아카이브 요약
이 페이지의 역할
서울재생치과의원 신촌본원의 네이버 블로그 원문을 보존한 아카이브 페이지입니다. 준원장의 치과이야기 카테고리의 [치아미백] 예전에 부딪힌 앞니가 까맣게 변했어요. 신경이 죽은 치아를 하얗게 돌려놓기! (서울재생치과) 글을 통해 병원의 한국어 정보 제공 방식과 진료 관련 안내 톤을 확인할 수 있습니다.
원문 검증
필요하면 원문 블로그와 병원 프로필로 바로 이동해 문맥을 다시 확인할 수 있습니다.
출처 아카이브 열기아카이브된 블로그 글
서울재생치과의원 신촌본원 · 신촌 치아지킴희 전준희
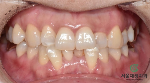
예전에 아래 앞니를 심하게 부딪힌 적 있어요. 지금 아프진 않아요. 약간의 부정교합이 있지만 보기 좋은 치아 배열입니다. 앞니 아래로 숨은 작은 아래 앞니가 조금 어두워보이는데... 다들 찾으셨나요? 찾았다! 왜 이 치아만 짙은 오렌지색으로 변색된걸까요?...
게시일
2024년 7월 17일
원문 기준으로 확인된 발행일입니다.
카테고리
준원장의 치과이야기
원문 블로그 카테고리를 정리해 함께 표시합니다.
이미지 수
13
현재 아카이브에 연결된 이미지 수입니다.
아카이브 요약
서울재생치과의원 신촌본원의 네이버 블로그 원문을 보존한 아카이브 페이지입니다. 준원장의 치과이야기 카테고리의 [치아미백] 예전에 부딪힌 앞니가 까맣게 변했어요. 신경이 죽은 치아를 하얗게 돌려놓기! (서울재생치과) 글을 통해 병원의 한국어 정보 제공 방식과 진료 관련 안내 톤을 확인할 수 있습니다.
원문 검증
필요하면 원문 블로그와 병원 프로필로 바로 이동해 문맥을 다시 확인할 수 있습니다.
출처 아카이브 열기![[치아미백] 예전에 부딪힌 앞니가 까맣게 변했어요. 신경이 죽은 치아를 하얗게 돌려놓기! (서울재생치과) 관련 이미지 1](https://pub-9f2bb3498faf4d1d8714b41df24753e3.r2.dev/content/clinics/archive/nqmm0udu86/naver_blog/honeybeevuvu/assets/by_hash/36a6653b0482bc9102c40ee67ed182c160e6114fc205eb0d5391b46a41debf62.jpg)
예전에 아래 앞니를
심하게 부딪힌 적 있어요.
지금 아프진 않아요.
![[치아미백] 예전에 부딪힌 앞니가 까맣게 변했어요. 신경이 죽은 치아를 하얗게 돌려놓기! (서울재생치과) 관련 이미지 2](https://pub-9f2bb3498faf4d1d8714b41df24753e3.r2.dev/content/clinics/archive/nqmm0udu86/naver_blog/honeybeevuvu/assets/by_hash/68674c62217a6d123c0e62846e51fd0a2e9b1fd0932c7c8a1cb2f7bc6585ed59.jpg)
약간의 부정교합이 있지만
보기 좋은 치아 배열입니다.
앞니 아래로 숨은
작은 아래 앞니가
조금 어두워보이는데...
다들 찾으셨나요?
![[치아미백] 예전에 부딪힌 앞니가 까맣게 변했어요. 신경이 죽은 치아를 하얗게 돌려놓기! (서울재생치과) 관련 이미지 3](https://pub-9f2bb3498faf4d1d8714b41df24753e3.r2.dev/content/clinics/archive/nqmm0udu86/naver_blog/honeybeevuvu/assets/by_hash/7c3a31791c51d4fdffd39d4734d6cac3dd8c2e09bc55c024c07933c26b26d8ad.jpg)
찾았다!
왜 이 치아만 짙은 오렌지색으로
변색된걸까요?
