![[재신경치료] 예전에 신경치료 받은 치아....치근단 절제술이나 발치를 해야 한다는데요?! (신촌 서울재생치과) 관련 이미지 1](https://pub-9f2bb3498faf4d1d8714b41df24753e3.r2.dev/content/clinics/archive/nqmm0udu86/naver_blog/honeybeevuvu/assets/by_hash/18c736c7cdce32da46e6a756ee394cafb6a7feb0352851832d67c68fec25d115.jpg)
![[재신경치료] 예전에 신경치료 받은 치아....치근단 절제술이나 발치를 해야 한다는데요?! (신촌 서울재생치과) 관련 이미지 2](https://pub-9f2bb3498faf4d1d8714b41df24753e3.r2.dev/content/clinics/archive/nqmm0udu86/naver_blog/honeybeevuvu/assets/by_hash/9da05b55a5ccce5653efd4fa9a5a57be30d9580ab917405cd5f9088ee8f7c0f5.jpg)
신촌 서울재생치과는
재신경치료, 임플란트재수술,
실패한 보철물의 재제작 등
재치료 전문 치과입니다.
치과보존과 전문의 전준희 대표원장
![[재신경치료] 예전에 신경치료 받은 치아....치근단 절제술이나 발치를 해야 한다는데요?! (신촌 서울재생치과) 관련 이미지 3](https://pub-9f2bb3498faf4d1d8714b41df24753e3.r2.dev/content/clinics/archive/nqmm0udu86/naver_blog/honeybeevuvu/assets/by_hash/240ef874c67960b73323b70f6d10e443f3bb6b464e8d1c4e7d9fa9a3cc95df26.jpg)
| 서울재생치과 전준희 대표원장 약력 |
|---|
| 서울대학교 치의학과 졸업서울대학교 치과병원 인턴 및 치과보존과 레지던트보건복지부 인증 치과보존과 전문의서울대학교 치과보존과 박사(현) 서울대학교 치과대학 외래교수(현) 서울재생치과 대표원장 |
안녕하세요,
어디가 불편해서 오셨나요?
예전에 신경치료한 치아인데..
수술이나 발치를 해야 한대요ㅠ
수술 없이 해결하는
방법은 없나요?
30대 여자 환자분
재신경치료 전문치과,
서울재생치과에 잘 오셨습니다^^
기본 영상 검사부터 해볼까요?
![[재신경치료] 예전에 신경치료 받은 치아....치근단 절제술이나 발치를 해야 한다는데요?! (신촌 서울재생치과) 관련 이미지 4](https://pub-9f2bb3498faf4d1d8714b41df24753e3.r2.dev/content/clinics/archive/nqmm0udu86/naver_blog/honeybeevuvu/assets/by_hash/98ea5506942cde63ab12f173c621bc83ec461bd4be14f2d5c68097402c732068.jpg)
전반적인 구강상태 및
원인치아 파악에 필수적인
파노라마 엑스레이를 촬영해봅니다.
사진상으로 우측 하단의 어금니가
심상치 않습니다!
(실제로는 좌측 어금니입니다)
뿌리를 둘러싼 검은 그림자가 보이네요.
엑스레이 영상에서 검은색은
비어있는 공간을 의미합니다.
뼈로 가득차있어야 하는데
왜 비어있을까요?
확대하여 촬영해보겠습니다.
![[재신경치료] 예전에 신경치료 받은 치아....치근단 절제술이나 발치를 해야 한다는데요?! (신촌 서울재생치과) 관련 이미지 5](https://pub-9f2bb3498faf4d1d8714b41df24753e3.r2.dev/content/clinics/archive/nqmm0udu86/naver_blog/honeybeevuvu/assets/by_hash/daefeb6b4ed1c10a9b9ee5de4dd1bb3e8c585a8472f44b9c4472e7e6a6a5b1fa.jpg)
치아 뿌리 끝에서 시작된 염증이
주위의 뼈를 녹이고 있습니다.
아하,
뿌리끝 주위로
까맣게 보이는 빈공간은
다름 아닌
염증으로 인해
뼈가 흡수된 공간이로군요!
