Seoul Jeseng Dental Korea - English
[재신경치료] 신경치료 받은 치아가 붓고 아파요! 현미경과 CT의 도움으로 다시 한 번 꼼꼼하게~
치아에게 해줄 수 있는 마지막 치료인 신경치료, 누구에게 맡기고 계신가요? 서울재생치과는 서울대 치과보존과 전문의인 전준희 대표원장이 상주하며, 따뜻한 마음과 독보적인 실력으로 책임감 있는 진료를 제공합니다. 예전에 신경치료 받았는데 잇몸이 붓고 씹을 때 아파요...
아카이브 요약
이 페이지의 역할
Seoul Jeseng Dental Korea - English, French Speaking Dentist | 서울재생치과 - 임플란트 투명교정 신경치료의 네이버 블로그 원문을 보존한 아카이브 페이지입니다. 준원장의 치과이야기 카테고리의 [재신경치료] 신경치료 받은 치아가 붓고 아파요! 현미경과 CT의 도움으로 다시 한 번 꼼꼼하게~ 글을 통해 병원의 한국어 정보 제공 방식과 진료 관련 안내 톤을 확인할 수 있습니다.
![[재신경치료] 신경치료 받은 치아가 붓고 아파요! 현미경과 CT의 도움으로 다시 한 번 꼼꼼하게~ 관련 이미지 1](https://pub-9f2bb3498faf4d1d8714b41df24753e3.r2.dev/content/clinics/archive/nqmm0udu86/naver_blog/honeybeevuvu/assets/by_hash/d999da57864a4a6c051cbd17870ed3884185364ad71dfffeb21daf5c7f4fa0bb.jpg)
치아에게 해줄 수 있는
마지막 치료인 신경치료,
누구에게 맡기고 계신가요?
![[재신경치료] 신경치료 받은 치아가 붓고 아파요! 현미경과 CT의 도움으로 다시 한 번 꼼꼼하게~ 관련 이미지 2](https://pub-9f2bb3498faf4d1d8714b41df24753e3.r2.dev/content/clinics/archive/nqmm0udu86/naver_blog/honeybeevuvu/assets/by_hash/0bc50f99549f4f40923b118e26c56cef3b1e5a8351c1f3813515a3d2023cb391.jpg)
서울재생치과는
서울대 치과보존과 전문의인
전준희 대표원장이 상주하며,
따뜻한 마음과 독보적인 실력으로
책임감 있는 진료를 제공합니다.
예전에 신경치료 받았는데
잇몸이 붓고 씹을 때 아파요..
![[재신경치료] 신경치료 받은 치아가 붓고 아파요! 현미경과 CT의 도움으로 다시 한 번 꼼꼼하게~ 관련 이미지 3](https://pub-9f2bb3498faf4d1d8714b41df24753e3.r2.dev/content/clinics/archive/nqmm0udu86/naver_blog/honeybeevuvu/assets/by_hash/a9e3245347e9fd7d03b91b3dc8bc9bf16943154a6dd37a620bc62650025c7847.jpg)
20대 초반의 학생 한 분이
신촌 서울재생치과에
방문하셨습니다.
오른쪽 아래 어금니의 뾰루지와
식사 시의 통증을 호소하시면서요.
![[재신경치료] 신경치료 받은 치아가 붓고 아파요! 현미경과 CT의 도움으로 다시 한 번 꼼꼼하게~ 관련 이미지 4](https://pub-9f2bb3498faf4d1d8714b41df24753e3.r2.dev/content/clinics/archive/nqmm0udu86/naver_blog/honeybeevuvu/assets/by_hash/f697c8402640e8460d81f93dc4041d1561ba6e574372a7ab2de62792ff05c1fa.jpg)
진주알처럼 볼록!하게 튀어나온 잇몸염증.
불과 4~5년 전에 치료 받은 치아인데,
갑자기 아파져서
깜짝 놀라셨을 것 같습니다.
다른 치과에서는 임플란트를 먼저 얘기했어요.
발치까지 권유받으셨다는데,
대체 무슨 문제가 있는지 X-ray 를 찍어봅시다!
