Seoul Jeseng Dental Korea - English
[고난이도 신경치료] 사랑니 때문에 뿌리가 흡수되어 버린 치아...살릴 수 있나요?
아침에 일어나니까 오른쪽 잇몸이 부어있었어요! 20대 남자 환자분 사진 상으로 좌측 아래를 보세요. 사랑니가 옆으로 누워있습니다. 그 앞에 있는 어금니의 뿌리는 칼로 자른 듯 똑! 끊겨있습니다. 뿌리 주위로는 까맣게 뼈가 녹아있구요. 조금 더 확대해서 보겠습니다. 사랑니가 어...
아카이브 요약
이 페이지의 역할
Seoul Jeseng Dental Korea - English, French Speaking Dentist | 서울재생치과 - 임플란트 투명교정 신경치료의 네이버 블로그 원문을 보존한 아카이브 페이지입니다. 준원장의 치과이야기 카테고리의 [고난이도 신경치료] 사랑니 때문에 뿌리가 흡수되어 버린 치아...살릴 수 있나요? 글을 통해 병원의 한국어 정보 제공 방식과 진료 관련 안내 톤을 확인할 수 있습니다.
![[고난이도 신경치료] 사랑니 때문에 뿌리가 흡수되어 버린 치아...살릴 수 있나요? 관련 이미지 1](https://pub-9f2bb3498faf4d1d8714b41df24753e3.r2.dev/content/clinics/archive/nqmm0udu86/naver_blog/honeybeevuvu/assets/by_hash/2f1e2cd9abe372496b24f21fbc11e4d14f3bf8b901b16d2facffb000f0aa2df6.jpg)
아침에 일어나니까
오른쪽 잇몸이 부어있었어요!
20대 남자 환자분
![[고난이도 신경치료] 사랑니 때문에 뿌리가 흡수되어 버린 치아...살릴 수 있나요? 관련 이미지 2](https://pub-9f2bb3498faf4d1d8714b41df24753e3.r2.dev/content/clinics/archive/nqmm0udu86/naver_blog/honeybeevuvu/assets/by_hash/b512a118845b7dbfbe9d06da88882e3cb807c35d89d045f88432db84e4768ac6.jpg)
사진 상으로 좌측 아래를 보세요.
사랑니가 옆으로 누워있습니다.
그 앞에 있는 어금니의 뿌리는
칼로 자른 듯 똑! 끊겨있습니다.
뿌리 주위로는 까맣게 뼈가 녹아있구요.
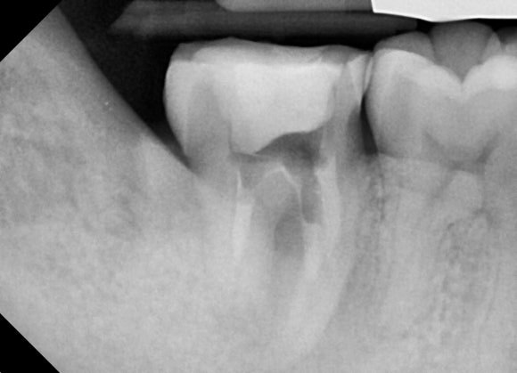
![[고난이도 신경치료] 사랑니 때문에 뿌리가 흡수되어 버린 치아...살릴 수 있나요? 관련 이미지 3](https://pub-9f2bb3498faf4d1d8714b41df24753e3.r2.dev/content/clinics/archive/nqmm0udu86/naver_blog/honeybeevuvu/assets/by_hash/d998051ceb467c4c77e48e31da1d25e07054ba41db75d93e606789132b6245eb.jpg)
조금 더 확대해서 보겠습니다.
사랑니가 어금니를 밀고 있고,
어금니의 뿌리는 마치 부러진 것처럼 흡수되어 있습니다.
우리 몸의 단단한 조직 - 뼈나 치아-은
염증이 발생했을 때 스스로를 녹이거나
혹은 스스로를 덧붙이는 방식으로
대응합니다.
이 경우엔 녹이는 방향입니다.
![[고난이도 신경치료] 사랑니 때문에 뿌리가 흡수되어 버린 치아...살릴 수 있나요? 관련 이미지 4](https://pub-9f2bb3498faf4d1d8714b41df24753e3.r2.dev/content/clinics/archive/nqmm0udu86/naver_blog/honeybeevuvu/assets/by_hash/16d5807e8e528f86079b90cd7fea0836bf0957eab24893da782782aa4903c04d.jpg)
원활한 치료를 위해 일단 사랑니를 빼야겠습니다.
그리고 신경치료를 시작합니다.
서울재생치과의 트레이드마크인
마라톤 신경치료가 시작됩니다.