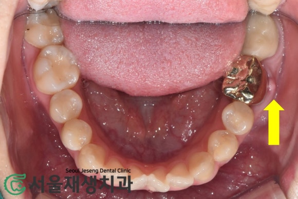
원인 치아를 만나보겠습니다.
![[재신경치료] 예전에 신경치료 받은 치아....치근단 절제술이나 발치를 해야 한다는데요?! (신촌 서울재생치과) 관련 이미지 6](https://pub-9f2bb3498faf4d1d8714b41df24753e3.r2.dev/content/clinics/archive/nqmm0udu86/naver_blog/honeybeevuvu/assets/by_hash/d774df63d415b6608d382ac75bebd80c2c781af11a4111561bb5af04664855d5.jpg)
잇몸에 볼록~
염증 주머니가 달린 것을
확인할 수 있습니다.
하방의 잇몸뼈가 녹아서
여드름처럼 잇몸으로
튀어나온 염증 주머니로군요!
![[재신경치료] 예전에 신경치료 받은 치아....치근단 절제술이나 발치를 해야 한다는데요?! (신촌 서울재생치과) 관련 이미지 7](https://pub-9f2bb3498faf4d1d8714b41df24753e3.r2.dev/content/clinics/archive/nqmm0udu86/naver_blog/honeybeevuvu/assets/by_hash/1c4d7f9fba5d05d7454ed6a4a2ec26cc126339520e57ae47596a1d5cbe663baa.jpg)
위에서 보니 더욱 확연합니다.
여드름이 나왔다는 것은
염증의 사이즈가 상당하다는 뜻입니다.
반면 내부 압력은 해소되어
통증은 없는 상태지요.
봉긋 올라왔다 터지기를 반복하는
잇몸 여드름,
통증이 없다고 방치하지 마시고
꼭 치과보존과 전문의의
검사를 받으시길 권합니다!
치과보존과 전문의 서울재생치과 전준희 대표원장
재신경치료를 시작해봅니다.
뿌리 끝 염증은 신경치료로 다스립니다.
이미 신경치료가 된 치아라면
재신경치료를 해주면 됩니다!
서울재생치과는
미세현미경 등의
대학병원급 최신 장치를
재신경치료 전문치과입니다.
치과보존과 전문의 서울재생치과 전준희 대표원장
![[재신경치료] 예전에 신경치료 받은 치아....치근단 절제술이나 발치를 해야 한다는데요?! (신촌 서울재생치과) 관련 이미지 8](https://pub-9f2bb3498faf4d1d8714b41df24753e3.r2.dev/content/clinics/archive/nqmm0udu86/naver_blog/honeybeevuvu/assets/by_hash/9622d61ef90ce50f09bedc0acd2a1709f7b98e1d47a20fde580415b2e30e1e8e.jpg)
치아 내부의 오염된 재료와
염증물질이 제거되면
잇몸의 뾰루지는 즉시 사라집니다.
재신경치료가 성공적으로
진행되는 경우,즉각적으로
잇몸의 뾰루지가 사라집니다.
치과보존과 전문의 서울재생치과 전준희 대표원장
주기적인 뿌리 청소와 소독으로
치근단염증이 줄어드는 중입니다.
=뼈가 재생되는 중입니다!