![[재신경치료] 신경치료 받은 치아가 붓고 아파요! 현미경과 CT의 도움으로 다시 한 번 꼼꼼하게~ 관련 이미지 5](https://pub-9f2bb3498faf4d1d8714b41df24753e3.r2.dev/content/clinics/archive/nqmm0udu86/naver_blog/honeybeevuvu/assets/by_hash/3589e6399855b09f1407ebd01bad233749aa0322c63a287e65fa88e750302514.jpg)
치아 뿌리 끝을 감싸는 동글동글하고
까만 빈 공간이 보이시나요?
바로 치근단염증입니다.
치근단염증(=뿌리염증)이란?
치아 뿌리 내에서 부패한 신경 조직들이
뿌리 끝의 조그마한 구멍을 통해 배출되어
뼈를 삭게 만드는 현상입니다.
치근단염증치료에 대한 경험이 부족하면
조금만 큰 치근단염증을 보더라도
급히 발치를 결정하게 될 수 있습니다.
대부분의 치과의사에게
다가가기 힘든 고난이도의 치료이기
때문이지요.
그렇다면, 치근단염증은 왜 생긴걸까요?
![[재신경치료] 신경치료 받은 치아가 붓고 아파요! 현미경과 CT의 도움으로 다시 한 번 꼼꼼하게~ 관련 이미지 6](https://pub-9f2bb3498faf4d1d8714b41df24753e3.r2.dev/content/clinics/archive/nqmm0udu86/naver_blog/honeybeevuvu/assets/by_hash/6a3000d12d3b7fba050da821beb1fca9440b2844d3b532fa5d4987bf574bb34d.jpg)
빨간 점선으로 표시된 것 보이시나요?
바로 치료되지 않고 남아있는 뿌리입니다.
어금니에는 신경줄이
여러 개 있기 때문에,
간혹 1~2개를 놓치게 되는 일이 있습니다.
재신경치료를 하게 되는
여러 이유 중 가장 큰 비중을
차지하고 있지요.
CT 촬영
염증이 몹시 커서
인접 해부학적 구조물과의
연관성을 평가해야 하거나,
위 사례처럼 접근이 어려운 신경의
위치를 파악하기 위해 CT를 촬영합니다.
신경치료 중의 CT 촬영은 대개
건강보험이 적용되어 본인 부담금은 2만원 전후에 불과합니다.
![[재신경치료] 신경치료 받은 치아가 붓고 아파요! 현미경과 CT의 도움으로 다시 한 번 꼼꼼하게~ 관련 이미지 7](https://pub-9f2bb3498faf4d1d8714b41df24753e3.r2.dev/content/clinics/archive/nqmm0udu86/naver_blog/honeybeevuvu/assets/by_hash/c202064002a7f0fe0542c0a6cce2b57dbbb71c922de5a07566a4639a89086ac4.jpg)
![[재신경치료] 신경치료 받은 치아가 붓고 아파요! 현미경과 CT의 도움으로 다시 한 번 꼼꼼하게~ 관련 이미지 8](https://pub-9f2bb3498faf4d1d8714b41df24753e3.r2.dev/content/clinics/archive/nqmm0udu86/naver_blog/honeybeevuvu/assets/by_hash/88b4e409813c88a12b894b291f4c992612b421e9780901af7905e84d62387631.jpg)
CT를 확인해보니,
치근단염증이 점점 퍼져서
잇몸뼈를 뚫고 나간 것이 보입니다.
그것이 마치 여드름처럼
잇몸으로 불거져 나오는 것이지요.
![[재신경치료] 신경치료 받은 치아가 붓고 아파요! 현미경과 CT의 도움으로 다시 한 번 꼼꼼하게~ 관련 이미지 9](https://pub-9f2bb3498faf4d1d8714b41df24753e3.r2.dev/content/clinics/archive/nqmm0udu86/naver_blog/honeybeevuvu/assets/by_hash/ef43e758390456bd47fb734bd8a22a598ae34aecb6f3ad8cc585ee9676d9680b.jpg)
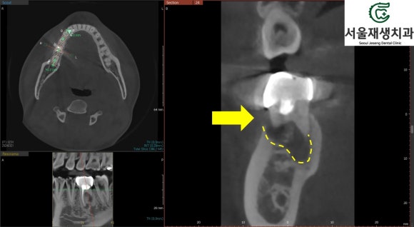
찾았습니다!
