아카이브 요약
이 페이지의 역할
서울재생치과의원 신촌본원의 네이버 블로그 원문을 보존한 아카이브 페이지입니다. 준원장의 치과이야기 카테고리의 [재신경치료] 치과 종사자도 찾아오는 신경치료 전문치과, 서울재생치과! 글을 통해 병원의 한국어 정보 제공 방식과 진료 관련 안내 톤을 확인할 수 있습니다.
원문 검증
필요하면 원문 블로그와 병원 프로필로 바로 이동해 문맥을 다시 확인할 수 있습니다.
출처 아카이브 열기아카이브된 블로그 글
서울재생치과의원 신촌본원 · 신촌 치아지킴희 전준희
신촌 서울재생치과는 재신경치료, 임플란트재수술, 실패한 보철물의 재제작 등 재치료 전문 치과입니다. 치과보존과 전문의 전준희 대표원장 안녕하세요, 서울재생치과 준원장입니다. 서울재생치과 전준희 대표원장 약력 --- 서울대학교 치의학과 졸업서울대학교 치과병원 인턴 및 치과보존과 레지던트보건복지부 인증 치과보존과...
게시일
2024년 10월 4일
원문 기준으로 확인된 발행일입니다.
카테고리
준원장의 치과이야기
원문 블로그 카테고리를 정리해 함께 표시합니다.
이미지 수
14
현재 아카이브에 연결된 이미지 수입니다.
아카이브 요약
서울재생치과의원 신촌본원의 네이버 블로그 원문을 보존한 아카이브 페이지입니다. 준원장의 치과이야기 카테고리의 [재신경치료] 치과 종사자도 찾아오는 신경치료 전문치과, 서울재생치과! 글을 통해 병원의 한국어 정보 제공 방식과 진료 관련 안내 톤을 확인할 수 있습니다.
원문 검증
필요하면 원문 블로그와 병원 프로필로 바로 이동해 문맥을 다시 확인할 수 있습니다.
출처 아카이브 열기![[재신경치료] 치과 종사자도 찾아오는 신경치료 전문치과, 서울재생치과! 관련 이미지 1](https://pub-9f2bb3498faf4d1d8714b41df24753e3.r2.dev/content/clinics/archive/nqmm0udu86/naver_blog/honeybeevuvu/assets/by_hash/a8035a5bdd3e455f6ca0a63ebb6fe75a1743d816bbbfc49478a2e9620570f8a2.jpg)
신촌 서울재생치과는
재신경치료, 임플란트재수술,
실패한 보철물의 재제작 등
재치료 전문 치과입니다.
치과보존과 전문의 전준희 대표원장
안녕하세요,
서울재생치과 준원장입니다.
![[재신경치료] 치과 종사자도 찾아오는 신경치료 전문치과, 서울재생치과! 관련 이미지 2](https://pub-9f2bb3498faf4d1d8714b41df24753e3.r2.dev/content/clinics/archive/nqmm0udu86/naver_blog/honeybeevuvu/assets/by_hash/a4a0bdf7aee9e558136c84e0972c2086ee23646ffbaeffd97b693648d791af76.jpg)
| 서울재생치과 전준희 대표원장 약력 |
|---|
| 서울대학교 치의학과 졸업서울대학교 치과병원 인턴 및 치과보존과 레지던트보건복지부 인증 치과보존과 전문의서울대학교 치과보존과 박사(현) 서울대학교 치과대학 외래교수(현) 서울재생치과 대표원장 |
어디가 불편하신가요?
왼쪽 아래 어금니를
예전에 신경치료 했는데,
찬 것 뜨거운 것에 아파요!
20대 치과종사자 ㅇㅅㅂ님
술전 검사를 진행합니다.
어떤 치아에 어떤 치료가 필요한지
정확히 파악하기 위해
다양한 술전 검사를 진행합니다.
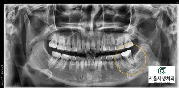
![[재신경치료] 치과 종사자도 찾아오는 신경치료 전문치과, 서울재생치과! 관련 이미지 3](https://pub-9f2bb3498faf4d1d8714b41df24753e3.r2.dev/content/clinics/archive/nqmm0udu86/naver_blog/honeybeevuvu/assets/by_hash/c58964d37c3f7f1b53b34b55bea82f7a30383886e058a3961867d5d2acbbfa90.jpg)
파노라마 엑스레이를
찍어보았습니다.
왼쪽 아래 어금니에
(사진 상 오른쪽입니다.)