![[치아미백] 예전에 부딪힌 앞니가 까맣게 변했어요. 신경이 죽은 치아를 하얗게 돌려놓기! (서울재생치과) 관련 이미지 4](https://pub-9f2bb3498faf4d1d8714b41df24753e3.r2.dev/content/clinics/archive/nqmm0udu86/naver_blog/honeybeevuvu/assets/by_hash/2af6f4edd10f764de6ac06a6947816f68b868c5641db493ef9ee4554442d78b7.jpg)
원인은
치아신경의 괴사!!
아주 옛날에 겪은 부딪힘 사고로
치아 내의 신경이 수년에 걸쳐
서서히 죽을 수 있다는 사실,
알고 계셨나요?
![[치아미백] 예전에 부딪힌 앞니가 까맣게 변했어요. 신경이 죽은 치아를 하얗게 돌려놓기! (서울재생치과) 관련 이미지 5](https://pub-9f2bb3498faf4d1d8714b41df24753e3.r2.dev/content/clinics/archive/nqmm0udu86/naver_blog/honeybeevuvu/assets/by_hash/b15af8efa8e068a12c4c6f7c9fc78268adc27f1ac19b2de23f9c7b4544e9864c.jpg)
죽은 신경의 색깔은 위와 같이
진한 노란색오렌지회색조까지
다양하게 나타난답니다.
그렇다면 어떻게 치료 하나요?
신경 조직의 괴사 → 신경치료
치아 변색 → 전문가 미백치료
로 각각 해결하면 됩니다^^
신경치료를 먼저 시행해줍니다.
![[치아미백] 예전에 부딪힌 앞니가 까맣게 변했어요. 신경이 죽은 치아를 하얗게 돌려놓기! (서울재생치과) 관련 이미지 6](https://pub-9f2bb3498faf4d1d8714b41df24753e3.r2.dev/content/clinics/archive/nqmm0udu86/naver_blog/honeybeevuvu/assets/by_hash/664d8bf8646daf1cf433dfa0e763677509ff56396f15e0b979f34ef27d097aec.jpg)
뿌리 내에 있는 오염된 조직들을 제거하고,
깨끗하게 밀봉해주었습니다.
이제 미백을 시작할 차례!
![[치아미백] 예전에 부딪힌 앞니가 까맣게 변했어요. 신경이 죽은 치아를 하얗게 돌려놓기! (서울재생치과) 관련 이미지 7](https://pub-9f2bb3498faf4d1d8714b41df24753e3.r2.dev/content/clinics/archive/nqmm0udu86/naver_blog/honeybeevuvu/assets/by_hash/0f4f80ba89b1b2e40b41b285c49582d213210b0d86a877aca7cec285e797b805.jpg)
신경치료 약제 위로
뿌리를 보호하는 바닥재를 도포한 후,
변색이 일어난 머리 부위에
미백제를 채워줍니다.
임시충전재로 구멍을 매꿔주면 끝!
일주일 간격으로 두 세 번 미백제를
교체해주면 곧 하얀 치아로 돌아옵니다.
신경치료 후 시행하는 미백치료는
효과가 빠르고 오랜기간 안정적으로
유지된다는 특징이 있습니다^^
[미백치료 시작하는 날!]
![[치아미백] 예전에 부딪힌 앞니가 까맣게 변했어요. 신경이 죽은 치아를 하얗게 돌려놓기! (서울재생치과) 관련 이미지 8](https://pub-9f2bb3498faf4d1d8714b41df24753e3.r2.dev/content/clinics/archive/nqmm0udu86/naver_blog/honeybeevuvu/assets/by_hash/7c3a31791c51d4fdffd39d4734d6cac3dd8c2e09bc55c024c07933c26b26d8ad.jpg)
[미백치료 일주일 경과!]
