Seoul Jeseng Dental Korea - English
[치료사례] 덧니에 생긴 충치 어떻게 치료하나요? (신촌치과, 충치치료, 레진치료)
더블보드 치과 전문의 / 치의학박사 / 서울대학교 외래교수로 활동 중인 준원장입니다. 틀어진 앞니 사이로 유난히 음식이 많이 끼시나요? 교정을 하기엔 심하지 않은 것 같고... 그냥 두자니 위생관리가 까다롭고.... 흠.... 앗! 고민하는 사이 덧니 사이에 충치가 생기고 말았습니다...
아카이브 요약
이 페이지의 역할
Seoul Jeseng Dental Korea - English, French Speaking Dentist | 서울재생치과 - 임플란트 투명교정 신경치료의 네이버 블로그 원문을 보존한 아카이브 페이지입니다. 치료사례/생생후기 카테고리의 [치료사례] 덧니에 생긴 충치 어떻게 치료하나요? (신촌치과, 충치치료, 레진치료) 글을 통해 병원의 한국어 정보 제공 방식과 진료 관련 안내 톤을 확인할 수 있습니다.
![[치료사례] 덧니에 생긴 충치 어떻게 치료하나요? (신촌치과, 충치치료, 레진치료) 관련 이미지 1](https://pub-9f2bb3498faf4d1d8714b41df24753e3.r2.dev/content/clinics/archive/nqmm0udu86/naver_blog/honeybeevuvu/assets/by_hash/240ef874c67960b73323b70f6d10e443f3bb6b464e8d1c4e7d9fa9a3cc95df26.jpg)
더블보드 치과 전문의 / 치의학박사 / 서울대학교 외래교수로 활동 중인 준원장입니다.
틀어진 앞니 사이로 유난히 음식이 많이 끼시나요?
교정을 하기엔 심하지 않은 것 같고...
그냥 두자니 위생관리가 까다롭고....
흠....
![[치료사례] 덧니에 생긴 충치 어떻게 치료하나요? (신촌치과, 충치치료, 레진치료) 관련 이미지 2](https://pub-9f2bb3498faf4d1d8714b41df24753e3.r2.dev/content/clinics/archive/nqmm0udu86/naver_blog/honeybeevuvu/assets/by_hash/8bb613223eacd1684ee84c91025265c486a5d33f549878458483d9a21982fc1c.jpg)
앗!
고민하는 사이 덧니 사이에 충치가 생기고 말았습니다.
특히나 가지런하지 못한 덧니는
옆 치아와의 접촉면적이 넓어져서
양쪽 치아에 모두 충치가 생기기 쉽답니다.
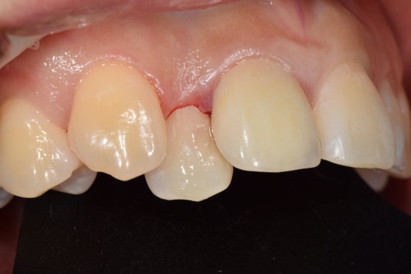
문제상황
가지런한 앞니들 뒤로 한걸음 물러나 있는 덧니!
교정을 하기엔 치아 맞물림도 편안하고 (안정된 교합),
다른 부위엔 특별한 덧니가 없어서 망설이고 계셨다고 합니다.
다른 치아보다 뒤에 있는 탓에,
위생관리가 평소에 어려웠고
충치가 생긴 것도 한참 뒤에나 알게 되었다고 합니다.
(주기적인 엑스레이 검사가 반드시 필요한 이유입니다! 육안으로 드러나지 않는 충치를 조기에 발견하게 해주기 때문입니다!)
![[치료사례] 덧니에 생긴 충치 어떻게 치료하나요? (신촌치과, 충치치료, 레진치료) 관련 이미지 3](https://pub-9f2bb3498faf4d1d8714b41df24753e3.r2.dev/content/clinics/archive/nqmm0udu86/naver_blog/honeybeevuvu/assets/by_hash/8bb613223eacd1684ee84c91025265c486a5d33f549878458483d9a21982fc1c.jpg)
해결방법
건전한 나머지 치아 조직들을 보존하면서
가장 저렴하고 간단하게 치료할 수 있는 방법,
바로 레진치료입니다.
![[치료사례] 덧니에 생긴 충치 어떻게 치료하나요? (신촌치과, 충치치료, 레진치료) 관련 이미지 4](https://pub-9f2bb3498faf4d1d8714b41df24753e3.r2.dev/content/clinics/archive/nqmm0udu86/naver_blog/honeybeevuvu/assets/by_hash/9e0435f5cba6afc9c7ecde8b169a91704a748eb97b4dd96c9e6a9ee55873d71a.jpg)
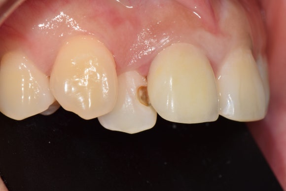
충치를 제거해 봅니다.
생각보다 깊네요.
충치는 대개 겉으로 보이는 것보다
속으로 더 깊게 진행되어 있는 경우가 많습니다.
겉으로 보기에 아무리 작은 충치라도
늘 신경치료의 가능성을 염두에 두고
조심스럽게 접근을 해야 합니다.
치료 받으시는 분께도 미리 설명을 드려야 하구요.
![[치료사례] 덧니에 생긴 충치 어떻게 치료하나요? (신촌치과, 충치치료, 레진치료) 관련 이미지 5](https://pub-9f2bb3498faf4d1d8714b41df24753e3.r2.dev/content/clinics/archive/nqmm0udu86/naver_blog/honeybeevuvu/assets/by_hash/6fdd5270ac1294f1e0b54d02879664db9e80db751d62eb2adb8af5b66892fcdd.jpg)
짠! 레진으로 충전했습니다.