신경치료를 받은 흔적과 동시에
뿌리 끝에 매달려 있는
염증 주머니가 관찰됩니다.
![[재신경치료] 치과 종사자도 찾아오는 신경치료 전문치과, 서울재생치과! 관련 이미지 4](https://pub-9f2bb3498faf4d1d8714b41df24753e3.r2.dev/content/clinics/archive/nqmm0udu86/naver_blog/honeybeevuvu/assets/by_hash/4de8dd9324f15fef8f677452fe23627012438800fc08b8d90fe181d255aef123.jpg)
추가 촬영을 통해
해당 치아의 상태를
보다 면밀히 파악할 수 있습니다.
치아 내부의 잔존 조직들이
시간이 지남에 따라 부패하여
뿌리 끝에 나있는 작은 구멍
(=치근단공)을 향해
염증 물질을 내뿜습니다.
그 결과,
뿌리 끝을 중심으로 하는
동그란 염증주머니가
생기는 것이죠.
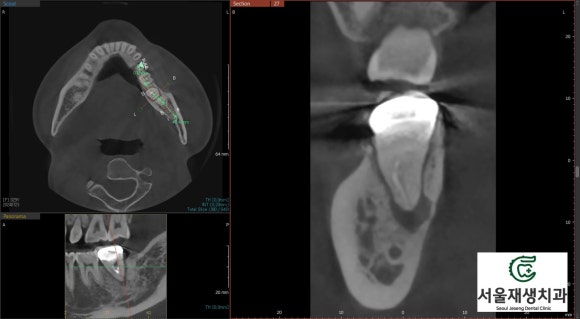
![[재신경치료] 치과 종사자도 찾아오는 신경치료 전문치과, 서울재생치과! 관련 이미지 5](https://pub-9f2bb3498faf4d1d8714b41df24753e3.r2.dev/content/clinics/archive/nqmm0udu86/naver_blog/honeybeevuvu/assets/by_hash/3650d1d6a48a8f2b347cbecb93a41e72cf640d36b8aafdf8026fc1c24c8b3bdc.jpg)
CT를 촬영하여
턱뼈나 신경과의 관계를 파악합니다.
다행히 해당 치아의 염증이
신경관과는 거리가 있으나,
크기가 상당히 커져서
남아있는 뼈의 두께가
아슬아슬하게 보입니다.
조속한 치료가 필요한 상태입니다.
![[재신경치료] 치과 종사자도 찾아오는 신경치료 전문치과, 서울재생치과! 관련 이미지 6](https://pub-9f2bb3498faf4d1d8714b41df24753e3.r2.dev/content/clinics/archive/nqmm0udu86/naver_blog/honeybeevuvu/assets/by_hash/2113c16197b5b2d03015d0d2b536511a171ad8b5013f826bf56936255a62ebb7.jpg)
구강 사진을 촬영하여
환자분들과 원활히 소통합니다.
과거에 금니를 만들어 붙이신 이후
갑자기 치아 통증이 시작되어
금니에 구멍을 내고
신경치료를 하셨다고 합니다.
그러나,
만족스러운 신경치료를 위해서는
상부의 크라운을 제거하는 것이
필수입니다!
크라운에 의해
중요한 해부학적 구조물들로의
접근이 방해될 수 있기 때문입니다.
재신경치료를 시작해보겠습니다.
![[재신경치료] 치과 종사자도 찾아오는 신경치료 전문치과, 서울재생치과! 관련 이미지 7](https://pub-9f2bb3498faf4d1d8714b41df24753e3.r2.dev/content/clinics/archive/nqmm0udu86/naver_blog/honeybeevuvu/assets/by_hash/926ae4bf2d8c385528a0d08cbb2f3be3b0b6075f11f4b347d56c365bbce58fec.jpg)
치아 머리에 있던
크라운과 각종 때운 재료들을
모두 제거합니다.
이후, 뿌리에 남아있는
이전 신경치료 재료들,
잔존 감염조직들을 모두
깨끗하게 청소합니다.
마지막으로
소독약제를 도포합니다.
위 엑스레이 사진에서
뿌리 끝까지
약제가 들어간 것을
확인할 수 있습니다.
한 달 경과 후....
![[재신경치료] 치과 종사자도 찾아오는 신경치료 전문치과, 서울재생치과! 관련 이미지 8](https://pub-9f2bb3498faf4d1d8714b41df24753e3.r2.dev/content/clinics/archive/nqmm0udu86/naver_blog/honeybeevuvu/assets/by_hash/7124fb74c189ac2fcce97540b72166da199b64ae514521558736a52b7d5f2ee5.jpg)
주기적인 소독과 청소로
뿌리 끝에 매달려있던
염증 주머니의 사이즈가
현격히 감소했습니다!
