Seoul Jeseng Dental Korea - English
[치외치신경치료] 뿌리 끝 염증이 커서 발치해야된대요! 치아 머리에 볼~록! 알고보면 무서운 작은 혹 (서울재생치과)
소중한 내 치아를 오래 쓰는 첫 걸음, 치과보존과 전문의와의 만남입니다. 치과보존과전문의, 서울재생치과 전준희 대표원장 왼쪽 아래 작은 어금니가 붓고 아파요. 다른 치과에서는 빼라고 했어요! 30대 남성환자분 지인의 소개로 저희 서울재생치과를 찾아오신 30대...
아카이브 요약
이 페이지의 역할
Seoul Jeseng Dental Korea - English, French Speaking Dentist | 서울재생치과 - 임플란트 투명교정 신경치료의 네이버 블로그 원문을 보존한 아카이브 페이지입니다. 준원장의 치과이야기 카테고리의 [치외치신경치료] 뿌리 끝 염증이 커서 발치해야된대요! 치아 머리에 볼~록! 알고보면 무서운 작은 혹 (서울재생치과) 글을 통해 병원의 한국어 정보 제공 방식과 진료 관련 안내 톤을 확인할 수 있습니다.
![[치외치신경치료] 뿌리 끝 염증이 커서 발치해야된대요! 치아 머리에 볼~록! 알고보면 무서운 작은 혹 (서울재생치과) 관련 이미지 1](https://pub-9f2bb3498faf4d1d8714b41df24753e3.r2.dev/content/clinics/archive/nqmm0udu86/naver_blog/honeybeevuvu/assets/by_hash/4846b5401fccf28c0aab814e13ea9316d1f17e82e06e3679bfd39fb1736b4a9e.jpg)
![[치외치신경치료] 뿌리 끝 염증이 커서 발치해야된대요! 치아 머리에 볼~록! 알고보면 무서운 작은 혹 (서울재생치과) 관련 이미지 2](https://pub-9f2bb3498faf4d1d8714b41df24753e3.r2.dev/content/clinics/archive/nqmm0udu86/naver_blog/honeybeevuvu/assets/by_hash/a310402626d992ae73f79ff97756a49099c66da5285269e9a41f35f1307c3c0d.jpg)
소중한 내 치아를 오래 쓰는 첫 걸음,
치과보존과 전문의와의 만남입니다.
치과보존과전문의, 서울재생치과 전준희 대표원장
![[치외치신경치료] 뿌리 끝 염증이 커서 발치해야된대요! 치아 머리에 볼~록! 알고보면 무서운 작은 혹 (서울재생치과) 관련 이미지 3](https://pub-9f2bb3498faf4d1d8714b41df24753e3.r2.dev/content/clinics/archive/nqmm0udu86/naver_blog/honeybeevuvu/assets/by_hash/aa80baba825f2d43f1d3cb13e37b6f2dabf641f5fd591e7c4e79476cd750b5dd.png)
왼쪽 아래 작은 어금니가 붓고 아파요.
다른 치과에서는 빼라고 했어요!
30대 남성환자분
지인의 소개로 저희 서울재생치과를
찾아오신 30대 남성 환자분.
어느 날 갑자기 왼쪽 아래 작은 어금니가
붓고 아프더니,
다른 치과에 가니 이를 빼라는
청천벽력을 듣고 오셨다 합니다.
무엇이 문제였을까요?
입 안을 먼저 살펴보겠습니다!
![[치외치신경치료] 뿌리 끝 염증이 커서 발치해야된대요! 치아 머리에 볼~록! 알고보면 무서운 작은 혹 (서울재생치과) 관련 이미지 4](https://pub-9f2bb3498faf4d1d8714b41df24753e3.r2.dev/content/clinics/archive/nqmm0udu86/naver_blog/honeybeevuvu/assets/by_hash/ccb52f0242e83092b4ea1c867eef53f853d73c6047d8a328917ebfea2ac9829d.jpg)
아래 어금니 앞부분의
잇몸이 불룩~하게 솟아있네요.
구강카메라로 좀 더 가까이
들여다보겠습니다.
![[치외치신경치료] 뿌리 끝 염증이 커서 발치해야된대요! 치아 머리에 볼~록! 알고보면 무서운 작은 혹 (서울재생치과) 관련 이미지 5](https://pub-9f2bb3498faf4d1d8714b41df24753e3.r2.dev/content/clinics/archive/nqmm0udu86/naver_blog/honeybeevuvu/assets/by_hash/fca7a89c99526984d923d16313050bd8260e110c7ca186045c5517cf66fa06d0.jpg)
어금니 바로 앞에 있는
작은 어금니입니다.
