Seoul Jeseng Dental Korea - English
[재신경치료] 타치과에서 재신경치료 하는 중인데 발치를 하자고 했어요... (서울재생치과 현미경 신경치료)
서울재생치과 전준희 대표원장 약력 --- 서울대학교 치의학과 졸업서울대학교 치과병원 인턴 및 치과보존과 레지던트보건복지부 인증 치과보존과 전문의서울대학교 치과보존과 박사(현) 서울대학교 치과대학 외래교수(현) 서울재생치과 대표원장 안녕하세요! 서울재생치과 대표원장 전준희입니다. 오늘은 40대 초반...
아카이브 요약
이 페이지의 역할
Seoul Jeseng Dental Korea - English, French Speaking Dentist | 서울재생치과 - 임플란트 투명교정 신경치료의 네이버 블로그 원문을 보존한 아카이브 페이지입니다. 준원장의 치과이야기 카테고리의 [재신경치료] 타치과에서 재신경치료 하는 중인데 발치를 하자고 했어요... (서울재생치과 현미경 신경치료) 글을 통해 병원의 한국어 정보 제공 방식과 진료 관련 안내 톤을 확인할 수 있습니다.
![[재신경치료] 타치과에서 재신경치료 하는 중인데 발치를 하자고 했어요... (서울재생치과 현미경 신경치료) 관련 이미지 1](https://pub-9f2bb3498faf4d1d8714b41df24753e3.r2.dev/content/clinics/archive/nqmm0udu86/naver_blog/honeybeevuvu/assets/by_hash/9635d5f6ba5b0588dcee1004e8398fc4d41eeb1b5d66c4fd44b594e3b7ae81c4.jpg)
![[재신경치료] 타치과에서 재신경치료 하는 중인데 발치를 하자고 했어요... (서울재생치과 현미경 신경치료) 관련 이미지 2](https://pub-9f2bb3498faf4d1d8714b41df24753e3.r2.dev/content/clinics/archive/nqmm0udu86/naver_blog/honeybeevuvu/assets/by_hash/240ef874c67960b73323b70f6d10e443f3bb6b464e8d1c4e7d9fa9a3cc95df26.jpg)
| 서울재생치과 전준희 대표원장 약력 |
|---|
| 서울대학교 치의학과 졸업서울대학교 치과병원 인턴 및 치과보존과 레지던트보건복지부 인증 치과보존과 전문의서울대학교 치과보존과 박사(현) 서울대학교 치과대학 외래교수(현) 서울재생치과 대표원장 |
안녕하세요!
서울재생치과 대표원장 전준희입니다.
오늘은 40대 초반 여성 환자분의 어금니를
5개월간의 '재재'신경치료 끝에 살려낸 이야기를 들려드리려고 합니다.
상악동까지 감염이 침범되어 있었고,
이미 다른 치과에서 재신경치료를 시도한 끝에 발치를 권유받았던 치아였기에,
더욱 뜻깊은 치료였습니다.
![[재신경치료] 타치과에서 재신경치료 하는 중인데 발치를 하자고 했어요... (서울재생치과 현미경 신경치료) 관련 이미지 3](https://pub-9f2bb3498faf4d1d8714b41df24753e3.r2.dev/content/clinics/archive/nqmm0udu86/naver_blog/honeybeevuvu/assets/by_hash/d738366242a7e1883ed48492c0c7be8865268e2db52bf332c1438d56822a959d.jpg)
사진상 오른쪽 위에 보이는 치아입니다.
노란 점선 안에 있는 치아에 주목해주세요.
![[재신경치료] 타치과에서 재신경치료 하는 중인데 발치를 하자고 했어요... (서울재생치과 현미경 신경치료) 관련 이미지 4](https://pub-9f2bb3498faf4d1d8714b41df24753e3.r2.dev/content/clinics/archive/nqmm0udu86/naver_blog/honeybeevuvu/assets/by_hash/a9ef78bab19795b34ea9427860237016c8cbc1f8f5bfd7f6cb040829c8278900.jpg)
먼저 정밀 검사를 통해 치아 상태를 꼼꼼히 살펴보았습니다.
