돈 만원이 채 안되는 비용으로
전체 치아 및 턱 관절 부위에 대한 방대한 정보를 얻을 수 있습니다.
이만큼 가성비가 좋은 검사가 또 있을까요?
건강한 성인이라 할지라도 1년에 한 번쯤은 반드시 촬영해보시는 것을 권합니다.

임플란트 주위의 불편감을 호소하시는 환자분의 엑스레이입니다.
어디에 어떤 문제가 있었을까요?

두 개의 노란 동그라미 중 상방에 있는 것을 먼저 보실까요?
임플란트 2개를 둘러싼 치조골(=잇몸뼈)가 완전히 녹아내렸습니다.
사실은 끝에서 두번째 임플란트의 심한 골소실에 집중하고 있었는데,
막상 구강 내에서 검사를 하니
맨 끝 임플란트 또한 심하게 흔들리고 있다는 것을 알게되었습니다.
아래의 동그라미 속에는
마찬가지로 치조골(=잇몸뼈)가 절반 이상 흡수된 자연치아가 관찰됩니다.

임플란트 머리 윗부분까지
퉁퉁 부어오른 잇몸이 보이시나요?
오랫동안 고생을 많이 하신 것 같습니다.
임플란트 주위 염증치료나,
잇몸치료로 개선될 수 있는 정도를 넘어선 상태여서
어쩔 수 없이 발치를 권해드렸습니다.
늘 염증이 자주 생기고 불편했던 임플란트라고 하시더군요.
임플란트 머리를 끊어내는데 5분,
임플란트 뿌리 발치에는 1분이 채 되지 않는 시간이 소요되었습니다.
그만큼 상태가 안좋았다는 뜻이지요.
지속적인 임플란트 주위염증이 이렇듯 파괴적인 치조골 흡수로 연결된다는 것을 보여주는 교과서적인 사례라고 생각됩니다.

임플란트 뿌리에 덕지덕지 붙은 염증조직들이 보이시나요?
오랜기간 치료를 미루시다가 드디어 앓던 이를 뽑게되셨습니다.

임플란트를 뺀 다음....앞으로 치료 계획은 어떻게 되나요?
임플란트를 뽑아 낸 자리도
시간이 지나면 인체의 회복력으로 뼈가 다소 회복됩니다.
2~3개월 후 CT를 촬영하여 뼈가 회복된 부위와
뼈가 부족한 부위를 판단하여
최소한의 뼈이식을 동반한 임플란트 재수술을 계획하고 있습니다.
임플란트는 얼마나 오래 가나요?
이쯤되면 임플란트의 적정 수명에 대한 궁금증이 생기실겁니다.
평생가는 것 아니었어?!
땡~ 그렇지 않습니다.
논문 한 편을 소개해드리겠습니다.
임플란트의 수명과 관련된 논문은 하늘의 별처럼 많습니다.
그 중에서도 가장 객관적이고 현실적인 결론을 제시한 논문이 있어 보여드릴게요.

임플란트 식립 후 10~16년간 이들의 운명을 추적해나간 논문입니다.
프랑스 스트라스부르그에 있는 대학병원에서 작성된 논문이네요.

우리나라에서도 한 때 명품 임플란트로 소문이 자자했던
스트라우만 임플란트가 식립된 162개 케이스 (환자로 따지면 76명)에 대한 분석 결과입니다.
16년간 관찰한 결과,
입안에 남아있는 임플란트는 82.94%로 162개 중 대략 134개 정도인 것 같습니다.
임플란트의 기계적 문제 (스크류 파절, 보철물 파절, 보철물 교체) 등은 전체의 31.09%에서 발생했고,
임플란트의 생물학적 문제 (대개 임플란트 주위염)은 16.94%에서 발생했다고 합니다.
전체적으로 따져보았을 때, 임플란트 식립 후 불편감이나 추가적인 처치가 필요했던 경우는 전체의 48.03%나 된다고 하네요.
임플란트 식립 후 10년이 넘게 지나자, 절반에 가까운 임플란트에서 크고 작은 사고가 발생했다는 뜻입니다.
더불어, 기존에 잇몸이 나빠져서 자연치아를 발거한 경우에는
임플란트에도 비슷한 잇몸 염증 혹은 잇몸뼈 염증이 발생했다고 합니다.
세상에 영원한 임플란트는 없으며,
주기적인 검사와 꾸준한 위생관리만이
임플란트의 수명을 늘려줄 수 있다는 점,
이제는 모두 아시겠죠?^^
서울재생치과 준원장
서울재생치과는 업계 유일
임플란트 2년 보증제를 운영합니다.
2년 안에 탈이 난 임플란트는 무상으로 처치해드리고 있습니다.
더불어, 오랜 기간동안 편안하게 쓰실 수 있도록 6개월마다 꼼꼼히 검사하고 위생관리를 도와드립니다.
임플란트 및 임플란트 재수술 상담은
저희 서울재생치과에게 문의해주세요.
서울재생치과 오시는 길
신촌역 1,2번 출구 올리브영 건물 3층입니다.
서울재생치과 예약하기

#임플란트재수술
#임플란트주위염증
#임플란트통증
#신촌치과
#신촌임플란트
#신촌서울재생치과
#서울재생치과
더 보기
이 병원의 공개 콘텐츠를 계속 살펴보세요
출처 아카이브로 돌아가 더 많은 글을 보거나, 병원 프로필로 이동해 다른 공개 채널도 함께 비교해보세요.