잇몸이 퉁퉁부어있어요.
저 안에 고름이 가득 차 있을텐데...
많이 아프셨을 것 같습니다.
![[치외치신경치료] 뿌리 끝 염증이 커서 발치해야된대요! 치아 머리에 볼~록! 알고보면 무서운 작은 혹 (서울재생치과) 관련 이미지 6](https://pub-9f2bb3498faf4d1d8714b41df24753e3.r2.dev/content/clinics/archive/nqmm0udu86/naver_blog/honeybeevuvu/assets/by_hash/3a5601df67f0a0f90e1cb3aa92ba10ab7003ea5c5419ecb3aaae1f73f8b39b4f.jpg)
어..?
그런데 해당 치아 머리 위에
작게 솟은 혹이 보입니다.
저것은 무엇일까요?
알고보면 무서운 작은 혹, 치외치
![[치외치신경치료] 뿌리 끝 염증이 커서 발치해야된대요! 치아 머리에 볼~록! 알고보면 무서운 작은 혹 (서울재생치과) 관련 이미지 7](https://pub-9f2bb3498faf4d1d8714b41df24753e3.r2.dev/content/clinics/archive/nqmm0udu86/naver_blog/honeybeevuvu/assets/by_hash/6d0391e10d52111301aad8bbe201158ca6f8700c99542d6c83b94efcd8cae28f.jpg)
https://doi.org10.12968denu.2023.50.4.266
아래 송곳니와 어금니 사이의 치아
(=작은어금니)에서
자주 관찰할 수 있는 치외치는,
원래대로하면 편평하거나
오목하게 들어가 있어야 하는
치아 머리 한가운데에
볼록하게 솟아있는 작은 혹입니다.
![[치외치신경치료] 뿌리 끝 염증이 커서 발치해야된대요! 치아 머리에 볼~록! 알고보면 무서운 작은 혹 (서울재생치과) 관련 이미지 8](https://pub-9f2bb3498faf4d1d8714b41df24753e3.r2.dev/content/clinics/archive/nqmm0udu86/naver_blog/honeybeevuvu/assets/by_hash/4fbbe50de32d4f6305755bdcd954be217114d7fd8cdca3f2f3f5755888a54564.jpg)
https://doi.org10.12968denu.2023.50.4.266
대개 저 혹 부분이 얇고 뾰족하기 때문에
부러지거나 틈사이로 충치가 생기는
경우가 많은데요,
문제는
혹 아래에 다량의 신경과 혈관이
분포하고 있다는 점입니다.
시간이 지남에 따라 자연스럽게 마모되어,
하방에 있는 신경과 혈관이
자연스럽게 퇴축되기도 하지만,
오늘 소개드릴 환자분처럼
갑작스러운 신경염증이 발생하는
경우도 드물지 않습니다.
![[치외치신경치료] 뿌리 끝 염증이 커서 발치해야된대요! 치아 머리에 볼~록! 알고보면 무서운 작은 혹 (서울재생치과) 관련 이미지 9](https://pub-9f2bb3498faf4d1d8714b41df24753e3.r2.dev/content/clinics/archive/nqmm0udu86/naver_blog/honeybeevuvu/assets/by_hash/b7f83c0755975bb48bd8ae812f7df32d88ecda832e7ee340063d68a584214ee4.jpg)
이를 예방하기 위해
소아 환자의 구강 내에
치외치가 보이는 경우,
레진같이 치아에 접착하는 재료로
치외치를 보강하여
파절이나 충치를 방지하기도 합니다.
X-ray를 통해 뿌리 끝 염증을 관찰!
![[치외치신경치료] 뿌리 끝 염증이 커서 발치해야된대요! 치아 머리에 볼~록! 알고보면 무서운 작은 혹 (서울재생치과) 관련 이미지 10](https://pub-9f2bb3498faf4d1d8714b41df24753e3.r2.dev/content/clinics/archive/nqmm0udu86/naver_blog/honeybeevuvu/assets/by_hash/10f59e16229876a515c5aab5294ce63cd502d1050a2410575aae82bc50a5cedc.jpg)
치과 엑스레이 검사의 가장 기본이 되는
파노라마 엑스레이입니다.
