Seoul Jeseng Dental Korea - English
[재신경치료] 예전에 신경치료 받은 치아가 갑자기 붓고 아파요! (현미경을 통해 정확하고 섬세하게 재신경치료 하기)
치아에게 해줄 수 있는 마지막 치료인 신경치료/재신경치료 누구에게 맡기고 계신가요? 신경치료와 재신경치료는 치과보존과 전문의의 전문영역입니다. 서울재생치과는 서울 서부권에서 유일하게 치과보존과전문의 대표원장이 전임진료하는 치과입니다. 아~주 예전에 신경치료를 받고...
아카이브 요약
이 페이지의 역할
Seoul Jeseng Dental Korea - English, French Speaking Dentist | 서울재생치과 - 임플란트 투명교정 신경치료의 네이버 블로그 원문을 보존한 아카이브 페이지입니다. 준원장의 치과이야기 카테고리의 [재신경치료] 예전에 신경치료 받은 치아가 갑자기 붓고 아파요! (현미경을 통해 정확하고 섬세하게 재신경치료 하기) 글을 통해 병원의 한국어 정보 제공 방식과 진료 관련 안내 톤을 확인할 수 있습니다.
![[재신경치료] 예전에 신경치료 받은 치아가 갑자기 붓고 아파요! (현미경을 통해 정확하고 섬세하게 재신경치료 하기) 관련 이미지 1](https://pub-9f2bb3498faf4d1d8714b41df24753e3.r2.dev/content/clinics/archive/nqmm0udu86/naver_blog/honeybeevuvu/assets/by_hash/976569940c6aa13d61b9c49ea6bd7036dce9dcce860682d8c9621c2bef8c456e.jpg)
치아에게 해줄 수 있는
마지막 치료인
신경치료/재신경치료
누구에게 맡기고 계신가요?
![[재신경치료] 예전에 신경치료 받은 치아가 갑자기 붓고 아파요! (현미경을 통해 정확하고 섬세하게 재신경치료 하기) 관련 이미지 2](https://pub-9f2bb3498faf4d1d8714b41df24753e3.r2.dev/content/clinics/archive/nqmm0udu86/naver_blog/honeybeevuvu/assets/by_hash/0bc50f99549f4f40923b118e26c56cef3b1e5a8351c1f3813515a3d2023cb391.jpg)
신경치료와 재신경치료는
치과보존과 전문의의 전문영역입니다.
서울재생치과는
서울 서부권에서 유일하게
치과보존과전문의 대표원장이
전임진료하는 치과입니다.
아~주 예전에 신경치료를 받고 크라운으로 씌운 치아,
몇 년동안 아무 문제없이 잘만 써왔습니다.
그런데 갑자기,
며칠전부터 잇몸이 부어오르고
극심한 통증에 시달리기 시작합니다.
약국에서 진통제를 사먹어도 크게 달라지는 것이 없네요...
![[재신경치료] 예전에 신경치료 받은 치아가 갑자기 붓고 아파요! (현미경을 통해 정확하고 섬세하게 재신경치료 하기) 관련 이미지 3](https://pub-9f2bb3498faf4d1d8714b41df24753e3.r2.dev/content/clinics/archive/nqmm0udu86/naver_blog/honeybeevuvu/assets/by_hash/9c0fd6a436f2e30860a34301cf5ac24e66ed02f1af867dfa40fb5c7546778753.jpg)
설상가상으로,
그 치아를 둘러싼 잇몸이 점점 붓기 시작하더니,
이내 다람쥐처럼 얼굴까지 퉁퉁 부었습니다!
![[재신경치료] 예전에 신경치료 받은 치아가 갑자기 붓고 아파요! (현미경을 통해 정확하고 섬세하게 재신경치료 하기) 관련 이미지 4](https://pub-9f2bb3498faf4d1d8714b41df24753e3.r2.dev/content/clinics/archive/nqmm0udu86/naver_blog/honeybeevuvu/assets/by_hash/5cc205c6b2a585d7f1ec356f4c2acb9fc0bf2caf7fe039f1ea310d40cd4b1c7a.jpg)
위 사례는
최근 서울재생치과를
일주일 간격으로 방문하신
두 외국인 환자분들의 이야기입니다.