일반 평면 엑스레이에서 보기에도 뿌리 끝 염증 사이즈가 상당합니다.
신경치료용 CT를 촬영하니 상악동으로 염증이 파급되려는 상태였고, 기존 신경치료의 흔적도 확인할 수 있었습니다.
![[재신경치료] 타치과에서 재신경치료 하는 중인데 발치를 하자고 했어요... (서울재생치과 현미경 신경치료) 관련 이미지 5](https://pub-9f2bb3498faf4d1d8714b41df24753e3.r2.dev/content/clinics/archive/nqmm0udu86/naver_blog/honeybeevuvu/assets/by_hash/04f240387a0651277e1bcc9a6c5ba5e1cbaae97a25b4e1d3d968c40dbbcadaf8.jpg)
치아를 감싸는 뼈를 치조골이라고 합니다.
윗 어금니의 치조골은, 해부학적인 구조 상 상악동에 인접합니다.
위 사진에서는 치아에서 시작된 염증이 치조골을 녹이고, 이어서 상악동까지 침범하려고 하는 소견이 관찰됩니다.
상악동까지 침범된 염증은 재빠르게 해결해주어야 합니다.
방치될 경우 상악동염(=부비동염=축농증)으로까지 이어질 수 있기 때문입니다.
치과용 미세현미경,
재신경치료의 성공 열쇠
![[재신경치료] 타치과에서 재신경치료 하는 중인데 발치를 하자고 했어요... (서울재생치과 현미경 신경치료) 관련 이미지 6](https://pub-9f2bb3498faf4d1d8714b41df24753e3.r2.dev/content/clinics/archive/nqmm0udu86/naver_blog/honeybeevuvu/assets/by_hash/2905ec7c00736194b2dcfd1409ba245935698acebbeb803f5dc130e05fcecf80.jpg)
환자분께서는 다른 치과에서 이미 재신경치료를 시도했지만 차도가 없어 결국 발치를 제안받으셨다고 합니다.
자연치아를 살리고 싶은 마음에 저희 치과를 찾아오셨고, 저 역시 그 간절한 마음에 깊이 공감했습니다.
따라서 Zeiss사의 치과용 미세현미경을 이용한 재신경치료를 제안했습니다.
미세현미경은 육안으로는 확인하기 어려운 미세한 부분까지 볼 수 있도록 도와줍니다.
덕분에 기존 신경치료에서 미처 제거되지 못했던 감염 조직이나 오염 물질을 깨끗하게 제거할 수 있었고, 재감염의 위험을 줄일 수 있었습니다.
미세현미경은 마치 어두운 방에 불을 밝히는 것처럼, 재신경치료의 성공 가능성을 높여주는 중요한 도구입니다.
이제 필요한 것은 꾸준함과 인내심!
5개월이라는 긴 시간동안 환자분께서 꾸준히 치료에 협조해주셨습니다.
처음에는 일주일에 한 두 번이던 내원 간격이, 증상이 안정됨에 따라 점점 길어졌습니다.
치아 내부의 감염원과 오염물질이 모두 사라지면, 남은 것은 뼈가 재생되면서 증상이 사라지는 일입니다.
![[재신경치료] 타치과에서 재신경치료 하는 중인데 발치를 하자고 했어요... (서울재생치과 현미경 신경치료) 관련 이미지 7](https://pub-9f2bb3498faf4d1d8714b41df24753e3.r2.dev/content/clinics/archive/nqmm0udu86/naver_blog/honeybeevuvu/assets/by_hash/f49307be8acfb5b481f26ec3059949e68f2f558a2618bbbf9e7c6cc642d9582e.jpg)
위 사진에서 보시는 바와 같이,
깨끗하고 튼튼하게 신경치료가 마무리 되었습니다.
