Seoul Jeseng Dental Korea - English
[재신경치료] 예전에 신경치료 받은 치아가 갑자기 너무 아파요! (서울재생치과, 현미경신경치료)
신촌 서울재생치과는 재신경치료, 임플란트재수술, 실패한 보철물의 재제작 등 재치료 전문 치과입니다. 치과보존과 전문의 전준희 대표원장 서울재생치과 전준희 대표원장 약력 --- 서울대학교 치의학과 졸업서울대학교 치과병원 인턴 및 치과보존과 레지던트보건복지부 인증 치과보존과 전문의서울대학교 치과보존과 박사(현) 서울...
아카이브 요약
이 페이지의 역할
Seoul Jeseng Dental Korea - English, French Speaking Dentist | 서울재생치과 - 임플란트 투명교정 신경치료의 네이버 블로그 원문을 보존한 아카이브 페이지입니다. 준원장의 치과이야기 카테고리의 [재신경치료] 예전에 신경치료 받은 치아가 갑자기 너무 아파요! (서울재생치과, 현미경신경치료) 글을 통해 병원의 한국어 정보 제공 방식과 진료 관련 안내 톤을 확인할 수 있습니다.
![[재신경치료] 예전에 신경치료 받은 치아가 갑자기 너무 아파요! (서울재생치과, 현미경신경치료) 관련 이미지 1](https://pub-9f2bb3498faf4d1d8714b41df24753e3.r2.dev/content/clinics/archive/nqmm0udu86/naver_blog/honeybeevuvu/assets/by_hash/f2644f72bc483c8351edf97e9d53930057b013bfbe4008b42ce3cc0e870c0c96.jpg)
![[재신경치료] 예전에 신경치료 받은 치아가 갑자기 너무 아파요! (서울재생치과, 현미경신경치료) 관련 이미지 2](https://pub-9f2bb3498faf4d1d8714b41df24753e3.r2.dev/content/clinics/archive/nqmm0udu86/naver_blog/honeybeevuvu/assets/by_hash/240ef874c67960b73323b70f6d10e443f3bb6b464e8d1c4e7d9fa9a3cc95df26.jpg)
신촌 서울재생치과는
재신경치료, 임플란트재수술,
실패한 보철물의 재제작 등
재치료 전문 치과입니다.
치과보존과 전문의 전준희 대표원장
| 서울재생치과 전준희 대표원장 약력 |
|---|
| 서울대학교 치의학과 졸업서울대학교 치과병원 인턴 및 치과보존과 레지던트보건복지부 인증 치과보존과 전문의서울대학교 치과보존과 박사(현) 서울대학교 치과대학 외래교수(현) 서울재생치과 대표원장 |
지난 화요일부터 이가 너무 아파서
타치과에 갔더니
재신경치료가 안될 것 같으니
발치하자고 했어요!
20대 남자 환자분
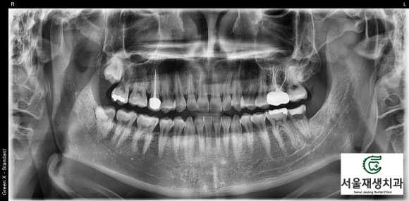
![[재신경치료] 예전에 신경치료 받은 치아가 갑자기 너무 아파요! (서울재생치과, 현미경신경치료) 관련 이미지 3](https://pub-9f2bb3498faf4d1d8714b41df24753e3.r2.dev/content/clinics/archive/nqmm0udu86/naver_blog/honeybeevuvu/assets/by_hash/ef77c490156359ca7b1dc96a59bb49584d9054c9d310cc363ea3f4c8960b4b73.jpg)
사진 상 오른쪽 아래에 보이는 치아가 심상치 않습니다.
신경치료를 하다가 중단된 상태.
뿌리 끝엔 둥근 염증주머니까지.
무슨 일이 있었던 걸까요?
갑자기 잇몸이 붓고 이가 너무 아파서
치과에 갔더니,
더 이상 치료할 수 없고
빼야 한다고 했어요.
![[재신경치료] 예전에 신경치료 받은 치아가 갑자기 너무 아파요! (서울재생치과, 현미경신경치료) 관련 이미지 4](https://pub-9f2bb3498faf4d1d8714b41df24753e3.r2.dev/content/clinics/archive/nqmm0udu86/naver_blog/honeybeevuvu/assets/by_hash/63f10f376784a067dcdabfecf7d57f9c7836dbc7cfe7418c864eb74dce3019ea.jpg)
치아 안에는 예전에 신경치료 재료 (하얀 줄기)가 남아있고,
치아 내부에서 시작된 염증 때문에
뿌리를 감싸는 뼈가 모두 녹았습니다.