공교롭게도
같은 위치의 치아에
같은 원인으로
같은 증상을 호소하시며 내원하셨습니다.
![[재신경치료] 예전에 신경치료 받은 치아가 갑자기 붓고 아파요! (현미경을 통해 정확하고 섬세하게 재신경치료 하기) 관련 이미지 5](https://pub-9f2bb3498faf4d1d8714b41df24753e3.r2.dev/content/clinics/archive/nqmm0udu86/naver_blog/honeybeevuvu/assets/by_hash/655386e3f991d28069644a72d69f8c6ed7a150b880fbafd5d5da2e405abd0286.jpg)
한 분은 한국에서 공부 중인 프랑스인 유학생이셨고,
다른 한 분은 한국을 여행중이시던 미국인 관광객이셨습니다.
인터넷 검색과, 주위의 추천으로
저희 서울재생치과를 찾아오셨는데요,
두 분 모두
다람쥐처럼 단단하게 부은 볼을 감싸안고 내원하셨습니다.
![[재신경치료] 예전에 신경치료 받은 치아가 갑자기 붓고 아파요! (현미경을 통해 정확하고 섬세하게 재신경치료 하기) 관련 이미지 6](https://pub-9f2bb3498faf4d1d8714b41df24753e3.r2.dev/content/clinics/archive/nqmm0udu86/naver_blog/honeybeevuvu/assets/by_hash/fcaae81c26e4fd91ebf06c6d99a8518a80350e137770e813852de66dff942796.jpg)
가까운 치과에서 가보았지만,
달리 손을 못대고 약만 처방받았다고 하시면서요....
당연히 약으로 잡힐만한 상황이 아니었지요.
한국어를 배우는 프랑스 유학생의 사례
어제부터 잇몸이 많이 붓고 아팠어요.
잠이 안 올 정도로 아파요ㅠㅠㅠ
인근 치과에서는 약만 지어줬어요.
한국어를 공부중인 프랑스 유학생
![[재신경치료] 예전에 신경치료 받은 치아가 갑자기 붓고 아파요! (현미경을 통해 정확하고 섬세하게 재신경치료 하기) 관련 이미지 7](https://pub-9f2bb3498faf4d1d8714b41df24753e3.r2.dev/content/clinics/archive/nqmm0udu86/naver_blog/honeybeevuvu/assets/by_hash/bcd75e0603a0e508c3b7a2133d57421706a743dfbc6e250220aaa044d5746b26.jpg)
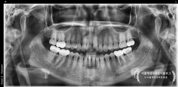
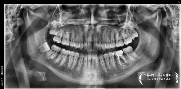
파노라마 엑스레이를 먼저 볼까요?
(정확한 진단에는 전체를 보는 눈이 필수입니다!)
왼쪽 아래 어금니 뿌리 주변이 심상치 않네요...
확대해보겠습니다.
![[재신경치료] 예전에 신경치료 받은 치아가 갑자기 붓고 아파요! (현미경을 통해 정확하고 섬세하게 재신경치료 하기) 관련 이미지 8](https://pub-9f2bb3498faf4d1d8714b41df24753e3.r2.dev/content/clinics/archive/nqmm0udu86/naver_blog/honeybeevuvu/assets/by_hash/337ec190539ffb0b4e5e43e01626bad57ddcc6bcb31f129477978505b32c1148.png)
![[재신경치료] 예전에 신경치료 받은 치아가 갑자기 붓고 아파요! (현미경을 통해 정확하고 섬세하게 재신경치료 하기) 관련 이미지 9](https://pub-9f2bb3498faf4d1d8714b41df24753e3.r2.dev/content/clinics/archive/nqmm0udu86/naver_blog/honeybeevuvu/assets/by_hash/9c7f78b9d943c2a55359eb406bff39c35f0c392dc327ee86254879b7d4694a4c.jpg)
파노라마를 확대해보니,
뿌리 쪽으로 까맣게 뼈가 녹아내린 모양이 관찰됩니다.
보다 정확한 진단 및 상황파악을 위해
치근단엑스레이를 추가로 촬영하였습니다.
치근단 엑스레이가 무엇인가요?