CT를 촬영해서 경과를 관찰해봅니다.
![[재신경치료] 치과 종사자도 찾아오는 신경치료 전문치과, 서울재생치과! 관련 이미지 9](https://pub-9f2bb3498faf4d1d8714b41df24753e3.r2.dev/content/clinics/archive/nqmm0udu86/naver_blog/honeybeevuvu/assets/by_hash/b8f698e1730c5fa9b1d8a52c14d888b14479b0474a95205368242b89891e4a3a.jpg)
뿌리 끝 염증의 사이즈가 1/4 정도로
크게 감소한 것을 볼 수 있습니다.
이정도면 충분합니다.
나머지 빈공간은
수개월~수년에 걸쳐 내 몸이
천천히 채워나갈겁니다^^
뿌리 치료를 마무리합니다.
(=신경치료)
![[재신경치료] 치과 종사자도 찾아오는 신경치료 전문치과, 서울재생치과! 관련 이미지 10](https://pub-9f2bb3498faf4d1d8714b41df24753e3.r2.dev/content/clinics/archive/nqmm0udu86/naver_blog/honeybeevuvu/assets/by_hash/51d4c291f1ce9ea854b9b2719d469439b73a6640af17448bb7c6a4adc2d4bbbf.jpg)
공들여서
뿌리 속 빈공간을
치과용 재료로 밀봉합니다.
![[재신경치료] 치과 종사자도 찾아오는 신경치료 전문치과, 서울재생치과! 관련 이미지 11](https://pub-9f2bb3498faf4d1d8714b41df24753e3.r2.dev/content/clinics/archive/nqmm0udu86/naver_blog/honeybeevuvu/assets/by_hash/934cc0188b21dfb7b76dbe63e499336779718a99c8274199686abf66a2968a80.jpg)
치료 전 후 사진을 비교해볼까요?
뿌리 속은 더욱 철저히 청소되었고,
뿌리 끝의 염증의 크기 또한
크게 감소했습니다.
신경치료의 완벽한 마무리는 언제나...
튼튼한 크라운!
![[재신경치료] 치과 종사자도 찾아오는 신경치료 전문치과, 서울재생치과! 관련 이미지 12](https://pub-9f2bb3498faf4d1d8714b41df24753e3.r2.dev/content/clinics/archive/nqmm0udu86/naver_blog/honeybeevuvu/assets/by_hash/5af00c25697ee066c2333dbe817d5c56e8bd30f73d3659bdbde70c04cb378aaa.jpg)
뿌리는 해결되었으니,
이제 머리를 튼튼하게 씌워봅니다.
어금니의 저작력을 견디며
재감염을 방지하기 위해서는
신경치료 후 크라운이 필수입니다.
치과에서 오래 근무하셔서인지
치료과정을 너무 잘 이해하시고^^
치료에 적극 협조해주셔서
감사했습니다.
ㅇㅅㅂ님의 치아건강과
행복한 일상을
서울재생치과가 응원하겠습니다^^
어려울수록 더욱 자신있는 치과,
서울재생치과입니다.
![[재신경치료] 치과 종사자도 찾아오는 신경치료 전문치과, 서울재생치과! 관련 이미지 13](https://pub-9f2bb3498faf4d1d8714b41df24753e3.r2.dev/content/clinics/archive/nqmm0udu86/naver_blog/honeybeevuvu/assets/by_hash/9da05b55a5ccce5653efd4fa9a5a57be30d9580ab917405cd5f9088ee8f7c0f5.jpg)
신촌의 일등치과,
서울재생치과 네이버 예약하기
신촌의 일등치과,
서울재생치과 찾아오시는 길
신촌역 1,2번 출구
올리브영 3층입니다.
![[재신경치료] 치과 종사자도 찾아오는 신경치료 전문치과, 서울재생치과! 관련 이미지 14](https://pub-9f2bb3498faf4d1d8714b41df24753e3.r2.dev/content/clinics/archive/nqmm0udu86/naver_blog/honeybeevuvu/assets/by_hash/2295e3e016fba4678a4a4bbd6c7ace50bb71832885d67a883d166fd322859fb2.jpg)
#재신경치료
#미세현미경신경치료
#자연치아살리기
#치과보존과전문의
#신촌치과
#신촌서울재생치과