Seoul Jeseng Dental Korea - English
치과에서 치료하는 치아가 아닌 반대편 치아를 갈아내는 이유는? 장기 치료에 반드시 필요한 "정출방지 치아고정"에 대해 알아봅시다.
길고 긴 임플란트 치료가 끝나고 대망의 임플란트보철(크라운/브릿지)를 붙이는 날! 혹은 길고 긴 재근관치료 (=재신경치료)가 끝나고 대망의 크라운을 장착하는 날!! "공간이 부족해서 반대편 치아를 조금 삭제해야겠습니다" 라는 주치의의 얘기를 듣고 내 치아를? 삭...
아카이브 요약
이 페이지의 역할
Seoul Jeseng Dental Korea - English, French Speaking Dentist | 서울재생치과 - 임플란트 투명교정 신경치료의 네이버 블로그 원문을 보존한 아카이브 페이지입니다. 준원장의 치과이야기 카테고리의 치과에서 치료하는 치아가 아닌 반대편 치아를 갈아내는 이유는? 장기 치료에 반드시 필요한 "정출방지 치아고정"에 대해 알아봅시다. 글을 통해 병원의 한국어 정보 제공 방식과 진료 관련 안내 톤을 확인할 수 있습니다.

길고 긴 임플란트 치료가 끝나고
대망의 임플란트보철(크라운/브릿지)를 붙이는 날!
혹은
길고 긴 재근관치료 (=재신경치료)가 끝나고
대망의 크라운을 장착하는 날!!
"공간이 부족해서 반대편 치아를
조금 삭제해야겠습니다"
라는 주치의의 얘기를 듣고
내 치아를?
삭제?
왜?!?!
하면서 깜짝 놀라신 적 있으신가요?
-
반대편 치아를 왜 삭제하게 되는지,
-
치아 삭제를 피하기 위해서
(혹은 최소화하기 위해)
어떠한 조치가 필요한지
신촌 서울재생치과 준원장이 알려드리겠습니다^^

치아는 절~대 가만히 있지 않습니다.

알고보면 한시도 가만히 있지 않는 우리들!!

흔히들
치아가 레고처럼 뼈에 조립(?)되어 있다고
알고 계신분들이 많습니다.
하지만,
치아는 뼈에 붙은 근육처럼,
말랑말랑한 인대를 통해 뼈에 부착되어 있지요.

그래서
약하고 지속적인 힘으로
치아를 움직이는
교정치료를 할 수 있는 것이랍니다^^
그렇다면,
우리 입 안에 있는 치아들이
늘 제자리에 있는 이유는 무엇일까요?


그것은 바로,
어깨동무하고 있는 옆 치아들과,
매일 부딪히는 반대편 치아들이 있어
각 치아들이 움직이고 싶어도
이동할 수 있는 공간이 없기 때문입니다.
발치 후 시간이 경과한 경우
충치가 너무 커서,
이가 너무 흔들려서,
어쩔 수 없이 이를 빼야하는 경우가 있습니다.
이 경우,
치아가 상실된 빈 자리에서
무슨 일이 발생할까요?
아래 어금니를 뺀지 오래 됐는데
바빠서 임플란트를 한동안 못했어요.

환자분의 입 안을 검사하니,
아래 어금니가 있어야 할 공간에
윗 어금니가 스르륵~~
내려와 자리를 차지하고 있었습니다.
우리는 이것을
치아정출이라고 부릅니다.

아래에 있어야 할 어금니가 없고,
대신 윗 어금니가 정출되어
아래 잇몸에 닿을 정도로
내려온 사례입니다.
이미 정출된 치아는 어떻게 하나요?
이미 정출되었다면,
원래의 높이에 맞게 치아를 의도적으로 삭제하여
크라운으로 치아를 씌워줍니다.
이 과정에서 신경치료가 동반되는 경우가
참 많답니다.
어떻게 예방하면 좋을까요?
임플란트 시행을 위해
치아를 발치한 경우,
혹은
장기간의 재신경치료를 위해
기존의 크라운을 벗겨놓은 경우,
반대편 치아가 정출되지 않도록
미리 고정해주는 것이 필요합니다.
우리는 이것을
정출방지 치아고정술이라고 부릅니다.
정출방지 치아고정의 예시
대개 2~4개 치아를
얇은 스텐리스 와이어로
레진을 이용해 치아게 부착시킵니다.
부피가 얇아 일상생활에 불편감이
거의 없으면서,
효과적으로 치아들의 위치를 유지시켜
장기간의 치과치료에도
교합에 변화가 생기지 않게 하는 것이
정출방지 치아고정의 장점입니다!


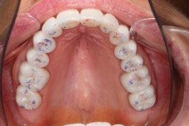
↑ 아래 어금니를 치료하는 동안
위 치아들을 고정한 사례들입니다.

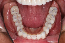
윗 어금니를 치료하는 동안
아래 치아들을 고정한 사례입니다.
신촌 서울재생치과 치료사례 한 장 정리!

사진 속 환자분은
이미 치아가 심하게 정출된 상태로
내원하셨기에,
의도적인 신경치료와 크라운 장착을 피할 수 없었습니다.
치아고정을 미리 시행하여
예방할 수 있음을
기억해주세요~!
소중한 내 치아를 오래오래 건강하게!

따뜻한 마음과 독보적인 실력으로 -
신촌 서울재생치과에 방문하시는
모든 분들의 자연치를 소중히 치료합니다.
신촌 서울재생치과 찾아오는 길
신촌역 1,2번 출구
올리브영 건물 3층입니다.
02-325-2828
신촌 서울재생치과, 네이버로 편리하게 예약하기!

#신촌서울재생치과
#서울재생치과
#치아고정
#치아정출

더 보기
이 병원의 공개 콘텐츠를 계속 살펴보세요
출처 아카이브로 돌아가 더 많은 글을 보거나, 병원 프로필로 이동해 다른 공개 채널도 함께 비교해보세요.