꼭 찍어야 하나요?
![[재신경치료] 예전에 신경치료 받은 치아가 갑자기 붓고 아파요! (현미경을 통해 정확하고 섬세하게 재신경치료 하기) 관련 이미지 10](https://pub-9f2bb3498faf4d1d8714b41df24753e3.r2.dev/content/clinics/archive/nqmm0udu86/naver_blog/honeybeevuvu/assets/by_hash/4e19978da739edeff5d4a2c5218ddd8350bf51e169e7c427f4e50ee4b85439aa.jpg)
![[재신경치료] 예전에 신경치료 받은 치아가 갑자기 붓고 아파요! (현미경을 통해 정확하고 섬세하게 재신경치료 하기) 관련 이미지 11](https://pub-9f2bb3498faf4d1d8714b41df24753e3.r2.dev/content/clinics/archive/nqmm0udu86/naver_blog/honeybeevuvu/assets/by_hash/bf2ee86366188b2d49c5b1ad69f54cdf1a72eb501ded68f649042d4e96a16c99.jpg)
(좌측) 파노라마 엑스레이
(우측) 치근단 엑스레이
파노라마는 단체사진,
치근단엑스레이는 증명사진이라고
환자분들께 설명드립니다.
소풍가서 찍은 단체 사진을
아무리 확대해도,
얼굴에 있는 작은 점이나 흉터까지는
잘 보이지 않지요?
원인 치아의 위치를 찾는 일에 파노라마가 도움이 된다면,
해당 치아의 정확한 상태를 파악하는 데엔
치근단엑스레이가 필수입니다!
신경치료 후 잇몸이 붓고 아파진 원인(1)
"신경치료 후에 크라운을 만들지 않았어요"
![[재신경치료] 예전에 신경치료 받은 치아가 갑자기 붓고 아파요! (현미경을 통해 정확하고 섬세하게 재신경치료 하기) 관련 이미지 12](https://pub-9f2bb3498faf4d1d8714b41df24753e3.r2.dev/content/clinics/archive/nqmm0udu86/naver_blog/honeybeevuvu/assets/by_hash/33b4682f8f80b7a8a5c4fd6d818b6d74f3d12d68d67465eb04b98a94b1710a33.jpg)
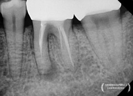
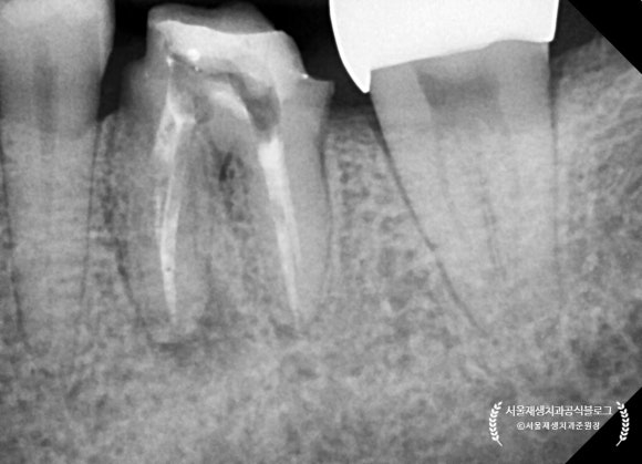
치근단 엑스레이를 살펴보겠습니다.
신경치료 후에 크라운으로 치아를 보호해주지 않고,
빈 구멍만 메워둔 상태로 몇년이 지났다고 합니다.
(프랑스에서 오신 환자분들은 대부분 크라운을 하지 않고 오시더군요. 식습관의 차이인지, 의료시스템의 차이인지...궁금합니다)
구멍을 메꾸는 재료만으로는
어금니의 씹는 힘을 충분히 견디기가 힘듭니다.
시간이 지남에 따라 재료가 마모되고 깨지면서
입 안의 세균들이 다시 치아 내부로 침투하게 되지요.
