Seoul Jeseng Dental Korea - English
[재신경치료] 소중한 내 앞니...재신경치료로 다시 한 번 살려 쓸 수 있습니다. (서울재생치과, 현미경신경치료)
신촌 서울재생치과는 재신경치료, 임플란트재수술, 실패한 보철물의 재제작 등 재치료 전문 치과입니다. 치과보존과 전문의 전준희 대표원장 서울재생치과 전준희 대표원장 약력 --- 서울대학교 치의학과 졸업서울대학교 치과병원 인턴 및 치과보존과 레지던트보건복지부 인증 치과보존과 전문의서울대학교 치과보존과 박사(현)...
아카이브 요약
이 페이지의 역할
Seoul Jeseng Dental Korea - English, French Speaking Dentist | 서울재생치과 - 임플란트 투명교정 신경치료의 네이버 블로그 원문을 보존한 아카이브 페이지입니다. 준원장의 치과이야기 카테고리의 [재신경치료] 소중한 내 앞니...재신경치료로 다시 한 번 살려 쓸 수 있습니다. (서울재생치과, 현미경신경치료) 글을 통해 병원의 한국어 정보 제공 방식과 진료 관련 안내 톤을 확인할 수 있습니다.
![[재신경치료] 소중한 내 앞니...재신경치료로 다시 한 번 살려 쓸 수 있습니다. (서울재생치과, 현미경신경치료) 관련 이미지 1](https://pub-9f2bb3498faf4d1d8714b41df24753e3.r2.dev/content/clinics/archive/nqmm0udu86/naver_blog/honeybeevuvu/assets/by_hash/c5b14a0b05a59aad30f4da962a8a7c398deedb96b900ec219092ea4e46358fc4.jpg)
![[재신경치료] 소중한 내 앞니...재신경치료로 다시 한 번 살려 쓸 수 있습니다. (서울재생치과, 현미경신경치료) 관련 이미지 2](https://pub-9f2bb3498faf4d1d8714b41df24753e3.r2.dev/content/clinics/archive/nqmm0udu86/naver_blog/honeybeevuvu/assets/by_hash/a310402626d992ae73f79ff97756a49099c66da5285269e9a41f35f1307c3c0d.jpg)
신촌 서울재생치과는
재신경치료, 임플란트재수술,
실패한 보철물의 재제작 등
재치료 전문 치과입니다.
치과보존과 전문의 전준희 대표원장
| 서울재생치과 전준희 대표원장 약력 |
|---|
| 서울대학교 치의학과 졸업서울대학교 치과병원 인턴 및 치과보존과 레지던트보건복지부 인증 치과보존과 전문의서울대학교 치과보존과 박사(현) 서울대학교 치과대학 외래교수(현) 서울재생치과 대표원장 |
아프지는 않은데...
신경치료한지 너무 오래되어
혹시 염증이 있지 않나
걱정돼요!
파노라마 엑스레이
![[재신경치료] 소중한 내 앞니...재신경치료로 다시 한 번 살려 쓸 수 있습니다. (서울재생치과, 현미경신경치료) 관련 이미지 3](https://pub-9f2bb3498faf4d1d8714b41df24753e3.r2.dev/content/clinics/archive/nqmm0udu86/naver_blog/honeybeevuvu/assets/by_hash/943b25df7e89de742f550a3af247f75bab9cabe2a4abcd1c63d3b2303e150fa9.jpg)
치과 검진을 위해 가장 기본적으로
촬영하는 사진입니다.
파노라마 엑스레이라고 하는데요,
원인이 되는 치아의 정확한 위치와
대략적인 컨디션을 파악할 수 있는
가성비 최고의 검사입니다.
노란상자로 표시된 부분을 보겠습니다.
앞니의 뿌리 끝에
검은 구멍이 보이네요.
염증 때문에 뼈가 흡수된 것 같습니다.
좀 더 자세히 살펴보겠습니다.
구강 내 사진
![[재신경치료] 소중한 내 앞니...재신경치료로 다시 한 번 살려 쓸 수 있습니다. (서울재생치과, 현미경신경치료) 관련 이미지 4](https://pub-9f2bb3498faf4d1d8714b41df24753e3.r2.dev/content/clinics/archive/nqmm0udu86/naver_blog/honeybeevuvu/assets/by_hash/71c6c0e17a0aa4b2b7ea610f346b98e335b22782deaf5e151427bc3c74a65142.jpg)
잇몸 주위로 어두운 그림자가 보입니다.
