Seoul Jeseng Dental Korea - English
[치료사례] 벌어진 앞니 사이 공간...반드시 라미네이트와 크라운을 해야하나요? 레진으로 간단하고 예쁘게 성형하기
세상 모든 자연치를 소중하게 치료하는 마음! 신촌 서울재생치과의 진료철학입니다. 서울재생치과 대표원장, 치과보존과 전문의 전준희 어떤 고민이 있으신가요? 중년의 여성분께서 앞니 사이의 공간을 어떻게든 처치(!) 해달라며 오셨습니다. 교정처럼 시간이 많이 걸리...
아카이브 요약
이 페이지의 역할
Seoul Jeseng Dental Korea - English, French Speaking Dentist | 서울재생치과 - 임플란트 투명교정 신경치료의 네이버 블로그 원문을 보존한 아카이브 페이지입니다. 치료사례/생생후기 카테고리의 [치료사례] 벌어진 앞니 사이 공간...반드시 라미네이트와 크라운을 해야하나요? 레진으로 간단하고 예쁘게 성형하기 글을 통해 병원의 한국어 정보 제공 방식과 진료 관련 안내 톤을 확인할 수 있습니다.
![[치료사례] 벌어진 앞니 사이 공간...반드시 라미네이트와 크라운을 해야하나요? 레진으로 간단하고 예쁘게 성형하기 관련 이미지 1](https://pub-9f2bb3498faf4d1d8714b41df24753e3.r2.dev/content/clinics/archive/nqmm0udu86/naver_blog/honeybeevuvu/assets/by_hash/aa80baba825f2d43f1d3cb13e37b6f2dabf641f5fd591e7c4e79476cd750b5dd.png)
![[치료사례] 벌어진 앞니 사이 공간...반드시 라미네이트와 크라운을 해야하나요? 레진으로 간단하고 예쁘게 성형하기 관련 이미지 2](https://pub-9f2bb3498faf4d1d8714b41df24753e3.r2.dev/content/clinics/archive/nqmm0udu86/naver_blog/honeybeevuvu/assets/by_hash/240ef874c67960b73323b70f6d10e443f3bb6b464e8d1c4e7d9fa9a3cc95df26.jpg)
세상 모든 자연치를 소중하게 치료하는 마음!
신촌 서울재생치과의 진료철학입니다.
서울재생치과 대표원장, 치과보존과 전문의 전준희
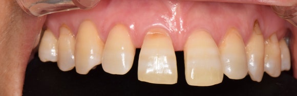
어떤 고민이 있으신가요?
![[치료사례] 벌어진 앞니 사이 공간...반드시 라미네이트와 크라운을 해야하나요? 레진으로 간단하고 예쁘게 성형하기 관련 이미지 3](https://pub-9f2bb3498faf4d1d8714b41df24753e3.r2.dev/content/clinics/archive/nqmm0udu86/naver_blog/honeybeevuvu/assets/by_hash/fea45ee284650749d6be580bdc831b54f9b4be98d79a68d7c0ba85779e9e22dc.jpg)
중년의 여성분께서
앞니 사이의 공간을
어떻게든 처치(!) 해달라며 오셨습니다.
교정처럼
시간이 많이 걸리는 것은 싫고,
크라운이나 라미네이트처럼
치아를 삭제하는 것도 싫다고 하시면서요.
치료 방법
하루만에 치료가 끝나고,
치아도 삭제하지 않는 비법!
치과용 레진을 이용하면 가능합니다^^
![[치료사례] 벌어진 앞니 사이 공간...반드시 라미네이트와 크라운을 해야하나요? 레진으로 간단하고 예쁘게 성형하기 관련 이미지 4](https://pub-9f2bb3498faf4d1d8714b41df24753e3.r2.dev/content/clinics/archive/nqmm0udu86/naver_blog/honeybeevuvu/assets/by_hash/c7f300a8eb424f34fa861cd95b4c962070f60d6501cf427467c3e062fc953ee7.jpg)
서울대 치과보존과에서 수련의(=레지던트)를 할 때부터
저와 손발을 맞춰온
3M사의 치과용레진!
강도와 심미성에서 압도적으로 우수한 명품레진이지요^^
치료 전 후 비교
![[치료사례] 벌어진 앞니 사이 공간...반드시 라미네이트와 크라운을 해야하나요? 레진으로 간단하고 예쁘게 성형하기 관련 이미지 5](https://pub-9f2bb3498faf4d1d8714b41df24753e3.r2.dev/content/clinics/archive/nqmm0udu86/naver_blog/honeybeevuvu/assets/by_hash/1e4f1ac268fac77eb313d3a46307cbaed06c89f8406e83af3d332ce36df27478.jpg)
참으로 드라마틱한 변화입니다!
크라운이나 라미네이트에 비해 상대적으로 낮은 비용,
한 시간 이내로 끝나는 짧은 치료 시간,
마지막으로 치아를 삭제하지 않는
높은 보존성!
모든 것에 만족하신 환자분이
함박웃음을 지으시며 귀가하셨답니다^^
위 사례를 좀 더 자세하게
들여다보고 싶으시다면
아래 링크를 클릭해주세요^^
신촌 서울재생치과 찾아오시는 길
![[치료사례] 벌어진 앞니 사이 공간...반드시 라미네이트와 크라운을 해야하나요? 레진으로 간단하고 예쁘게 성형하기 관련 이미지 6](https://pub-9f2bb3498faf4d1d8714b41df24753e3.r2.dev/content/clinics/archive/nqmm0udu86/naver_blog/honeybeevuvu/assets/by_hash/bdf50fecb4b5b687e003bebbe4551b782165e9cf40f9153add616ba5058ce5ea.jpg)
#신촌서울재생치과
#치과보존과전문의
#치간이개
#다이아스테마
#앞니벌어짐
#앞니사이공간
더 보기
이 병원의 공개 콘텐츠를 계속 살펴보세요
출처 아카이브로 돌아가 더 많은 글을 보거나, 병원 프로필로 이동해 다른 공개 채널도 함께 비교해보세요.