![[재신경치료] 예전에 신경치료 받은 치아가 갑자기 붓고 아파요! (현미경을 통해 정확하고 섬세하게 재신경치료 하기) 관련 이미지 13](https://pub-9f2bb3498faf4d1d8714b41df24753e3.r2.dev/content/clinics/archive/nqmm0udu86/naver_blog/honeybeevuvu/assets/by_hash/aba5e0576b8361f83aaae7ef88ca12cd726bb181f08433630b72841b63ea3c5d.jpg)
![[재신경치료] 예전에 신경치료 받은 치아가 갑자기 붓고 아파요! (현미경을 통해 정확하고 섬세하게 재신경치료 하기) 관련 이미지 14](https://pub-9f2bb3498faf4d1d8714b41df24753e3.r2.dev/content/clinics/archive/nqmm0udu86/naver_blog/honeybeevuvu/assets/by_hash/c2bae19f9c751f37879a8a0f62f5ec744082dd94407b0b3a8dfa2d6ee322aba6.jpg)
때워놓은 재료가 오래되어
하방으로 충치가 생기고 있었습니다.
신경치료 받은 치아에 충치가 다시 생긴다는 것은,
어금니 신경치료에 들인 공이 와르르 무너지는 것과 같습니다.
어금니의 신경치료 후
크라운으로 치아를 보호해주는 것은
자연 치아를 오래 쓰기 위한 필수조건입니다!
치과보존과 전문의, 서울재생치과 전준희 원장
신경치료 후 잇몸이 붓고 아파진 원인(2)
"치료 안된 신경이 남아있었어요"
비용 때문에,
치과 약속을 깜빡하고,
크라운치료를 미처 못했을 수 있습니다.
그렇다고해서,
크라운을 씌우지 않았다는 사실만으로 이렇게 심하게 붓고 아플 수도 있을까요?
프랑스인 학생의 사례에는 한 가지 이유가 더 숨어있었습니다.
신경치료의 성공은, 뿌리 곳곳에 숨어있는 신경들을
얼마나 완벽하게 찾아내고 청소해내는 가에 있습니다.
여간 꼼꼼한 사람이 아니고는 만족스러운 치료 결과를 얻어내기가 힘든 고난이도의 치료입니다.
![[재신경치료] 예전에 신경치료 받은 치아가 갑자기 붓고 아파요! (현미경을 통해 정확하고 섬세하게 재신경치료 하기) 관련 이미지 15](https://pub-9f2bb3498faf4d1d8714b41df24753e3.r2.dev/content/clinics/archive/nqmm0udu86/naver_blog/honeybeevuvu/assets/by_hash/2905ec7c00736194b2dcfd1409ba245935698acebbeb803f5dc130e05fcecf80.jpg)
서울재생치과에서는
대학병원에서나 사용하는
최신형의 Zeiss 치과현미경을 보유하고 있습니다.
보다 꼼꼼하고 세심한 진료를 위한
전준희 대표원장의 욕심이지요...^^
![[재신경치료] 예전에 신경치료 받은 치아가 갑자기 붓고 아파요! (현미경을 통해 정확하고 섬세하게 재신경치료 하기) 관련 이미지 16](https://pub-9f2bb3498faf4d1d8714b41df24753e3.r2.dev/content/clinics/archive/nqmm0udu86/naver_blog/honeybeevuvu/assets/by_hash/1df0fc1400c39c759ab8d71e0ef6977328d8b1b6c677db260987798bd53b9c10.jpg)
![[재신경치료] 예전에 신경치료 받은 치아가 갑자기 붓고 아파요! (현미경을 통해 정확하고 섬세하게 재신경치료 하기) 관련 이미지 17](https://pub-9f2bb3498faf4d1d8714b41df24753e3.r2.dev/content/clinics/archive/nqmm0udu86/naver_blog/honeybeevuvu/assets/by_hash/76247a8d4148fe65618e503724f369e65f4512e8d802f3e46dacf8a3a86e1058.jpg)
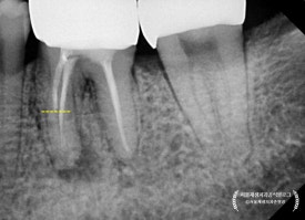
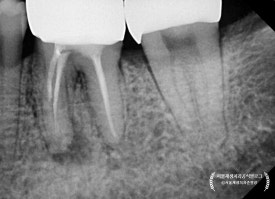
현미경으로 치아를 살펴보니,
역시나....