다행히 신경관까지 깊게 진행된 케이스가 아니었습니다.
방금 때운 새 레진이라 엄청 반짝거리죠?
당일에 끝나는 치료이고, 치료시간은 대개 20분을 넘기지 않습니다.
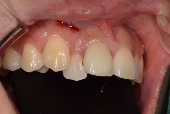
치료 전 후 사진
![[치료사례] 덧니에 생긴 충치 어떻게 치료하나요? (신촌치과, 충치치료, 레진치료) 관련 이미지 6](https://pub-9f2bb3498faf4d1d8714b41df24753e3.r2.dev/content/clinics/archive/nqmm0udu86/naver_blog/honeybeevuvu/assets/by_hash/8c736fdc7aa89ef577d280c97f0a26f0ca22414cae02202fc15b5a6ac42f2d33.jpg)
치료 전후 사진입니다.
저희 서울재생치과에서는
치료 받으시는 분 본인 뿐 아니라, 비슷한 사례의 다른 환자분의 이해를 돕기 위해
치료 전후를 사진으로 꼼꼼하게 기록합니다.
치료를 앞두신 분은
본인이 어떤 치료를 받게 될 것인지 충분히 이해하실 수 있고,
치료를 받으신 분은
오늘 어떤 치료를 어떻게 받으셨는지 바로 눈으로 확인할 수 있다는 장점이 있습니다!
향후 주의사항 및 관리법
■ 철저한 위생관리
충치가 생긴 곳은 나중에 같은 충치가 또 생길 가능성이 높습니다.
구조적으로 음식이 많이 끼고 칫솔이 닿지 않는 곳이기 때문입니다.
치료를 받은 치아는 두배, 세배로 더 열심히 관리해주어야 합니다!
- 아래처럼 치실을 사용할 수도 있겠구요,
(하루 세 번, 양치 후 치실은 이제 필수입니다! 정 바쁘시다면 주무시기 전 한 번은 꼭 하세요!!)
![[치료사례] 덧니에 생긴 충치 어떻게 치료하나요? (신촌치과, 충치치료, 레진치료) 관련 이미지 7](https://pub-9f2bb3498faf4d1d8714b41df24753e3.r2.dev/content/clinics/archive/nqmm0udu86/naver_blog/honeybeevuvu/assets/by_hash/04ed6d3c930ebaa683422f2080014992ecbf240d308aac46f810e29315dde398.jpg)
© brett_jordan, 출처 Unsplash
- 필요하다면 치간칫솔을 추가로 사용하시는 것도 도움이 됩니다.
잇몸 마사지와 청소까지, 일석이조의 효과입니다^^
![[치료사례] 덧니에 생긴 충치 어떻게 치료하나요? (신촌치과, 충치치료, 레진치료) 관련 이미지 8](https://pub-9f2bb3498faf4d1d8714b41df24753e3.r2.dev/content/clinics/archive/nqmm0udu86/naver_blog/honeybeevuvu/assets/by_hash/ebf4c5a2a4266f6995ac084af724aba830af6965a93a02abbc5ae57026427b43.jpg)
© brett_jordan, 출처 Unsplash
- 교정치료
가장 근본적인 치료가 되겠습니다.
삐뚤빼뚤한 치열을 바르게 펴서 위생관리를 보다 용이하게 할 수 있다는 장점이 있지요.
치료 기간과 비용이 상당할 수 있으니 교정전문의와의 상담을 권합니다!
![[치료사례] 덧니에 생긴 충치 어떻게 치료하나요? (신촌치과, 충치치료, 레진치료) 관련 이미지 9](https://pub-9f2bb3498faf4d1d8714b41df24753e3.r2.dev/content/clinics/archive/nqmm0udu86/naver_blog/honeybeevuvu/assets/by_hash/15c98036cc5f108b70ccbbca10997de8334c7f2c926a1691763477cf9f077f36.jpg)
© aubreyd160, 출처 Unsplash
![[치료사례] 덧니에 생긴 충치 어떻게 치료하나요? (신촌치과, 충치치료, 레진치료) 관련 이미지 10](https://pub-9f2bb3498faf4d1d8714b41df24753e3.r2.dev/content/clinics/archive/nqmm0udu86/naver_blog/honeybeevuvu/assets/by_hash/0bc50f99549f4f40923b118e26c56cef3b1e5a8351c1f3813515a3d2023cb391.jpg)
서울재생치과 찾아오는 길
신촌역 1,2번 출구 올리브영 건물 3층에서 만나실 수 있습니다.
진료 및 예약 문의는 02-325-2828 혹은 네이버예약으로도 가능합니다.
![[치료사례] 덧니에 생긴 충치 어떻게 치료하나요? (신촌치과, 충치치료, 레진치료) 관련 이미지 11](https://pub-9f2bb3498faf4d1d8714b41df24753e3.r2.dev/content/clinics/archive/nqmm0udu86/naver_blog/honeybeevuvu/assets/by_hash/bdf50fecb4b5b687e003bebbe4551b782165e9cf40f9153add616ba5058ce5ea.jpg)
#신촌치과
#덧니충치치료
#교정전충치치료
#레진치료
#서울재생치과
#치과보존과전문의
더 보기
이 병원의 공개 콘텐츠를 계속 살펴보세요
출처 아카이브로 돌아가 더 많은 글을 보거나, 병원 프로필로 이동해 다른 공개 채널도 함께 비교해보세요.