Seoul Jeseng Dental Korea - English
잇몸 패임, 무슨 재료로 때우나요? 레진과 글라스아이오노머(GI)로 치경부마모증 치료하기 (서울재생치과,신촌치과)
신촌 서울재생치과는 서울 서부권에서 유일하게 서울대 출신 치과보존과 전문의가 대표원장으로서 전임진료하는 치과입니다. 찬 바람 쌩~불때, 얼음이 가득한 아이스음료를 마실 때, 깜~짝!!! 놀랄만큼 시렸던 적 있으신가요? 앗 깜짝이야!!! 혹은,...
아카이브 요약
이 페이지의 역할
Seoul Jeseng Dental Korea - English, French Speaking Dentist | 서울재생치과 - 임플란트 투명교정 신경치료의 네이버 블로그 원문을 보존한 아카이브 페이지입니다. 준원장의 치과이야기 카테고리의 잇몸 패임, 무슨 재료로 때우나요? 레진과 글라스아이오노머(GI)로 치경부마모증 치료하기 (서울재생치과,신촌치과) 글을 통해 병원의 한국어 정보 제공 방식과 진료 관련 안내 톤을 확인할 수 있습니다.


신촌 서울재생치과는
서울 서부권에서 유일하게
서울대 출신 치과보존과 전문의가
대표원장으로서 전임진료하는 치과입니다.
찬 바람 쌩~불때,
얼음이 가득한 아이스음료를 마실 때,
깜~짝!!!
놀랄만큼 시렸던 적 있으신가요?

앗 깜짝이야!!!
혹은,
손톱으로 만져보았을 때
치아 허리께가 패인 것 같고,
그 부위에 유달리 음식이 많이 고이는 느낌이 드시나요?

음식이 자꾸 끼네ㅠㅠㅠ
잇몸이 패였어요! (치경부마모증)
서울재생치과에 내원하시는 환자분들께서 흔히,
잇몸이 패였어요!
그래서
시려요 / 음식이 껴요!
라고 말씀하시는 증상은
전문용어로 치경부마모증이라고 합니다.
잇몸이 패이는 것이 아니라,
치아의 목 부위가 마모되는 현상이지요.
다양한 치경부마모증의 모습들
기본적으로 치아가 미세파절을 동반한 마모를 겪는 현상이기 때문에,
진행된 수준에 따라
접시로 푹 떠낸 것 같은 얕은 마모에서,
도끼로 나무를 찍어낸 듯한 깊은 마모도 존재합니다.


© 1ncreased, 출처 Unsplash
사진으로 만나보실까요?

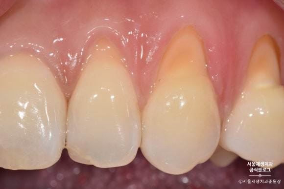
넓고 완만하게 진행된 치경부마모증의 모습입니다.

도끼로 나무를 찍어낸 듯이 좁고 깊은 케이스도 있습니다.

간혹 패인 부분에 음식이 고이거나
잇솔질이 제대로 되지 않아
충치가 생기기도 합니다.

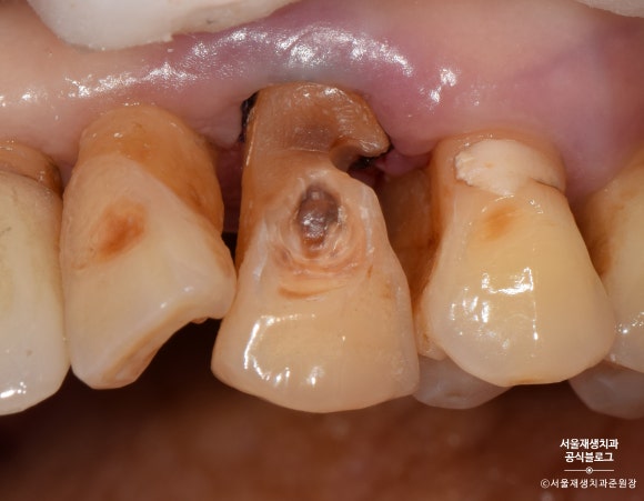
앞니에 생긴 마모증을 오랜기간 방치하여
큰 충치가 생긴 사례입니다.
신촌 서울재생치과에서는
이와같은 치경부마모증을 어떤 재료로 치료할까요?
아래와 같이
패인 부분을 매우는 재료는 크게 두 가지가 있습니다.
레진, 그리고 글래스아이오노머(GI)입니다.
각각의 장단점을 알아볼까요?
레진과 글라스아이오노머의 장단점