이전 신경치료 시 사용한 재료가
시간이 흐름에 따라 변색되어
잇몸을 통해 비쳐보이는 것입니다.
염증 여부와 상관없이
신경치료 후 시간이 지난 치아에서
흔하게 관찰됩니다.
이것도 해결하는 방법이 따로 있습니다.
문제 치아를 확대해서 촬영하기
![[재신경치료] 소중한 내 앞니...재신경치료로 다시 한 번 살려 쓸 수 있습니다. (서울재생치과, 현미경신경치료) 관련 이미지 5](https://pub-9f2bb3498faf4d1d8714b41df24753e3.r2.dev/content/clinics/archive/nqmm0udu86/naver_blog/honeybeevuvu/assets/by_hash/08d3d35af842647d42fc31181d4ae8e6885e55c801aba266af5032e20329ee55.jpg)
문제가 되는 치아를
단독으로 촬영해보았습니다.
염증의 크기가 결코 작지 않습니다.
가능하다면 재치료를 통해
염증상태를 해소하고,
보다 예쁜 크라운으로 마무리를
해보자고 설명드렸습니다.
(잇몸의 그림자도 해결해보고요)
재신경치료 시작~
![[재신경치료] 소중한 내 앞니...재신경치료로 다시 한 번 살려 쓸 수 있습니다. (서울재생치과, 현미경신경치료) 관련 이미지 6](https://pub-9f2bb3498faf4d1d8714b41df24753e3.r2.dev/content/clinics/archive/nqmm0udu86/naver_blog/honeybeevuvu/assets/by_hash/0bdf9fa07c11931031abc444d2776f69fd2a6abdd78f71edae95f91567e69a2f.jpg)
이전 치료에서 포스트
(=뿌리와 머리를 연결해주는 지지대)가
있었지만,
어렵지 않게 제거하고
뿌리 끝까지 꼼꼼히 청소하였습니다.
반복되는 청소, 소독
![[재신경치료] 소중한 내 앞니...재신경치료로 다시 한 번 살려 쓸 수 있습니다. (서울재생치과, 현미경신경치료) 관련 이미지 7](https://pub-9f2bb3498faf4d1d8714b41df24753e3.r2.dev/content/clinics/archive/nqmm0udu86/naver_blog/honeybeevuvu/assets/by_hash/65dedaa3e283695d71b9e8d30d046485d31e63212f6fb2e94612b69f3554b5cb.jpg)
뿌리 내에 있던
기존 재료를 모두 제거하고
그 자리에 소독연고를
도포해둔 상태입니다.
엑스레이상 흰 색으로 보입니다.
![[재신경치료] 소중한 내 앞니...재신경치료로 다시 한 번 살려 쓸 수 있습니다. (서울재생치과, 현미경신경치료) 관련 이미지 8](https://pub-9f2bb3498faf4d1d8714b41df24753e3.r2.dev/content/clinics/archive/nqmm0udu86/naver_blog/honeybeevuvu/assets/by_hash/13958195dc88d138b4d7a3af5402c8173070eb6c9f89908701e374326a3473fa.jpg)
![[재신경치료] 소중한 내 앞니...재신경치료로 다시 한 번 살려 쓸 수 있습니다. (서울재생치과, 현미경신경치료) 관련 이미지 9](https://pub-9f2bb3498faf4d1d8714b41df24753e3.r2.dev/content/clinics/archive/nqmm0udu86/naver_blog/honeybeevuvu/assets/by_hash/7e732cb374f60be9a39f1a0b1e2b9047b4bc11a704c0343f528404dd5be32996.jpg)
![[재신경치료] 소중한 내 앞니...재신경치료로 다시 한 번 살려 쓸 수 있습니다. (서울재생치과, 현미경신경치료) 관련 이미지 10](https://pub-9f2bb3498faf4d1d8714b41df24753e3.r2.dev/content/clinics/archive/nqmm0udu86/naver_blog/honeybeevuvu/assets/by_hash/e856c9206fd6c671d88d6294cbedbae96998550ea4cf585374dbf31c60e2ada2.jpg)
소독하는 과정을 반복합니다.
이제는 4주에 한 번정도 오셔서
간단히 소독하고 약을 교체하지요.
통증은 거의 없습니다.