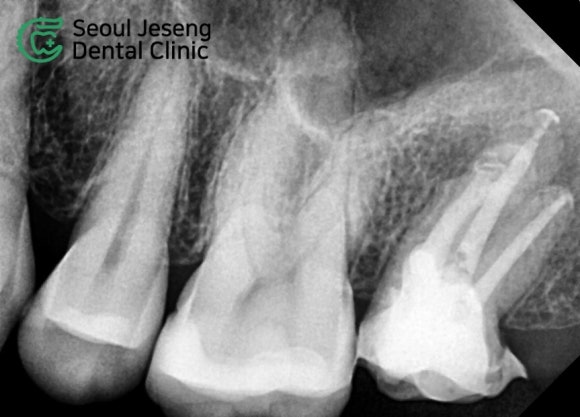
![[재신경치료] 타치과에서 재신경치료 하는 중인데 발치를 하자고 했어요... (서울재생치과 현미경 신경치료) 관련 이미지 8](https://pub-9f2bb3498faf4d1d8714b41df24753e3.r2.dev/content/clinics/archive/nqmm0udu86/naver_blog/honeybeevuvu/assets/by_hash/c13601e35ab22d29d53cb4707c0683ec577350e8a7817cb270829dd6922697e1.jpg)
치료 전후의 평면 엑스레이 사진입니다.
![[재신경치료] 타치과에서 재신경치료 하는 중인데 발치를 하자고 했어요... (서울재생치과 현미경 신경치료) 관련 이미지 9](https://pub-9f2bb3498faf4d1d8714b41df24753e3.r2.dev/content/clinics/archive/nqmm0udu86/naver_blog/honeybeevuvu/assets/by_hash/48fccd2af17086d01b01335aa31d114e872be9a750528ca556077195fd90c298.jpg)
치료 전 후의 CT 사진입니다.
상악동으로 뚫고 나가려는 염증 자리에
다시 튼튼한 뼈가 재생되는 것을 보실 수 있습니다.
PFM 크라운으로 튼튼하게 마무리
![[재신경치료] 타치과에서 재신경치료 하는 중인데 발치를 하자고 했어요... (서울재생치과 현미경 신경치료) 관련 이미지 10](https://pub-9f2bb3498faf4d1d8714b41df24753e3.r2.dev/content/clinics/archive/nqmm0udu86/naver_blog/honeybeevuvu/assets/by_hash/88e7cac9a4abee52265f7bced40732303d74321b10b50539c90a5217313afb39.jpg)
![[재신경치료] 타치과에서 재신경치료 하는 중인데 발치를 하자고 했어요... (서울재생치과 현미경 신경치료) 관련 이미지 11](https://pub-9f2bb3498faf4d1d8714b41df24753e3.r2.dev/content/clinics/archive/nqmm0udu86/naver_blog/honeybeevuvu/assets/by_hash/cc1761a245d6fccbea7e11649b0ae501b2bd9212c89b0b007ada7051f8f896e0.jpg)
5개월이라는 긴 시간 동안 환자분께서는 꾸준히 내원하시며 적극적으로 치료에 임해주셨습니다.
그 결과, 상악동과 치아 사이에 뼈가 다시 재생되는 것을 볼 수 있었고, 저작 시 느껴지던 불편감도 모두 사라졌습니다.
마지막 단계로 PFM 크라운을 제작하여 치료를 마무리했습니다.
환자분의 어금니는 남아있는 치아의 부피가 적었고, 맞닿는 아래 어금니와의 공간이 좁았습니다.
이때, PFM 크라운은 씹는 면을 얇은 금속으로 제작할 수 있어, 이런 경우에도 튼튼한 보철물을 제작할 수 있다는 장점이 있습니다.
심미적인 부분도 고려하여 보이는 면은 환자분의 자연치아 색상과 유사하게 제작하여 만족도를 높였습니다.