치료되지 않고 놓친 근관이 하나 더 있었습니다.
이전에 치료해주신 선생님도 최선을 다하셨으리라 생각하지만,
경험이 부족하거나 순간적으로 부주의하게 되면
어금니의 신경을 하나정도 놓치는 일은
흔히 발생하는 일입니다.
그런 치아들을 다시 치료해서 살려내는 것이
치과보존과 전문의의 역할이지요.
![[재신경치료] 예전에 신경치료 받은 치아가 갑자기 붓고 아파요! (현미경을 통해 정확하고 섬세하게 재신경치료 하기) 관련 이미지 18](https://pub-9f2bb3498faf4d1d8714b41df24753e3.r2.dev/content/clinics/archive/nqmm0udu86/naver_blog/honeybeevuvu/assets/by_hash/5697b5e5825b86c7ca5739672bc41553b93c94270d3f846624fe8675f99b6dff.jpg)
치아 머리를 메꾸고 있던 오래된 재료를 모두 제거하고,
이전에 미처 치료되지 않은 근관도 모두 청소했습니다.
단 한 번의 내원만에 얼굴 붓기와 통증이 모두 사라져서
매우 기뻐하시면서도 신기해하셨습니다^^
아직 다 끝난 것이 아닙니다!
현재는 소독용약제를 치아 내부에 도포해둔 상태로,
치아 내부가 충분히 소독된 다음
-
신경치료를 마무리하고
-
크라운으로 전체치아를 보호해주는 것으로
치료는 마무리되게 됩니다^^
남은 치료까지 최선을 다해 진행해드리겠습니다.
한국을 여행중인 미국인 관광객의 사례
한국 여행 오기 두 달 전쯤
치과에 갔을 땐
아무 이상 없었어요...
갑자기 이렇게 아플 수 있나요?
영어로 소통할 수 있는 선생님을 찾아요ㅠㅠ
한국 여행 중이신 미국인 환자분
즐거운 한국여행 중 난데없이 들이닥친 극심한 치통!
얼굴까지 부어올라서 깜짝놀라셨을텐데요...
한국인 남편분의 도움으로 영어로 소통이 가능하면서도
전문적인 치료를 받을 수 있는
저희 서울재생치과를 방문해주셨습니다.
![[재신경치료] 예전에 신경치료 받은 치아가 갑자기 붓고 아파요! (현미경을 통해 정확하고 섬세하게 재신경치료 하기) 관련 이미지 19](https://pub-9f2bb3498faf4d1d8714b41df24753e3.r2.dev/content/clinics/archive/nqmm0udu86/naver_blog/honeybeevuvu/assets/by_hash/b2db381e16c3dd9e4e9fda76e6cc98ea3410731c6e9f402f2f64dd9b545afb5c.jpg)
서울재생치과에서는
영어와 프랑스어가 유창한 전준희 대표원장과,
네이티브 급의 영어실력을 갖춘 전지훈 대표원장이
외국인환자분들께
고품격의 한국 치과의료를 제공하고 있습니다.
![[재신경치료] 예전에 신경치료 받은 치아가 갑자기 붓고 아파요! (현미경을 통해 정확하고 섬세하게 재신경치료 하기) 관련 이미지 20](https://pub-9f2bb3498faf4d1d8714b41df24753e3.r2.dev/content/clinics/archive/nqmm0udu86/naver_blog/honeybeevuvu/assets/by_hash/75cff8a290a0a31a60adb213fcfd66d63ec5e356f7f37354bf33928dd1e687b5.jpg)
한 눈에도 너무나 아파보이는 잇몸....!
잇몸의 붓기가 얼굴까지 퍼져서
사탕을 물고 있는 듯한 모습으로 내원하셨습니다.
![[재신경치료] 예전에 신경치료 받은 치아가 갑자기 붓고 아파요! (현미경을 통해 정확하고 섬세하게 재신경치료 하기) 관련 이미지 21](https://pub-9f2bb3498faf4d1d8714b41df24753e3.r2.dev/content/clinics/archive/nqmm0udu86/naver_blog/honeybeevuvu/assets/by_hash/472477ec498fdecd5f2ce7f3eaeebabd72fcacdbabbe36eb787b2cc77b27b6f4.jpg)
파노라마 엑스레이로 전체 치아들을 조망하겠습니다.
