Seoul Jeseng Dental Korea - English
[치료사례] 잇몸 패임 때문에 음식이 많이끼고 충치가 생겨요.
서울대학교 치과대학 외래교수, 전준희 대표원장입니다. 서울대 치의학과 졸업 서울대학교 치과병원 인턴 및 레지던트 (치과보존과) 서울대학교 치의학대학원 석사 및 박사 학위취득 (현) 서울대학교 치과대학 외래교수 따뜻한 마음과 독보적인 실력으로, 세상 모든 자연치를 소중히 치료합니다. 문제상황 잇몸...
아카이브 요약
이 페이지의 역할
Seoul Jeseng Dental Korea - English, French Speaking Dentist | 서울재생치과 - 임플란트 투명교정 신경치료의 네이버 블로그 원문을 보존한 아카이브 페이지입니다. 치료사례/생생후기 카테고리의 [치료사례] 잇몸 패임 때문에 음식이 많이끼고 충치가 생겨요. 글을 통해 병원의 한국어 정보 제공 방식과 진료 관련 안내 톤을 확인할 수 있습니다.
![[치료사례] 잇몸 패임 때문에 음식이 많이끼고 충치가 생겨요. 관련 이미지 1](https://pub-9f2bb3498faf4d1d8714b41df24753e3.r2.dev/content/clinics/archive/nqmm0udu86/naver_blog/honeybeevuvu/assets/by_hash/aa80baba825f2d43f1d3cb13e37b6f2dabf641f5fd591e7c4e79476cd750b5dd.png)
서울대학교 치과대학 외래교수, 전준희 대표원장입니다.
![[치료사례] 잇몸 패임 때문에 음식이 많이끼고 충치가 생겨요. 관련 이미지 2](https://pub-9f2bb3498faf4d1d8714b41df24753e3.r2.dev/content/clinics/archive/nqmm0udu86/naver_blog/honeybeevuvu/assets/by_hash/240ef874c67960b73323b70f6d10e443f3bb6b464e8d1c4e7d9fa9a3cc95df26.jpg)
서울대 치의학과 졸업
서울대학교 치과병원 인턴 및 레지던트 (치과보존과)
서울대학교 치의학대학원 석사 및 박사 학위취득
(현) 서울대학교 치과대학 외래교수
따뜻한 마음과 독보적인 실력으로,
세상 모든 자연치를 소중히 치료합니다.
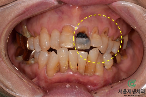
문제상황
잇몸 쪽으로 이가 패인지 오래됐는데
충치도 생겼어요ㅠ
![[치료사례] 잇몸 패임 때문에 음식이 많이끼고 충치가 생겨요. 관련 이미지 3](https://pub-9f2bb3498faf4d1d8714b41df24753e3.r2.dev/content/clinics/archive/nqmm0udu86/naver_blog/honeybeevuvu/assets/by_hash/9449de82783960ad225a6cd3857a70c1921ea58e26adfc99b6267d44025570d7.jpg)
큰 결심을 하고 내원해주셨습니다.
이가 마모된 틈으로
음식이 많이 끼고
보기에도 안좋았을 것 같은데...
오랜 세월을 참다~참다
큰 맘 먹고 귀한 걸음해주셨습니다.
해결방법
-
앞니여서 자연스러운 색조를 선사해드리고 싶었고,
-
마모된 정도가 광범위하여 보다 튼튼하고 오래가는 재료가
필요한 상황이었습니다.
잇몸패임에 사용하는 재료는 글래스아이오노머(GI)와
레진으로 나누어볼 수 있는데,
위 요구조건에 적합한 레진을
최종수복재료로 선택하였습니다!
![[치료사례] 잇몸 패임 때문에 음식이 많이끼고 충치가 생겨요. 관련 이미지 4](https://pub-9f2bb3498faf4d1d8714b41df24753e3.r2.dev/content/clinics/archive/nqmm0udu86/naver_blog/honeybeevuvu/assets/by_hash/ae9a8b086a171b1d7496edfcf283d4fbb3c5af9c37eff3e82524b3eaee8bb419.jpg)
서울대학교 치과병원에서 사용하는 명품 레진, 3M사의 Z250이라는 제품입니다^^
저의 블로그에 처음 오신 분이라면
글라스아이오노머(GI)와 레진이 무엇인지
궁금하실 수 있겠습니다.
두 가지 재료를 비교해서 설명해둔 포스트의
링크를 남겨두겠습니다.
참고 바랍니다^^
치료 전 후 비교
![[치료사례] 잇몸 패임 때문에 음식이 많이끼고 충치가 생겨요. 관련 이미지 5](https://pub-9f2bb3498faf4d1d8714b41df24753e3.r2.dev/content/clinics/archive/nqmm0udu86/naver_blog/honeybeevuvu/assets/by_hash/4b04236dfeaa812f6700392751224342148eacc01ff3233709de5cb5edcfa9cc.jpg)
신경치료 없이 레진만을 이용해서
치아의 심미성과 기능을 모두 얻어낸 사례입니다.
거울을 보며 깜짝 놀라면서
동시에 행복해하셨던
환자분의 모습이 떠오르네요^^
![[치료사례] 잇몸 패임 때문에 음식이 많이끼고 충치가 생겨요. 관련 이미지 6](https://pub-9f2bb3498faf4d1d8714b41df24753e3.r2.dev/content/clinics/archive/nqmm0udu86/naver_blog/honeybeevuvu/assets/by_hash/a4a0bdf7aee9e558136c84e0972c2086ee23646ffbaeffd97b693648d791af76.jpg)
서울재생치과 전준희 대표원장은
서울대학교 치과병원 치과보존과에서 정식 수련을 받은
치과보존과 전문의입니다.
소중한 자연치아의 평생을 함께할
동반자가 되겠습니다.
신촌의 일등치과, 서울재생치과 찾아오시는 길
신촌역 1,2번 출구
올리브영건물 3층입니다.
02-325-2828
#신촌치과
#서울재생치과
#레진치료
#잇몸패임치료
더 보기
이 병원의 공개 콘텐츠를 계속 살펴보세요
출처 아카이브로 돌아가 더 많은 글을 보거나, 병원 프로필로 이동해 다른 공개 채널도 함께 비교해보세요.