재료의 단단함, 수명, 자연스러움의 정도를 비교하자면
단연 레진을 능가할 수 있는 재료는 없습니다.
하지만, 대부분의 치과치료와 마찬가지로 비보험진료이기 때문에
비용이 조금 높습니다.
(치과마다 다르지만 대략 치아당 5~15만원 선인 것 같습니다.)
저희 서울재생치과에서는 비보험진료에 대한 2년 보증제를 실시합니다.
2년 내에 문제가 발생한 치료에 대해 무상으로 수리/재시술을 해드리니
자주 오셔서 체크받으실수록 환자분들에게 좋겠지요?^^
그러나,
여러 개의 치아를 동시에 치료해야해서 비용에 부담이 있는 경우,
(안타깝지만 치경부마모증은 여러 치아에 동시에 발생하는 경우가 많습니다)
반드시 예쁠 필요는 없는 후방의 치아를 치료할 경우,
글래스아이오노머(GI)는 레진의 훌륭한 대안이 됩니다.
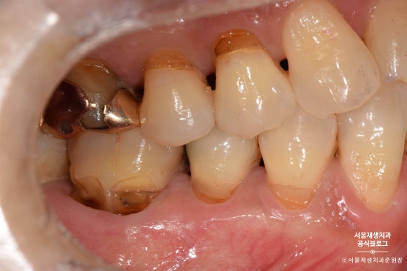
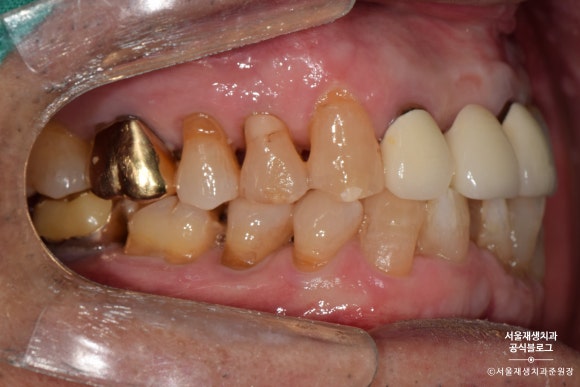
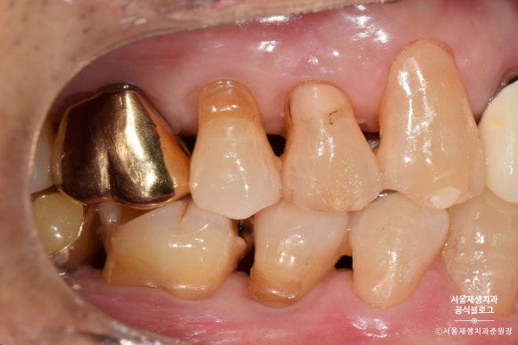
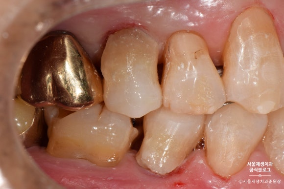
전방치아는 레진으로, 후방치아는 GI로 치료한 사례
여러 치아에 동시에 발생한 치경부마모증을 치료한 사례입니다.
환자분과 거울을 보며 상의한 결과,
잘 보이는 전방 치아는 레진으로,
잘 보이지 않는 후방 치아는 글라스아이오노머로 치료하기로 결정했습니다.

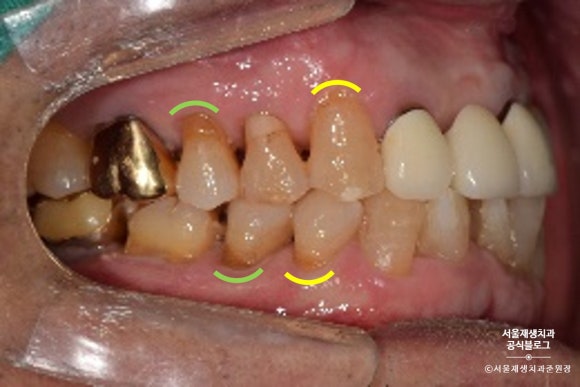
치아의 목 부분, 다시 말해 잇몸과의 경계 부위에
짙은 오렌지색의 띠가 보이시나요?
치아의 겉면은 하얗고 투명한 법랑질인데 반해,
치아의 속살은 노랗고 불투명한 상아질입니다.
법랑질이 모두 마모되어 상아질이 노출되었고,
법랑질에 비해 무른 상아질이 안으로 파고들듯이 마모되고 있는 상태였습니다.

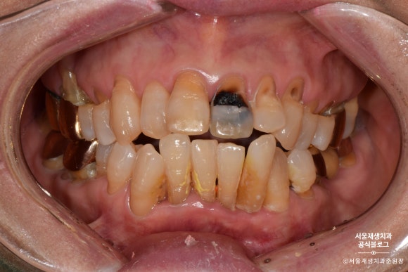
제법 진행이 많이 된 치아를 선별하여
총 4개의 치아를 치료하기로 했습니다.
노란색으로 표시된 치아들은 상대적으로 전방에 위치하여 레진으로 치료하기로 했습니다.
연두색으로 표시된 치아들은 상대적으로 후방에 위치하여, 심미성이 조금 떨어지더라도 비용이 저렴한 글라스아이오노머로 치료하기로 했습니다.
※■■레진으로 치료 예정
※■■ 글라스아이오노머(GI)로 치료 예정
레진으로 치경부마모증 치료하기
레진은 글라스아이오노머에 비해
치료 과정이 복잡하고 술자의 손기술에 결과가 많이 좌우됩니다.
서울재생치과에서는 서울대 치과보존과 전문의인 전준희 원장이
대학병원의 프로토콜을 준수하며 직접 진료합니다.