![[치아미백] 예전에 부딪힌 앞니가 까맣게 변했어요. 신경이 죽은 치아를 하얗게 돌려놓기! (서울재생치과) 관련 이미지 9](https://pub-9f2bb3498faf4d1d8714b41df24753e3.r2.dev/content/clinics/archive/nqmm0udu86/naver_blog/honeybeevuvu/assets/by_hash/d29beb6769b73c7424adeff143270233b11550ba655b24b2d9a8f2ffa110455d.jpg)
[미백치료 이주일 경과!]
![[치아미백] 예전에 부딪힌 앞니가 까맣게 변했어요. 신경이 죽은 치아를 하얗게 돌려놓기! (서울재생치과) 관련 이미지 10](https://pub-9f2bb3498faf4d1d8714b41df24753e3.r2.dev/content/clinics/archive/nqmm0udu86/naver_blog/honeybeevuvu/assets/by_hash/2adf2b86f339fea209add91f59ebd9397ae71636e8c217dd487fd3b6b875dc6c.jpg)
한 번만 더 하면 옆 치아들보다
더 하얗게 변할 것 같군요^^
환자분과 상의 하에 여기서 마무리하기로
결정했습니다!
신경치료 후 미백치료(실활치미백)
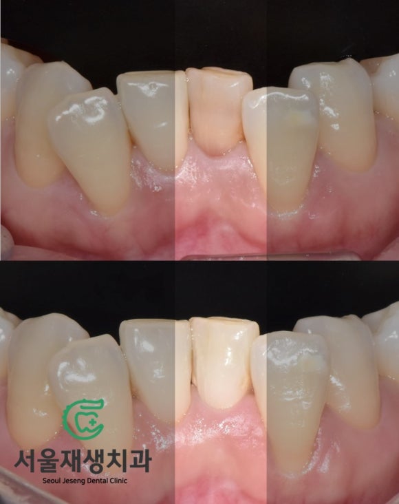
비포&애프터
![[치아미백] 예전에 부딪힌 앞니가 까맣게 변했어요. 신경이 죽은 치아를 하얗게 돌려놓기! (서울재생치과) 관련 이미지 11](https://pub-9f2bb3498faf4d1d8714b41df24753e3.r2.dev/content/clinics/archive/nqmm0udu86/naver_blog/honeybeevuvu/assets/by_hash/952f5d55b0c723d7c3af55773f211beb621882c01b82c41b40c66d7eb68abf17.jpg)
치료 전 사진과 비교하니
한층 더 드라마틱하지요?^^
서울재생치과 준원장의 권유로
긴가민가한 상태로 시작하셨는데,
만족스러운 결과를 얻으셔서
매우 기뻐하셨습니다^^
![[치아미백] 예전에 부딪힌 앞니가 까맣게 변했어요. 신경이 죽은 치아를 하얗게 돌려놓기! (서울재생치과) 관련 이미지 12](https://pub-9f2bb3498faf4d1d8714b41df24753e3.r2.dev/content/clinics/archive/nqmm0udu86/naver_blog/honeybeevuvu/assets/by_hash/240ef874c67960b73323b70f6d10e443f3bb6b464e8d1c4e7d9fa9a3cc95df26.jpg)
치아는 시간과 노력을 들이면
반드시 더 건강해지고 예뻐집니다.
그 길에 치과보존과 전문의
서울재생치과 전준희 원장이
함께 하겠습니다^^
신촌의 일등 치과,
서울재생치과 네이버 예약하기
신촌의 일등 치과,
서울재생치과 찾아오시는 길
비슷한 다른 사례 찾아보기
![[치아미백] 예전에 부딪힌 앞니가 까맣게 변했어요. 신경이 죽은 치아를 하얗게 돌려놓기! (서울재생치과) 관련 이미지 13](https://pub-9f2bb3498faf4d1d8714b41df24753e3.r2.dev/content/clinics/archive/nqmm0udu86/naver_blog/honeybeevuvu/assets/by_hash/bdf50fecb4b5b687e003bebbe4551b782165e9cf40f9153add616ba5058ce5ea.jpg)
#신촌치과
#서울재생치과
#실활치미백
#까맣게변색된치아
#치아미백
#신경이죽은치아
#치과보존과전문의