평면 엑스레이에서 의심되었던
'미치료 신경'의 위치를
CT를 통해 정확하게 파악합니다.
이제 남은 것은 미세현미경을 통한
꼼꼼한 재신경치료!
![[재신경치료] 신경치료 받은 치아가 붓고 아파요! 현미경과 CT의 도움으로 다시 한 번 꼼꼼하게~ 관련 이미지 10](https://pub-9f2bb3498faf4d1d8714b41df24753e3.r2.dev/content/clinics/archive/nqmm0udu86/naver_blog/honeybeevuvu/assets/by_hash/2905ec7c00736194b2dcfd1409ba245935698acebbeb803f5dc130e05fcecf80.jpg)
신촌 서울재생치과에는
대학병원 치과보존과와 동일한
Zeiss 치과현미경을 보유하고 있습니다.
보다 꼼꼼하고 섬세한 진료를 위한
전준희 대표원장의 고집입니다.
![[재신경치료] 신경치료 받은 치아가 붓고 아파요! 현미경과 CT의 도움으로 다시 한 번 꼼꼼하게~ 관련 이미지 11](https://pub-9f2bb3498faf4d1d8714b41df24753e3.r2.dev/content/clinics/archive/nqmm0udu86/naver_blog/honeybeevuvu/assets/by_hash/9276e2d37597677000b00378c0cddfa0e691dd0b3ab1c05e00ef5528bc421518.jpg)
이전에 놓친 신경까지 모두 찾아
꼼꼼하게 청소 후 약제를 도포하였습니다.
![[재신경치료] 신경치료 받은 치아가 붓고 아파요! 현미경과 CT의 도움으로 다시 한 번 꼼꼼하게~ 관련 이미지 12](https://pub-9f2bb3498faf4d1d8714b41df24753e3.r2.dev/content/clinics/archive/nqmm0udu86/naver_blog/honeybeevuvu/assets/by_hash/2b50bbdba8ca16880efc1af96ae1624445e15ec73baab404e470700d8612fa71.jpg)
단 1회의 내원만으로
뾰루지가 사라졌습니다.
치료가 잘 진행되고 있다면
뾰루지는 다시 나타나지 않습니다^^
남은 것은 기다림....
<치료 후 1달 경과>
![[재신경치료] 신경치료 받은 치아가 붓고 아파요! 현미경과 CT의 도움으로 다시 한 번 꼼꼼하게~ 관련 이미지 13](https://pub-9f2bb3498faf4d1d8714b41df24753e3.r2.dev/content/clinics/archive/nqmm0udu86/naver_blog/honeybeevuvu/assets/by_hash/5cac5f0051bd3826d4364d4e442f5f1b7957498070a0e25b42c7963f8e38ea5f.jpg)
<치료 후 2달 경과>
![[재신경치료] 신경치료 받은 치아가 붓고 아파요! 현미경과 CT의 도움으로 다시 한 번 꼼꼼하게~ 관련 이미지 14](https://pub-9f2bb3498faf4d1d8714b41df24753e3.r2.dev/content/clinics/archive/nqmm0udu86/naver_blog/honeybeevuvu/assets/by_hash/397c20f7c075b42bb119f40964d962daaf8adcd5bdc2f5bf6fa64d78e0feae38.jpg)
<치료 후 3달 경과>
![[재신경치료] 신경치료 받은 치아가 붓고 아파요! 현미경과 CT의 도움으로 다시 한 번 꼼꼼하게~ 관련 이미지 15](https://pub-9f2bb3498faf4d1d8714b41df24753e3.r2.dev/content/clinics/archive/nqmm0udu86/naver_blog/honeybeevuvu/assets/by_hash/a80973d63351eed3249a2324c71f0dc2f34d27892f97b0bf86d2d3fee2a8605e.jpg)
뿌리 끝의 염증이 점점 작아지고 있습니다.
통증도 사라졌습니다.