치료 과정의 매 순간마다 환자분과 소통하며 엑스레이 결과를 함께 확인하고, 궁금한 점을 자세히 설명드렸습니다.
덕분에 환자분께서는 안심하고 치료에 집중하실 수 있었습니다.
자연치아 보존의 중요성,
임플란트와 비교해보면...
5개월이라는 시간은 결코 짧지 않지만, 임플란트와 비교하면 훨씬 짧은 기간입니다.
임플란트는 턱뼈에 인공치근을 식립하고 그 위에 보철물을 올리는 시술로, 뼈가 충분하지 않은 경우 뼈이식을 해야 하기 때문에 치료 기간이 더 길어질 수 있습니다.
임플란트도 결국은 하나의 치과 재료입니다. 아무리 좋은 치과용 재료라 하더라도 자연치아를 완벽하게 대체할 수는 없습니다.
평균 수명이 나날이 늘어나는 상황에서, 가능하다면 자연치아를 두 번, 세 번 고쳐서 쓰는 것이 장기적으로 보았을 때 경제적으로도, 생리적으로도 훨씬 유리합니다.
임플란트는 관리를 잘 하더라도 주변 뼈가 흡수될 수 있고, 나중에 다시 수술해야 하는 상황이 발생할 수도 있습니다.
자연치아는 치아를 둘러싼 신경과 혈관이 살아있어 (신경치료가 된 치아는 치아 내부의 신경과 혈관은 제거된 상태이나, 치아 외부를 감싸는 인대의 혈관과 신경은 건강하게 살아있습니다.) 외부 자극에 반응하고, 음식을 씹는 감각도 훨씬 자연스럽습니다.
따라서 발치는 최후의 수단으로 생각하고, 최대한 자연치아를 살리는 방향으로 치료하는 것이 중요합니다.
재신경치료,
포기하지 않으면 가능성은 열려있습니다.
이번 환자분의 경우처럼 다른 치과에서 발치를 권유받았더라도 포기하지 않고 재신경치료를 시도해볼 수 있습니다.
물론 모든 경우에 재신경치료가 가능한 것은 아니지만, 치과용 미세현미경과 같은 첨단 장비와 숙련된 의료진의 노하우를 통해 성공 가능성을 높일 수 있습니다.
기존에 신경치료 받은 치아에 통증이 있거나 불편함을 느낀다면, 주저하지 말고 서울재생치과를 찾아 정확한 진단을 받아보세요.
서울대 보존과 전문의인 제가 직접 상담해드립니다. 조기에 문제점을 발견하고 치료할수록 자연치아를 보존할 가능성이 높아집니다.
저는 앞으로도 환자분들의 자연치아를 살리기 위해 최선을 다할 것입니다. 환자분들과 끊임없이 소통하고 공감하며, 밝고 건강한 미소를 되찾을 수 있도록 돕는 것이 저의 진료 철학입니다.
신촌의 일등치과,
서울재생치과 찾아오시는 길
신촌역 1,2번 출구
올리브영 3층입니다.
![[재신경치료] 타치과에서 재신경치료 하는 중인데 발치를 하자고 했어요... (서울재생치과 현미경 신경치료) 관련 이미지 12](https://pub-9f2bb3498faf4d1d8714b41df24753e3.r2.dev/content/clinics/archive/nqmm0udu86/naver_blog/honeybeevuvu/assets/by_hash/2295e3e016fba4678a4a4bbd6c7ace50bb71832885d67a883d166fd322859fb2.jpg)
#재신경치료
#미세현미경신경치료
#자연치아살리기
#치과보존과전문의
#신촌치과
#신촌서울재생치과
더 보기
이 병원의 공개 콘텐츠를 계속 살펴보세요
출처 아카이브로 돌아가 더 많은 글을 보거나, 병원 프로필로 이동해 다른 공개 채널도 함께 비교해보세요.