역시나...
왼쪽 아래에 신경치료 받은 치아가 심상치 않아보이네요.
![[재신경치료] 예전에 신경치료 받은 치아가 갑자기 붓고 아파요! (현미경을 통해 정확하고 섬세하게 재신경치료 하기) 관련 이미지 22](https://pub-9f2bb3498faf4d1d8714b41df24753e3.r2.dev/content/clinics/archive/nqmm0udu86/naver_blog/honeybeevuvu/assets/by_hash/9d3b76016c6b34466d48e00bd8e9c204960d95315d79b2a32a2e65480f28cf78.png)
![[재신경치료] 예전에 신경치료 받은 치아가 갑자기 붓고 아파요! (현미경을 통해 정확하고 섬세하게 재신경치료 하기) 관련 이미지 23](https://pub-9f2bb3498faf4d1d8714b41df24753e3.r2.dev/content/clinics/archive/nqmm0udu86/naver_blog/honeybeevuvu/assets/by_hash/4bca124457105fdc87075dd08497a314cd36a67790f00206e14e701065067772.jpg)
파노라마를 확대해보니,
앞선 프랑스 유학생의 사례와 마찬가지로
이전에 신경치료 받은 치아에서 염증이 시작되고 있었습니다.
왜일까요?
신경치료 후 잇몸이 붓고 아파진 원인(3)
"신경이 끝까지 청소되지 않았어요"
![[재신경치료] 예전에 신경치료 받은 치아가 갑자기 붓고 아파요! (현미경을 통해 정확하고 섬세하게 재신경치료 하기) 관련 이미지 24](https://pub-9f2bb3498faf4d1d8714b41df24753e3.r2.dev/content/clinics/archive/nqmm0udu86/naver_blog/honeybeevuvu/assets/by_hash/cc0297144c7cf04c0e53f045b24bc4a21d2be9e3b85122235aff8f8d0465f57e.jpg)
![[재신경치료] 예전에 신경치료 받은 치아가 갑자기 붓고 아파요! (현미경을 통해 정확하고 섬세하게 재신경치료 하기) 관련 이미지 25](https://pub-9f2bb3498faf4d1d8714b41df24753e3.r2.dev/content/clinics/archive/nqmm0udu86/naver_blog/honeybeevuvu/assets/by_hash/dfa6ad420f4c616f46c59e44c9264107b71032bb836906a337b52eaef9292669.jpg)
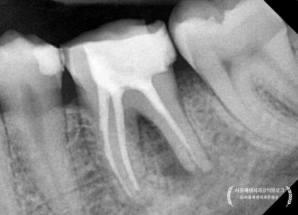
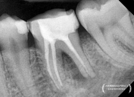
곧이어 치근단엑스레이를 찍어보았지요.
어금니는 뿌리가 여러개기 때문에, 경우에 따라 각도를 달리하여
2장 이상 촬영하기도 한답니다.
![[재신경치료] 예전에 신경치료 받은 치아가 갑자기 붓고 아파요! (현미경을 통해 정확하고 섬세하게 재신경치료 하기) 관련 이미지 26](https://pub-9f2bb3498faf4d1d8714b41df24753e3.r2.dev/content/clinics/archive/nqmm0udu86/naver_blog/honeybeevuvu/assets/by_hash/33d7fd96beb895aad467f557d30c594c9a1d4435bdcebac0ae5ec3b0ed5739b0.jpg)
![[재신경치료] 예전에 신경치료 받은 치아가 갑자기 붓고 아파요! (현미경을 통해 정확하고 섬세하게 재신경치료 하기) 관련 이미지 27](https://pub-9f2bb3498faf4d1d8714b41df24753e3.r2.dev/content/clinics/archive/nqmm0udu86/naver_blog/honeybeevuvu/assets/by_hash/fdff56b33357bc8ced95abaa2d9365cb445edc281a370547004d63f68812a9e1.jpg)
통상 아래 어금니에는 신경이 4개 (적으면 3개, 많으면 5개) 있게 마련이죠.