치료 시작 두 달 후, 2차 CT 촬영
![[재신경치료] 신경치료 받은 치아가 붓고 아파요! 현미경과 CT의 도움으로 다시 한 번 꼼꼼하게~ 관련 이미지 16](https://pub-9f2bb3498faf4d1d8714b41df24753e3.r2.dev/content/clinics/archive/nqmm0udu86/naver_blog/honeybeevuvu/assets/by_hash/4b60f61a482ab55dbc6803014eae0b25f13ee501007182c5ace9166d069eeee8.jpg)
치료 시작 후 두 달이 경과한 시점에서
녹아내린 뼈가 다시금 잘 차오르고 있는지
확인해보기 위해 CT를 추가 촬영했습니다.
이제는 차이가 보이시지요?
너무나도 드라마틱한 결과입니다.
신촌 서울재생치과를 믿고
꾸준히 치료에 협조해주신
환자분께 감사드립니다.
3개월 만에 치료 종료
뿌리 끝 염증이 커서 치료가 장기화될 것 같았지만,
다행히 환자분이 내원 간격을 잘 지켜주셨고
회복이 빠르신 편이어서 3개월만에 치료를 마무리할 수 있었습니다.
재신경치료가 끝난 치아는
도자기 크라운 (지르코니아 크라운)을 씌워
예쁘고 튼튼하게 보호해드렸습니다.
![[재신경치료] 신경치료 받은 치아가 붓고 아파요! 현미경과 CT의 도움으로 다시 한 번 꼼꼼하게~ 관련 이미지 17](https://pub-9f2bb3498faf4d1d8714b41df24753e3.r2.dev/content/clinics/archive/nqmm0udu86/naver_blog/honeybeevuvu/assets/by_hash/46021cd5f0c73b1503a848e7de82882b16e3f2916a03f7548d75572302a78251.jpg)
신경치료 전 후 사진입니다^^
![[재신경치료] 신경치료 받은 치아가 붓고 아파요! 현미경과 CT의 도움으로 다시 한 번 꼼꼼하게~ 관련 이미지 18](https://pub-9f2bb3498faf4d1d8714b41df24753e3.r2.dev/content/clinics/archive/nqmm0udu86/naver_blog/honeybeevuvu/assets/by_hash/71631f119a25b89fa57ee67de1cb463614e019460f99549345940945e6974236.jpg)
예쁜 지르코니아 크라운으로
최종적인 치료를 끝냈습니다.
신경치료의 마무리는 튼튼한 크라운으로!^^
![[재신경치료] 신경치료 받은 치아가 붓고 아파요! 현미경과 CT의 도움으로 다시 한 번 꼼꼼하게~ 관련 이미지 19](https://pub-9f2bb3498faf4d1d8714b41df24753e3.r2.dev/content/clinics/archive/nqmm0udu86/naver_blog/honeybeevuvu/assets/by_hash/9da05b55a5ccce5653efd4fa9a5a57be30d9580ab917405cd5f9088ee8f7c0f5.jpg)
재신경치료 진단법, 치료법에 대해
보다 자세한 설명을 원하신다면
아래 링크를 참고해주세요^^
신촌의 일등치과,
서울재생치과 찾아오시는 길
신촌역 1,2번 출구
올리브영 3층입니다^^
신촌의 일등치과,
서울재생치과 네이버 예약하기
![[재신경치료] 신경치료 받은 치아가 붓고 아파요! 현미경과 CT의 도움으로 다시 한 번 꼼꼼하게~ 관련 이미지 20](https://pub-9f2bb3498faf4d1d8714b41df24753e3.r2.dev/content/clinics/archive/nqmm0udu86/naver_blog/honeybeevuvu/assets/by_hash/bdf50fecb4b5b687e003bebbe4551b782165e9cf40f9153add616ba5058ce5ea.jpg)
#신촌치과
#신촌치과보존과
#재신경치료
#현미경신경치료
#지르코니아크라운
더 보기
이 병원의 공개 콘텐츠를 계속 살펴보세요
출처 아카이브로 돌아가 더 많은 글을 보거나, 병원 프로필로 이동해 다른 공개 채널도 함께 비교해보세요.