![[재신경치료] 예전에 신경치료 받은 치아....치근단 절제술이나 발치를 해야 한다는데요?! (신촌 서울재생치과) 관련 이미지 9](https://pub-9f2bb3498faf4d1d8714b41df24753e3.r2.dev/content/clinics/archive/nqmm0udu86/naver_blog/honeybeevuvu/assets/by_hash/57802acd489d8607a469b39349d9893d3bec375313d9e03f0d2653e996fb86cf.jpg)
![[재신경치료] 예전에 신경치료 받은 치아....치근단 절제술이나 발치를 해야 한다는데요?! (신촌 서울재생치과) 관련 이미지 10](https://pub-9f2bb3498faf4d1d8714b41df24753e3.r2.dev/content/clinics/archive/nqmm0udu86/naver_blog/honeybeevuvu/assets/by_hash/285079767d3b618984ce74af40f3993e9cd48ca7af8936dff02b8f4d5142ae93.jpg)
![[재신경치료] 예전에 신경치료 받은 치아....치근단 절제술이나 발치를 해야 한다는데요?! (신촌 서울재생치과) 관련 이미지 11](https://pub-9f2bb3498faf4d1d8714b41df24753e3.r2.dev/content/clinics/archive/nqmm0udu86/naver_blog/honeybeevuvu/assets/by_hash/e1d9f003ccb1ad0757694b01b42261c915b69be99866f5b3380497b8ba3f99ab.jpg)
![[재신경치료] 예전에 신경치료 받은 치아....치근단 절제술이나 발치를 해야 한다는데요?! (신촌 서울재생치과) 관련 이미지 12](https://pub-9f2bb3498faf4d1d8714b41df24753e3.r2.dev/content/clinics/archive/nqmm0udu86/naver_blog/honeybeevuvu/assets/by_hash/b79f8fdb96eac43b8fc2368355f45ec24f02797587cbc68ff91adc654955ee73.jpg)
시간이 지날수록
뿌리 끝에 달려있던
까만 주머니의 크기가
감소합니다!
염증 주머니가 작아지는 것은
골조직의 재생을 의미합니다^^
치과보존과 전문의 서울재생치과 전준희 대표원장
치료 전 후 사진
![[재신경치료] 예전에 신경치료 받은 치아....치근단 절제술이나 발치를 해야 한다는데요?! (신촌 서울재생치과) 관련 이미지 13](https://pub-9f2bb3498faf4d1d8714b41df24753e3.r2.dev/content/clinics/archive/nqmm0udu86/naver_blog/honeybeevuvu/assets/by_hash/22e8377473268a48b3b3b34c207879abcd13c0e73e768e12b279c0ad4993637e.jpg)
뿌리 끝까지
꼼꼼하게 치료되었습니다!
(재)신경치료의 마지막 단계,
튼튼한 크라운 씌워서 치아 보호하기
![[재신경치료] 예전에 신경치료 받은 치아....치근단 절제술이나 발치를 해야 한다는데요?! (신촌 서울재생치과) 관련 이미지 14](https://pub-9f2bb3498faf4d1d8714b41df24753e3.r2.dev/content/clinics/archive/nqmm0udu86/naver_blog/honeybeevuvu/assets/by_hash/0e64004e60fc2b6d198012261451bd0b2528efaf6914ba732bee46c49d5a6548.jpg)
젊은 나이의 여성 환자분이셨지만,
잘 보이지 않는 어금니 부위라서
금 크라운을 선택하셨습니다.
금은 오랫동안 안정적으로
구강내에 존재할 수 있는
아주 훌륭한 치과재료입니다.
(저 또한 어금니를 치료할 일이
생긴다면 가급적 금을 선택하고
싶을 정도입니다^^;;)
늘 밝은 미소와 긍정적인 자세로
치료에 임해주신 모습이
기억에 남습니다.
3개월이라는 긴 기간동안
치료에 적극 협조해주신 환자분께
진심으로 감사드립니다.
신촌의 일등치과,
서울재생치과 네이버 예약하기
신촌의 일등치과,
서울재생치과 찾아오시는 길
신촌역 1,2번 출구
올리브영 3층입니다.
![[재신경치료] 예전에 신경치료 받은 치아....치근단 절제술이나 발치를 해야 한다는데요?! (신촌 서울재생치과) 관련 이미지 15](https://pub-9f2bb3498faf4d1d8714b41df24753e3.r2.dev/content/clinics/archive/nqmm0udu86/naver_blog/honeybeevuvu/assets/by_hash/2295e3e016fba4678a4a4bbd6c7ace50bb71832885d67a883d166fd322859fb2.jpg)
#재신경치료
#미세현미경
#현미경신경치료
#자연치아살리기
#치과보존과전문의
#신촌치과
#신촌서울재생치과