그런데 조금 이상합니다.
4개 중에 2개가 뿌리 전체 길이에 못미치게 치료가 되어 있습니다.
![[재신경치료] 예전에 신경치료 받은 치아가 갑자기 붓고 아파요! (현미경을 통해 정확하고 섬세하게 재신경치료 하기) 관련 이미지 28](https://pub-9f2bb3498faf4d1d8714b41df24753e3.r2.dev/content/clinics/archive/nqmm0udu86/naver_blog/honeybeevuvu/assets/by_hash/a7ebac8e34796bf19f223a28a51938f3cb92d77083174040bce996d4f2825931.jpg)
현미경을 이용해서
뿌리 끝까지 청소를 해 내려간 결과,
노랗고 빨간 고름이 뿌리 끝에서 퐁퐁퐁 솟아나는 것을 관찰할 수 있었습니다.
딱딱한 뼈 안에 고름이 차오르고 있었으니
얼마나 아팠을까요?
치아 내부에 소독약제를 도포하고 약처방을 해드린 후
다음 날 다시 오실 것을 설명드렸습니다.
(다음 날 아침)
드디어....밤에 잠을 잘 수 있었어요.
얼굴 붓기도 거의 사라졌어요!!
한국 여행 중이신 미국인 환자분
![[재신경치료] 예전에 신경치료 받은 치아가 갑자기 붓고 아파요! (현미경을 통해 정확하고 섬세하게 재신경치료 하기) 관련 이미지 29](https://pub-9f2bb3498faf4d1d8714b41df24753e3.r2.dev/content/clinics/archive/nqmm0udu86/naver_blog/honeybeevuvu/assets/by_hash/36d3b23494f678405e50537ed2648dc58e443e03d280dfb5d7a5ff1fed60bdf5.jpg)
![[재신경치료] 예전에 신경치료 받은 치아가 갑자기 붓고 아파요! (현미경을 통해 정확하고 섬세하게 재신경치료 하기) 관련 이미지 30](https://pub-9f2bb3498faf4d1d8714b41df24753e3.r2.dev/content/clinics/archive/nqmm0udu86/naver_blog/honeybeevuvu/assets/by_hash/4f4e758ce1741765f9e431a2ab19f7364a2d816c3675e031ee207a82c99828a3.jpg)
(좌측) 첫 내원 일 (우측) 다음 날 아침
하룻밤 사이에
눈에 띄게 잇몸 붓기가 가라앉았습니다.
얼굴 붓기는 거의 사라졌구요.
재신경치료는 크라운을 제거한 상태에서 진행합니다.
가능하면 치아가 닿지 않도록 해서
빠른 회복을 도모하기 위함입니다.
![[재신경치료] 예전에 신경치료 받은 치아가 갑자기 붓고 아파요! (현미경을 통해 정확하고 섬세하게 재신경치료 하기) 관련 이미지 31](https://pub-9f2bb3498faf4d1d8714b41df24753e3.r2.dev/content/clinics/archive/nqmm0udu86/naver_blog/honeybeevuvu/assets/by_hash/1ab769e2900d83f6784781100edfb2f851e7c5403ff950b2f72c1c8de4e08490.jpg)
두번째와 뒤이은 세번째 내원날에는
모든 신경들을 뿌리 끝까지 청소하기 위해 노력했습니다.
나중에라도 통증을 일으킬 수 있는 원인을
모두 제거하기 위함이지요.
준원장의 정성에 하늘이 감동하셨는지,
아래 어금니의 모든 신경을 깨끗하게 청소하는데 성공하였고,
고름도 더 이상 나오지 않았습니다!
세 번의 내원만에 얻어진 값진 결과입니다.
![[재신경치료] 예전에 신경치료 받은 치아가 갑자기 붓고 아파요! (현미경을 통해 정확하고 섬세하게 재신경치료 하기) 관련 이미지 32](https://pub-9f2bb3498faf4d1d8714b41df24753e3.r2.dev/content/clinics/archive/nqmm0udu86/naver_blog/honeybeevuvu/assets/by_hash/750ea43f89135c41aefc7a62fec1694ab13ae0cf5a46583cd62a57b3865b74cc.jpg)
치아 내부에 소독 약제를 뿌리 끝까지 도포하였습니다.