조금만 더 확대해볼까요?
![[치외치신경치료] 뿌리 끝 염증이 커서 발치해야된대요! 치아 머리에 볼~록! 알고보면 무서운 작은 혹 (서울재생치과) 관련 이미지 11](https://pub-9f2bb3498faf4d1d8714b41df24753e3.r2.dev/content/clinics/archive/nqmm0udu86/naver_blog/honeybeevuvu/assets/by_hash/7f5faaa71c7684e360752df8620c74f0f6416559dc3e7d4c32e5f10f79f44df5.jpg)
아하...
아래 어금니 앞에 있는
작은 어금니의 뿌리 주위로
심상치 않은 기운이 느껴집니다.
![[치외치신경치료] 뿌리 끝 염증이 커서 발치해야된대요! 치아 머리에 볼~록! 알고보면 무서운 작은 혹 (서울재생치과) 관련 이미지 12](https://pub-9f2bb3498faf4d1d8714b41df24753e3.r2.dev/content/clinics/archive/nqmm0udu86/naver_blog/honeybeevuvu/assets/by_hash/d9165ef2b2fa57c1c71cddfbb8a791e8a8dfa368a13539ce3b5028aab989a652.jpg)
뼈를 광범위하게 녹이고 있는
뿌리 끝 염증!!
치아 신경은 이미 감염되었고,
감염 부산물들이 뿌리 끝에 나있는
작은 구멍을 통해 배출되다보니
뼈까지 손상을 시키게 된 것이죠...
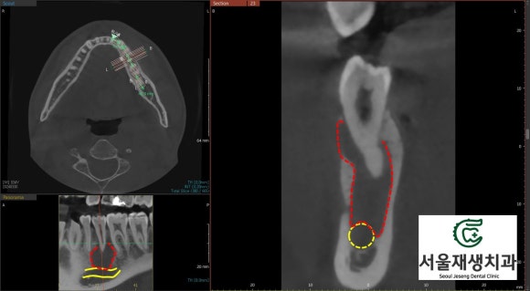
CT의 도움이 필요한 순간!
![[치외치신경치료] 뿌리 끝 염증이 커서 발치해야된대요! 치아 머리에 볼~록! 알고보면 무서운 작은 혹 (서울재생치과) 관련 이미지 13](https://pub-9f2bb3498faf4d1d8714b41df24753e3.r2.dev/content/clinics/archive/nqmm0udu86/naver_blog/honeybeevuvu/assets/by_hash/7982d46f8392fd0a45b45ff83820f0c5cfe012543d06151e9e8c3ed314e6f903.jpg)
U자형의 잇몸뼈 내부가
텅~텅 비어있습니다.
광범위한 염증 때문에
뼈가 모두 녹아버렸군요.
![[치외치신경치료] 뿌리 끝 염증이 커서 발치해야된대요! 치아 머리에 볼~록! 알고보면 무서운 작은 혹 (서울재생치과) 관련 이미지 14](https://pub-9f2bb3498faf4d1d8714b41df24753e3.r2.dev/content/clinics/archive/nqmm0udu86/naver_blog/honeybeevuvu/assets/by_hash/f698ab08a769f77f70e1ab2e4b7243c4a5a755c566e6d8d8e637096050cf8d32.jpg)
내부의 뼈가 다 녹은 것도 모자라
단단한 테두리뼈도 일부 녹이고 있습니다.
그 결과,
잇몸쪽으로 불거져나오는
잇몸염증이 발생하게 되었습니다.
![[치외치신경치료] 뿌리 끝 염증이 커서 발치해야된대요! 치아 머리에 볼~록! 알고보면 무서운 작은 혹 (서울재생치과) 관련 이미지 15](https://pub-9f2bb3498faf4d1d8714b41df24753e3.r2.dev/content/clinics/archive/nqmm0udu86/naver_blog/honeybeevuvu/assets/by_hash/d4e0dece32d30b1b6ab0b453c776a0a04ffa7773279134518fb6282492056c5c.jpg)
더군다나, 염증의 하방에는
턱을 지나가는 가장 큰 신경인
'하치조신경관'이 있어,
언제라도 '감각이상'이 일어날 수 있는
상황이었죠.
조금만 더 늦었어도 큰 일 나실 뻔 했습니다.
뿌리 끝 염증치료는 곧 신경치료!
서둘러야합니다!