![[재신경치료] 소중한 내 앞니...재신경치료로 다시 한 번 살려 쓸 수 있습니다. (서울재생치과, 현미경신경치료) 관련 이미지 11](https://pub-9f2bb3498faf4d1d8714b41df24753e3.r2.dev/content/clinics/archive/nqmm0udu86/naver_blog/honeybeevuvu/assets/by_hash/8f9031415a74ec1c9f9eadc8a8e6dac006fb32683e11becef9dec0f843d8908f.jpg)
환자분의 통증이나 잇몸 부종은
사라진지 오래입니다.
정기적인 엑스레이 촬영을 통해
염증으로 인해 녹았던 뼈가
재생되는지를 확인합니다.
![[재신경치료] 소중한 내 앞니...재신경치료로 다시 한 번 살려 쓸 수 있습니다. (서울재생치과, 현미경신경치료) 관련 이미지 12](https://pub-9f2bb3498faf4d1d8714b41df24753e3.r2.dev/content/clinics/archive/nqmm0udu86/naver_blog/honeybeevuvu/assets/by_hash/e012209e169ac970b55ffe26e1eabe1761222fa42599b7eae9322ad837cdaa84.jpg)
필요하다면 CT를 촬영합니다.
신경치료 시 촬영하는 CT는
건강보험적용 대상으로서
비용이 매우 저렴합니다^^
![[재신경치료] 소중한 내 앞니...재신경치료로 다시 한 번 살려 쓸 수 있습니다. (서울재생치과, 현미경신경치료) 관련 이미지 13](https://pub-9f2bb3498faf4d1d8714b41df24753e3.r2.dev/content/clinics/archive/nqmm0udu86/naver_blog/honeybeevuvu/assets/by_hash/e69f74b2ea7bc127d0e5401e00685e29c78c9e9e9befd82511c2fcee4f71b988.jpg)
치료 전 후 엑스레이 사진입니다.
뿌리에 들어가는 기둥(포스트)를
다시 할 필요는 없다고 판단했습니다.
간단한 뿌리 충전과 (=신경치료)
간단한 머리 충전 (=레진충전) 및
크라운 치료로
모든 과정을 마무리했습니다.
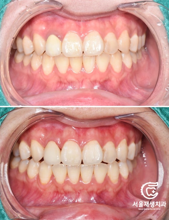
치료 전 후 구강 내 사진
![[재신경치료] 소중한 내 앞니...재신경치료로 다시 한 번 살려 쓸 수 있습니다. (서울재생치과, 현미경신경치료) 관련 이미지 14](https://pub-9f2bb3498faf4d1d8714b41df24753e3.r2.dev/content/clinics/archive/nqmm0udu86/naver_blog/honeybeevuvu/assets/by_hash/0d00da4a6037a25a438a1a33bd848310c21f7b61f2f34540ff4750cc150f84a7.jpg)
치아에 새 삶을 선물하는 김에
기왕이면 더 예쁜 치아를
만들어드리고 싶었습니다.
자연치아의 색조와 모양을 모방한
지르코니아 포세린 크라운을
제작해드렸습니다.
더불어,
전 치료에서 변색되었던
부분을 개선하여, 보다 아름다운
미소를 만들 수 있었습니다.
언제나 밝은 미소로 내원해주시고
적극적으로 치료에 임해주신
ㅈㅅㄹ님께 진심으로
감사드립니다.
신촌의 일등치과,
서울재생치과 네이버 예약하기
신촌의 일등치과,
서울재생치과 찾아오시는 길
신촌역 1,2번 출구
올리브영 3층입니다.
![[재신경치료] 소중한 내 앞니...재신경치료로 다시 한 번 살려 쓸 수 있습니다. (서울재생치과, 현미경신경치료) 관련 이미지 15](https://pub-9f2bb3498faf4d1d8714b41df24753e3.r2.dev/content/clinics/archive/nqmm0udu86/naver_blog/honeybeevuvu/assets/by_hash/2295e3e016fba4678a4a4bbd6c7ace50bb71832885d67a883d166fd322859fb2.jpg)
#재신경치료
#미세현미경신경치료
#자연치아살리기
#치과보존과전문의
#신촌치과
#신촌서울재생치과
더 보기
이 병원의 공개 콘텐츠를 계속 살펴보세요
출처 아카이브로 돌아가 더 많은 글을 보거나, 병원 프로필로 이동해 다른 공개 채널도 함께 비교해보세요.