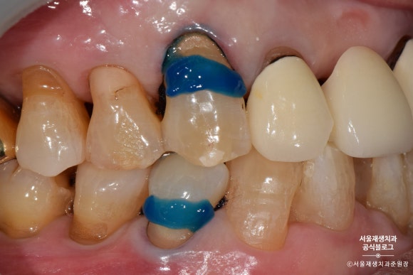
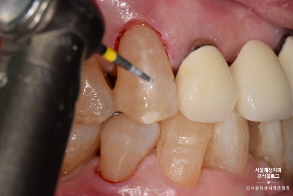
레진이 접착될 부위를 깨끗하게 소독하고
약제를 도포합니다.

레진을 치아에 접착시키는 약제를 도포합니다.

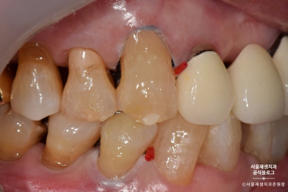
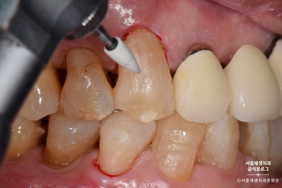
레진을 한 겹, 한 겹 정성껏 쌓아올립니다.
이때, 침이나 물 한방울도 튀지 않도록 조심!

들뜬 자리가 없도록 꼼꼼하게 레진을 다듬어줍니다.

사진상으로는 모두 나오지 않지만,
반질반질하고 심미적인 결과를 위해서
여러번의 마무리 과정을 거치게 됩니다.

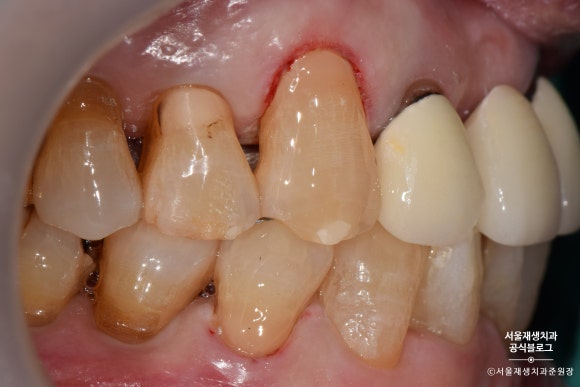
짠!
완성되었습니다.
치아와 잇몸의 경계부위를 때우기 때문에,
깔끔한 마무리를 위해 잇몸쪽으로 기구 손질을 많이 하게 됩니다.
잇몸 가장자리가 빨개진 것은 대개 하루이틀이면 원래대로 돌아옵니다.
꼼꼼한 치료의 결과라고 생각해주시면 됩니다^^
글라스아이오노머로 치경부마모증 치료하기
레진에 비해 자연스러움이나 수명은 약간 부족하지만,
저렴한 가격에
치경부마모증의 치료를 위한
최소한의 자격요건을 갖춘 기특한 재료입니다.
글라스아이오노머로 치료를 시작해보겠습니다.

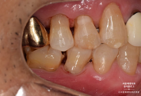
며칠 후 글라스아이오노머 치료를 위해 다시 방문해주셨습니다.
그 사이 감쪽같이 아문 잇몸이 보이시나요?^^
글라스아이오노머를 이용한 치료도
레진과 마찬가지로 치아의 표면을 깨끗하게 소독하는 것으로 시작합니다.

글라스아이오노머를 위한 전처리제를
치아표면에 도포합니다.

글라스아이오노머를 치아 표면에 도포합니다.
밀가루 반죽같은 것을 기구를 대고 꾹~ 눌러주거나,
시린지 형태로 된 제품으로 짜넣는 방법 등이 있습니다.

5분 정도의 시간이 지나고
글라스아이오노머가 제법 단단해졌습니다.

글라스아이오노머의 표면을 부드럽게 다듬어봅니다.
레진과 비교했을 때 약간 혼탁한 색감, 부자연스러운 느낌은 있지만,
후방치아 치료용으로는 손색이 없습니다^^

깨진 치아, 마모된 치아의 치료는 누가 가장 잘할까요?
자연치의 치료는 치과보존과 전문의가 가장 잘합니다^^
자연치아를 오래 쓰기 위해 반드시 필요한 치료만을 권하는
전준희 원장과의 상담을 경험해보세요^^
서울재생치과 전준희 원장은
서울대학교 치의학과를 졸업 후,
동 대학병원 치과보존과에서 레지던트 과정을 수료한
전국 1%의 치과보존과 전문의입니다^^
신촌의 일등치과, 서울재생치과 찾아오기
신촌역 1,2번 출구 올리브영 건물 3층입니다.
신촌의 일등치과, 서울재생치과 예약하기

#신촌치과
#서울재생치과
#신촌보존과전문의
#세브란스치과병원
#서울대치과병원
#치경부마모증
#잇몸때우기
#시린이치료
더 보기
이 병원의 공개 콘텐츠를 계속 살펴보세요
출처 아카이브로 돌아가 더 많은 글을 보거나, 병원 프로필로 이동해 다른 공개 채널도 함께 비교해보세요.