어서 신경치료를 시작해봅니다.
![[치외치신경치료] 뿌리 끝 염증이 커서 발치해야된대요! 치아 머리에 볼~록! 알고보면 무서운 작은 혹 (서울재생치과) 관련 이미지 16](https://pub-9f2bb3498faf4d1d8714b41df24753e3.r2.dev/content/clinics/archive/nqmm0udu86/naver_blog/honeybeevuvu/assets/by_hash/fd27079b6f44887d979d23c1b355e9768840598a1f02010ad4c555fd56f86dfb.jpg)
치아 머리 한 가운데에
작은 구멍을 뚫어 신경관으로의
접근을 시도합니다.
역시나 까맣게 죽어있는 신경들...
뿌리 내부를 박박 긁어내고
소독연고를 도포하였습니다.
치료 두번째 날
"붓기 사라지고 아프지 않아요"
![[치외치신경치료] 뿌리 끝 염증이 커서 발치해야된대요! 치아 머리에 볼~록! 알고보면 무서운 작은 혹 (서울재생치과) 관련 이미지 17](https://pub-9f2bb3498faf4d1d8714b41df24753e3.r2.dev/content/clinics/archive/nqmm0udu86/naver_blog/honeybeevuvu/assets/by_hash/8f68190d8758972683c1368a601eec7060edceca80b68f00a3a5864a150ebf15.jpg)
첫 날 부어있던 잇몸의 모습은 온데간데~
치료가 시작되니
붓기가 즉각적으로 사라지고
통증도 사라졌습니다.
하지만 여기서 만족해서는 안됩니다.
최소 한 달에서 3개월은 지켜보면서
뼈가 새롭게 재생되는 것을
확인해주어야
비로소 마음 편히 신경치료를
마무리지을 수 있지요^^
치료 세번째 날
"이제 자주 오실 필요 없습니다."
![[치외치신경치료] 뿌리 끝 염증이 커서 발치해야된대요! 치아 머리에 볼~록! 알고보면 무서운 작은 혹 (서울재생치과) 관련 이미지 18](https://pub-9f2bb3498faf4d1d8714b41df24753e3.r2.dev/content/clinics/archive/nqmm0udu86/naver_blog/honeybeevuvu/assets/by_hash/3e2538b378aca1422431478d9c137d50410dca443e1b467f514b17ff66826df9.jpg)
붓기와 통증이 사라지고 나면,
서울재생치과 준원장은 대개 한 달 간격으로
치아 내부를 소독해줍니다.
오실 때 마다 엑스레이를 촬영하여
뼈가 잘 재생되고 있는지 확인합니다.
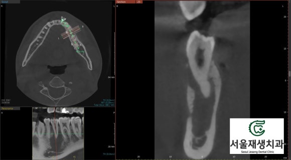
치료 시작하고 두 달 남짓 지났을 무렵...
신경치료를 시작하고 한 두 달 정도 지나면,
CT를 통해서 뼈의 재생 여부를
관찰할 수 있습니다.
이 환자분은 두 달 정도 되었는데요,
한 번 CT를 찍어볼까요?
![[치외치신경치료] 뿌리 끝 염증이 커서 발치해야된대요! 치아 머리에 볼~록! 알고보면 무서운 작은 혹 (서울재생치과) 관련 이미지 19](https://pub-9f2bb3498faf4d1d8714b41df24753e3.r2.dev/content/clinics/archive/nqmm0udu86/naver_blog/honeybeevuvu/assets/by_hash/06f6bb597a645324562c2dcd3b7ed8416d8442eea8b2f1a2295f2e40049af2c4.jpg)
꽤나 드라마틱한 변화!!!
잘 모르시겠다구요?
![[치외치신경치료] 뿌리 끝 염증이 커서 발치해야된대요! 치아 머리에 볼~록! 알고보면 무서운 작은 혹 (서울재생치과) 관련 이미지 20](https://pub-9f2bb3498faf4d1d8714b41df24753e3.r2.dev/content/clinics/archive/nqmm0udu86/naver_blog/honeybeevuvu/assets/by_hash/3ee73b4a70f6df6e42f4c25d24593391de91da23d380daed9f89783da5d8f5bd.jpg)
노란색으로 표시된 부위가
새로이 뼈가 재생된 공간입니다.
신생골은 아직 석회화가 부족해서
초기엔 옅은 회색으로 보인답니다.
이정도면 아주 충분합니다!