![[고난이도 신경치료] 사랑니 때문에 뿌리가 흡수되어 버린 치아...살릴 수 있나요? 관련 이미지 5](https://pub-9f2bb3498faf4d1d8714b41df24753e3.r2.dev/content/clinics/archive/nqmm0udu86/naver_blog/honeybeevuvu/assets/by_hash/7985138bc983b79f84a66e10ec2bf13e580bc104a9761f705f998fc5a5f870fd.jpg)
![[고난이도 신경치료] 사랑니 때문에 뿌리가 흡수되어 버린 치아...살릴 수 있나요? 관련 이미지 6](https://pub-9f2bb3498faf4d1d8714b41df24753e3.r2.dev/content/clinics/archive/nqmm0udu86/naver_blog/honeybeevuvu/assets/by_hash/4e954514ecaf697676ab62541f0e9f7c366f04d3cf9a03151912a66decb37f34.jpg)
장장 3개월에 걸쳐 신경치료가 진행되었습니다.
환자분께서 열심히 치료에 임하신 덕에
뿌리 끝 염증이 조금씩 작아지고 있습니다.
드디어! 신경치료 마무리
![[고난이도 신경치료] 사랑니 때문에 뿌리가 흡수되어 버린 치아...살릴 수 있나요? 관련 이미지 7](https://pub-9f2bb3498faf4d1d8714b41df24753e3.r2.dev/content/clinics/archive/nqmm0udu86/naver_blog/honeybeevuvu/assets/by_hash/9cb9577bb0190591eced53585a13cf036577cfb3d953128a783eba23727d7971.jpg)
신경치료가 마무리 되었습니다.
뿌리가 흡수되어 정상적인 구조를 상당부분 상실했지만,
환자분의 협조와, 준원장의 노력으로
만족스러운 치료결과를 얻을 수 있었습니다.
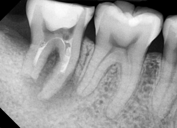
치료 전 후 비교, 뼈가 재생되었어요!
![[고난이도 신경치료] 사랑니 때문에 뿌리가 흡수되어 버린 치아...살릴 수 있나요? 관련 이미지 8](https://pub-9f2bb3498faf4d1d8714b41df24753e3.r2.dev/content/clinics/archive/nqmm0udu86/naver_blog/honeybeevuvu/assets/by_hash/a39a8732fee3f7a339f58d9ecf69433434a22fc6c4b3fb91b3591a26728d6423.jpg)
초기 염증으로 치아 뿌리 주위의 뼈가 많이 상실되어 있었습니다.
뿌리를 둘러싸고 있는 까만 공간만큼 뼈가 상실된 것이죠.
하지만 아래의 사진을 보시면,
뿌리 주위로 새로운 뼈가 (짙은 회색)이 재생된 것을 확인할 수 있습니다!
어금니 신경치료의 마무리는 늘,
![[고난이도 신경치료] 사랑니 때문에 뿌리가 흡수되어 버린 치아...살릴 수 있나요? 관련 이미지 9](https://pub-9f2bb3498faf4d1d8714b41df24753e3.r2.dev/content/clinics/archive/nqmm0udu86/naver_blog/honeybeevuvu/assets/by_hash/0ffa03c6815f1b99809232074dddb454df87e5369a10d18e354c55cadd6cccac.jpg)
단단한 헬멧(=크라운)입니다!
자연치아를 오래오래 쓰기 위해
어금니 신경치료 후 크라운은 필수입니다!
(앞니는 경우에 따라 크라운 치료가 필요없는 경우도 있습니다^^)
20대 초반의 젊은 환자분의 자연치아를 지켜드린 보람있는 사례였습니다.
오랜기간 치료에 협조해주신 ㅎㄷㄱ님께
진심으로 감사드립니다.
| 서울재생치과 전준희 대표원장 약력 |
|---|
| 서울대학교 치의학과 졸업서울대학교 치과병원 인턴 및 치과보존과 레지던트보건복지부 인증 치과보존과 전문의서울대학교 치과보존과 박사(현) 서울대학교 치과대학 외래교수(현) 서울재생치과 대표원장 |
신촌의 일등치과,
서울재생치과 찾아오시는 길
신촌역 1,2번 출구
올리브영 3층입니다.
![[고난이도 신경치료] 사랑니 때문에 뿌리가 흡수되어 버린 치아...살릴 수 있나요? 관련 이미지 10](https://pub-9f2bb3498faf4d1d8714b41df24753e3.r2.dev/content/clinics/archive/nqmm0udu86/naver_blog/honeybeevuvu/assets/by_hash/2295e3e016fba4678a4a4bbd6c7ace50bb71832885d67a883d166fd322859fb2.jpg)
#신경치료
#미세현미경신경치료
#자연치아살리기
#치과보존과전문의
#신촌치과
#신촌서울재생치과
더 보기
이 병원의 공개 콘텐츠를 계속 살펴보세요
출처 아카이브로 돌아가 더 많은 글을 보거나, 병원 프로필로 이동해 다른 공개 채널도 함께 비교해보세요.