Seoul Jeseng Dental Korea - English
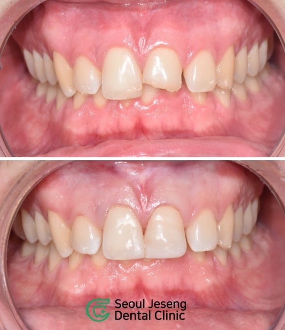
[치료사례] 전치부 레진수복 (크라운 없이 깨진 앞니 치료하는 법, 서울재생치과)
치료사례/생생후기신촌 치아지킴희 전준희
#자연치아살리기 #치과보존과전문의 #신촌치과 #신촌서울재생치과 #앞니레진치료 #앞니파절 #깨진앞니치료
아카이브 요약
이 페이지의 역할
Seoul Jeseng Dental Korea - English, French Speaking Dentist | 서울재생치과 - 임플란트 투명교정 신경치료의 네이버 블로그 원문을 보존한 아카이브 페이지입니다. 치료사례/생생후기 카테고리의 [치료사례] 전치부 레진수복 (크라운 없이 깨진 앞니 치료하는 법, 서울재생치과) 글을 통해 병원의 한국어 정보 제공 방식과 진료 관련 안내 톤을 확인할 수 있습니다.
![[치료사례] 전치부 레진수복 (크라운 없이 깨진 앞니 치료하는 법, 서울재생치과) 관련 이미지 1](https://pub-9f2bb3498faf4d1d8714b41df24753e3.r2.dev/content/clinics/archive/nqmm0udu86/naver_blog/honeybeevuvu/assets/by_hash/d94010155934015d54ba623f90a1e2089eb95cbe63b9d990b18328066c3f8b67.jpg)
![[치료사례] 전치부 레진수복 (크라운 없이 깨진 앞니 치료하는 법, 서울재생치과) 관련 이미지 2](https://pub-9f2bb3498faf4d1d8714b41df24753e3.r2.dev/content/clinics/archive/nqmm0udu86/naver_blog/honeybeevuvu/assets/by_hash/2295e3e016fba4678a4a4bbd6c7ace50bb71832885d67a883d166fd322859fb2.jpg)
#자연치아살리기
#치과보존과전문의
#신촌치과
#신촌서울재생치과
#앞니레진치료
#앞니파절
#깨진앞니치료
더 보기
이 병원의 공개 콘텐츠를 계속 살펴보세요
출처 아카이브로 돌아가 더 많은 글을 보거나, 병원 프로필로 이동해 다른 공개 채널도 함께 비교해보세요.