다음 달에 치료를 마무리합시다~^^
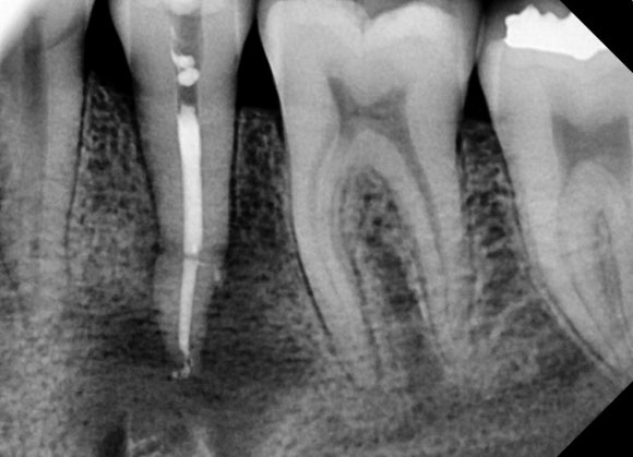
신경치료 마무리, 레진으로 구멍 매꾸기
![[치외치신경치료] 뿌리 끝 염증이 커서 발치해야된대요! 치아 머리에 볼~록! 알고보면 무서운 작은 혹 (서울재생치과) 관련 이미지 21](https://pub-9f2bb3498faf4d1d8714b41df24753e3.r2.dev/content/clinics/archive/nqmm0udu86/naver_blog/honeybeevuvu/assets/by_hash/1ae04054a21cf0510f43e67a36f4d45f3e77db7ec9a2c69c395cae91bb540e22.jpg)
깨끗하게 신경치료를 마무리합니다.
신경치료를 마무리한다는 것은,
신경치료용 특수 약제를
뿌리 속 빈공간에 넣어 밀봉해주는 것을
뜻합니다.
![[치외치신경치료] 뿌리 끝 염증이 커서 발치해야된대요! 치아 머리에 볼~록! 알고보면 무서운 작은 혹 (서울재생치과) 관련 이미지 22](https://pub-9f2bb3498faf4d1d8714b41df24753e3.r2.dev/content/clinics/archive/nqmm0udu86/naver_blog/honeybeevuvu/assets/by_hash/4b753b7f538ee048c5a3bcbf74e6ac9f2543409db0f41284be473927cee246e4.jpg)
뿌리 끝까지 깨끗하게 밀봉되었습니다.
![[치외치신경치료] 뿌리 끝 염증이 커서 발치해야된대요! 치아 머리에 볼~록! 알고보면 무서운 작은 혹 (서울재생치과) 관련 이미지 23](https://pub-9f2bb3498faf4d1d8714b41df24753e3.r2.dev/content/clinics/archive/nqmm0udu86/naver_blog/honeybeevuvu/assets/by_hash/4369335606deb491853f4df7082f991c89141c675f9c8c4d0a322a987fd9bb9d.jpg)
이 치아의 경우
큰 파절이나 충치가 없었기 때문에,
신경치료를 할 때 형성했던 작은 구멍을
레진으로 매꿔주는 것으로 충분합니다.
(본래 치아 상태에 따라 크라운이 필요한
경우도 있습니다^^)
3개월 남짓한 긴 치료 기간동안
꾸준히 내원하시어
치료에 협조해주신 환자분께
감사드립니다.
신촌의 일등치과,
서울재생치과 네이버 예약하기
신촌의 일등치과,
서울재생치과 찾아오시는 길
신촌역 1,2번 출구
올리브영 3층입니다.
![[치외치신경치료] 뿌리 끝 염증이 커서 발치해야된대요! 치아 머리에 볼~록! 알고보면 무서운 작은 혹 (서울재생치과) 관련 이미지 24](https://pub-9f2bb3498faf4d1d8714b41df24753e3.r2.dev/content/clinics/archive/nqmm0udu86/naver_blog/honeybeevuvu/assets/by_hash/2295e3e016fba4678a4a4bbd6c7ace50bb71832885d67a883d166fd322859fb2.jpg)
#치외치치료
#자연치아살리기
#치과보존과전문의
#신촌치과
#신촌서울재생치과
더 보기
이 병원의 공개 콘텐츠를 계속 살펴보세요
출처 아카이브로 돌아가 더 많은 글을 보거나, 병원 프로필로 이동해 다른 공개 채널도 함께 비교해보세요.