![[재신경치료] 예전에 신경치료 받은 치아가 갑자기 붓고 아파요! (현미경을 통해 정확하고 섬세하게 재신경치료 하기) 관련 이미지 33](https://pub-9f2bb3498faf4d1d8714b41df24753e3.r2.dev/content/clinics/archive/nqmm0udu86/naver_blog/honeybeevuvu/assets/by_hash/7f488d610721b7dcedc0904de5f6f0c952e47f5883b659d9eae277f22332a9f0.jpg)
앞으로 남은 2주간의 여행을 걱정없이 즐기실 수 있도록,
치아에 단단한 임시재료 (글래스아이오노머)로 구멍을 메꿔드렸지요.
미국에 돌아가셔서 편안하게 치료를 마무리하시길 기원합니다.
![[재신경치료] 예전에 신경치료 받은 치아가 갑자기 붓고 아파요! (현미경을 통해 정확하고 섬세하게 재신경치료 하기) 관련 이미지 34](https://pub-9f2bb3498faf4d1d8714b41df24753e3.r2.dev/content/clinics/archive/nqmm0udu86/naver_blog/honeybeevuvu/assets/by_hash/a310402626d992ae73f79ff97756a49099c66da5285269e9a41f35f1307c3c0d.jpg)
소중한 내 치아를 오래 쓰는 법,
치과보존과 전문의는 알고 있습니다.
신촌역 서울재생치과의
전준희 원장과 상담해보세요!
비슷한 다른 케이스를 만나볼까요?
- 치아 뿌리 끝 염증이 너무 심하대요. 발치만이 답일까요?
준원장의 블로그에서 가장 많이, 그리고 가장 오랫동안 사랑받고 있는 글입니다.
이 글을 정독하시면 신경치료와 재신경치료에 대해 보다 깊이있는 이해를 하실 수 있습니다.
나와 맞는 좋은 치과의사를 찾는데에도 도움이되니,
관심이 있으시다면 꾹! 클릭해주세요.
- 치아 뿌리 끝 염증이 너무 심하대요. 발치만이 답인가요? (2탄)
1탄에 보내주신 호응(?)에 힘입어
보다 드라마틱한 사례를 들고 왔습니다.
1탄을 읽어보시고 이어서 보시면 더욱 즐거우리라 생각됩니다.
- 치아 뿌리 끝 염증이 너무 심하대요. 발치만이 답인가요? (3탄)
재신경치료가 필요한 신호는 여러가지가 있습니다.
이번 글에서 소개드린 극심한 통증 / 잇몸과 얼굴의 붓기도 있지만,
통증이 없는 뾰루지도 재신경치료의 필요성을 보여주는
중요한 단서이지요.
통증이 없고, 여드름처럼 부풀어올랐다가 터지기를 반복하기 때문에
환자분들의 치료의 필요성을 미처 인지하지 못하시는 경우가 많습니다.
신경치료의 경험이 있는 모든 분들이 알고 계시면 도움이 될 정보가 많이 담겨있으니,
관심있으시다면 꾹! 클릭해보세요^^
신촌의 일등 치과, 서울재생치과 찾아오는 길
신촌역 1,2번 출구 앞에 있는
올리브영 건물 3층입니다.
신촌의 일등 치과, 서울재생치과 네이버 예약하기
![[재신경치료] 예전에 신경치료 받은 치아가 갑자기 붓고 아파요! (현미경을 통해 정확하고 섬세하게 재신경치료 하기) 관련 이미지 35](https://pub-9f2bb3498faf4d1d8714b41df24753e3.r2.dev/content/clinics/archive/nqmm0udu86/naver_blog/honeybeevuvu/assets/by_hash/bdf50fecb4b5b687e003bebbe4551b782165e9cf40f9153add616ba5058ce5ea.jpg)
#신촌치과
#재신경치료
#현미경치과
#치과보존과전문의
더 보기
이 병원의 공개 콘텐츠를 계속 살펴보세요
출처 아카이브로 돌아가 더 많은 글을 보거나, 병원 프로필로 이동해 다른 공개 채널도 함께 비교해보세요.