실제로도 치아는 많이 흔들리는 상태였습니다.
![[재신경치료] 예전에 신경치료 받은 치아가 갑자기 너무 아파요! (서울재생치과, 현미경신경치료) 관련 이미지 5](https://pub-9f2bb3498faf4d1d8714b41df24753e3.r2.dev/content/clinics/archive/nqmm0udu86/naver_blog/honeybeevuvu/assets/by_hash/387631a733217a12e7fa976e1d6ee759d765b3b12b6b1c7490790e7947e907cc.jpg)
치료를 시작해봅니다.
뿌리 끝까지 이어지는 치아 신경의 터널을 따라, 기구로 청소하고 소독액을 도포합니다.
노랗고 심지어 초록색으로 보이는 고름이 보이시나요?
이전 치료에서 놓쳤던 신경까지 모두 찾아 꼼꼼히 청소합니다.
통증은 치료 초기에 많이 감소됩니다.
치료 두번째 날부터 환자분의 통증은 사라졌습니다.
이후로도 짧으면 한 달,
길면 3개월 혹은 6개월까지
고름이 더 이상 나오지 않는지,
치아의 흔들림이나 통증은 어떤지 관찰합니다.
![[재신경치료] 예전에 신경치료 받은 치아가 갑자기 너무 아파요! (서울재생치과, 현미경신경치료) 관련 이미지 6](https://pub-9f2bb3498faf4d1d8714b41df24753e3.r2.dev/content/clinics/archive/nqmm0udu86/naver_blog/honeybeevuvu/assets/by_hash/9464ca7d32a7c272d7f4a6b995b1273202232730f248f45ffdef3a12967e673a.jpg)
뿌리 측면에 녹아있던 뼈가 재생되었습니다.
불과 치료 두 달만의 일입니다.
![[재신경치료] 예전에 신경치료 받은 치아가 갑자기 너무 아파요! (서울재생치과, 현미경신경치료) 관련 이미지 7](https://pub-9f2bb3498faf4d1d8714b41df24753e3.r2.dev/content/clinics/archive/nqmm0udu86/naver_blog/honeybeevuvu/assets/by_hash/cda43bd71f0e86591746ded52a80ccd1c34f3472f2c6444173e700609499dda3.jpg)
뿌리끝까지 꼼꼼하게 약제를 채워넣고,
치아의 머리도 레진이라는 재료로 충전하여 보강해줍니다.
이제 헬멧(=크라운)을 씌워 머리를 보호해주면 치료는 종료됩니다.
![[재신경치료] 예전에 신경치료 받은 치아가 갑자기 너무 아파요! (서울재생치과, 현미경신경치료) 관련 이미지 8](https://pub-9f2bb3498faf4d1d8714b41df24753e3.r2.dev/content/clinics/archive/nqmm0udu86/naver_blog/honeybeevuvu/assets/by_hash/1463789f8fb986a7412efb8bae30f08d91750bbd8cc84fafb15cc2b16ae8f94d.jpg)
![[재신경치료] 예전에 신경치료 받은 치아가 갑자기 너무 아파요! (서울재생치과, 현미경신경치료) 관련 이미지 9](https://pub-9f2bb3498faf4d1d8714b41df24753e3.r2.dev/content/clinics/archive/nqmm0udu86/naver_blog/honeybeevuvu/assets/by_hash/007cbfe187952bcf91dba8be15de356e161f53eed38cd80aeedcb1c737ce1820.jpg)
총 3개월 정도 소요된 치료였습니다.
치료에 성실하게 임해주신
ㄱㅎㅈ 님께 진심으로 감사드립니다.
20대 젊은 환자분의 치아를
발치의 위험으로부터
구해낸 보람있는 증례였습니다.
신촌의 일등치과,
서울재생치과 네이버 예약하기
신촌의 일등치과,
서울재생치과 찾아오시는 길
신촌역 1,2번 출구
올리브영 3층입니다.
![[재신경치료] 예전에 신경치료 받은 치아가 갑자기 너무 아파요! (서울재생치과, 현미경신경치료) 관련 이미지 10](https://pub-9f2bb3498faf4d1d8714b41df24753e3.r2.dev/content/clinics/archive/nqmm0udu86/naver_blog/honeybeevuvu/assets/by_hash/2295e3e016fba4678a4a4bbd6c7ace50bb71832885d67a883d166fd322859fb2.jpg)
#재신경치료
#미세현미경신경치료
#자연치아살리기
#치과보존과전문의
#신촌치과
#신촌서울재생치과
더 보기
이 병원의 공개 콘텐츠를 계속 살펴보세요
출처 아카이브로 돌아가 더 많은 글을 보거나, 병원 프로필로 이동해 다른 공개 채널도 함께 비교해보세요.